Hemoparasites Flashcards

(13 cards)

1
Q

Hemotropic Mycoplasmas

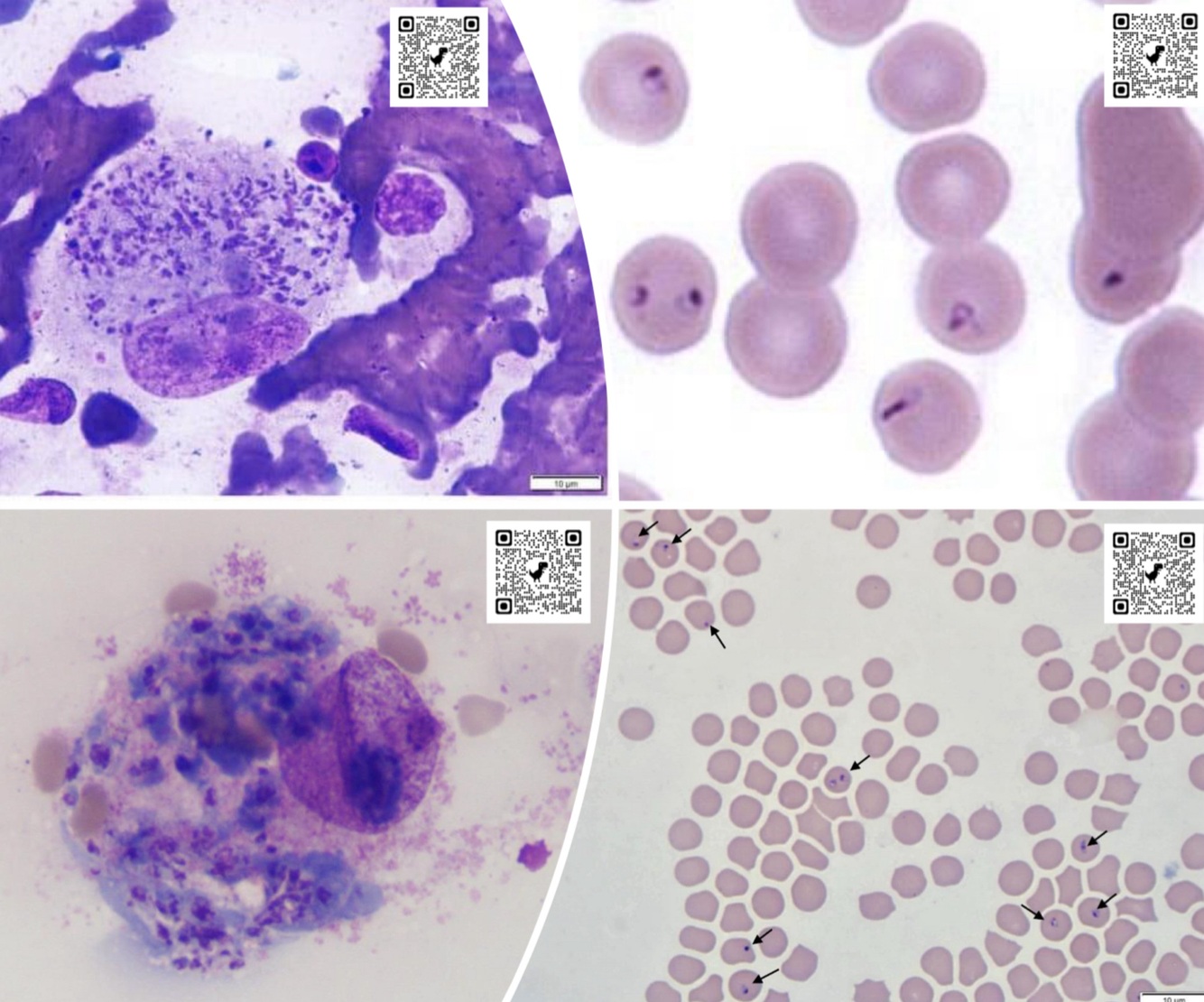
gram-negative bacteria

A
  • epicecullar parasites - associated w/ membrane surface
  • very small cocci, rod, or ring-shaped structures
  • found individually or in chains
  • PCR testing rec. for definitive diagnosis if infxn suspected
  • most domestics have at least 1 species that infects them
  • when they cause anemia 🡒 expect hemolytic anemia (often extravascular)
  • treated animals may become carriers 🡒 recurrence possible

