What is the core principles of Minimum Intervention Dentistry?

When should bitewings be part of the assessment for children?
And what is the UK FGDP guidance?
Should be part of assessment for children aged 4 years and above.
In the UK FGDP guidance (risk based):
→For children at increased risk of developing caries: 6-–12 months.
→For all other children: 12-–18 months for primary teeth and approx. 2 yearly for permanent teeth.
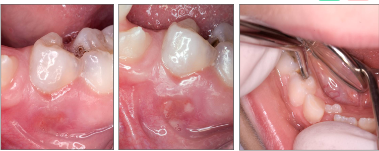
How would you Diagnosing sepsis?


How often should Flouride Varnish be applied in children?
What is the main allergen in Flouride Varnish?
Should be applied 2-4 times a year where child is at increased risk of caries. (Mark Robertson recommends on all children tho)
Colophony is a very potent alergen!
What 2 questions MUST you ask before you apply Duraphat (Fluoride Varnish)?
Have you ever been hospatilized with asthma?
If yes then you must not apply Duraphat!
Do you have any allergies to elastoplasts?
If yes do not give it.
When do you apply Fissure Selants Resin in Children?
Or what is a temporary option instead of Fissure Selants?
Applied, and maintain in all susceptible pits and fissures where child is at increased risk of caries.
Althought SDCEP says it should be applied to all 6s regardless of the caries risk
Glass ionomer selant as “temporary” option.
What is the summary of REMINERALISATION?
·Use remineralisation (prevention) strategies for all carious lesions (The Fantastic 4)
·Consider other remineralising technologies such as silver diammine fluoride
·Be sure to follow-up all caries being managed with remineralisation strategies; the only true definition of an arrested caries lesion is one that does not get bigger over time!
Learn this diagram.
As is goes towards the right it becomes less predicatble, more child friendly but also more outwith dentists hand and into hand of carer and child.

In a Repair what are the 2 main approaches for Managing carious lesion/ biofilm?
± Fluoride varnish/ (SDF)
What is the Hall Technique?
The Hall Technique is a simple method for using metal crowns (SSCs) to manage carious primary molar teeth by seating a correctly sized crown over the tooth, and sealing the carious lesion in using a glass ionomer luting cement.

When can you use the Hall Technique?
What are Non-Restorative Cavity Control - advantages?
→if access available and don’t need to cut through sound dentine
What are Non-Restorative Cavity Control - disadvantages?
→will require more of your clinical skill than finding the fourth canal in an upper first permanent molar in a patient with trismus and a profound gag reflex!!
Silver and Flouride are becoming more common.
Why is silver growing in use?
Bacteria – interacts with bacterial cell membranes and bacterial enzymes that can inhibit bacterial growth. Silver ions degrade cell walls, disrupt bacterial DNA synthesis and disrupt intracellular metabolic processes leading to cell death.
Incorporates into HA to make silver-doped HA
Strong inhibitory effect on cathepsins (protease enzyme which will degrade proteins e.g. collagen) which inhibits dentine collagen degradation
Flouride (mineral formation &collagen degradation inhibition)