Lecture 7 (Vavular)-Exam 2 Flashcards

(115 cards)

1
Q

What valves are on the left side of the heart? When do they open and close?

A

Mitral Valve– AV valve Function:
* Systole – closed; prevents regurgitation into left atrium
* Diastole – opens so left ventricle can fill

Aortic Valve - SL valve Function:
* Systole – open; allows blood to pass into aorta and bod
* Diastole – closed; prevents regurgitation of blood into left ventricle

How well did you know this?
1
Not at all
2
3
4
5
Perfectly
2
Q

What valves are on the right side of the heart? When do they open and close?

A

Tricuspid valve – AV valve Function:
* Systole – closed; prevents regurgitation into right atrium
* Diastole – opens so right ventricle can fill

Pulmonic valve – SL valve Function:
* Systole – open; allows blood to flow into lungs through pulmonary a. for oxygenation
* Diastole – closed; prevents regurgitation of blood into right ventricle

How well did you know this?
1
Not at all
2
3
4
5
Perfectly
3
Q

What are the different valvular heart diseases on left side of heart?

A
  • Mitral valve – stenosis, insufficiency, prolapse
  • Aortic valve – stenosis, insufficiency
How well did you know this?
1
Not at all
2
3
4
5
Perfectly
4
Q

What are the different valvular heart diseases on right side of heart?

A
  • Tricuspid valve – stenosis, insufficiency
  • Pulmonic valve – stenosis, insufficiency
How well did you know this?
1
Not at all
2
3
4
5
Perfectly
5
Q

How do you need to evaluate a patient with valvular disease?

A
  • Correct diagnosing of affected valve(s)
  • Estimating severity of valvular pathology
  • Judging effect on myocardium/EF
  • Deciding on advisability/candidacy and timing of surgical (or catheter based) intervention
How well did you know this?
1
Not at all
2
3
4
5
Perfectly
6
Q

Valvular Heart Surgery
* What are the different approaches?

A

Sternotomy (open chest up all the way)

Minimally invasive
* thoracoscopic approach, robotic, mini sternotomy, transcatheter options
* Even though smaller scar, it is more techanical difficult

How well did you know this?
1
Not at all
2
3
4
5
Perfectly
7
Q

Valvular heart surgery:
* What are the choices you have to fix a valvar
* What are the choices to replace a valve?
* What machine?

A

Repair vs replacement
* Tricuspid: Repair first (avoid replacement bc RA+RV is very low pressure and increase risk of clots)
* Mitral: Repair first then worst case then replace
* Aortic: MC is to replace
* Pulm: cath based (more in peds)

Valve choice
* Bioprosthetic (10-15 years) vs mechanical (15-20 years)

Cardiopulmonary bypass machine

How well did you know this?
1
Not at all
2
3
4
5
Perfectly
8
Q

Mechanical Valve
* Made of what?
* What is the timeline?
* What can happen?
* What is needed for life?

A
  • Made of plastic, metal, carbon
  • Last a longer period of time (15-20 years)
  • Infected valve/antibiotics
  • Anticoagulation…for life because body does not recog the material

  • More for younger patients (must be responsible to take daily meds)

How well did you know this?
1
Not at all
2
3
4
5
Perfectly
9
Q

Biological valve replacement:
* Made from what?
* What is the timeline? What can happen?
* Does not need what? What is the appropriate though?

A
  • Made from human or animal tissue
  • May not last as long as mechanical valves (10-15 years)
    * Bioprosthetic stenosis
    * Even shorter length when younger because we require more work
  • Do not necessarily require anticoagulation
    * Anticoagulation appropriate in the short-term (3-6 mos post-op)
    * Decreases HALT (when body heals over the new valve and decreases longivity)
How well did you know this?
1
Not at all
2
3
4
5
Perfectly
10
Q

Replacement Valves (biological)
* Most often used in who?
* What are some issues?

A
  • Most often used in elderly
  • Infected valve/antibiotic complications
    * Endocarditis is an issue in both replacements: Need to be careful with timing because tx is 6-8 weeks to get rid of the infection before the surgery
    * Does not recognize the tissue so increase risk of infection
    * Need to anx propl. to avoid bacteriemia
How well did you know this?
1
Not at all
2
3
4
5
Perfectly
11
Q

What are the different mitral valve diseases?

