HERPES ZOSTER Flashcards

(14 cards)

1
Q

¿ETIOPATOGENIA DEL HERPES ZOSTER?

A

ETIOPATOGENIA EL VZV, CON MOLÉCULA LINEAL DE DNA, TIENE UN SOLO SEROTIPO Y PERTENECE A LA FAMILIA HERPESVIRIDAE (HHV-3).

CAUSA VARICELA POR PRIMOINFECCIÓN (ENFERMEDAD GENERALIZADA), Y HERPES ZÓSTER (LOCAL) EN QUIENES POSEEN ANTICUERPOS CIRCULANTES; POR ELLO, ÉSTA EQUIVALE A INFECCIÓN SECUNDARIA O A REACTIVACIÓN DE UNA INFECCIÓN QUE PERMANECE LATENTE, SIN CAMBIOS GENÓMICOS, EN LOS GANGLIOS ESPINALES (CAP. 106).

NO SE ENTIENDEN BIEN LOS MECANISMOS QUE REGULAN ESTA REACTIVACIÓN. SE CREE QUE LA INMUNIDAD CELULAR SUPRIME LA ACTIVIDAD DEL VZV, Y CONSERVA LA LATENCIA, PERO UNA DISMINUCIÓN DE LINFOCITOS T SE RELACIONA CON LA REACTIVACIÓN (NEOPLASIAS MALIGNAS, TRASPLANTES, SIDA, EDAD AVANZADA).

AL PRINCIPIO SE OBSERVA UNA FASE DE REPLICACIÓN QUE PRODUCE ADENITIS Y VIREMIA TRANSITORIA, CON RESPUESTA INFLAMATORIA AGUDA Y NECROSIS NEURONAL QUE DAN POR RESULTADO LA NEURALGIA (NERVIO SENSITIVO); ESTE DAÑO Y LA ACTIVIDAD DE NOCICEPTORES SON CAUSA DE HIPERSENSIBILIDAD Y DOLOR.

EL VIRUS ES LIBERADO HACIA LA PIEL Y EXPERIMENTA UNA SEGUNDA FASE DE REPLICACIÓN, CON CAMBIOS HISTOPATOLÓGICOS IDÉNTICOS A LOS DE LA VARICELA.

NO HAY RELACIÓN CON INMUNIDAD HUMORAL. HOY SE ACEPTA QUE EXISTE DESBALANCE DEL ESTRÉS OXIDATIVO QUE CORRELACIONA CON LA PATOGÉNESIS Y LA CONSECUENTE RESPUESTA INFLAMATORIA. ESTO ES DEMOSTRABLE COMO PREDICTOR DE RIESGO, A TRAVÉS DE LA MEDICIÓN DEL CONTENIDO TOTAL DE POLIFENOLES (TPC) Y DE LA CAPACIDAD ANTIOXIDANTE TOTAL (TAC).

EN MENORES DE DOS AÑOS SE DEBE A VARICELA MATERNA DURANTE LA SEGUNDA MITAD DEL EMBARAZO; NO SE HAN CONFIRMADO DEFECTOS CONGÉNITOS EN ESOS NIÑOS.

DESPUÉS DE EXPOSICIÓN A PACIENTES CON HERPES ZÓSTER O VARICELA, LAS PERSONAS NO INMUNES PUEDEN PRESENTAR ESTA ÚLTIMA, PERO NO HERPES ZÓSTER; ÉSTE ES MENOS CONTAGIOSO QUE LA VARICELA. LOS PACIENTES LIBERAN PARTÍCULAS VÍRICAS DURANTE LOS PRIMEROS SIETE DÍAS DE LA ERUPCIÓN, AUNQUE LA POSIBILIDAD DE TRANSMISIÓN ES MUCHO MENOR DE LO QUE OCURRE CON LA VARICELA.

LA VACUNACIÓN CONTRA VARICELA HA DISMINUIDO LA FRECUENCIA DE VARICELA EN NIÑOS HASTA EN 80%, PERO NO SE HA MODIFICADO LA DEL HERPES ZÓSTER; SE CREE QUE EN ANCIANOS PREVIAMENTE VACUNADOS CONTRA VARICELA EL ZÓSTER SERÁ MENOS GRAVE.

SE SUGIERE QUE LA EXPRESIÓN INMUNE EN CASOS DE VZV, ES PARTICULARMENTE DEBIDA A INTERLEUCINA (IL)-33 SECRETADA POR LOS QUERATINOCITOS LESIONADOS.

How well did you know this?
1
Not at all
2
3
4
5
Perfectly
2
Q

¿TRATAMIENTO DEL HERPES ZOSTER?

A

LOS ANTIVIRALES ORALES GENERALMENTE SE PAUTAN DURANTE 7 DÍAS (CURSO MÁS LARGO EN PACIENTES INMUNODEPRIMIDOS), SIENDO LOS FÁRMACOS UTILIZADOS LOS SIGUIENTES, CON SUS CORRESPONDIENTES PAUTAS:

VALACICLOVIR. 1 G POR VÍA ORAL 3 VECES AL DÍA DURANTE 7 DÍAS.

FAMCICLOVIR. 500 MG POR VÍA ORAL 3 VECES AL DÍA DURANTE 7 DÍAS EN INMUNOCOMPETENTES Y DURANTE 10 DÍAS EN INMUNODEPRIMIDOS.

ACICLOVIR. 800 MG POR VÍA ORAL 5 VECES AL DÍA DURANTE 7-10 DÍAS.

