Comment nomme-t-on la manifestation d’une condition qui entraîne un déplacement du contenu orbital vers l’avant? (p. 812)
Nommez trois (3) exemples de pathologies du sac lacrimal qui peuvent entraîner une proptose: (gros Robbins p. 1306)
PS: La proptose entraînée par le grossissement de la glande lacrimale déplace l’oeil en inférieur et en médial; ce n’est donc pas une proptose dite “axiale”, c’est-à-dire directement vers l’avant.
Quelles sont les deux tumeurs primaires du nerf optique les plus fréquentes? (gros Robbins p. 1306)
Nommez une maladie endocrinienne qui peut causer une proptose et expliquez en le mécanisme: (p. 812)

Quels sont les sinus les plus intimement liés à la cavité de l’orbite? (gros Robbins p. 1306)
- Sinus maxillaire: séparé par le plancher de l’orbite
- Sinus ethmoïde: situé en médial de l’oeil, séparé par la lamina papyracea
Nommez une maladie systémique qui doit être éliminée avant de poser le diagnostic d’inflammation idiopathique de l’orbite (pseudotumeur inflammatoire de l’orbite): (p. 813)
De quel type sont les tumeurs primaires de l’orbite les plus fréquentes? (p. 813)
- Tumeurs vasculaires: lymphangiomes, hémangiomes capillaires, hémangiomes caverneux…)
Nommez trois (3) masses de l’orbite qui sont encapsulées: (gros Robbins p. 1307)
Comment classe-t-on les tumeurs des glandes lacrimales? (gros Robbins p. 1307)
Comment nomme-t-on une inflammation causant un blocage du système de drainage des glandes sébacées de la paupière? (p. 813)
Quel est le mécanisme pathophysiologique du chalazion? (gros Robbins p. 1308)
Quels sont les deux néoplasmes malins primaires les plus fréquents au niveau des paupières? (p. 813)
Nommez une néoplasie de la paupières qui peut se développer chez les patients atteints du sida: (p. 814)
À quel endroit, au niveau de la conjonctive, les follicules lymphoïdes sont-ils le plus visibles? Nommez une condition qui peut les rendre visibles à l’examen à la lampe à fente. (gros Robbins p. 1309)
Quel type d’épithélium recouvre chacune de ces parties de la conjonctive? (p. 814)
a) Conjonctive palpébrale
b) Conjonctive des fornix
c) Conjonctive bulbaire
a) Conjonctive palpébrale: épithélium squameux stratifié non kératinisé
b) Conjonctive des fornix: épithélium cylindrique pseudostratifié riche en cellules caliciformes
c) Conjonctive bulbaire: épithélium squameux stratifié non kératinisé
Quel est le lymphome primaire qui se développe le plus souvent au niveau de la conjonctive, et où? (gros Robbins p. 1309)
Dans quels ganglions régionaux les néoplasmes de la paupière et de la conjonctive tendent-ils à se métastasier? (gros Robbins p. 1309)
Nommez une infection à risque de produire une cicatrice conjonctive significative: (gros Robbins p. 1309)
Outre l’infection à Chlamydia trachomatis, nommez deux (2) éléments qui peuvent causer une cicatrisation de la conjonctive: (p. 814)
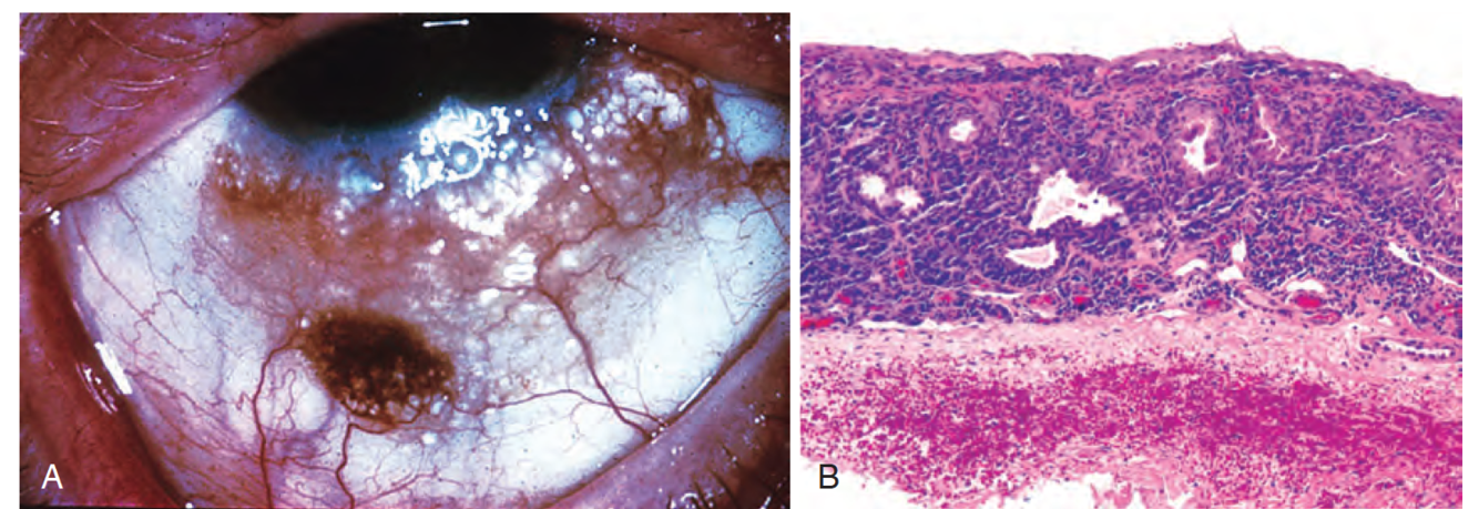
Nommez deux pathologies qui consistent en des surélévations sous-muqueuses de la conjonctive et quel est leur étiologie : (gros Robbins p. 1309)
- Pinguecula: Croissance de la muqueuse conjonctivale et du tissu conjonctif fibrovasculaire provenant de la limbe et envahissant la cornée; La vision n’est généralement pas affectée
- Pterygium: n’envahit pas la cornée mais peut affecter la distribution du film lacrymalel et entraîner une déshydratation focale.
Ce sont des changements secondaires aux dommages par le soleil
Vrai ou faux?
Les HPV type 16 et 18 peuvent être associés aux papillomes squameux et aux néoplasies intraépithéliales de la conjonctive.
(gros Robbins p. 1309)
Nommez une caractéristique histologique des nevus composés de la conjonctive qui les différencient des nevus épidermiques: (gros Robbins p. 1309)

Comment nomme-t-on la lésion précurseure du mélanome de la conjonctive? (gros Robbins p. 1309)
Nommez quatre (4) causes de sclères bleutées: (gros Robbins p. 1310)