Angiofibroma of soft tissue
AHRR-NCOA2 fusion
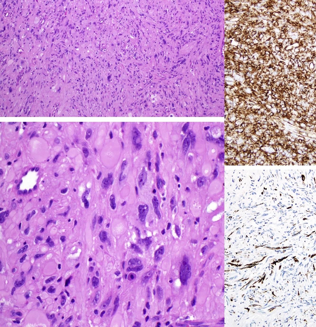
Angiomatoid fibrous histiocytoma
EWSR1-CREB1, EWSR1-ATF1, or FUS-ATF1 fusion
Chondroid lipoma
C11orf95-MKL2 fusion
EIMS and other IMT
ALK- RANBP2 fusion & other ALK rearrangements
Ewing-like round cell sarcomas
CIC-DUX4 fusion41–43 or BCOR-CCNB3 fusion
Glomus tumors (benign and malignant)
MIR143-NOTCH fusions
GNET
EWSR1-ATF1 or EWSR1-CREB1 fusion
HFLT, MIFS, and PHAT
TGFBR3 & MGEA5 rearrangments
Intimal sarcoma of heart and great vessels
MDM2 & CDK4 amplification (12q13-14)
Low-grade fibromyxoid sarcoma
FUS-CREB3L2, FUS-CREB3L1, or EWSR1-CREB3L1 fusion
LGSSNMF
low-grade sinonasal sarcoma with neural and myogenic features
PAX3-MAML3 fusion
Nodular fasciitis
Nodular fasciitis MYH9-USP6 fusion
Ossifying fibromyxoid tumor
PHF1 rearrangements
Phosphaturic mesenchymal tumor
FN1-FGFR1 fusion
Spindle cell hemangioma
IDH1 & IDH2 mutations
Spindle cell rhabdomyosarcomas (adults)
MYOD1 mutation
Spindle cell rhabdomyosarcoma (infants)
NCOA2 rearrangements with SRF or TEAD1
Sclerosing epithelioid fibrosarcoma
EWSR1-CREB3L1 fusion, FUS rearrangements rare
Solitary fibrous tumor
NAB2-STAT6 fusion
Key features?
DDx?

SUPERFICIAL CD34-POSITIVE FIBROBLASTIC TUMOR
Key Pathologic Features
Main Differential Diagnosis
Key features?
DDx?
FIBROSARCOMA-LIKE LIPOMATOUS NEOPLASM
Key Pathologic Features
Main Differential Diagnosis
BENIGN CARTILAGINOUS TUMORS (4)
BENIGN CARTILAGINOUS TUMORS

OSTEOCHONDROMA

ENCHONDROMA