BRIVUDINA. 125 MG POR VÍA ORAL, UNA VEZ AL DÍA DURANTE 7 DÍAS.

EN OCASIONES NO SE REQUIERE, PRINCIPALMENTE EN NIÑOS Y JÓVENES, PORQUE EL CUADRO DESAPARECE DE MANERA ESPONTÁNEA, SIN SÍNTOMAS ULTERIORES.

SI SE OBSERVA INFECCIÓN AGREGADA SE RECOMIENDAN ANTISÉPTICOS SUAVES.

EN UN CASO ORDINARIO SE ADMINISTRAN PARA ALIVIO DE LOS SÍNTOMAS: FOMENTOS CON AGUA DE VEGETO (SUBACETATO DE PLOMO A PARTES IGUALES CON AGUA DESTILADA), SOLUCIÓN DE BUROW (ACETATO DE CALCIO Y SULFATO DE ALUMINIO) O TÉ DE MANZANILLA; DESPUÉS SE APLICA SÓLO TALCO SIMPLE.

PARA LAS MOLESTIAS QUE ACOMPAÑAN A LAS LESIONES CUTÁNEAS SON ACONSEJABLES ANALGÉSICOS COMO EL ÁCIDO ACETILSALICÍLICO, 500 MG, O LA COMBINACIÓN CON PROPOXIFENO Y CAFEÍNA 2 A 3 VECES AL DÍA; TAMBIÉN PUEDE USARSE CLONIXINATO DE LISINA U OTROS.

HAY CONTROVERSIA EN CUANTO A LA UTILIDAD DE LOS GLUCOCORTICOIDES (PREDNISONA) EN LA NEURITIS (VÉASE CAP. 169); DURANTE LOS PRIMEROS CINCO A 10 DÍAS ES NECESARIO ADMINISTRAR 40 A 60 MG/ DÍA DE PREDNISONA DURANTE OCHO DÍAS, Y LUEGO REDUCCIÓN PROGRESIVA EN TRES SEMANAS MÁS.

SE RECOMIENDA COMBINARLOS CON ANTIVIRALES EN LA LOCALIZACIÓN ÓTICA.

EL EMPLEO DE ESTEROIDES SISTÉMICOS NO PREVIENE LA NEURALGIA POSHERPÉTICA.

EXISTE ACUERDO UNIVERSAL EN QUE LOS ANTIVIRALES FUNCIONAN CUANDO SON ADMINISTRADOS EN LAS PRIMERAS 72 HORAS, QUE SE ESTÁN FORMANDO LAS VESÍCULAS. LA BIODISPONIBILIDAD ORAL DE LOS ANTIVIRALES DETERMINA EL NÚMERO DE ADMINISTRACIONES DIARIAS.

SE UTILIZAN ANTIVIRALES COMO: RIBAVIRINA, 400 MG POR VÍA ORAL (VO), EN CREMA AL 7.5%, TRES VECES AL DÍA DURANTE SEIS DÍAS; ARABINÓSIDO DE ADENINA (VIDARABINA), 10 MG/KG/DÍA POR VÍA INTRAVENOSA (IV) (PARA ADMINISTRARLO SE HOSPITALIZA AL PACIENTE, QUIEN RECIBE UNA SOLUCIÓN CON 0.5 MG/ML EN PERIODOS DE 12 HORAS, DURANTE SIETE DÍAS), O ACICLOVIR, 800 MG VO CADA 4 HORAS (CINCO VECES AL DÍA) DURANTE 7 A 10 DÍAS, O IV ANTE ALTERACIONES INMUNITARIAS, 500 MG/M2 DE SUPERFICIE CORPORAL CADA 8 HORAS DURANTE 7 A 10 DÍAS, O 10 MG/KG EN UNA HORA CADA 8 HORAS DURANTE SIETE DÍAS; ES DISCUTIBLE LA UTILIDAD DE LA CREMA AL 5% COMO COADYUVANTE; SE LLEGA A COMBINAR ACICLOVIR CON PREDNISONA.

NO DEBEN UTILIZARSE CORTICOESTEROIDES EN CASOS DE EMBARAZO, LACTANCIA, DIABETES MELLITUS, HIPERTENSIÓN ARTERIAL, TUBERCULOSIS, ÚLCERA GASTROINTESTINAL ACTIVA, O INMUNOCOMPROMISO GRAVE Y EVIDENTE.

EL ACICLOVIR PUEDE TENER UN EFECTO NEUROTÓXICO QUE SE PUEDE INCREMENTAR CON EL USO CONCOMITANTE DE INTERFERONES.

SE HAN REPORTADO RESISTENCIA A ACICLOVIR EN INMUNOCOMPROMETIDOS (SIDA, TRASPLANTADOS) Y EN ESTOS CASOS PUEDE USARSE COMO ALTERNATIVA EL FOSCARNET, VÍA INTRAVENOSA 40 MG/KG CADA 8 HORAS.

TAMBIÉN SE UTILIZA VALACICLOVIR (ÉSTER VALINA DE ACICLOVIR), 500 A 1000 MG TRES VECES AL DÍA, DURANTE 7 A 10 DÍAS (SE CONVIERTE EN ACICLOVIR LUEGO DE SU ADMINISTRACIÓN VO, Y PRODUCE CIFRAS TERAPÉUTICAS SEMEJANTES A LAS QUE SE OBTIENEN CON EL ACICLOVIR IV, CON POCOS EFECTOS ADVERSOS), O FAMCICLOVIR (PROFÁRMACO DEL PENCICLOVIR), 250 A 500 MG TRES VECES AL DÍA DURANTE SIETE DÍAS.

