How does the composition of breast change with aging and how is this related to imaging and ease of diagnosis?

What 2 lesions of the breast arise in the intralobular stroma?

What 4 lesions can arise in the interlobular stroma of the breast?

What 4 lesions can arise in the large ducts of the breast?

What are milk line remnants and how do they most commonly come to attention clinically?

What is the clinical significance of accessory axillary breast tissue; managed how clinically?

Why is acquired nipple inversion of greater concern than congenital?
May indicate presence of an invasive cancer or an inflammatory nipple disease
Palpable masses of the breast are most commonly due to what 3 etiologies?

In what setting is nipple discharge most worrisome?
When spontaneous and unilateral; especially >60 y/o
What is the most common cause of bloody or serous discharge from th nipple?
Large duct papilloma
What characteristics of a density detected on mammogram is associated with benign vs. malignant lesions?

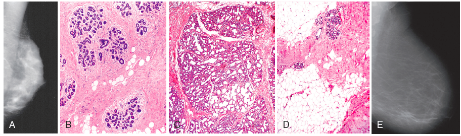
How is DCIS most commonly seen on mammograms?
Calcifications –> small, irregular, numerous and clustered

When does acute mastitis typically occur and what are the signs/sx’s?
Squamous metaplsia of lactiferous ducts (aka recurrent subareolar abscess, periductal mastitis, and Zuska) disease commonly presents with what signs and sx’s?
Risk factors for squamous metaplsia of lactiferous ducts (aka recurrent subareolar abscess, periductal mastitis, and Zuska) include?
What are the key morphological features of squamous metaplsia of lactiferous ducts (aka recurrent subareolar abscess, periductal mastitis, and Zuska)?
What are the distinguishing features, signs and sx’s of duct ectasia?
Duct ectasia most commonly occurs in which age group and what is a risk factor?
In duct ectasia the ectatic ducts are filled with inspissated secretions and numerous what?
Lipid-laden macrophages
What is the common clinical presentation of fat necrosis of the breast and what is a risk factor?
How does lymphocytic mastopathy (aka sclerosing lymphocytic lobulitis) most commonly present; associated with what underlying disorders?
What are the 3 principal morphological changes associated with nonproliferative breast changes (fibrocystic change)?
How can a FNA of a cyst associated with nonproliferative breast changes help confirm the diagnosis?
Dissapearance of the mass after FNA of its contents
The nonproliferative breast change, adenosis, is defined as what; and is a normal feature seen in which women?