DPOC 17/05 Flashcards

(79 cards)

1
Q

Quais parâmetros essenciais na espirometria para as provas? (3)

A
  • VEF 1 (volume expirado forçado no 1s)
  • CVF (capacidade vital forçada)
  • Índice de Tiffenau (VEF1 / CVF)
How well did you know this?
1
Not at all
2
3
4
5
Perfectly
2
Q

Cite 4 causas de padrão obstrutivo na espirometria.

A

DPOC
Asma
Bronquiectasia
Bronquiolite

How well did you know this?
1
Not at all
2
3
4
5
Perfectly
3
Q

Fibrose cística tem padrão restritivo ou obstrutivo a espirometria?

A

Obstrutivo

How well did you know this?
1
Not at all
2
3
4
5
Perfectly
4
Q

Cite 1 causa de padrão restritivo na espirometria.

A

Pneumopatias intersticial difusa

How well did you know this?
1
Not at all
2
3
4
5
Perfectly
5
Q

Como é a espirometria do distúrbio obstrutivo?

A

VEF1/CVF reduzido
VEF 1 muito reduzido
CVF normal ou reduzido

How well did you know this?
1
Not at all
2
3
4
5
Perfectly
6
Q

Definição de prova broncodilatadora positiva.

A

VEF1
Maior ou igual 200mL e > 12% do valor previsto

CVF
Maior ou igual 350mL (volume)

How well did you know this?
1
Not at all
2
3
4
5
Perfectly
7
Q

Verdadeiro ou falso:

Espirometria não fecha diagnóstico de distúrbio restritivo

A

Verdadeiro

How well did you know this?
1
Not at all
2
3
4
5
Perfectly
8
Q

CVF no distúrbio restritivo.

A

Reduzido

How well did you know this?
1
Not at all
2
3
4
5
Perfectly
9
Q

Interpretação da espirometria.
Cite os 2 primeiros passos.

A
  • olhar VEF1 / CVF.
  • depois olhar CVF.

Se VEF1/CVF acima LIN e CVF normal = espirometria normal
Se VEF1/CVF < LIN e CVF normal = obstrutivo.
Se VEF1/CVF < LIN e CVF reduzido = obstrutivo ou misto

How well did you know this?
1
Not at all
2
3
4
5
Perfectly
10
Q

Quando desconfiar de distúrbio misto na espirometria?

A

VEF1/CVF < 70% e CVF reduzido.
Pode ser tanto obstrutivo quanto restritivo associado.

How well did you know this?
1
Not at all
2
3
4
5
Perfectly
11
Q

Como confirmar se o distúrbio é misto na espirometria?

A
  • VEF1/CVF 1 reduzido + CVF reduzido.
  • calcular diferença percentual entre CVF e VEF pré-BD.
How well did you know this?
1
Not at all
2
3
4
5
Perfectly
12
Q

Verdadeiro ou falso:
A ICC pode alterar a espirometria.

A

Verdadeiro.
Apresenta-se como um distúrbio restritivo por congestão do parênquima pulmonar.

How well did you know this?
1
Not at all
2
3
4
5
Perfectly
13
Q

Paciente asmático que vai fazer espirometria precisa suspender os broncodilatadores?

A

Sim, para aumentar a sensibilidade do teste.
SABA por pelo menos 4 horas
LABA por pelo menos 15 horas

How well did you know this?
1
Not at all
2
3
4
5
Perfectly
14
Q

Asma
O que fazer se a espirometria for negativa e houver forte suspeição clínica?

A

Realizar broncoprovocação com broncoconstritores ou exercício.

How well did you know this?
1
Not at all
2
3
4
5
Perfectly
15
Q

Asma
Diagnóstico com o uso do pico de fluxo expiratório (PFE)

A

Variabilidade > 10% ou aumento de > 20% da PFE

How well did you know this?
1
Not at all
2
3
4
5
Perfectly
16
Q

Asma
Se o paciente for reversível ao volume, qual variável que muda na espirometria?