LA BRIVUDINA 125 MG CADA 24 HRS POR 7 DÍAS, NO ES NEFROTÓXICA, ESTÁ CONTRAINDICADA EN PACIENTES EN TRATAMIENTO CON 5-FLUORURACILO Y OTRAS 5-FLUOROPIRIMIDINAS.

LOS ANTIVIRALES MENCIONADOS ACORTAN LA EVOLUCIÓN Y DISMINUYEN EL DOLOR; PUEDEN PRESCRIBIRSE ANTE FORMAS GRAVES, SOBRE TODO EN PRESENCIA DE ALTERACIONES INMUNITARIAS. PARA EL DOLOR HERPÉTICO AGUDO, ESTÁ EN BOGA LA TERAPIA COMBINADA DE VALACICLOVIR (1G X 3 D X 7 DÍAS), METILPREDNISOLONA EN TABLETAS (0.64 MG/KG, DIVIDIDO EN DOS DOSIS, POR 7 DÍAS), Y PREGABALINA 75 MG DOS VECES AL DÍA POR UN MES). SE HA USADO EL FACTOR DE TRANSFERENCIA, PERO NO SIEMPRE ESTÁ DISPONIBLE.

SON INEFICACES: VITAMINA B12, EMETINA, GRISEOFULVINA, IMIPRAMINA, CIMETIDINA Y DIHIDROERGOTAMINA. SI HAY LESIONES OCULARES (MÁS COMÚNMENTE CONJUNTIVITIS, QUERATITIS Y UVEITIS), ES NECESARIA LA INMEDIATA INTERCONSULTA OFTALMOLÓGICA; SE RECOMIENDAN MIDRIÁTICOS Y ACICLOVIR VÍA OFTÁLMICA EN COMBINACIÓN CON GLUCOCORTICOIDES (VÉASE CAP. 169).

HAY GUÍAS PARA EL TRATAMIENTO DE LA NEURALGIA POSHERPÉTICA (AMERICAN ACADEMY OF NEUROLOGY, INTERNATIONAL ASSOCIATION FOR THE STUDY OF PAIN, EUROPEAN FEDERATION OF NEUROLOGICAL SOCIETIES), EUROPEAN CONSENSUS-BASED (S2K) GUIDELINE ON THE MANAGEMENT OF HERPES ZÓSTER-GUIDED BY THE EUROPEAN DERMATOLOGY FORUM (EDF) IN COOPERATION WITH THE EUROPEAN ACADEMY OF DERMATOLOGY AND VENEROLOGY (EADV), PART 2: TREATMENT), EN LAS CUALES EN GENERAL SE CONSIDERAN DE PRIMERA LÍNEA LOS ANTIDEPRESIVOS TRICÍCLICOS (IMIPRAMINA, AMITRIPTILINA), FLUFENACINA, GABAPENTINA, 300 A 900 MG/DÍA, PIMOZIDE 1-3 MG/DÍA O PREGABALINA 75-150 MG/DÍA, O PARCHES DE LIDOCAÍNA AL 5% (VERSATIS®, GRÜNENTHAL); ESTOS FÁRMACOS PUEDEN PRESCRIBIRSE EN ALGUNOS CASOS, DESDE EL INICIO Y EN CONJUNCIÓN CON EL ANTIVIRAL; EN LA SEGUNDA O TERCERA LÍNEA SE CONSIDERAN: LOS OPIOIDES, EL TRAMADOL, O LA CAPSAICINA EN CREMA O PARCHES (8%); TAMBIÉN SE USAN MEDICAMENTOS QUE HAN TENIDO UTILIDAD EN OTROS TIPOS DE DOLORES NEUROPÁTICOS, COMO INHIBIDORES DE LA RECAPTACIÓN DE SEROTONINA-NOREPINEFRINA (PAROXETINA, VENLAFAXINA, DULOXETINA), ANTICONVULSIVOS (CARBAMAZEPINA, 200 MG/ DÍA EN 2 A 3 DOSIS DIVIDIDAS, ÁCIDO VALPROICO) Y ANALGÉSICOS OPIOIDES COMO BUPRENORFINA EN TABLETAS O EN PARCHES; SE CONSIDERAN TRATAMIENTOS INVASIVOS LOS CORTICOSTEROIDES POR VÍA SUBCUTÁNEA (FÓRMULA JAIPUR CONTENIENDO LIDOCAÍNA AL 2%, BUPIVACAÍNA AL 0.5% Y METILPREDNISOLONA 4 MG/ML) O INTRATECAL Y LOS IMPLANTES ESTIMULADORES DE LA MÉDULA ESPINAL.

CUANDO EL DOLOR ES INSOPORTABLE PUEDE RECURRIRSE A ESTIMULACIÓN ELÉCTRICA TRANSCUTÁNEA, CRIOANALGESIA, BLOQUEO NEURAL, ALCOHOLIZACIÓN DEL NERVIO, O INCLUSO CORDOTOMÍA, O A LA APLICACIÓN DE TOXINA BOTULÍNICA, CADA 2 O 3 MESES DURANTE UN MÍNIMO DE TRES AÑOS, PARA MANTENER EL BENEFICIO.