A
  • Mitral Stenosis
  • Mitral Regurgitation
  • Mitral Valve Prolapse
How well did you know this?
1
Not at all
2
3
4
5
Perfectly
12
Q

What is going on here

A
  • Functional: It is heart structure issue that is causes the issue
  • Primary: issue with the valve
    * Infact near pap muscles which will end up dying and cause wide open regurg
How well did you know this?
1
Not at all
2
3
4
5
Perfectly
13
Q

Mitral stenosis:
* What is it?
* Can also have what?

A
  • Thickening and calcification of mitral valve leaflets which narrows the orifice; transforms mitral valve into a funnel-like ‘fish mouth’ opening
  • Can also have MAC- mitral annular calcification, further complicates surgical decision making (beacuse it causes issues with suturing)
How well did you know this?
1
Not at all
2
3
4
5
Perfectly
14
Q

What is the MCC of mitral stenosis? What are other causes?

A
  • Most common cause– Rheumatic fever associated with Group A Streptococcal Pharyngitis, or patients who had strep throat
    * ~50 % give no history of having RF - infection usually happens decades before MS diagnosed (20-40 years)
  • Other causes: infective endocarditis, endomyocardial fibroelastosis, malignant carcinoid syndrome, systemic lupus erythematosus

Majority of patients are female

How well did you know this?
1
Not at all
2
3
4
5
Perfectly
15
Q

Mitral Stenosis- Pathophysiology
* How big is the mitral valve orfice area?
* What happens during diastole?

A
  • The normal mitral valve orifice area is 4 to 6 square centimeters
  • The pressure in the left atrium and the left ventricle during diastole are equal. The left ventricle gets filled with blood during early ventricular diastole. Only a small amount of blood remains in the left atrium. This small amount of blood fills the left ventricle with the contraction of the left atrium (the “atrial kick”) during late ventricular diastole.
How well did you know this?
1
Not at all
2
3
4
5
Perfectly
16
Q

Mitral Stenosis- Pathophysiology
* Mitral valve areas < 2 square centimeters creates what? What does it require?

A

Mitral valve areas < 2 square centimeterscreates a pressure gradient across the mitral valve. As the gradient across the mitral valve increases, the left ventricle requires the atrial kick to fill with blood.

How well did you know this?
1
Not at all
2
3
4
5
Perfectly
17
Q

Mitral Stenosis- Pathophysiology
* Mitral stenosis causes what to increase?
* What is the normal pressure of LV diastolic presure?
* What does the pressure gradient cause?What does everything result in?

A

Mitral stenosis causes an increase in left atrial pressure.
* The normal left ventricular diastolic pressure is 5 mmHg.

A pressure gradient across the mitral valve of 20 mmHg due to severe mitral stenosis will cause a left atrial pressure of about 25 mmHg.
* This left atrial pressure is transmitted to the pulmonary vasculature resulting in pulmonary hypertension.

How well did you know this?
1
Not at all
2
3
4
5
Perfectly
18
Q

Mitral Stenosis- Pathophysiology
* As left atrial pressure remains elevated, the left atrium will do what?
* What will that increase the risk of?
* In severe MS, the left ventricular filling depends on what? Why?

A
  • As left atrial pressure remains elevated, the left atrium will increase in size. As the left atrium increases in size, there is a greater chance ofdeveloping atrial fibrillation. If atrial fibrillation develops, the atrial kick is lost.
  • In severe MS, the left ventricular filling depends on the atrial kick. With the loss of the atrial kick, there is a decrease in cardiac output and development of congestive heart failure, usually systolic.
How well did you know this?
1
Not at all
2
3
4
5
Perfectly
19
Q

Mitral stenosis:
* What are the sxs?

A
  • Dyspnea, PND, orthopnea (with progressive disease)
  • Cough and hemoptysis in advanced MS (rupture of bronchial vein)
  • Increased pulmonary pressure causing rupture of pulmonary vessels
  • Leads to congestive heart failure Congestive Heart Failure (CHF)
  • Atrial fibrillation (with progressive disease)

ISSUES WITH LUNGS

How well did you know this?
1
Not at all
2
3
4
5
Perfectly
20
Q

MS PE findings:
* What type of symptoms?
* What is the murmur?
* Signs of what?
* What can develop?