  • can fall of RBCs during transport in vitro
  • can be confused for stain precipate or vice versa

How well did you know this?
1
Not at all
2
3
4
5
Perfectly
2
Q

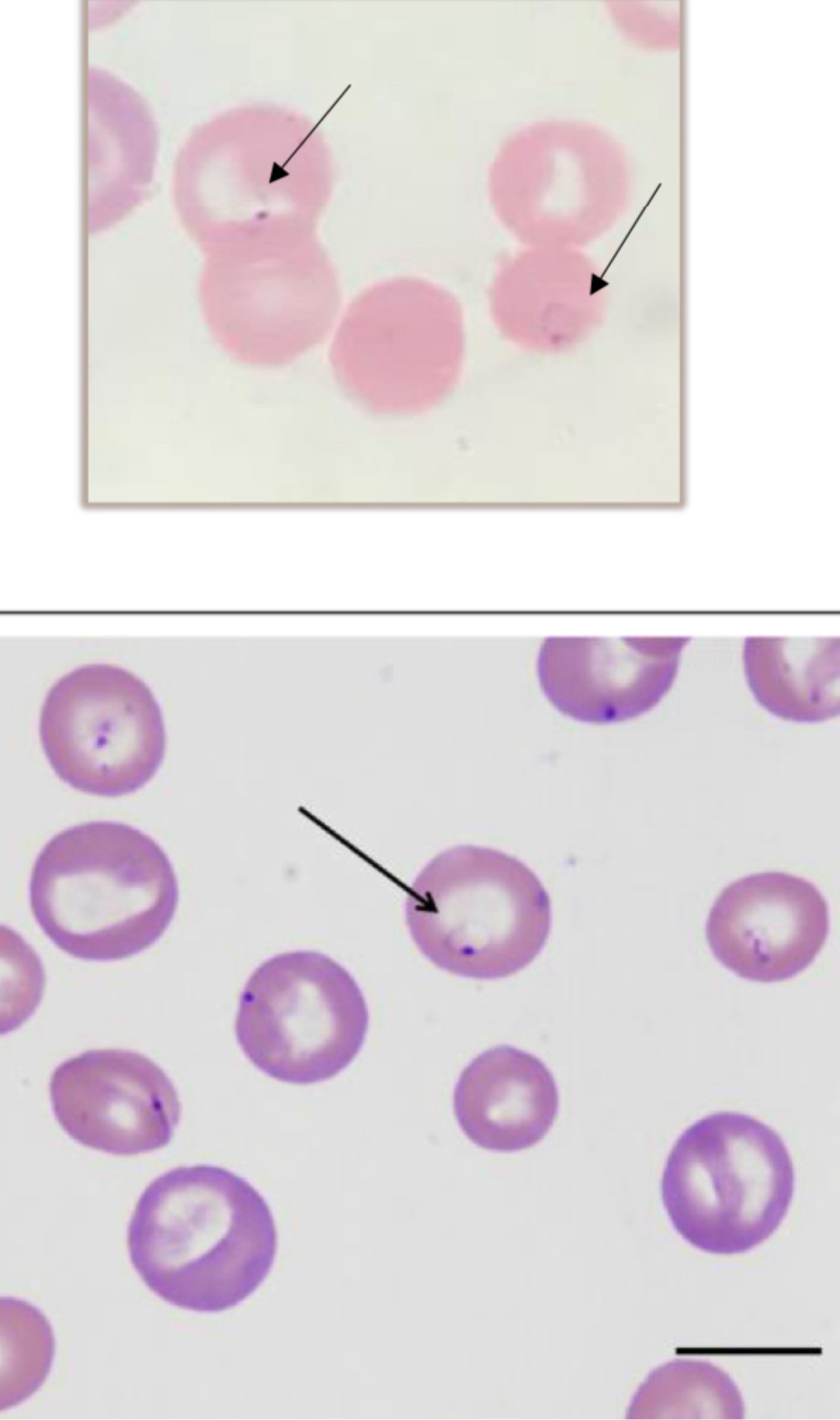
Mycoplasma haemofelis

formerly hemobartonella felis

A
  • can cause disease in normal animals
  • concurrect retroviral infection (FeLV/FIV) can 🡑 susceptibility
  • infxn can result in severe hemolytic anemia
  • cyclic parasitemia
  • survivors often remain carriers