A

CVF

How well did you know this?
1
Not at all
2
3
4
5
Perfectly
17
Q

Asma
Se o paciente for reversível ao fluxo, qual variável que muda na espirometria?

A

VEF1

How well did you know this?
1
Not at all
2
3
4
5
Perfectly
18
Q

Classificação dos distúrbios obstrutivos na espirometria.

A

Leve - 60% até o LIN (limite inferior da normalidade)
Moderado - 41-59%
Grave - menor ou igual 40%

How well did you know this?
1
Not at all
2
3
4
5
Perfectly
19
Q

Verdadeiro ou falso:
A incidência do DPOC está aumentando.

A

Verdadeiro.
É a terceira causa de morte no mundo.

How well did you know this?
1
Not at all
2
3
4
5
Perfectly
20
Q

Fatores de risco para DPOC.

A
  • Tabagismo
  • Cigarro eletrônico
  • Maconha
  • Exposição passiva
  • Poluição
  • Queima de biomassa
  • Exposição ocupacional
  • Deficiência de a1-antitripsina
  • Baixo peso ao nascer
  • tabagismo materno durante gestação
How well did you know this?
1
Not at all
2
3
4
5
Perfectly
21
Q

Verdadeiro ou falso:
A tosse do paciente DPOC é pior de manhã.

A

Verdadeiro.

Hiperplasia de glândulas que produzem muco faz parte da fisiopatologia da doença (fica acumulado durante a noite).

How well did you know this?
1
Not at all
2
3
4
5
Perfectly
22
Q

Qual protótipo do paciente com DPOC tem maior risco de neoplasia de pulmão?

A

Pink puffer

How well did you know this?
1
Not at all
2
3
4
5
Perfectly
23
Q

No distúrbio obstrutivo, por que o VEF1 reduz?

A

O paciente obstruído expira pouco no primeiro segundo.
Faz um pico menor e com menor velocidade.
Para compensar, alonga o tempo expiratório.

How well did you know this?
1
Not at all
2
3
4
5
Perfectly
24
Q

Diagnóstico espirometria da DPOC. (3)

