Chapter 148 - Metastatic Bone Disease Flashcards

(6 cards)

1
Q

mets that look like this:

A

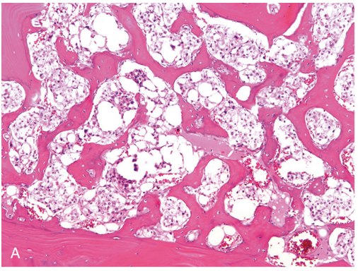
blastic lesion: prostate or bladder

How well did you know this?
1
Not at all
2
3
4
5
Perfectly
2
Q

mets that look like this:

A

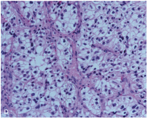
lung cancer

How well did you know this?
1
Not at all
2
3
4
5
Perfectly
3
Q

mets that look like this:

A

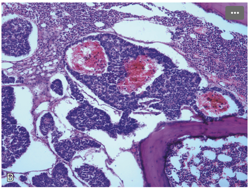
thyroid cancer

How well did you know this?
1
Not at all
2
3
4
5
Perfectly
4
Q

mets that look like this

A

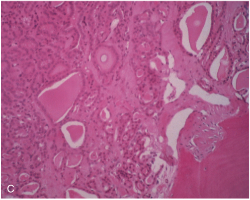
renal cell (clear cell)

How well did you know this?
1
Not at all
2
3
4
5
Perfectly
5
Q

workup for mets includes what additional imaging?

A

ct c/a/p to look for primary tumor

How well did you know this?
1
Not at all
2
3
4
5
Perfectly
6
Q

tx for hypercalcemia of malignancy

A

aggressive hydration and diphosphonates

How well did you know this?
1
Not at all
2
3
4
5
Perfectly