Transmission:
- presumptive vectors: fleas, ticks, mosquitoes
- blood (+ transfusions)
- vertical (queen 🡒 kittens)

How well did you know this?
1
Not at all
2
3
4
5
Perfectly
3
Q

Theileriosis

protozoan

A

protozoal organism that affects ruminants + cervids

species in US are often non-pathogenic but can cause hemolytic anemia

multi-stage lifecycle
- piroplasms in RBCs
- schizonts in lymphocytes

How well did you know this?
1
Not at all
2
3
4
5
Perfectly
4
Q

Morphologic overlap between several IC organisms:

A

Theileria spp. + cytauxzoon felis + babesia spp.

we use patient species +/- geographic location to develop plausible differential diagnosis lists

then use molecular testing to definitively identify organism

How well did you know this?
1
Not at all
2
3
4
5
Perfectly
5
Q

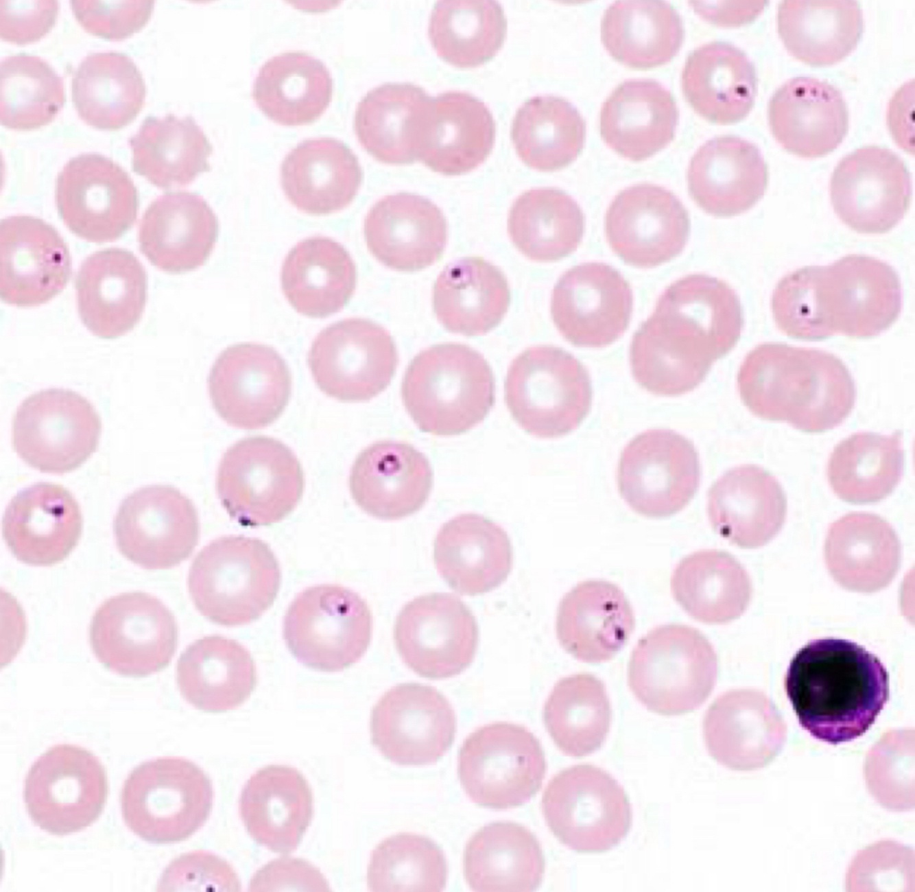
Cytauxzoon felis

(protozoan)

