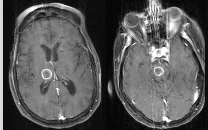
A 34 year-old man from Mexico presented with a long history of seizures.

Neurocysticercosis
Background
Clinical features
Imaging
Treatment

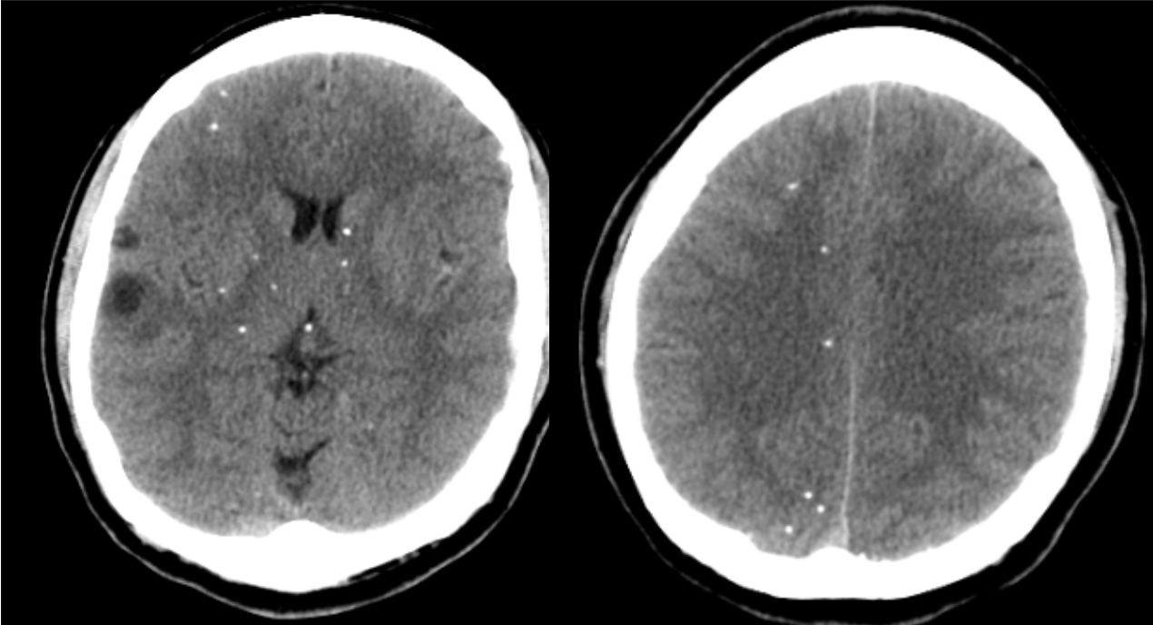
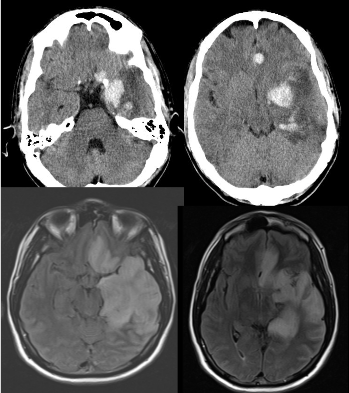
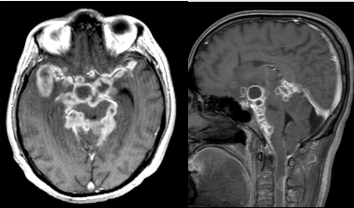
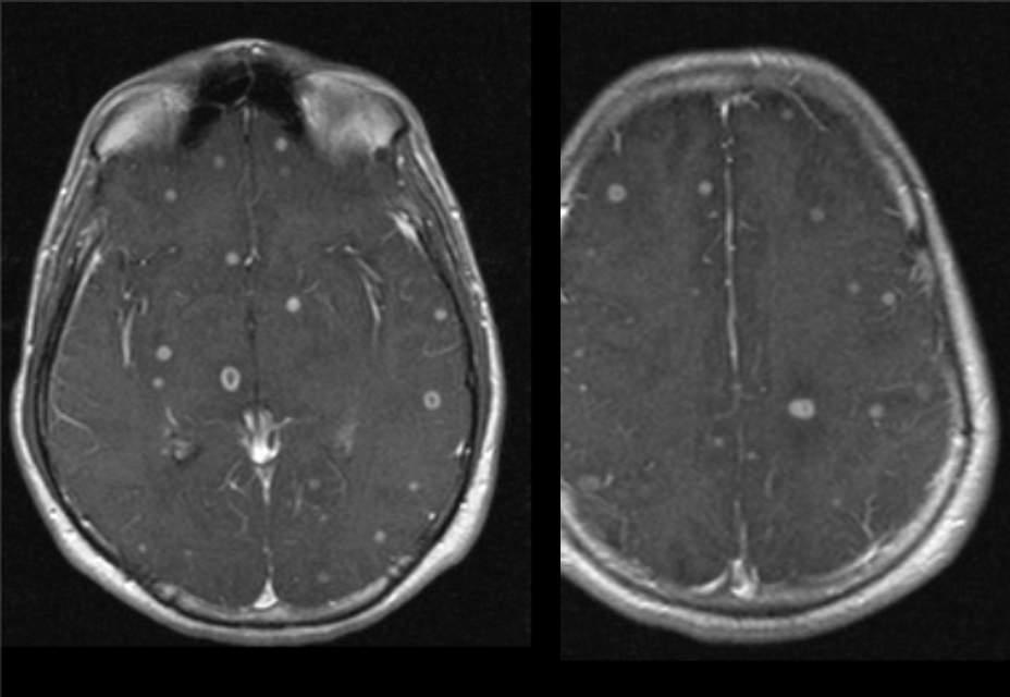
HIV patient with left-sided weakness.

Toxoplasmosis
Background
Clinical features
Imaging
Treatment
A 54 year-old man with HIV presented with dementia and personality changes.

Progressive multifocal leukoencephalopathy (PML)
Background
Clinical features
Diagnosis
Imaging
Treatment
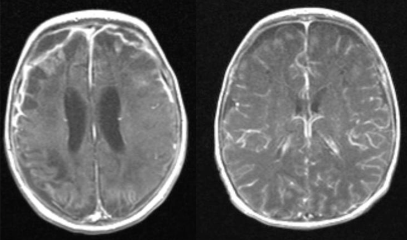
45 year-old HIV patient with confusion and lethargy after starting HAART.

PML with IRIS (immune reconstitution inflammatory syndrome)
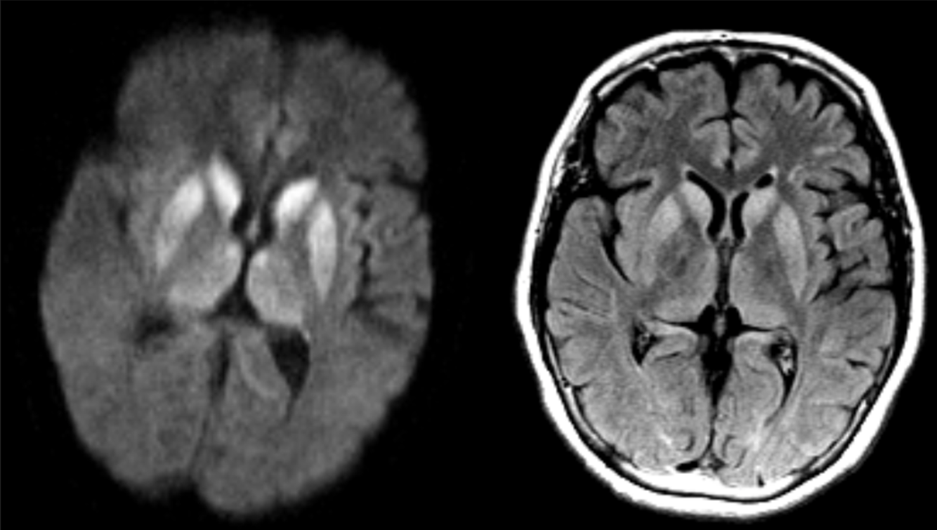
A 45 year-old man with untreated HIV infection presented with 4 months of cognitive slowing.

HIV dementia
Background
Clinical features
Imaging
Treatment
An otherwise healthy 23-year-old man presented with confusion and trouble speaking for 3 days. There was no prior trauma.

Herpes encephalitis
Background
Clinical features
Imaging
Treatment
A 56 year-old immunocompromised man presented with seizures.

Aspergillosis
Background
Diagnosis
Imaging
A 65 year-old man with dementia.

Creutzfeldt-Jakob Disease (CJD)
Background
Clinical features
MRI
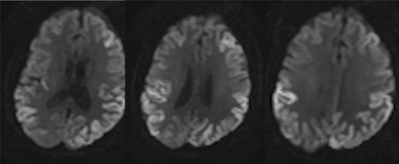
A 65 year-old man presented with the rapid-onset rapid progression of dementia and myoclonus.

Creutzfeldt-Jakob Disease (CJD) with cortical ribboning
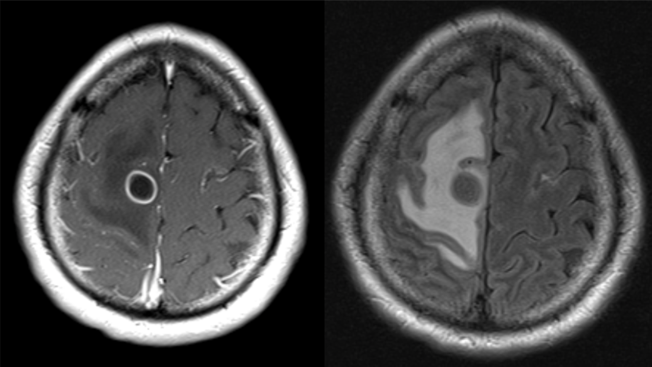
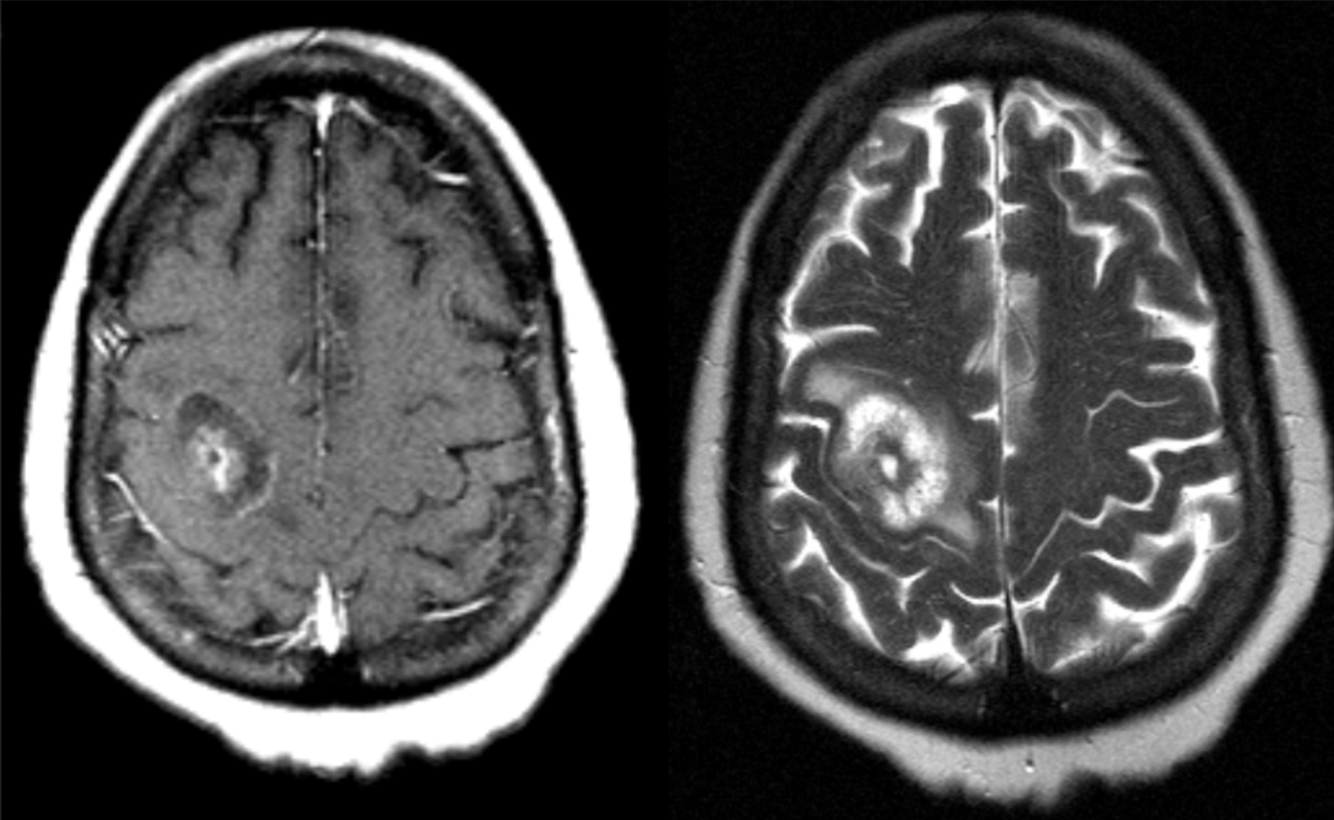
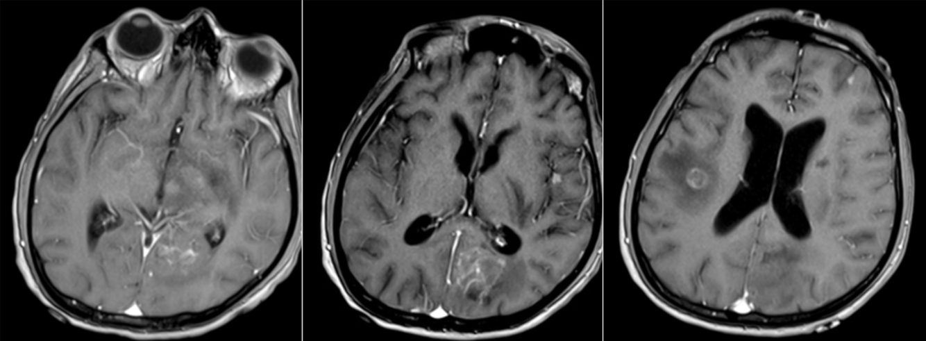
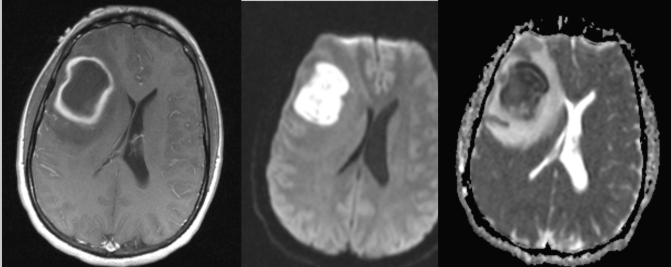
A 54 year-old man presented with headaches and weakness on his left side.

Abscess
Background
Clinical features
Imaging
Treatment
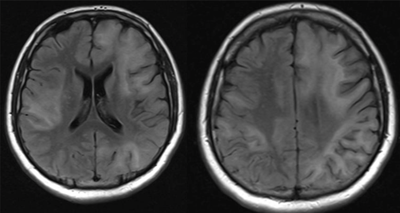
Encephalopathy and seizures in a patient with endocarditis from intravenous drug abuse.

Cerebral abscesses (early formation)

Febrile, lethargic newborn.

Group B streptococcal meningitis
Background
Clinical features
Diagnosis
Imaging
Treatment
28 year-old developed cranial nerve deficits and soon became encephalopathic and died.

Tuberculosis meningitis
Background
Clinical features
Imaging
