Du arbetar som underläkare på akutmottagningen och blir av sköterskan ombedd att ta hand om Ulf 65 år. Han söker akut pga problem med synen; han uppger att synen för vänster öga blev ”dimmig” och en kort stund senare blev det som om en rullgardin dragits ned för detta öga. Han såg då bara med höger öga. Efter några minuter försvann de vänstersidiga ögonbesvären helt, men återkom några timmar senare varpå Ulf´s hustru kör in sin make till akuten.
Vilka differentialdiagnoser tänker Du på i detta tidiga skede?
Symptomen med helt nedsatt synförmåga på ett öga som dessutom återkommer gör att man misstänker att Ulf har/har haft ischemi av vänster retina. Det finns också ögonspecifika orsaker som bör uteslutas – ex glaukom, optikusneurit, temporalisarterit.
Du arbetar som underläkare på akutmottagningen och blir av sköterskan ombedd att ta hand om Ulf 65 år. Han söker akut pga problem med synen; han uppger att synen för vänster öga blev ”dimmig” och en kort stund senare blev det som om en rullgardin dragits ned för detta öga. Han såg då bara med höger öga. Efter några minuter försvann de vänstersidiga ögonbesvären helt, men återkom några timmar senare varpå Ulf´s hustru kör in sin make till akuten.
Hur vill Du handlägga Ulf initialt på akuten?
Anamnes
Status
Du arbetar som underläkare på akutmottagningen och blir av sköterskan ombedd att ta hand om Ulf 65 år. Han söker akut pga problem med synen; han uppger att synen för vänster öga blev ”dimmig” och en kort stund senare blev det som om en rullgardin dragits ned för detta öga. Han såg då bara med höger öga. Efter några minuter försvann de vänstersidiga ögonbesvären helt, men återkom några timmar senare varpå Ulf´s hustru kör in sin make till akuten
Socialt: Gift, inga barn, icke rökare, ingen alkoholöverkonsumtion. Arbetar som snickare. Tidigare sjukdomar: Appendectomerad i tonåren. Nuvarande sjukdomar: Astma senaste ca 30 åren. Aktuella medicner; Inh Ventoline och Inh Pulmicort Delar av Status: AT: Opåverkad. Kraftig övervikt. Cor: Regelbunden rytm med frekventa extraslag, inga säkra biljud, frekvens ca 72/min Pulm: Auskulteras väs ua, basalt lätta obstruktiva inslag. Bltr: 165/100 Neurologi: Vaken och klar, orienterad x 3. Visus bilat ua. Övriga cranialnerver testas ua. Motoriskt och sensoriskt ua i samtliga fyra extremiteter. Sedvanliga extremitetsreflexer sidlika, normala.
För ett resonemang, utifrån den information du nu har om Ulf´s anamnes och status, till den bakomliggande sjukdomsorsaken. Finns det information du anser är viktig och som du saknar
Du arbetar som underläkare på akutmottagningen och blir av sköterskan ombedd att ta hand om Ulf 65 år. Han söker akut pga problem med synen; han uppger att synen för vänster öga blev ”dimmig” och en kort stund senare blev det som om en rullgardin dragits ned för detta öga. Han såg då bara med höger öga. Efter några minuter försvann de vänstersidiga ögonbesvären helt, men återkom några timmar senare varpå Ulf´s hustru kör in sin make till akuten.
Delar av anamnes: Socialt: Gift, inga barn, icke rökare, ingen alkoholöverkonsumtion. Arbetar som snickare. Tidigare sjukdomar: Appendectomerad i tonåren. Nuvarande sjukdomar: Astma senaste ca 30 åren. Aktuella medicner; Inh Ventoline och Inh Pulmicort Delar av Status: AT: Opåverkad. Kraftig övervikt. Cor: Regelbunden rytm med frekventa extraslag, inga säkra biljud, frekvens ca 72/min Pulm: Auskulteras väs ua, basalt lätta obstruktiva inslag. Bltr: 165/100 Neurologi: Vaken och klar, orienterad x 3. Visus bilat ua. Övriga cranialnerver testas ua. Motoriskt och sensoriskt ua i samtliga fyra extremiteter. Sedvanliga extremitetsreflexer sidlika, normala.
Vilka riskfaktorer har Ulf?
Du arbetar som underläkare på akutmottagningen och blir av sköterskan ombedd att ta hand om Ulf 65 år. Han söker akut pga problem med synen; han uppger att synen för vänster öga blev ”dimmig” och en kort stund senare blev det som om en rullgardin dragits ned för detta öga. Han såg då bara med höger öga. Efter några minuter försvann de vänstersidiga ögonbesvären helt, men återkom några timmar senare varpå Ulf´s hustru kör in sin make till akuten
Socialt: Gift, inga barn, icke rökare, ingen alkoholöverkonsumtion. Arbetar som snickare. Tidigare sjukdomar: Appendectomerad i tonåren. Nuvarande sjukdomar: Astma senaste ca 30 åren. Aktuella medicner; Inh Ventoline och Inh Pulmicort Delar av Status: AT: Opåverkad. Kraftig övervikt. Cor: Regelbunden rytm med frekventa extraslag, inga säkra biljud, frekvens ca 72/min Pulm: Auskulteras väs ua, basalt lätta obstruktiva inslag. Bltr: 165/100 Neurologi: Vaken och klar, orienterad x 3. Visus bilat ua. Övriga cranialnerver testas ua. Motoriskt och sensoriskt ua i samtliga fyra extremiteter. Sedvanliga extremitetsreflexer sidlika, normala.
Vilken/vilka diagnostiska undersökningar vill du göra? Motivera
På vilket sätt kan excessivt alkoholintag påverka ex 65-åriga Ulf?
Hjärtaarrytmi
Högt blodtryck
Koagulationsparametrar - ökar risken för stroke
Vilka är för- och nackdelarna med DT?
Vilka är för- och nackdelarna med MR?
Vid förmaksflimmer ses en ökad risk för stroke, hur mkt ökar risken?
x5

Stroke
Patienten kommer in med förmodad stroke, NIH-strokeskala görs först, vilken undersökning vill du göra sen?
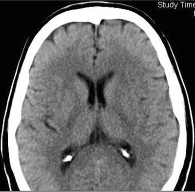
Vad ses på denna DT?


Alteplas är en rekombinant human vävnadsplasminogen¬aktivator, ett glukoprotein, som aktiverar plasminogen till plasmin. Efter intravenös tillförsel förblir alteplas relativt inaktivt i systemcirkulationen. Efter bindning till fibrin sker en aktivering som leder till omvandling av plasminogen till plasmin, vilket i sin tur leder till upplösning av fibrintromben.