A
  • Left sided CHF symptoms- right sided CHF symptoms when severe
  • low- pitched diastolic “rumbling” murmur with an opening snap (from the thickened mitral valve) heard best in the Left Lateral position at the Apex.
  • Signs of Pulmonary HTN (loud pulmonic component of S2, palpable RV heave) if present
  • Development of Atrial Fibrillation, irregularly irregular, is common with progression of disease
How well did you know this?
1
Not at all
2
3
4
5
Perfectly
21
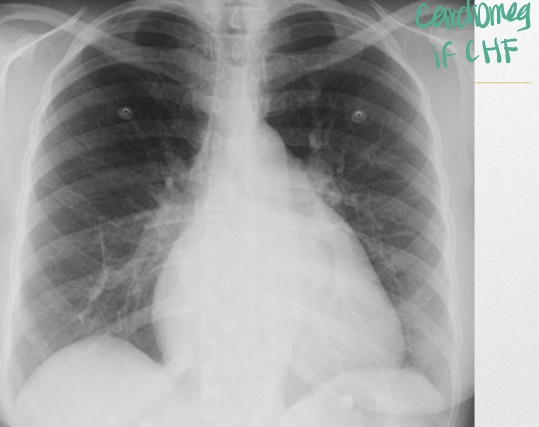
Q

What can be shown on CXR of MS?

A
How well did you know this?
1
Not at all
2
3
4
5
Perfectly
22
Q

MS testing:
* What are the different dx studies?
* What is the dx study of choice?
* What does it tell us?

A

TTE vs TEE
* TEE is diagnostic study of choice

What does the echo tell us
* Mitral valve gradients
* EF
* Function of LV/RV

How well did you know this?
1
Not at all
2
3
4
5
Perfectly
23
Q

Fill in

A
How well did you know this?
1
Not at all
2
3
4
5
Perfectly
24
Q

Mitral stenosis: treatment
* Start with what?
* What should you evaluate for?

A

Start with medical management in symptomatic patients first (HF/Afib)

Evaluate for surgery
* Conventional surgery (sternotomy) vs minimally invasive
* Mitral surgery – typically valve replacement, rare valve repair
* Bioprosthetic vs mechanical