A
  • limitação do fluxo expiratório
  • VEF 1 e VEF1/CVF reduzidos
  • VEF1/CVF < 0,7 pós BD
How well did you know this?
1
Not at all
2
3
4
5
Perfectly
25
Conclusão: 1) VEF1/CVF acima do limite inferior normal. 2) CVF normal
Espirometria normal
26
VEF1/CVF abaixo do limite inferior normal CVF reduzido Qual a conclusão?
Precisa calcular a diferença do percentual CVF - VEF1. Pode ser uma distúrbio obstrutivo ou misto.
27
Sexo masculino é fator de risco para DPOC?
Sim, assim como idade > 60 anos também é
28
Quais são os 4 pilares da fisiopatologia do DPOC?
- bronquite obstrutiva crônica - doença de pequenas vias aéreas (bronquiolite) - principal componente da obstrução - enfisema pulmonar - destruição da vasculatura pulmonar
29
Cite 3 características do blue bloater.
- bronquite crônica - inflamação de via aérea pronunciada - hipoventilação —> hipoxemia - cor pulmonale
30
Cite 3 características do pink puffer.
- enfisema e destruição parênquima - trabalho respiratório aumentado - policitemia —> rosado - maior risco de neoplasia de pulmão
31
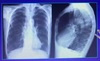
Cite 3 achados no RX do DPOC.
- aumento dos espaços intercostais - coração verticalizado - diafragma retificado e abaixado - aumento do espaço retroesternal - aumento irregular na transparência pulmonar Isto é, hiperinsuflação.
32
Quando realizar a pesquisar de deficiência de alfa-1-antitripsina no DPOC?
- GOLD 2023: todos - antigamente: < 45 anos e enfisema panlobular e basal
33
É possível reverter a bronquite com a cessação do tabagismo?
Sim. É a inflamação crônica causada pelo tabaco, sem obstrução ainda.
34
Verdadeiro ou falso: Pode haver pletora facial, pulso paradoxal e baqueteamento digital no paciente com DPOC.
Falso. Pletora facial e pulso paradoxal podem ocorrer, no entanto a presença de baqueteamento deve levar a investigação de câncer de pulmão e doença intersticial pulmonar por exemplo.
35
Verdadeiro ou falso: Paciente DPOC tem aumento do volume residual.
Verdadeiro.
36
Quando solicitar TC de tórax no DPOC?
Não pedir de rotina. Solicitar se exacerbações recorrentes, dispneia persistente apesar de terapia otimizada, descartar TEP e suspeita de malignidade.
37
Classificação da gravidade do DPOC.
Considera VEF1 pós BD. Leve - VEF1 maior ou igual 80% do previsto Moderada - VEF1 entre 50-79% Grave - VEF entre 30-49% Muito grave - VEF < 30%
38
A partir de quantos pontos no mMRC o paciente DPOC é considerado sintomático?
Maior ou igual 2 pontos
39
A partir de quantos pontos no CAT o paciente DPOC é considerado sintomático?
10 ou mais pontos
40
Quando o paciente DPOC é considerado exacerbador?
2 ou mais exacerbações no último ano 1 ou mais exacerbação com internação
41
Como é a nova classificação do DPOC pelo GOLD 2023?
A - pouco sintomático e não exacerbador B - muito sintomático e não exacerbador E - exacerbador
42
Classificação DPOC antiga do GOLD.
A - pouco sintomático e não exacerbador B - muito sintomático e não exacerbador C - pouco sintomático e exacerbador D - muito sintomático e exacerbador
43
Qual o principal fármaco no DPOC?
Broncodilatadores. - não mudam mortalidade Corticoide inalatório tem papel limitado no DPOC.
44
Atualização. Qual terapia farmacológica pode mudar mortalidade no DPOC se bem indicado?
LABA + LAMA + CI
45
Qual o tratamento no GOLD A?
Broncodilatador De preferência, de longa duração.
46
Tratamento no GOLD B.
LABA + LAMA
47
Quando indicar corticoide inalatório no DPOC?
- GOLD E com eosinófilos > 300 - GOLD E com eosinofilos > 100 mantendo exacerbações mesmo com LAMA + LABA
48
Quais condutas reduzem mortalidade no DPOC?
- cessar tabagismo - oxigenioterapia corretamente indicada - cirugia pneumorredutora
49
Vacinas indicadas para o paciente DPOC.
- covid 19 - influenza - anti- pneumocócica - herpes zoster (não tem no sus) Além das usuais do idoso: hepatite B, dT, coqueluche
50
Esquema de vacinação anti-pneumocócica no DPOC.
- pneumo 13 - 2 meses após vai tomar a pneumo 23 - depois de 5 anos, a dose de reforço da pneumo 23
51
Indicações de O2 domiciliar no DPOC.