ES IDEAL CONTAR CON REHABILITACIÓN Y FISIOTERAPIA TEMPRANAS EN LOS CASOS DE DAÑO CERVICAL O LUMBO-SACRO, PARA EVITAR AGRAVAMIENTO DE PARESIA, PARÁLISIS O ATROFIA MUSCULAR. EN LOS CASOS DE PSEUDOCLUSIÓN COLÓNICA, PUEDE REQUERIRSE DILATACIÓN DEL ESFÍNTER ANAL. PARA LA RETENCIÓN URINARIA O ENURESIS, LA INSTALACIÓN TEMPORAL DE SONDA TRANSURETRAL.

LA REACTIVACIÓN ASINTOMÁTICA DEL VIRUS DE VARICELA ZÓSTER (VZV) Y EL CONTACTO CON LOS PACIENTES CON VARICELA PUEDE MEJORAR LA INMUNIDAD CELULAR.

A PARTIR DE OBSERVACIONES EN PACIENTES PSORIÁTICOS SOMETIDOS A TERAPIA COMBINADA DE AGENTES BIOLÓGICOS Y METOTREXATE, SE DETERMINÓ, QUE PROFILÁCTICAMENTE DEBEN SER VACUNADOS.

COMO PROFILAXIS POSEXPOSICIÓN SE RECOMIENDA: 1) ADMINISTRAR VACUNA EN NO INMUNES E INMUNOCOMPETENTES DE MÁS DE 12 MESES DE EDAD, EN LAS SUBSECUENTES 72 H A 5 DÍAS. 2) INMUNOGLOBULINA PARA VZV EN LAS SUBSECUENTES 96 H DE EXPOSICIÓN, A MUJERES EMBARAZADAS, NEONATOS E INMUNOSUPRIMIDOS (VER RECUADRO).

How well did you know this?
1
Not at all
2
3
4
5
Perfectly
3
Q

¿CON QUÉ OTRO NOMBRE SE LE CONOCE AL HERPES ZOSTER?

A

ZONA, CINTURÓN DE SAN ANDRÉS, CULEBRILLA.

How well did you know this?
1
Not at all
2
3
4
5
Perfectly
4
Q

¿DEFINICIÓN DE HERPES ZOSTER?

A

ENFERMEDAD INFECCIOSA, AGUDA Y AUTOLIMITADA, QUE SE PRODUCE POR REACTIVACIÓN DEL VIRUS DE LA VARICELA-ZÓSTER (VZV) O HHV-3 (HERPES VIRUS HUMANO TIPO 3), CARACTERIZADA POR APARICIÓN REPENTINA EN PIEL Y NERVIOS PERIFÉRICOS, QUE SIGUE UNA TRAYECTORIA NERVIOSA DERMATOMAL; SUELE SER INTERCOSTAL, FACIAL, LUMBO-SACRO O DE EXTREMIDADES. SE MANIFIESTA POR PRÓDROMOS CONSISTENTES EN HIPERESTESIA, HORMIGUEO, PRURITO, CON DOLOR PUNGITIVO Y URENTE, CON APARICIÓN SUBSIGUIENTE DE VESÍCULAS EN GRUPO SOBRE UNA BASE ERITEMATOSA; DESAPARECEN SOLAS.

POTENCIALMENTE, EN ADULTOS Y ANCIANOS PROPICIA UNA SEVERA Y CRÓNICA NEURALGIA POSHERPÉTICA. PUEDE SER RECURRENTE EN SUJETOS CON ALTERACIONES INMUNITARIAS GRAVES (P. EJ., VIH).

How well did you know this?
1
Not at all
2
3
4
5
Perfectly
5
Q

¿EPIDEMIOLOGÍA DEL HERPES ZOSTER?

A

ENFERMEDAD DE DISTRIBUCIÓN MUNDIAL, AFECTA A TODAS LAS RAZAS, ES MÁS FRECUENTE EN PERSONAS ≥ DE 50 AÑOS, RELACIÓN MUJER/HOMBRE DE 12.6:8.3 POR 1000 PERSONAS, ESTA DIFERENCIA AUMENTA CON LA EDAD.

NO ES DE REPORTE OBLIGATORIO EN EL SECTOR SALUD.

LA INCIDENCIA EN AMÉRICA DEL NORTE, EUROPA, ASIA Y EL PACÍFICO ES DE 3 A 5 POR 1000 PERSONAS POR AÑO, CON AUMENTO DE 6-8 EN PERSONAS ≥ 60 AÑOS Y DE 8-12 EN ≥ 80 AÑOS.

TIENEN MAYOR RIESGO PERSONAS INMUNOCOMPROMETIDAS (RECEPTORES DE TRASPLANTES DE MÉDULA ÓSEA, DE CÉLULAS MADRE, LINFOMA DE HODGKIN, VIH, LUPUS ERITEMATOSO SISTÉMICO, ARTRITIS REUMATOIDE, ENFERMEDAD INFLAMATORIA INTESTINAL, ESCLEROSIS MÚLTIPLE, PSORIASIS).

SE HA ESTIMADO QUE EL 13% DE LOS CASOS DE HERPES ZÓSTER TIENEN DM2.

LA NEURALGIA POSTHERPÉTICA ES MÁS FRECUENTE EN EL SEXO FEMENINO, ESTIMADO DE 5 A ≥ 30%.

EL RIESGO DE HERPES ZÓSTER OFTÁLMICO EN ALEMANIA ES DE 4.66%, EN ESTADOS UNIDOS DE 7-20%, FRANCIA 12.3%, PAÍSES BAJOS 14.4% Y ARABIA SAUDITA 14.9%.

