Histology Flashcards

(40 cards)

1
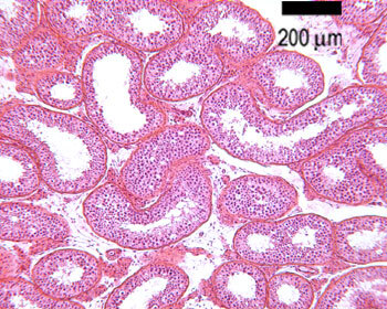
Q

Which part of the male reproduction system is this?

A

Testes

How well did you know this?
1
Not at all
2
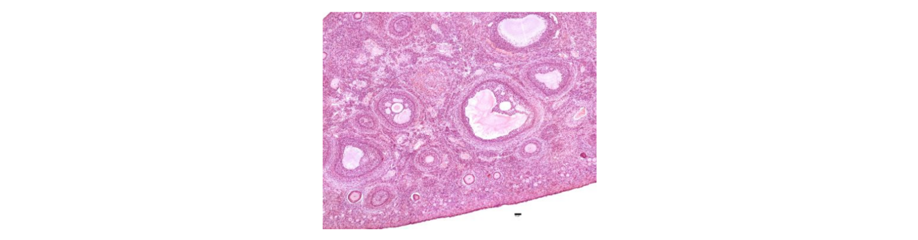
3
4
5
Perfectly
2
Q

Which part of the male reproduction system is this?

A

Epididymis

How well did you know this?
1
Not at all
2
3
4
5
Perfectly
3
Q

Which part of the male reproduction system is this?

A

Vas deferens

How well did you know this?
1
Not at all
2
3
4
5
Perfectly
4
Q

What type of epithelium lines the vas deferens?

A

Pseudostratified tall columnar epithelium

How well did you know this?
1
Not at all
2
3
4
5
Perfectly
5
Q

Which part of the male reproduction system is this?

A

Seminal vesicle

How well did you know this?
1
Not at all
2
3
4
5
Perfectly
6
Q

Which part of the male reproduction system is this?

A

Prostate gland

How well did you know this?
1
Not at all
2
3
4
5
Perfectly
7
Q

Which part of the male reproduction system is this in higher magnification?

A

Seminal vesicle

How well did you know this?
1
Not at all
2
3
4
5
Perfectly
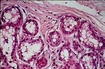
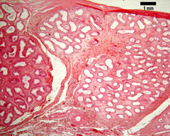
8
Q

Which part of the male reproduction system is this in higher magnification?

A

Prostate gland

How well did you know this?
1
Not at all
2
3
4
5
Perfectly
9
Q

What can be seen in this histology image?

A

Seminiferous tubules
Spermatogenic cells
Sertoli cells

How well did you know this?
1
Not at all
2
3
4
5
Perfectly
10
Q

Which part of the male reproduction system is this?

A

Penis

How well did you know this?
1
Not at all
2
3
4
5
Perfectly
11
Q

Which part of the female reproduction system is this?

