Block III: video 4 Flashcards

(50 cards)

1
Q

What are the histological characteristic of mast cell?

A
  1. A large cell with round nucleus
  2. Contains large granules in the cytoplasm – which stain with eosin in H&E of plastic embedded tissue
  3. Shows metachromatic staining of the granules with toludine blue
  4. Contains large dense staining granules in EM
How well did you know this?
1
Not at all
2
3
4
5
Perfectly
2
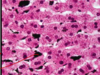
Q

identify

A

Mast cells stained with H&E in plastic embedded sections

How well did you know this?
1
Not at all
2
3
4
5
Perfectly
3
Q

identify

A

Mast cells stained with H&E in plastic embedded sections

How well did you know this?
1
Not at all
2
3
4
5
Perfectly
4
Q

identify

A

Light micrograph of mast cell
stained with toluidine blue

How well did you know this?
1
Not at all
2
3
4
5
Perfectly
5
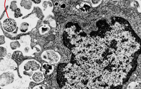
Q

identify

A

EM of mast cell

How well did you know this?
1
Not at all
2
3
4
5
Perfectly
6
Q

Where is mast cell prominent?

A

immune system

How well did you know this?
1
Not at all
2
3
4
5
Perfectly
7
Q

What are the types of immunological reactions of mast cells?

A
  1. Hypersensitivity reactions in which the immune system activation over-reacts often resulting in immune system action which may be
    detrimental to the body (This can be either humoral immediate hypersensitivity reactions within minutes or delayed cytotoxic reactions)
  2. Adaptive immune system: this normally requires a longer time for
    response and requires the synthesis of immunoglobulin antibodies or the production of cytotoxic t-lymphocytes
How well did you know this?
1
Not at all
2
3
4
5
Perfectly
8
Q

What is Type I hypersensitivity?

A

Mast cells may be involved in Type I hypersensitivity reactions which
depend upon the binding of immunoglobulin E (IgE) to the plasma
membrane of the cell prior to the hypersensitivity reaction

How well did you know this?
1
Not at all
2
3
4
5
Perfectly
9
Q

What are some functions of the mast cell?

A
  1. function involves pharmacological actions of the substances released from its granules, cytoplasm, and membranes.
  2. involved in immediate hypersensitivity Type I immune reactions
How well did you know this?
1
Not at all
2
3
4
5
Perfectly
10
Q

What does the granules in mast cells contain?

A
  1. histamine
  2. eosinophile chemotactic factor
  3. neutrophil chemotactic factor
  4. neutral proteases
  5. heparin
How well did you know this?
1
Not at all
2
3
4
5
Perfectly
11
Q

What does histamine do?

A

potent vasodialator and causes
contraction of smooth muscle in airways (edema)

How well did you know this?
1
Not at all
2
3
4
5
Perfectly
12
Q

What does eosinophile chemotactic factor do?

A

attracts eosinophils into area as part of the inflammatory process

How well did you know this?
1
Not at all
2
3
4
5
Perfectly
13
Q

What does neutrophil chemotactic factor do?

A

attracts neutrophils into area

How well did you know this?
1
Not at all
2
3
4
5
Perfectly
14
Q

What does neutral proteases do?

A

(serine proteases) = generate
angiotensin II in response to vascular tissue injury and may induce apoptosis in damaged vascular
smooth muscle cells (tryptase and Chymase)

How well did you know this?
1
Not at all
2
3
4
5
Perfectly
15
Q

what does heparin do?

A

may act to condense the contents; interacts with platelets (highly negative)

How well did you know this?
1
Not at all
2
3
4
5
Perfectly
16
Q

By what does the degranulation of the mast cell happen?

A

is brought about typically by binding of antigen to IgE molecules which are bound to the surface of the mast cell. Can also involve complement related binding

How well did you know this?
1
Not at all
2
3
4
5
Perfectly
17
Q

WHat happens in response to 1st contact with allergen?

A

the immune system will produce large amounts of IgE which will become bound to the surface of
the mast cell (and basophil)

How well did you know this?
1
Not at all
2
3
4
5
Perfectly
18
Q

WHat happens in response to 2nd exposure to the allergen?

A

crosslinking of as few as 2 of the IgE molecules on the surface can lead to degranulation of the cell and release of the contents of the granules

How well did you know this?
1
Not at all
2
3
4
5
Perfectly
19
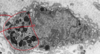
Q

identify

A

EM of mast cell undergoing degranulation

How well did you know this?
1
Not at all
2
3
4
5
Perfectly
20
Q

WHat other stuff does the mast cell release?