LA FRECUENCIA DE RECURRENCIA OSCILA DE 2.3% A 6.2% Y LA HOSPITALIZACIÓN ASOCIADA A HERPES ZÓSTER DE 2 A 28.6 POR 100,000 PERSONAS POR AÑO.

EN 2011 LA TASA DE MORTALIDAD EN FRANCIA EN PACIENTES HOSPITALIZADOS MAYORES DE 50 AÑOS DE EDAD FUE DE 1.6 %.

How well did you know this?
1
Not at all
2
3
4
5
Perfectly
6
Q

¿EN QUÉ CONSISTE EL SÍNDROME DE RAMSAY-HUNT Y EN QUÉ PATOLOGÍA LO ENCONTRAMOS?

A

LO ENCONTRAMOS EN EL HERPES ZOSTER.

LA AFECCIÓN DE LOS PARES CRANEALES VII (FACIAL) Y VIII (VESTÍBULO-COCLEAR) PUEDE CAUSAR SÍNDROME DE RAMSAY-HUNT, QUE CONSISTE EN PARÁLISIS DE BELL, ZÓSTER OTICUS (VESÍCULAS EN OÍDO EXTERNO), EVENTUALMENTE VESÍCULAS EN PALADAR BLANDO, DISMINUCIÓN DE LA SECRECIÓN LACRIMAL, ARTRALGIA TEMPOROMANDIBULAR, PARESTESIAS CON DISESTESIAS (RAMAS V1 A V3 DEL TRIGÉMINO), ACÚFENOS, TINNITUS, HIPOACUSIA, DISGEUSIA (ALTERACIÓN LINGUAL EN SUS 2/3 PARTES ANTERIORES), Y VÉRTIGO. ES TODA UNA POLINEUROPATÍA CRANEAL.

EXCEPCIONALMENTE, SE HAN OBSERVADO CASOS DE RAMSAY-HUNT BILATERAL, EN PACIENTES DIABÉTICOS.

How well did you know this?
1
Not at all
2
3
4
5
Perfectly
7
Q

¿CUADRO CLÍNICO DEL HERPES ZOSTER?

A

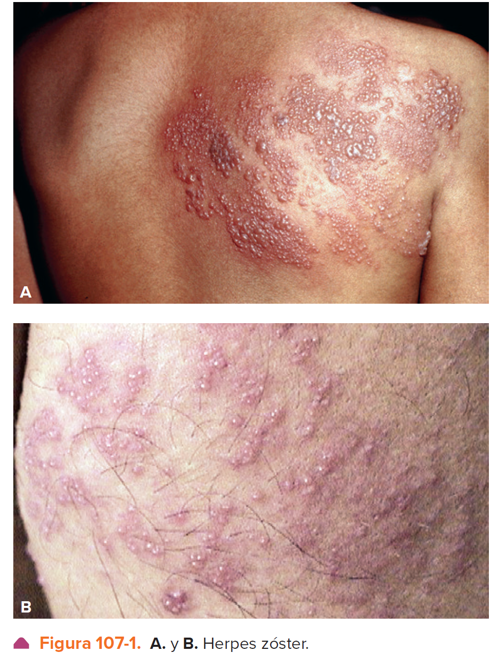
ES UN PADECIMIENTO QUE PUEDE RESTRINGIRSE A UN SOLO SEGMENTO (DERMATOMA), Y MUY RARA VEZ A DOS O SE PRESENTA DE FORMA BILATERAL (HERPES ZÓSTER, DUPLEX SYMMETRICUS); ES MUY FRECUENTE EN LAS RAMAS DE LA PARTE MEDIA DEL TÓRAX Y EN LAS LUMBARES SUPERIORES (T3-L2) (FIGS. 107-1 Y 107-2).

LA ELECCIÓN DEL GANGLIO DONDE OCURRE LA REACTIVACIÓN DEL VIRUS NO SUCEDE AL AZAR, SINO QUE APARECE EN LAS ZONAS DE PIEL DONDE EL EXANTEMA DE LA VARICELA FUE MÁS INTENSO.
POR LO GENERAL SE INICIA CON HIPERESTESIA, DOLOR O ARDOR (ALODINIA) EN LA TRAYECTORIA DE UN NERVIO SENSITIVO, MÁS A MENUDO INTERCOSTAL (53%); 2 A 4 DÍAS DESPUÉS APARECEN DE MODO REPENTINO LAS LESIONES CUTÁNEAS, QUE CASI NUNCA REBASAN LA MITAD DEL CUERPO.

CUANDO EXISTEN MÁS DE 20 LESIONES FUERA DEL DERMATOMA INICIAL Y/O ALTERACIONES VISCERALES, SE DENOMINA ENFERMEDAD HERPÉTICA DISEMINADA, LO CUAL PUEDE ESPERARSE EN PACIENTES CON INMUNOSUPRESIÓN (P. EJ., TRASPLANTADOS, NEOPLASIAS LINFORRETICULARES, VIH-SIDA), QUIENES INCREMENTAN LA POSIBILIDAD DE ENCEFALITIS O NEUMONITIS.

EN 12 A 24 HORAS SE PRESENTAN POCAS O ABUNDANTES VESÍCULAS DE 2 A 3 MM DE DIÁMETRO, QUE SE ASIENTAN SOBRE UNA BASE ERITEMATOSA; CASI TODAS SE AGRUPAN EN RACIMOS QUE SIGUEN LA MISMA TRAYECTORIA QUE LOS SÍNTOMAS (FIGS. 107-2 Y 107-3).

