Histology Flashcards

(8 cards)

1
Q

label the histology of the dorsal surface of the tongue

A
How well did you know this?
1
Not at all
2
3
4
5
Perfectly
2
Q

what type of epithelium lines the dorsal surface of the tongue?

A

stratified squamous epithelium

How well did you know this?
1
Not at all
2
3
4
5
Perfectly
3
Q

what type of muscle fibres underlies the epithelium of the tongue?

A

skeletal muscle

How well did you know this?
1
Not at all
2
3
4
5
Perfectly
4
Q

what are A & B and give a reason

A

A = serous acini
B = mucous acini
- serous acini secrete proteins so they stain strongly with H&E stain.
- mucous acini secrete glycoprotein mucus which stains poorly with H&E.

How well did you know this?
1
Not at all
2
3
4
5
Perfectly
5
Q

what are D and what is their function?

A

myoepithelial cell
- contract and expel the secretions of exocrine glands

How well did you know this?
1
Not at all
2
3
4
5
Perfectly
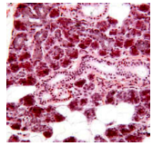
6
Q

what is the gland shown and why?

A
  • parotid gland
  • predominantly serous secretion > stains strongly with H&E.
How well did you know this?
1
Not at all
2
3
4
5
Perfectly
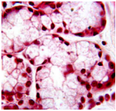
7
Q

what is the gland shown and why?

A

sublingual
- secretes mucus so stains poorly with H&E.

How well did you know this?
1
Not at all
2
3
4
5
Perfectly
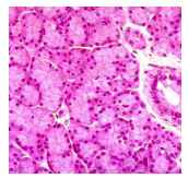
8
Q

what is the gland shown and why?

A

submandibular
- secretes mixed mucous and serous so has a mixed staining profile of both strong and weak.

How well did you know this?
1
Not at all
2
3
4
5
Perfectly