CDA - Retina Flashcards

(15 cards)

1
Q

Layers of the retina

A
How well did you know this?
1
Not at all
2
3
4
5
Perfectly
2
Q

PBG

A

1st order - photoreceptors (rods and cones)
2nd order - bipolar cells
3rd order - ganglion cells
interneurons - horizontal and amacrine cells

How well did you know this?
1
Not at all
2
3
4
5
Perfectly
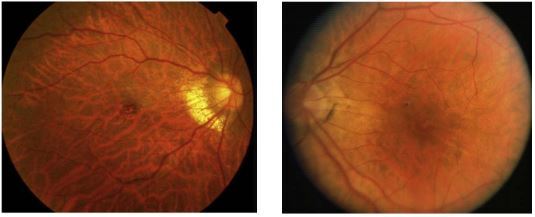
3
Q

Describe this?

A

Tessellated fundus (category 1)
Well define choroidal vessels that can be observed clearly around the fovea and the arcade vessels

How well did you know this?
1
Not at all
2
3
4
5
Perfectly
4
Q

Describe this?

A

Diffuse chorioretinal atrophy (category 2)
- yellowish-white hue
- can extend from disc to posterior pole

How well did you know this?
1
Not at all
2
3
4
5
Perfectly
5
Q

describe this

A

Patchy chorioretinal atrophy (category 3)
- well define grayish white lesions in the macular area or around the ONH
- absence of choroid and RPE as well as the outer retina

How well did you know this?
1
Not at all
2
3
4
5
Perfectly
6
Q

describe this

A

macular atrophy (cat 4)
- well defined grey-white chorioretinal atrophic lesion in the foveal region

How well did you know this?
1
Not at all
2
3
4
5
Perfectly
7
Q

What is this?

A

LAcquer crack
- break in Bruch’s membrane/ RPE/ choroid
- approx 4-9% of high myopic prevalence

How well did you know this?
1
Not at all
2
3
4
5
Perfectly
8
Q

what is this?

A

Myopic CNV (choroidal neovascularisation)
- pathologic myopia most frequent cause of CNV
- macular atrophy develops around the scarred CNV impairing central vision
- growth of new blood vessels from choroid to retina

How well did you know this?
1
Not at all
2
3
4
5
Perfectly
9
Q

what is this?

A

Fuchs’ spot
- late stage myopic CNV scar

How well did you know this?
1
Not at all
2
3
4
5
Perfectly
10
Q

what is this?

A

pavingstone degeneration / cobblestone degeneration
- peripheral chorioretinal atrophy associated with pathological myopia

How well did you know this?
1
Not at all
2
3
4
5
Perfectly
11
Q

what is this?

A

Lattice degeneration
- increase the risk of RD
- high prevalence of 30% in high myopes
- does not affect vision

How well did you know this?
1
Not at all
2
3
4
5
Perfectly
12
Q

what are the two arrows pointing towards?

A

Top – horseshoe tear
bottom – operculated tear

Note:
Tear = vitreoretinal traction
break = retinal stretch, not traction

How well did you know this?
1
Not at all
2
3
4
5
Perfectly
13
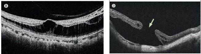
Q

What is this?

A

Macular hole
Right is full thickness mac hole

How well did you know this?
1
Not at all
2
3
4
5
Perfectly
14
Q

What is this

A

PPA of ONH
more marked and enlarged when eye is above -8D

How well did you know this?
1
Not at all
2
3
4
5
Perfectly
15
Q

what is this/

A

White without pressure
- white, grey, flat opacification of the retina that partially obscures the normal choroidal vascular colour and pattern
- not a RD

How well did you know this?
1
Not at all
2
3
4
5
Perfectly