PRONTO MUESTRAN UMBILICACIÓN, SE DESECAN O SE TRANSFORMAN EN PÚSTULAS (3 A 4 DÍAS) Y DEJAN EXULCERACIONES Y COSTRAS MELICÉRICAS (7 A 10 DÍAS); PUEDE HABER FORMACIÓN DE AMPOLLAS (FIG. 107-4), LESIONES PURPÚRICAS, ZONAS DE NECROSIS Y ESCARAS (FIGS. 107-5 Y 107-6); A VECES NO EXISTEN LESIONES CUTÁNEAS (LO QUE SE LLAMA “ZÓSTER SINE HERPETE”).

EN GENERAL SE OBSERVA ADENOPATÍA REGIONAL IMPORTANTE, Y SÍNTOMAS GENERALES COMO ASTENIA, CEFALEA Y FEBRÍCULA, ESPECIALMENTE EN NIÑOS.

EN 10 A 17% AFECTA EL PAR CRANEAL V (TRIGÉMINO), EN PARTICULAR LA RAMA OFTÁLMICA (FIG. 107-7); EN 30% LESIONA LA RAMA NASOCILIAR DE ESTA ÚLTIMA, Y SE ACOMPAÑA DE VESÍCULAS EN LA PUNTA DE LA NARIZ (SIGNO DE HUTCHINSON); ADEMÁS, CONLLEVA UNA PROBABILIDAD DE 76% (EN CONTRAPOSICIÓN CON 34% EN AUSENCIA DE ESTE SIGNO) DE COMPLICACIONES OCULARES, COMO QUERATITIS (50%) (SEUDODENDRÍTICA, DE PLACA MUCOSA, ESTROMÁTICA, NEUROPÁTICA, PERFORACIÓN INTERSTICIAL Y NUMULAR) (FIG. 107-8), UVEÍTIS ANTERIOR, IRIDOCICLITIS, E INCLUSO PANOFTALMITIS.

LA AFECCIÓN DE LOS PARES CRANEALES VII (FACIAL) Y VIII (VESTÍBULO-COCLEAR) PUEDE CAUSAR SÍNDROME DE RAMSAY-HUNT, QUE CONSISTE EN PARÁLISIS DE BELL, ZÓSTER OTICUS (VESÍCULAS EN OÍDO EXTERNO), EVENTUALMENTE VESÍCULAS EN PALADAR BLANDO, DISMINUCIÓN DE LA SECRECIÓN LACRIMAL, ARTRALGIA TEMPOROMANDIBULAR, PARESTESIAS CON DISESTESIAS (RAMAS V1 A V3 DEL TRIGÉMINO), ACÚFENOS, TINNITUS, HIPOACUSIA, DISGEUSIA (ALTERACIÓN LINGUAL EN SUS 2/3 PARTES ANTERIORES), Y VÉRTIGO. ES TODA UNA POLINEUROPATÍA CRANEAL.

EXCEPCIONALMENTE, SE HAN OBSERVADO CASOS DE RAMSAY-HUNT BILATERAL, EN PACIENTES DIABÉTICOS.
CON LA INVOLUCIÓN DE LAS VESÍCULAS QUEDA HIPOPIGMENTACIÓN O HIPERPIGMENTACIÓN, Y EN LOS NIÑOS, DOLOR LEVE, QUE DESAPARECE CON RAPIDEZ, PERO QUE EN MAYORES DE 40 AÑOS DE EDAD Y ANCIANOS ES MUY INTENSO Y PERSISTENTE (50%); SON LAS LLAMADAS “ALGIAS ZOSTERIANAS”, SI SE PRESENTAN EN LA ETAPA AGUDA, O LA NEURITIS POSHERPÉTICA, SI OCURRE CUANDO HAN DESAPARECIDO LAS LESIONES EN LA PIEL (10 A 15%); ÉSTA SE MANIFIESTA POR DOLOR CONSTANTE O INTERMITENTE, PARESTESIAS Y DISESTESIAS CON ALODINIA (DOLOR POR ESTÍMULOS POR LO REGULAR NO DOLOROSOS), E HIPERALGESIA, ALREDEDOR DE CUATRO MESES DESPUÉS QUE SE INSTALÓ LA ERUPCIÓN.

LA EVOLUCIÓN DE LA DERMATOSIS ES AGUDA O SUBAGUDA; DURA EN PROMEDIO 2 O 3 SEMANAS; SE PRESENTA UNA SOLA VEZ, PERO PUEDE REPETIRSE EN SUJETOS CON ALTERACIONES INMUNITARIAS POR LEUCEMIA, LINFOMA DE HODGKIN, TRASPLANTES, INFECCIÓN POR EL VIRUS DE LA INMUNODEFICIENCIA HUMANA VIH/SIDA, O EN QUIENES RECIBEN GLUCOCORTICOIDES, CITOTÓXICOS O RADIACIONES (5%).

EN ESTAS CIRCUNSTANCIAS TAMBIÉN ES POSIBLE QUE SE PRESENTE LA FORMA GENERALIZADA, QUE CONSTITUYE LA DISEMINACIÓN ATÍPICA DEL ZÓSTER, O EL ZÓSTER VARICELIFORME (40%), CON POSIBILIDAD DE COMPLICACIONES OCULARES O NEUROLÓGICAS; LESIONES NECRÓTICAS, HEMORRÁGICAS O DISEMINACIÓN HACIA VÍSCERAS POR VÍA HEMATÓGENA ORIGINANDO NEUMONÍA, HEPATITIS O ENCEFALITIS (FIG. 107-9).