A

feline pathogen of southern + south-central + midwest + mid-atlantic US

piroplasms in RBCs
- basophillic, round to signet-ring structures
- ~1-3 microns in diameter

bobcat (lynx rufus) is the wild reservoir
tick vectors

schizonts in tissue macrophages
- these parasitized macrophages are very large + affect blood flow + cell function in affected organs 🡒 accumulation is main cause of clinical signs

can cause severe disease + fatality
- marked depression + lethargy
- high fever
- marked icterus
- leukopenia + thrombocytopenia
- anemia

often fatal for cats that become symptomatic

How well did you know this?
1
Not at all
2
3
4
5
Perfectly
6
Q

Babesiosis

protozoan

A

mainly seen in dogs + cattle

sporozoites penetrate + multiply in RBCs
- can rupture RBCs + subsequently invade other RBCs
- cause IV hemolytic anemia +/- thrombocytopenia
- do not infect other cell types

large (>3u) + small (<3u) Babesia spp.

How well did you know this?
1
Not at all
2
3
4
5
Perfectly
7
Q

Anaplasmosis

rickettsia

A

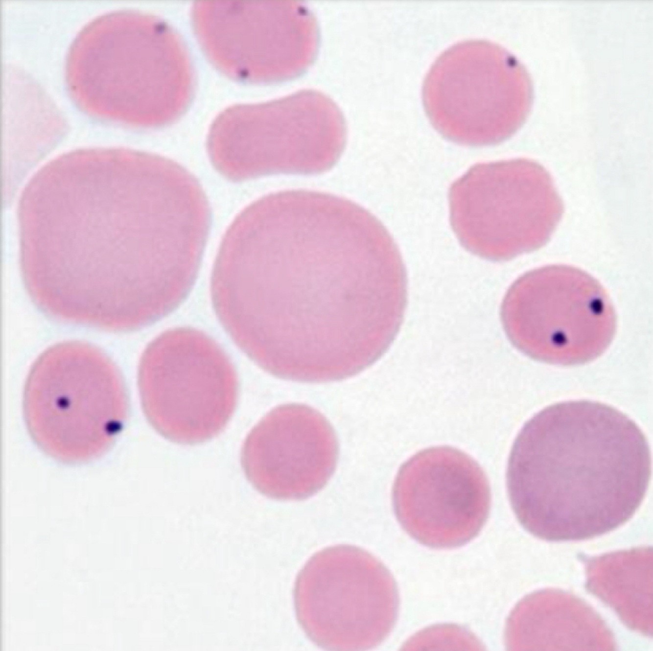
Cattle - anasplasma marginale
- tick vectors, mechanical transmission
- 🡑 parasitemia occurs until anemia develops 🡒 hemolytic crisis
- fever, mild to severe anemia
- survivors become chronic carriers + serve as reservoirs

Must be differentiated from howell-jolly bodies:
- usually anaplasma organisms are not perfectly round + may be smaller than typical H-J bodies

How well did you know this?
1
Not at all
2
3
4
5
Perfectly
8
Q

Hemoproteus + Hemogregarines

protozoa

A

Birds = hemoproteus v reptiles = hemogregarines

usually non to mild pathogenic

How well did you know this?
1
Not at all
2
3
4
5
Perfectly
9
Q

Plasmodium

protozoa

A

birds + reptiles
clinical dz more common to certain bird species

How well did you know this?
1
Not at all
2
3
4
5
Perfectly
10
Q

Leukocytozoon

protozoa

A

birds
pathogenicity low for most birds

How well did you know this?
1
Not at all
2
3
4
5
Perfectly
11
Q

Microfilaria

A

dirofilaria immitis = dogs + cats
dirofilaria repens = dogs + cats in europe
anathoceilonema reconditum = dogs
setaria sp. = cattle + horses
- intestinal roundworm that has a microfilarial stage

How well did you know this?
1
Not at all
2
3
4
5
Perfectly
11
Q
A
How well did you know this?
1
Not at all
2
3
4
5
Perfectly
12
Q
A
How well did you know this?
1
Not at all
2
3
4
5
Perfectly