A

Ovary

How well did you know this?
1
Not at all
2
3
4
5
Perfectly
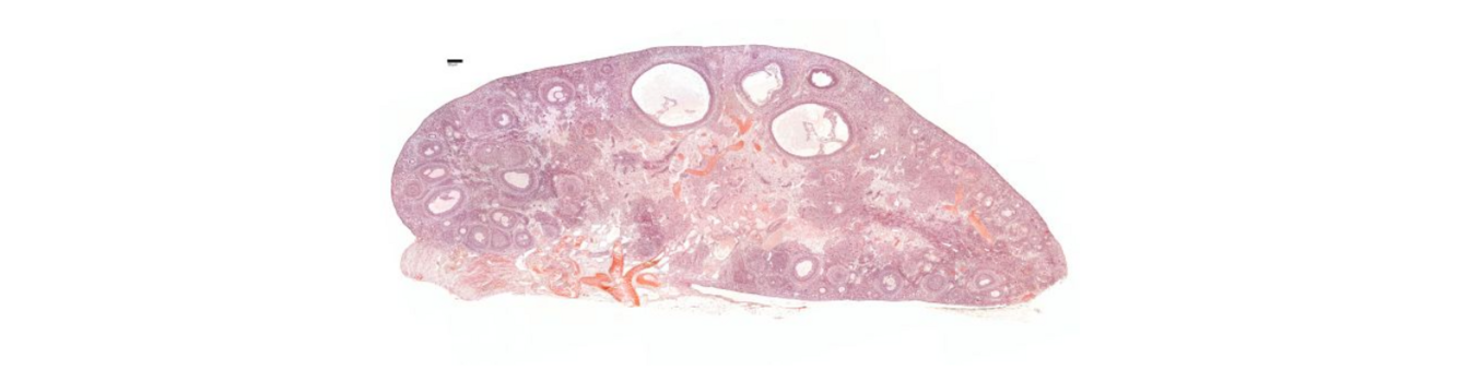
12
Q

Which part of the female reproduction system is this?

A

Ovary

How well did you know this?
1
Not at all
2
3
4
5
Perfectly
13
Q

What type of ovarian follicles are shown?

A

Primordial follicles

How well did you know this?
1
Not at all
2
3
4
5
Perfectly
14
Q

What type of ovarian follicle is shown?

A

Primary follicle

How well did you know this?
1
Not at all
2
3
4
5
Perfectly
15
Q

What type of ovarian follicle is shown?

A

Secondary follicle

How well did you know this?
1
Not at all
2
3
4
5
Perfectly
16
Q

What type of ovarian follicle is shown?

A

Graffian follicle

How well did you know this?
1
Not at all
2
3
4
5
Perfectly
17
Q

Which part of the female reproduction system is shown?

A

Oviduct/ fallopian tubes

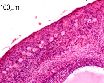
18
Q

Which phase is the uterus in?

A

Secretory phase

19
Q

What phase is the uterus in?

A

Menstrual phase

20
Q

What phase is the uterus in?

A

Proliferative phase

21
Q

Which part of the female reproduction system is shown?

22
Q

Which part of the female reproduction system is shown?

23
Q

Which part of the female reproduction system is shown?

A

Mammary gland

24
Q

Which part of the female reproduction system is shown?

A

Mammary gland in pregnant women

25
What is the epithelium of the ovary?
Simple squamous epithelium
26
What is found in the cortex and medulla of the ovary?
Cortex - ovarian follicles Medulla - vascular area
27
What is the layer which surrounds the primary follicle oocyte?
Zona pellucida
28
What are the 4 layers of the oviduct?
Serosa Muscularis mucosa Mucosa Lumen
29
What is the epithelium of the oviduct?
Ciliated epithelium
30
What are the 3 layers of the endometrium?
Stratum compactum Stratum spongiosum Stratum basalis
31
What happens during the proliferative phase of the uterus?
Endometrium thickens, connective tissue is renewed and glandular structures Simple tubular glands open into surface
32
What happens during the secretory phase of the uterus?
Endometrial glands become cork screw shaped and filled with glycogen Secrete glycogen rich secretion during this time
33
What is the epithelium of the uterus?
Simple columnar epithelium
34
What is the epithelium of the vagina?
Stratified squamous epithelium
35
What are the layers of the vagina?
Stratified squamous epithelium Lamina propria Smooth muscle Adventitia
36
What is the epithelium of the mammary glands?
Cuboidal or low columnar epithelium
37
What is the epithelium of the seminal vesicle?
Pseudostratified tall columnar epithelium
38
What is the epithelium of the prostate gland?
Double layer of tall columnar secretory cells
39
What is the epithelium of the seminiferous gland?
Stratified epithelium
40
What is the epithelium of the urethra?
Stratified columnar epithelium