A

additional secondary mediators including prostaglandin D2, bradykinins, thromboxin A2 and leukotrienes from membrane lipid as
important mediators of vasodialation, vasoconstriction, and bronchiospams

How well did you know this?
1
Not at all
2
3
4
5
Perfectly
21
Q

What are leukotrienes?

A

(similar action to histamine, but slower action) are also released from
the plasma membrane upon degranulation causing bronchospasms.

Leukotrienes are resistant to antihistamines and thus anti-histamine therapy will not entirely
relieve allergenic responses

22
Q

What are some CC involving mast cell degranulation?

A
  1. hay fever
  2. asthma
  3. anaphylactic shock
23
Q

What is hay fever?

A

edema of nasal mucosa due to release of histamine

24
Q

What is asthma?

A

bronchiospasms due to leukotriene and histamine effects on smooth muscle in lungs

25
What is anaphylactic shock?
results from a large loss of fluids from vascular system due to effects of histamine and leukotrienes leading to vascular collapse. Effects occur in 1 -3 minutes after contact with allergen. Immediate treatment with vasoconstrictors like epinephrine is required or death can occur
26
What are some histological characteristics of macrophage?
1. large cell with lightly basophilic cytoplasm 2. plasma membrane highly folded with numerous projections 3. nucleus often indented or kidney shaped 4. numerous lysosomes
27
When is the macrophage most easily recognized?
when has phagocytosed debris
28
Where is macrophage derived from?
derived from monocytes in blood that enter CT
29
WHat is the macrophage member or?
mononuclear phagocyte system
30
identify
EM of macrophage
31
identify
lung, alveolar macrophage
32
identify
Macrophages (black) filled with phagocytosed dye
33
What are some functions of the macrophage?
1. phagocytosis of microbes, particulate material, and antigen-antibody complexes. 2. secretion of a variety of immunologically important molecules including interleukin I (lymphocyte mitogenic factor) and interferon (antiviral)
34
What do macrophages have on their plasma membrane?
major histocompatibility complex II.
35
What is major histocompatibility complex II?
Antigenic fragments from the phagocytosed structures such as bacteria broken down by the macrophage become bound to the major histocompatibility complex II which is transported to the plasma membrane where the antigenic fragments can be presented to lymphocytes to trigger immune reactions
36
What are the two types of macrophages and their fucntions?
1. Classically activated macrophages (M1 macrophages), occur early in the inflammatory process and have the capacity, through the production of nitric oxide (NO) and other intermediates, to destroy microorganisms at the site of inflammation. 2. Alternatively activated macrophages (M2 macrophages)- Occur later in areas of inflammation and in general are anti-inflammatory and work toward resolution of inflammation and promote rebuilding of extra-cellular matrix, cell proliferation, and angiogenesis. (repair)
37
What are foreign body giant cells?
When stimulated macrophages may fuse to give giant multinucleated cells known as foreign body giant cells in order to either surround and wall-off large foreign objects or to phagocytose large particles. These foreign body giant cells allow macrophages to wall-off from the body clusters of bacteria or parasites that can not be handled by a single macrophage. In this process the macrophages can form large masses of cells known as granulomas In addition, these foreign body giant cells can be clinically important at the surface of biopolymer implants , stents, pins and other surgical implants where they may attempt to destroy the implants
38
What is Matrix metalloproteinases?
family of proteins known as the matrix metalloproteinases (MMPs) which are zinc-associated proteinases.They are particularly prominent in their ability to degrade collagen. play an important role of remodeling of connective tissue both under normal and pathological conditions. In addition, expression of the metalloproteinases has been linked to the ability of cancer cells such as endometrial cancer cells to metastasize.
39
What are plasma cells derived from?
antigenically stimulated B-lymphocytes
40
How is the pattern of plasma cells called?
round nucleus with clockface chromatin pattern; due to heterochromatin
41
What organelle is visible adjacent in plasma cells?
juxta-nuclear Golgi - negative staining in LM
42
how is the staining in plasma cells?
basophilic translucent (nongranular) cytoplasm
43
WHat is the function of plasma cells?
Is the synthesis of antibodies (immunoglobulins)
44
identify
Plasma cells (arrows) in lamina propria of intestine; negative golgi can be seen
45
identify
EM of plasma cell
46
What is reticular CT?
specialized connective tissue of lymphoid and blood-forming (hemopoietic) organs such as bone marrow, spleen, tonsils, lymph nodes
47
by what are reticular fibers formed?
in reticular CT made by a specialized cell called a reticular cell
48
How is the gorund substance in reticular CT?
ground substance = blood plasma or lymph. NO GAGS
49
What is the function of reticular CT?
Provides a CT supporting stroma that allows easy movement of fluid and cells through organ
50
How deos cell in reticular CT aid?
cell wraps around fibers and maintains them; similar to fibroblast