How well did you know this?
1
Not at all
2
3
4
5
Perfectly
25
MS: treatment * What might do you need to do with patients with evidence of pulm HTN? * What are the indications for treatment?
Might need percutaneous Balloon Valvulotomy (in severely symptomatic patients with evidence of pulm HTN) * Performed similar to a cardiac catheterization by a cardiologist Indications * Symptomatic patients with Pulmonary HTN, episodic pulmonary edema, new-onset A.fib
26
Mitral regurd/Insuff * What is it? * What are the sxs?
Description * Back flow of blood into left atrium during systole Signs/symptoms * Dyspnea, SOB, orthopnea, lower extremity edema * Decreased cardiac output (CO), CHF
27
MR PE findings: * What murmur? Radiates where? * Accentuation of what? * What can be present? * What can be present if severe?
* Loud high pitched holosystolic murmur with maximum intensity at apex * Louder murmurs radiate to axilla * Accentuation of the precordial apical thrust if LVH present * S3 &S4 may be present * Concomitant HF findings may be present if severe
28
Acute MR: * What can be a major cause? Explain
Acute Papillary Muscle dysfunction from coronary ischemia - ruptured papillary muscle or torn chordae tendinea from massive MI * The antero-lateral papillary muscle blood supply is from the LAD and the diagonal or a marginal branch of the LCX artery.  The LCX or RCA (depending on dominance) provides the blood supply to the postero-medial papillary muscle. Because of its single system of blood supply, this papillary muscle is particularly prone to injury from myocardial infarction
29
Acute MI: * What are some other causes besides MI?
* Acute ruptured cord, degeneration * Infective endocarditis * Acute rheumatic fever * Acute dilation of the LV due to myocarditis or ischemia (valve gets leaky)
30
What are the chronic causes of MR?
* Mitral valve prolapse (MVP) * Mechanical failure of a prosthetic mitral valve * Myxomatous degeneration of the mitral leaflets or chordae tendineae (fancy term for wear and tear) * Non-ischemic papillary muscle dysfunction - due to LV enlargement and CHF
31
What can be shown on the CXR of MR?
32
Echo findings of MR: * What radius? * What is helpgul in dx serverityz? * What is enlarged? * What can be hyperdynamic * Can have concomitant what?
33
Txt of mitral regurg: * What is the early stage/chronic-mild-mod disease txt?
* Aggressive Treatment of HF - GDMT (ventricualr modeling to bring valve back together) * Rate control & anticoagulation if a-fib present
34
What is the txt of acute servere disease of MR?
* As above but unlike chronic MR where LV & LA have slowly dilated, acute MR is poorly tolerated * Acute onset of severe LV dysfunction may lead to death if not aggressively treated * Emergency Mitral Valve Repair or Replacement
35
What is the txt of Chronic servere MR?
* Left ventricle and left atrium have slowly dilated, +/- pulmonary hypertension * May have had worsening symptoms or hospitalizations * Surgery indicated with severe symptomatic MR * New LV dysfunction * Scheduled surgery on elective basis
36
What are the different options for mitral valve surgery?
Mitro-clip * Not candiated for traditional surgery * Goes through groin with wires to fix it * Then goes through the two atria (basically creating an ASD) * Then clip it in the middle to decrease floppy but still open for some regurg Band * Mitral valve spread apart so band it back together Transcath. Replacement: * Again: another cath option * Not good for open heart, and cannot do clips
37
Mitral valve prolapse * What is it? * common or rare?
* Myxomatous degeneration of the mitral valve and chordae tendineae * Most common disorder affecting a heart valve. * Estimated to occur in over 15 million Americans.
38
Mitral valve prolapse: * Myxomatous degeneration is most commonly what? What are also causes? * MVP is more common among patients with what?
* Myxomatous degeneration is most commonly idiopathic, but may be familial. May also be caused by connective tissue disorders and muscular dystrophies. * MVP is more common among patients with Graves' disease, von Willebrand's syndrome, sickle cell disease, and rheumatic heart disease.
39
MVP PE findings: * What is the murmur? * Heard best where? * Can be easily missed if in what/ * What is the major complication?
* Auscultation reveals a **mid-systolic click** and a late systolic crescendo murmur * Heard best at apex & LLSB with patient in LLDP * Can be easily missed in supine position * **Major complication is MR with LV failure.**
40
MVP * What are the different dx studies and what do they show?
* EKG: Usually normal * CXR: Usually normal * Echocardiography: Parasternal long axis shows degree of leaflet prolapse. Additionally, color Doppler reveals amount of MR, if present
41
How do you txt Mitral valve prolapse?
* Control of arrhythmia's (ie b-blockers) * Anticoagulants for patients with a-fib or history of embolization * No surgical treatment for prolapse. If becomes severe MR then surgery
