HPB Flashcards

(27 cards)

1
Q

Significado e causas de LUTS:

A

Sintomas do trato urinário inferior.

How well did you know this?
1
Not at all
2
3
4
5
Perfectly
2
Q

Zonas anatômicas da próstata e suas correspondências patológicas:

A
How well did you know this?
1
Not at all
2
3
4
5
Perfectly
3
Q

Responda a seguir:

A
How well did you know this?
1
Not at all
2
3
4
5
Perfectly
4
Q

Fisiopatologia hormonal da HPB:

A
How well did you know this?
1
Not at all
2
3
4
5
Perfectly
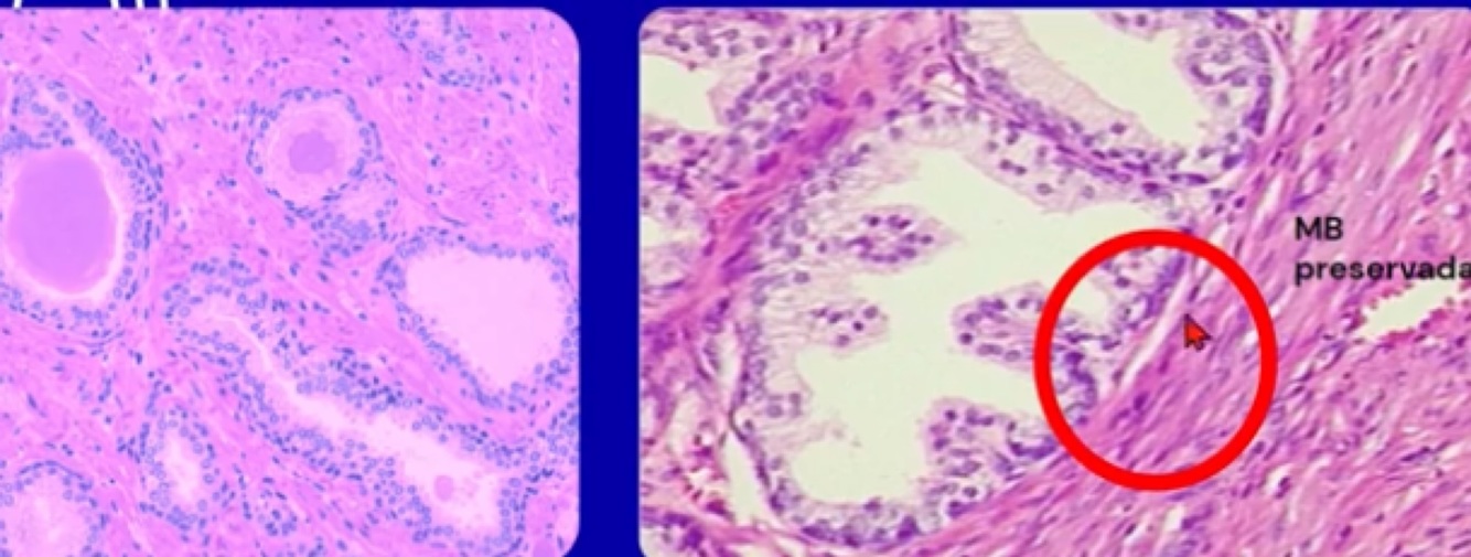
5
Q

Características histológicas da HPB:

A

Proliferação do estroma e de células epiteliais, porém não ultrapassa a membrana basal.

Se ultrapassar a membrana basal é câncer.

How well did you know this?
1
Not at all
2
3
4
5
Perfectly
6
Q

Avaliação inicial na suspeita de HPB:

A
How well did you know this?
1
Not at all
2
3
4
5
Perfectly
7
Q

Quadro clínico da HPB:

A
How well did you know this?
1
Not at all
2
3
4
5
Perfectly
8
Q

Quando solicitar urodinâmica:

A

Q é fluxo.

How well did you know this?
1
Not at all
2
3
4
5
Perfectly
9
Q

Fisiopatologia dos sintomas miccionais da HPB:

A
How well did you know this?
1
Not at all
2
3
4
5
Perfectly
10
Q

Quais exames de imagem podem ser solicitados na suspeita de HPB?

A

USG e RM.

Imagem da direita tem mau prognóstico.

How well did you know this?
1
Not at all
2
3
4
5
Perfectly
11
Q

Medicamentos para Tto da HPB:

A
How well did you know this?
1
Not at all
2
3
4
5
Perfectly
12
Q

Características dos bloqueadores alfa adranérgicos:

A
How well did you know this?
1
Not at all
2
3
4
5
Perfectly
13
Q

Características dos inibidores da 5 alfa redutase:

A

Diminuem volume da próstata.

How well did you know this?
1
Not at all
2
3
4
5
Perfectly
14
Q

Quando não indicar antimuscarínico?

A
How well did you know this?
1
Not at all
2
3
4
5
Perfectly
15
Q

Indicações absolutas de cirurgia na HPB:

A
How well did you know this?
1
Not at all
2
3
4
5
Perfectly
16
Q

Quais as condutas cirúrgicas para HPB?

17
Q

Fluxograma da HPB:

18
Q

Quando escolher cada conduta cirúrgica de acordo com o volume da próstata?

19
Q

Paciente com alto risco de sangramento ou alto risco cirúrgico, qual a conduta?

20
Q

Complicações após cirurgia da HPB:

21
Q

Mecanismo de ação dos alfa adrenérgicos:

22
Q

Mecanismo de ação dos inibidores da alfa redutase:

23
Q

Qual o Dx a seguir?

24
Q

Fisiopatologia da intoxicação hídrica:

25
Quadro clínico é fator de risco para intoxicação hídrica:
26
Manejo da intoxicação hídrica:
27
Fluxograma do tratamento de HPB: