A 35 year old woman presents with jaundice, RUQ pain and pruitis: whats this presentation typical of?
Primary Sclerosing Cholangitis
biliary disease of unknown aetilogy causing inflammation and sclerosis of the biliary tree.

What is the most common association for patients with PSC to have?
80% of patients with PSC have Ulcerative colitis
**additional risk of complication of cholangiocarcinoma
What are the appropriate blood tests to order to confirm/rule out a diagnosis of coeliac?
Who is most vulnerable to develop Spontaneous bacterial Peritonitis?
Patients with ascites.
Most commonly due to liver cirrhosis
When is it indicated to give prophylactic antibodies against spontaneous bacterial peritonitis?
**and what antibiotics do you use?
When the patient has ascites
+ a protien conc <15 g/L or
+ a previous episode of SBP or
+ child pugh score of 9 or more
They should be given ciprofloxacin or norfloxacin prophylactically
What tests do you need to make a diagnosis of spontaneous bacterial peritonitis?
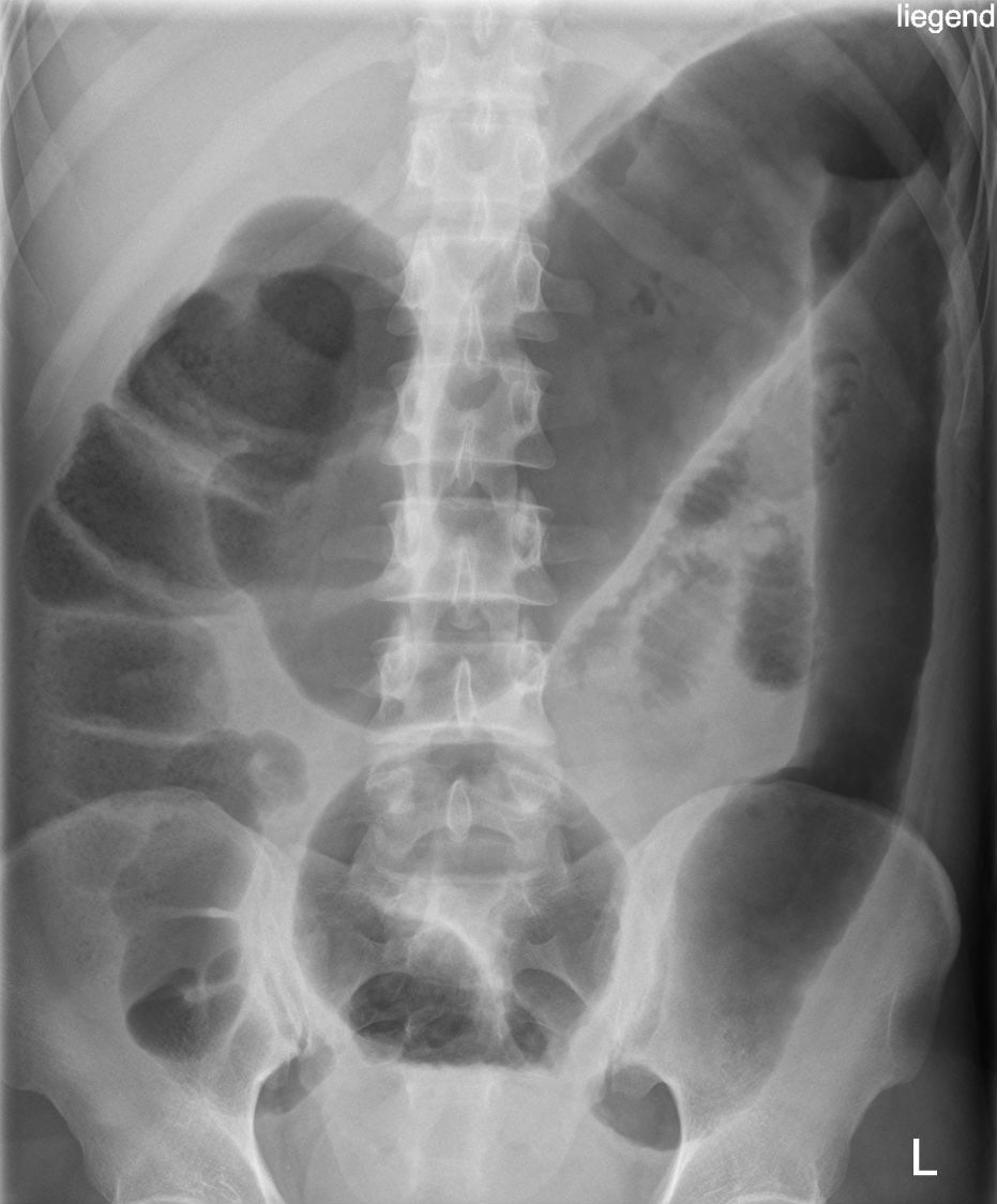
What should you look for on abdominal xray to confirm toxic megacolon?

Which of iron, folate and B12 are those with coeliac disease deficient in?
All three.
This is because coeliacs causes villous atrophy in all regions of the bowel (although maximum impact is seen in the duodenum)
What HLA strands are associated with coeliacs?
HLA-DQ2 and HLA-DQ8
What conditions are associated with coeliacs disease?
What are the three types of bowel ischaemia thatcan occur?

What vessel is usually impacted in acute mesenteric ischaemia and what is the treatment?
The superior mesenteric artery
Tx is surgery, however prognosis is often poor if surgery is delayed.

What vessels are more likely to be impacted in ischaemic colitis?
More common in the watershed ares such as the splenic flextures

how to diagnose ischaemic colitits?
Raised transferrin saturation and ferritin, with low TIBC
This is a characteristic blood result of what disease and why do we get these results?
Haemachromatosis
this is a condition which produces increased iron, leading to increasingly saturated transferrin and raised ferritin.
As ‘TIBC’ refers to total iron binding capacity on transferrin binding sites, this is actually decreased.
Haemachromotosis is caused by a gene mutation of the ____ gene.
On xray joints will show evidence of _______
Haemachromotosis is caused by a gene mutation of the HFE gene.
On xray joints will show evidence of chondrocalcinosis
What investigations will help diagnose Chrohns disease?
What is it called when you have a sweet, faecal breath, and what is this an indicative of?
Fetor Hepaticus: this is indicative of liver failure
a late sign of hepatic encephalopathy
Features of Wilsons Disease
Liver: hepatitis, cirrhosis
Neurological: basal ganglia degeneration, speech, behavioural and psychiatric problems
asterixis, chorea, dementia
Kayser Fleischer rings
Renal Tubular Acidosis
Haemolysis
Blue Nails
What tests could prove a diagnnosis of Wilsons Disease
Reduced serum caeruloplasmin
Reduced Serum copper (counter-intuitive, but 95% of plasma copper is carried by caeruloplasmin)
Increased 24-hour urinary copper excretion
Really high amylase is an indication of…..
Pancreatitis!
Think of the anagram GET SMASHED
Intestinal angina is also know as what?
What is the classical triad seen in this disease?
Also known as Chronic Mesenteric Ischaemia
Triad of:
However this pathology can also be relatively non-specific!
Usually results from long-standing atherosclerotic disease of 2 or more mesenteric vessels
Associations with Helicoabctor Pylori?
Management of H. Pylori?
Triple Therapy of
PPI + amoxicillin + clarithromycin OR
PPI + metronidazole + clarithromycin
***statins and clarithromycin don’t mix!