42
Aortic stenosis * What are the major causes? * What are the less common conditions?
major causes: * Calcific aortic stenosis * Congenital bicuspid aortic valve stenosis Less common conditions: * rheumatic aortic stenosis and previous endocarditis
43
AS pathophysiology: * Chronic what? * As long as mitral valve function is intact, what is protected? * Concentric LVH allows what?
* Chronic left ventricular pressure overloading * As long as mitral valve function is intact, the pulmonary bed is protected from the overloaded pressure from aortic stenosis. * Concentric LVH allows the pressure-overloaded ventricle to maintain stroke volume with increases in diastolic pressures and patients may remain asymptomatic for years
44
AS pathophysio: * Eventually, left ventricular hypertrophy occurs and may cause what?
* Diastolic dysfunction with the onset of heart failure symptoms (starts as this because EF is good then over time the musle fails and becomes systolic dysfunction) * Myocardial oxygen needs in excess of supply with the onset of angina. * Exertional syncope due to the inability to increase cardiac output and maintain blood pressure in response to vasodilation.
45
What is the mortality of AS?
46
AS symptoms: What are they?
These classic symptoms of left ventricular outflow obstruction in a patient with AS indicate advanced disease and should be immediately evaluated: * Heart Failure * Angina (during diastolic, blood has issues coming down into the arteries) * Syncope * DOE
47
AS PE findings: * What is the murmer? * What is the pulse? * What about LV? * Gallop?
48
What deos the EKG and CXR show for AS?
49
What does the echo show for AS?
50
Echocardiogram * What is mean and peak gradients? * What is velocity? * What is aortic valve area?
The top three are traditional measurements (not individial)
51
What is aortic valve index? Stroke volume index? Dimensionless index?
52
Fill in for classication of aortic stenosis
53
What is the low flow/low gradient severe AS?
54
What can we do with low flow/low gradient severe AS with abnormal EF?
Dobutamine Stress Echo * Achieve gradients with increased cardiac contractility.
55
# Aortic stenosis What are the indictions for surgery (replacement)?
1. Asymptomatic patients with an AV area < 1.0cm 2. Patient with LV dysfunction (or symptoms of CHF)
56
What are some other surgical options of aortic stenosis? (not replacement)
* Transcatheter Aortic Valve Replacement (TAVR) * Percutaneous Balloon Valvotomy (BAV)
57
Percutaneous Balloon Valvotomy (BAV) * Good for what? * What is contrainidation? * Most patient should undergo what?
* Good for high risk patients, though limited prognosis due to high restenosis * Exercise stress test is contraindicated * Most patients should undergo cardiac cath before surgery to determine whether concomitant CAD is present. | Don’t give stress test. Send them to Cath lab to revascularize.
58
Non-surgical intervention: * Avoid what? * Treat what?
* Avoid strenuous activity in asymptomatic phase * Treat associated CHF in standard fashion but avoid afterload reduction & hypotension
59
# LY How does a SAVR work?
* the sternum has been divided, the pericardium has been entered and retracted and the heart is visible. We are on bypass, meaning the cardiopulmonary bypass circuit is being used and the heart has been stopped and cooled down to limit the cardiac metabolism. The aorta has been transected and we are staring straight down into the aorta to see the aortic valve. The stenotic aortic valve leaflets have been cut out and the calcium around the annulus has also been removed. We have placed sutures through the annulus which will also be passed through the new aortic valve, whether that is mechanical or bioprosthetic. * The valve has been slid into position and the sutures have been tied down. The aorta will now be sewn back together and then the patient will be weaned from bypass and the heart rewarmed. The chest is closed and the patient is typically in the hospital for 5-7 days to recover.
60
TAVR * What is it? * What are the access options?
TAVR is a transcatheter option that involves accessing the peripheral vessels to thread catheters and wires up the aorta backwards into the aortic valve position, the new valve is then deployed pushing the old aortic valve out of the way * Femoral * subclavian * Carotid * Transapical
61
What are the benfits and cool things about TAVR?
62
What is the treatment option for poor surgical candidates?
Percutaneous balloon valvuloplasty for temporary (6 months) relief of symptoms in poor surgical candidates * Bridge to therapy * Destination therapy * Risk: can cause aortic insufficiency- caution in those patients with AI already present ## Footnote Ballooning or mechanical valves eventually causes AR
63
* EF should be about 60%. * Tx - catheterization and refer to valve replacement.
64
Aortic Insufficiency or Regurgitation (AI) * What does it cause? * How is it tolerated?
* AI causes volume overloading of the left ventricle (Increased LV EDV) * The volume overload usually is well tolerated for long periods
65
Aortic Insufficiency or Regurgitation (AI) * The sequelae of aortic regurgitation reflects what? * What is going on with the ejection fraction?
* The sequelae of aortic regurgitation reflect the severity of the diastolic leak (i.e.) left ventricular dilation and hypertrophy, with remodeling of the left ventricle to a more spherical shape. * The ejection fraction usually is preserved until the late stages of the disease.
66
What are the major causes of Chonic AI?
* **Aneurysmal disease of the ascending aorta/aortic root** * Healed/treated/ongoing endocarditis * Rheumatic heart disease * Bicuspid congenital aortic valve * Calcific degeneration * Myxomatous degeneration * Degeneration of prosthetic valve
67
What are the major causes of acute AI
* Aortic Dissection * Infective Endocarditis * Prosthetic valve dysfunction * Aortic aneurysm/dilation/Marfan’s
68
How do AI symptoms progress?
Usually remain asymptomatic for decades, often until fourth or fifth decade of life
69
What are the sx of AI? When do they start?
DOE, Orthopnea, PND – Typical HF symptoms * Usually after development of cardiomegaly and LV dysfunction Angina * Develops later, often during nighttime (diastole increases during nighttime – myocardium needs more O2) Palpitations/Head pounding * **Especially in supine position, pounding of heart against chest wall.**
70
AI PE Findings (murmur) * What murmur is present? * When can it be heard? * What corrlates with serverity? (mild vs severe) * Where is primary valve disease heard best? * Where is Aortic root disease heard best?
71
AI PE findings: * What murmur can be heard with severe AR? * What happens with the pulse pressure?
Austin Flint Murmur * Mid-late diastolic apical rumble, best heard in the apex – severe AR Wide Pulse Pressure – high systole and low diastole
72
Wide pulse pressure (AI): * What does it refer to? * How is it calculated? * What is the normal pulse pressure? * What is a wide pulse pressure?
73
What are factors that contribut to wide pulse pressure?
* Increased stroke volume – ejecting a larger than normal volume of blood with systole, such as in aortic regurgitation * Arteriosclerosis – stiffening of the arteries loss of compliance * Aging – arteries are less elastic * Hyperthyroidism
74
AI PE Findings: * What is the de musset sign? * What is the corrigan pulse? * What is the bisferiens pulse?
75
AI PE findings: * What is the hill sign? * What is traube sign? * What is the quickne sign? * What is apical impulse?
76
What is the EKG finding for chronic AI?
Lateral precordial narrow Q waves and left ventricular hypertrophy. The ST segment and T wave are often normal or nearly normal.
77
What does the CXR show with AI?
* Cardiomegaly * LV enlargement (“boot shaped heart”) * Dilatation of ascending aorta
78
Chronic AI * What is the dx study of choice? What are the findings? * What confirms the dx?
79
How do you medical management mild/mod AI?
Vasodilators (reduce SBP, improve SV, reduce regurgitant volume-decrease afterload) * **ACE-I, Nifedipine, Hydralizine, or Prazosin** Treat CHF – diuretics, spironolactone,
80
What medications do you need to avoid with AI patients
* Avoid vigorous exertion in symptomatic AI * Avoid beta blockers – prolong diastole and increase aortic regurgitation
81
What are the indications for surgical intervention for severe chronic AI?
82
What are the indications for surgical intervention for severe acute AI?
Aortic Valve replacemtn * Urgent when acute AI caused by acute aortic dissection or Infective Endocarditis
83
Tricuspid Valve Regurgitation (TR) * What is the mcc of Primary TR?
Most common cause of primary TR is infectious endocarditis * 17% of infective endocarditis affects the TV * Seen in IV drug abuse – staph (MSSA vs MRSA) * Can get septic pulmonary emboli
84
What are other causes of primary TR besides infectious endocarditis?
* Leaflet perforation * Entrapment after device placement * Congenital abnormalities
85
# She said low yield What are the four morphologic types of functional TR?
86
TR PE findings: * What is the murmur? How heard best? * What accentutes it? * What decreases it? * What If Pulmonary HTN present?
87
TR PE findings: * Systemic signs of what? * In severe grades, what happens? * What organ? * May be associated with AF?
88
Treatment of TR * better tolerated than what? * Intensive what? * Treat what?
* Moderate to severe TR generally tolerated better than MR * Intensive diuretic therapy * Treating any underlying functional etiologies (COPD or Chronic Pulmonary Emboli worsening already existing Pulmonary HTN & RVH)
89
Treatment of TR * Severe symptomatic TR requires what? What is it? * Often seen in conjunction with what? * If TV replacement must be done, prefer to treat with what?
90
Tricuspid Valve Stenosis (TS) * Common or rare? * Results in what? * usually accompanies what?
* Is a very rate valvular abnormality * Results in an elevated gradient between the right atrium and right ventricle * Usually accompanies other valvular abnormalities
91
Tricuspid Valve Stenosis (TS) Etiology: * What is the MCC of acquire? What are other acquired causes?
* Rheumatic heart disease is one of the **most common causes of TS and almost always occurs in conjunction with mitral stenosis** * Large vegetation causes relative stenosis * Carcinoid tumor or benign tumors like atrial myxomas can cause functional TS
92
Tricuspid Valve Stenosis (TS Etiology) * What is less common? * What are other causes?
93
TS PE Findings: * What murmur is present? * Best heard with what? * where is point of maximum intensity? * What is accentuated in this region? * May be obscured by what?
94
What PE Findings to Distinguish From MS?
95
How do you dx TS?
TTE: thickening and distortion of the TV, valve area <1cm2, transvalvular gradient of more than 5-10mmHg
96
What is the txt of TS?
* Medical therapy – limited- diuretics, symptom relief * Percutaneous valvotomy (balloon)–for poor surgical candidates * Tricuspid repair/replacement (cannot repair stenois of tricuspid) * Operative mortality for isolated TS is significant (10%) and increases if performed with other valvular surgery (16%)
97
Pulmonic Valve Stenosis (PS) * Can cause what? * What are the causes?
98
Pulmonic Valve Stenosis (PS): Clinical presentation * What do most patient present with? * What is good to dx? What happens with severe stenosis?
Most patients with mild pulmonary stenosis are asymptomatic, as it progresses patients typically experience DOE and or fatigue TTE is sufficient in most cases to diagnose pulmonic stenosis * Severe stenosis – peak gradient across the valve greater than 64mmHg
99
PS * What is the murmur? Similar to what?
* Mid systolic high pitched crescendo-decrescendo murmur heard best at the pulmonic region and radiating slightly toward the neck * Similar to AS, but does not radiate as widely
100
What is the txt of PS?
Moderate or severe stenosis (gradient >50 mm Hg) requires surgical (or balloon) valvuloplasty
101
Pulmonic Valve Regurgitation/Insufficiency * Common or not?
Pulmonic regurgitation is extremely common, happening to between 30% and 75% of the population (some sources suggest it’s even higher). However, the leak is almost always too small to cause any symptoms
102
Pulmonic Valve Regurgitation/Insufficiency * What are the most significant PR causes? * What are the less common causes?
* More significant PR caused by: Pulmonary HTN (older adults) and surgical repair of tetralogy of Fallot (children, young adults) * Less common causes: infective endocarditis, idiopathic pulmonary artery dilation, and congenital valvular heart disease
103
* What is the pathophysiolgy of Pulmonic Valve Regurgitation/Insufficiency? * What are the sx?
Pathophysiology * Dilatation of ring of PV by Pulmonary HTN of any cause Symptoms * Usually related to primary disease * Right HF symptoms * RV strain
104
PR PE findings: * What murmur? * Where is it heard loudest? * RV precordial thrust RV may be palpated what? * Another way to distinguish PI from AI=
105
What is the PR txt?
106
Cardiac Tumors * Primary tumors common or rate? * Most primary cardiac tumors are what? * With possible exception of lymphoma, most malignant primary (10%) and metastatic lesions are what?
* Primary tumors of heart are rare (0.002-0.3 % of autopsy series) * Most primary cardiac tumors benign (90%) & resectable * With possible exception of lymphoma, most malignant primary (10%) and metastatic lesions are resistant to chemo & XRT & have poor prognosis
107
What are the primary bengin cardiac tumors?
* **Myxoma** * Rhabdomyoma * **Papillary fibroelastoma (most common tumor of cardiac valves, 75%)** * Fibroma * Lipoma * Teratoma
108
What are the primary malignant cardiac tumors?
* Sarcomas: Rhabdomyosarcoma and Angiosarcoma * Lymphoma * Teratoma
109
What are the primary metastatic cardiac tumors?
* Carcinoma lung, breast * Sarcoma * Melanoma * Renal Cell, Lymphoma,
110
Benign Myxoma: * Common or rare? * Wher are they usually found?
* Most common type of primary cardiac tumor in all age groups * Most commonly found in the left atrium, 75%
110
Benign Myxoma * What are the clinical sxs?
* Fever, Weight loss * Anemia * Signs of systemic embolization * Presyncope or Syncope
111
Presyncope or Syncope in benign myxoma is most commonly present with what?
Most commonly presents with sudden onset of symptoms that are typically positional in nature (ie occurs when changing position such as rolling over in bed or when bending over to tie his shoes) due to the effect that gravity has on the tumor.
112
Benign Myxoma * What does the physical exam show?
may reveal characteristic early diastolic sound or “tumor flop”
113
114
Cardiac Tumors * What is the txt?
* Most benign lesions are resectable & curable * Surgery for cardiac sarcomas & metastatic lesions usually for diagnostic purposes or palliative resection; long term survival for malignant cardiac tumors poor