COMPLICACIONES AGUDAS QUE AMERITAN ATENCIÓN DE EMERGENCIA POR VZV PUEDEN SER: PARÁLISIS FACIAL (BELL, RAMSAY HUNT), DISECCIÓN ARTERIAL DE CARÓTIDA INTERNA, MENINGITIS ASÉPTICA, ENCEFALITIS, RETENCIÓN URINARIA AGUDA, PSEUDOOBSTRUCCIÓN COLÓNICA INTESTINAL Y PSEUDOHERNIA DE PARED ABDOMINAL. EN PRESENCIA DE TOS, FIEBRE Y DISNEA, DEBE PENSARSE EN NEUMONÍA POR VZV.

SE ESTIMA QUE PUEDE DESARROLLARSE ENFERMEDAD VÁSCULO-CEREBRAL AGUDA, SECUNDARIA A VASCULOPATÍA VIRAL, EN LOS SUBSECUENTES 6 MESES DE PRESENTACIÓN DE VZV EN EL ÁREA FACIAL.

EN LOS SITIOS DONDE HA HABIDO VZV PUEDE PRESENTARSE TIEMPO DESPUÉS RESPUESTA ISOTÓPICA E ISOMÓRFICA (TIPO WOLF) CON DIVERSOS PROCESOS INFECCIOSOS, INFLAMATORIOS Y NEOPLÁSICOS (P. EJ., PSORIASIS, LÍQUEN PLANO PENFIGOIDES, MORFEA, GRANULOMA FACIAL DE LEVER, QUERATOSIS SEBORREICA ERUPTIVA, CARCINOMA BASOCELULAR, OTROS).

How well did you know this?
1
Not at all
2
3
4
5
Perfectly
8
Q

¿HISTOPATOLOGÍA DEL HERPES ZOSTER?

A

VESÍCULA INTRAEPIDÉRMICA FORMADA POR DEGENERACIÓN BALONIZANTE, QUE CONTIENE FIBRINA, LEUCOCITOS, CÉLULAS EPITELIALES Y ERITROCITOS. TAMBIÉN SE PRESENTAN CÉLULAS GIGANTES MULTINUCLEADAS Y CÉLULAS EPITELIALES CON INCLUSIONES INTRANUCLEARES ACIDÓFILAS (CÉLULAS EN BOLSA DE CANICAS). EN LAS DERMIS MEDIA Y SUPERFICIAL SE OBSERVAN INFILTRADOS INFLAMATORIOS PERIVASCULARES, PERIANEXIALES Y PERINEURALES.

How well did you know this?
1
Not at all
2
3
4
5
Perfectly
9
Q

¿DIAGNÓSTICO DEL HERPES ZOSTER?

A

EL DIAGNÓSTICO ES PRINCIPALMENTE CLÍNICO.

PUEDE RESULTAR ÚTIL EL CITODIAGNÓSTICO DE TZANCK, QUE MUESTRA LAS CÉLULAS MULTINUCLEADAS MUY GRANDES, CON CITOPLASMA CONDENSADO EN LA PERIFERIA, Y CON CUERPOS DE INCLUSIÓN (FIG. 105-7); LA IMAGEN ES SEMEJANTE EN HERPES SIMPLE Y VARICELA.

ASÍ MISMO, LA MICROSCOPÍA ELECTRÓNICA Y LAS TINCIONES INMUNOHISTOQUÍMICAS, PERMITEN IDENTIFICAR LOS VIRUS DEL VZV Y DIFERENCIARLO DEL HERPES SIMPLE.

SON MÁS ÚTILES LA INMUNOFLUORESCENCIA DIRECTA O LAS TÉCNICAS DE HIBRIDACIÓN Y REACCIÓN EN CADENA DE LA POLIMERASA (POLYMERASE CHAIN REACTION [PCR]); TAMBIÉN ES POSIBLE PRACTICAR CULTIVO; ESTUDIO SEROLÓGICO, O TÉCNICAS MOLECULARES, DE INMUNOPEROXIDASA, O DE AGLUTINACIÓN DE PARTÍCULAS DE LÁTEX.

RECIENTEMENTE, SE SUGIERE REALIZAR LA MEDICIÓN DE VELOCIDAD DE SEDIMENTACIÓN ERITROCÍTICA (ESR), PROTEÍNA C REACTIVA (PCR) Y CONTEO LINFOCÍTICO, COMO MARCADORES PREDICTORES DE INFLAMACIÓN NEURONAL Y, POR ENDE, DE PROCLIVIDAD A NEURALGIA POSTHERPÉTICA.

How well did you know this?
1
Not at all
2
3
4
5
Perfectly
10
Q

¿DIAGNÓSTICO DIFERENCIAL DEL HERPES ZOSTER?

A

HERPES SIMPLE, ERITEMA MULTIFORME, DERMATOSIS MEDICAMENTOSAS, PRURIGO AMPOLLAR Y ECCEMA ALÉRGICO AGUDO POR CONTACTO.

ES POSIBLE QUE EL DOLOR PRE-ERUPTIVO SIMULE AL DE MIGRAÑA, INFARTO DEL MIOCARDIO, PLEURITIS, COLECISTITIS, PIELOLITIASIS, APENDICITIS U OTROS CUADROS DOLOROSOS.

