Bronquiectasias Bronquiolitis Flashcards

(14 cards)

1
Q

Bronquiectasias

A

Término utilizado para referirse a las dilataciones anormales de las ramificaciones bronquiales

How well did you know this?
1
Not at all
2
3
4
5
Perfectly
2
Q

bronquiectasias causa

A

-Alteración en el aclaramiento mucociliar
-Colonización e infección persistente
-Tos productiva crónica
-Hemoptisis

How well did you know this?
1
Not at all
2
3
4
5
Perfectly
3
Q

Enfermedades asociadas a bronquiectasias

A

-Tuberculosis
-Fibrosis quística
-EPOC o Asma
-ERGE
-Conectivopatías

How well did you know this?
1
Not at all
2
3
4
5
Perfectly
4
Q

Bronquiectasias colíndricas o fusiformes

A

La dilatación es uniforme hasta que la luz adquiere el calibre normal de forma brusca y transversal, como consecuencia del taponamiento por secreciones de los bronquiolos y bronquios de menor tamaño

How well did you know this?
1
Not at all
2
3
4
5
Perfectly
5
Q

Bronquiectasias varicosas

A

La dilatación es irregular, como un rosario

How well did you know this?
1
Not at all
2
3
4
5
Perfectly
6
Q

Bronquiectasias saculares o quísticas

A

La dilatación se acentúa distalmente, terminando en un fondo de saco

How well did you know this?
1
Not at all
2
3
4
5
Perfectly
7
Q

GOLD STANDARD para las bronquiectasias

A

TACAR

How well did you know this?
1
Not at all
2
3
4
5
Perfectly
8
Q

Diagnóstico radiológico de Bronquiectasias

A

-Radiografía con imágen dilatada en ríel
-Apergilosis broncopulmonar alérgica-Aspergillus fumigatus-asma, fibrosis quística

How well did you know this?
1
Not at all
2
3
4
5
Perfectly
9
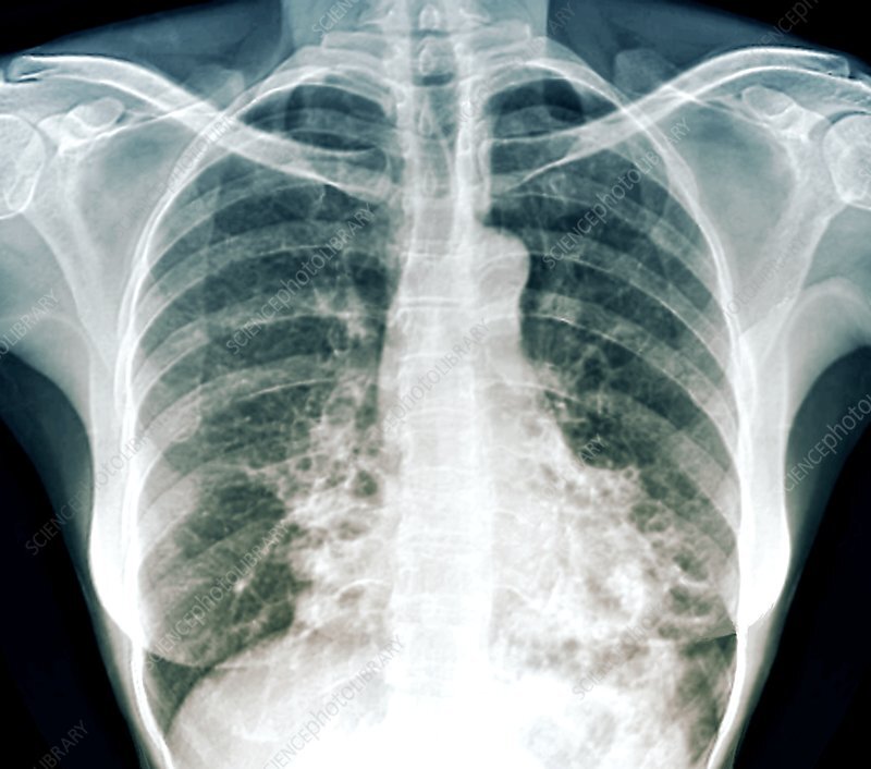
Q

TACAR de bronquiectasias

A
How well did you know this?
1
Not at all
2
3
4
5
Perfectly
10
Q

Tratamiento de las Bronquiectasias

A

-Prevención
-Mucolítico (hidratación, fisioterapia repsiratoria,etc)
-Antibiótico
-Sin fibrosis b-lactamico <(amoxicilina)
-Con fibrosis Cefalosporinas y 4 y 5, carbapenemicos, aminolucosidos

How well did you know this?
1
Not at all
2
3
4
5
Perfectly
11
Q

Bronquiolitis simple

A

Hay un infiltrado inflamatorio agudo o crónico en la pared bronquial
-Menores de 2 años
-Infección de vías superiores+sibilancias y taquipnea
-Estacional
-VSR, rinovirus

How well did you know this?
1
Not at all
2
3
4
5
Perfectly
11
Q

definición de Bronquiolitis

A

Inflamación de los bronquiolos respiratorios

How well did you know this?
1
Not at all
2
3
4
5
Perfectly
12
Q

Bronquiolitis obliterante constrictiva

A

Se añade una fibrosis intraluminal, a veces muy importante que puede producir obliteración completa de la luz de la vía aerea
-Tos poco productiva y disnea progresiva
-Conectivopatías-AR
-Postrasplante
-Inhalación de tóxicos-cloro
-Postinfecciosa
-Idiopática
-TACAR-espiración
-Biopsia

How well did you know this?
1
Not at all
2
3
4
5
Perfectly
13
Q

Bronquiolitis proliferativa

A

-Disnea, tos, espectoración, febricula, pérdida de peso
-Neumonía organizada criptogénica

How well did you know this?
1
Not at all
2
3
4
5
Perfectly