- SATO2 menor ou igual 88% Ou - pO2 menor ou igual 55mmHg Ou - pO2 56 - 59 ou SATO2 89% + cor pulmonale ou HT > 55% Em repouso, fora de exacerbação.
52
Indicação de coletar gasometria na consulta ambulatorial.
- SATO2 < 92% Ou - sinais de insuficiência respiratória
53
Verdadeiro ou falso: Assim como na asma, o uso de SABA isolado aumenta a mortalidade no DPOC.
Falso
54
O que é LAMA?
Antimuscarínico de longa duração. Por exemplo, tiotrópio e glicopirrônio Causa relaxamento da musculatura brônquica. Lembrar sinônimo de anticolinérgico.
55
Verdadeiro ou falso: LABA é superior ao LAMA em redução de exacerbação no DPOC.
Falso. O LAMA é superior em reduzir exacerbações e internações no DPOC.
56
Cite 1 exemplo de SAMA.
Antimuscarínico de curta duração. Por exemplo, ipatrópio
57
Qual o principal objetivo do uso do macrolideo regular no DPOC?
Reduzir exacerbações principalmente pelo seu efeito anti-inflamatório.
58
Pode usar n-acetilcisteina no DPOC?
Sim.
59
Nova definição de exacerbação de DPOC pelo GOLD 2023.
Piora clínica da dispneia ou tosse com expectoração, nos últimos 14 dias, acompanhada de taquipneia e/ou taquicardia
60
Quais os pilares do tratamento da exacerbação do DPOC?
A ATB B broncodilatador de curta duração C corticoide D Dar oxigênio
61
Classificação da exacerbação do DPOC
- leve - resolvida com SABA no ambulatório - moderada - necessidade de ATB e corticoide - grave - internação
62
Quando indicar ATB na descompensação do DPOC?
Critérios de Anthonisen (2 ou mais incluindo purulência no escarro): - aumento da dispneia - aumento do volume do escarro - aumento da purulência no escarro
63
Qual o ATB empírico no DPOC exacerbado?
Betalactamico + macrolideo por 5-7 dias
64
Cite as 3 principais bactérias envolvidas na exacerbação do DPOC.
- H.influenzae - Pneumococo - M. Catarralis
65
Cite 3 critérios de internação hospitalar no DPOC exacerbado.
- dispneia em repouso - alterações novas cardiológicas (cianose, arritmia, cor pulmonale) - presença de morbidades graves não controladas
66
Alvo de SATO2 na descompensação do DPOC.
88-92%
67
Verdadeiro ou falso: O uso do ATB na descompensação do DPOC reduz mortalidade.
Verdadeiro. Se adequadamente utilizado reduz mortalidade. Está indicado para exacerbações moderadas a graves.
68
Cite 4 fatores de risco para a infecção por pseudomonas no DPOC exacerbado.
- GOLD 4 - ATB de amplo espectro nos últimos 3 meses - bronquiectasias - uso contínuo de corticoide sistêmico
69
Verdadeiro ou falso: No DPOC exacerbado, a preferência é pelo corticoide EV.
Falso. Não há superioridade do EV em relação ao VÓ. Prednisona 40mg 1x/dia por 5 dias.
70
Na retenção de pCO2 crônica, a cada aumento de 10mmHg acima de 40 quanto sobe de HCO3?
4 HCO3
71
Indicação de VNI no DPOC descompensado. (3)
- pH menor ou igual 7,35 + pCO2 maior ou igual 45 - dispneia com sinais de falência respiratória - hipoxemia persistente apesar de oxigênio suplementar
72
Cite as duas classes de broncodilatadores utilizados no DPOC
- b2 agonistas - Antimuscarínicos
73
Pelo GOLD antigo, qual a melhor medicação para o paciente C?
LAMA
74
Verdadeiro ou falso: Infecção, TEP e ICC são importantes desencadeares de descompensação na DPOC.
Falso. Segundo o UpToDate, cerca de 70-80% das exacerbações são caudadas por infecções (principalmente virais). O restante é inflamação (sem infecção), poluição, ma adesão. TEP e ICC não costumam ser desencadeantes
75
Verdadeiro ou falso: A exacerbação da DPOC define gravidade e seu manejo terapêutico.
Verdadeiro
76
Sistema GOLD pode ser usado para estadiar o DPOC?
Sim! Baseia-se nos sintomas, histórico de exacerbações e internações secundários à doença.
77
Verdadeiro ou falso: A terapia domiciliar no DPOC durante o sono é efetiva também.
Falso. Para reduzir mortalidade, o paciente deve usar por pelo menos 15 horas.
78
Estertores em velcro + coração em tamanco holandês + baqueteamento digital.
Lembrar de fibrose pulmonar idiopática.
79
2 características do pulmão DPOC.
- baixa elasticidade (capacidade de retorno à posição inicial) - aumento da complacência (capacidade de acomodar volume de ar).