LA CLAVE CLÍNICA PARA LOS DIAGNÓSTICOS DIFERENCIALES SUELE ESTAR AL MOMENTO QUE EL PACIENTE AFIRMA QUE EL DOLOR ES URENTE. EL HERPES SIMPLE ZOSTERIFORME ES MUY PARECIDO, PERO LO DELATA SU RECURRENCIA.

How well did you know this?
1
Not at all
2
3
4
5
Perfectly
11
Q

¿CUANDO FUNCIONAN LOS FÁRMACOS ANTIVIRALES EN EL TRATAMIENTO DEL HERPES ZOSTER?

A

EXISTE ACUERDO UNIVERSAL EN QUE LOS ANTIVIRALES FUNCIONAN CUANDO SON ADMINISTRADOS EN LAS PRIMERAS 72 HORAS, QUE SE ESTÁN FORMANDO LAS VESÍCULAS.

How well did you know this?
1
Not at all
2
3
4
5
Perfectly
12
Q

¿TRATAMIENTO PARA EL MANEJO DEL DOLOR PARA HERPES ZOSTER?

A
How well did you know this?
1
Not at all
2
3
4
5
Perfectly
13
Q

¿VACUNACIÓN PARA HERPES ZOSTER?

A

ACTUALMENTE HAY DOS VACUNAS AUTORIZADAS POR LA FDA PARA PREVENIR LA ENFERMEDAD Y LA NEURALGIA POSHERPÉTICA EN ADULTOS INMUNOCOMPETENTES CON GRADO DE EVIDENCIA 1 (ZOSTAVAX ® Y SHINGRIX®).

EN 2006 SE AUTORIZÓ LA VACUNA DE VIRUS ATENUADOS DE VARICELA ZÓSTER (ZVL) Y EN 2008 UNA DOSIS POR VÍA SUBCUTÁNEA, AVALADA POR EL COMITÉ ASESOR SOBRE PRÁCTICAS DE INMUNIZACIÓN (ACIP) PARA PERSONAS INMUNOCOMPETENTES ≥ 60 AÑOS. EN 2011, LA FDA APROBÓ LA MISMA DOSIS PARA PERSONAS DE 50 A 59 AÑOS.

LA EFICACIA DE LA VACUNA CON SEGUIMIENTO DE 3.1 AÑOS EN PERSONAS DE 60-69 AÑOS FUE DE 64%, Y EN ≥ 70 DE 38%.

EN LA NEURALGIA POSHERPÉTICA FUE DE 65.7% EN EL GRUPO DE 60 A 69
AÑOS Y DE 66.8% EN ≥ 70 AÑOS.

ESTÁ CONTRAINDICADA EN REACCIÓN ANAFILÁCTICA, ALERGIA A NEOMICINA, GELATINA, O A CUALQUIER OTRO COMPONENTE DE LA VACUNA, EMBARAZO, LACTANCIA, HERPES AGUDO, SIDA U OTRA MANIFESTACIÓN CLÍNICA DE INFECCIÓN POR VIH; INCLUYE PERSONAS CON LINFOCITOS T CD4 + < 200 POR MM3 O MENOS DEL 15% DE LINFOCITOS TOTALES, LEUCEMIA, LINFOMA U OTRA NEOPLASIA QUE AFECTE LA MÉDULA ÓSEA O EL SISTEMA LINFÁTICO, DOSIS ALTAS DE PREDNISONA O SU EQUIVALENTE (20 MG DIARIO) POR MÁS DE 2 SEMANAS.

EN 2017 SE AUTORIZÓ LA VACUNA RECOMBINANTE CONTRA EL HERPES ZÓSTER (RZV) PARA PERSONAS ≥ 50 AÑOS, EN ESQUEMA DE 2 DOSIS CON INTERVALO DE 2 A 6 MESES, POR VÍA INTRAMUSCULAR.

LA EFICACIA EN SEGUIMIENTO DE 3.7 AÑOS EN EL GRUPO DE 50-59 AÑOS FUE DE 96.6%, DE 60-69 DE 97.4% Y EN ≥ 70 AÑOS DE 91.3%, Y CONTRA LA NEURALGIA POSHERPÉTICA DE 91.2% EN ≥ 50 AÑOS Y DE 88.8% EN ≥ 70 AÑOS.

SE NECESITAN DOS DOSIS DE LA VACUNA, INDEPENDIENTEMENTE DE HISTORIA PREVIA DE HERPES ZÓSTER O VACUNACIÓN PREVIA CON ZVL; EN OPINIÓN DE EXPERTOS, DEBE APLICARSE RZV DESPUÉS DE 2 MESES. NO ES NECESARIO REINICIAR EL ESQUEMA DE VACUNACIÓN SI HAN TRANSCURRIDO MÁS DE 6 MESES DE LA PRIMERA DOSIS. SI LA SEGUNDA DOSIS SE ADMINISTRA ANTES DE 4 SEMANAS DE LA PRIMERA, ÉSTA DEBE REPETIRSE.

How well did you know this?
1
Not at all
2
3
4
5
Perfectly
14
Q

¿PREVENCIÓN DEL HERPES ZOSTER PARA INMUNODEPRIMIDOS NO INMUNES, EMBARAZADAS Y RECIÉN NACIDOS DE ALTO RIESGO?

A
How well did you know this?
1
Not at all
2
3
4
5
Perfectly