Levermetastaser Flashcards

(17 cards)

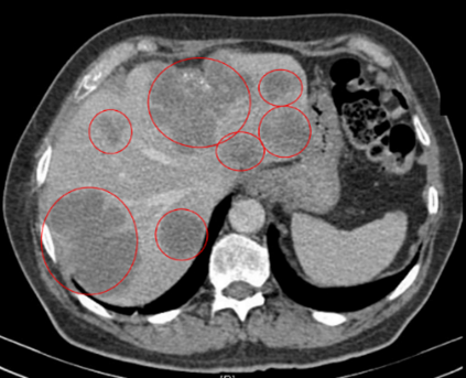
1
Q

Vad visar bilden?

A
  • Levermetastaser inringat
  • Ljusa stråk är levervener
How well did you know this?
1
Not at all
2
3
4
5
Perfectly
2
Q

Palliativ situation?

A
How well did you know this?
1
Not at all
2
3
4
5
Perfectly
3
Q

Ska vi punktera och ta biopsi på misstänkt levermetastas?
Var ska beslut gällande behandling av levermetastas fattas?
Är de med levermetastaser för det mesta i palliativ situation?
Hur ska de behandlas för största överlevnad?

A
  • Levertumör är INTE indikation för punktion (vi riskerar sprida tumören när vi drar ut nålen)
  • Beslut om utredning och behandling av misstänkt levermalignitet ska fattas på MDK med leverkompetens (nu kan vi möjligtvis göra en biopsi)
    o Bedömning av vilka levertumörer som kan kirurgiskt behandlas kan endast göras av leverkirurg
  • Stor andel av patienter med levermetastaser från KRK är INTE i palliativ situation
    o Rimlig chans till bot
  • Kirurgisk behandling av levermetastaser medför stor överlevnadsvinst jämfört med annan behandling / ingen behandling
How well did you know this?
1
Not at all
2
3
4
5
Perfectly
4
Q

Metastaser med etablerad indikation för op?

A
  • KRLM = KoloRektala LeverMetastaser
    o 50 % överlevnad
  • NELM = NeuroEndokrin LeverMetastaser
    o Bättre prognos (framför allt vid op, 80 % överlevnad efter 5 år)
How well did you know this?
1
Not at all
2
3
4
5
Perfectly
5
Q

Utredning av misstänkta levermaligniteter

  • Resektabilitet
    o Röntgenbilder framför allt
  • Operabilitet
    o Anamnes (sjukdomar, hjärt/lung-sjuka osv, rör sig fritt osv)
    Operation beror då exempelvis på?
A

Resektabilitet (ex liten i kanten), kraven på vad som är en operabel patient blir lägre ställd, men en stor mitt i levern kräver en friskare patient för operabilitet

How well did you know this?
1
Not at all
2
3
4
5
Perfectly
6
Q

STICK ALDRIG I LEVERN!

A

FATTA DET KOMPIS!

How well did you know this?
1
Not at all
2
3
4
5
Perfectly
7
Q

På vilka kan vi operera ex levermetastaser? Tänk ECOG

A

o Patientens funktionsnivå (ECOG/WHO) 0 frisk, 5 död. 1 nästan frisk, 3 sängliggande mer än halva vakna tiden (osannolikt med större operation), 0-1 tål det mest, 2 mindre kirurgiska ingrepp, 3-4 ej operabel
o Insikt
o Förväntad funktionsnivå efter åtgärd
o Ärlighet viktigt!

How well did you know this?
1
Not at all
2
3
4
5
Perfectly
7
Q

På vilka kan vi operera ex levermetastaser? Tänk ECOG

A

o Patientens funktionsnivå (ECOG/WHO) 0 frisk, 5 död. 1 nästan frisk, 3 sängliggande mer än halva vakna tiden (osannolikt med större operation), 0-1 tål det mest, 2 mindre kirurgiska ingrepp, 3-4 ej operabel
o Insikt
o Förväntad funktionsnivå efter åtgärd
o Ärlighet viktigt!

How well did you know this?
1
Not at all
2
3
4
5
Perfectly
8
Q

Sjukdomen (resektabilitet) vid levermetastaser. Ge exempel på vad som går under denna kategori

A

o Antal
o Storlek
o Läge (gallgångar/kärl)
o Volym efter op
o Leverfunktion, ex cirros (cellgift/planerad op)
o X-tra hepatisk sjukdom
o Sjukdom utanför lever påverkar nyttan av leveroperation (men även om det finns lungtumörer så är prognosen bättre då levertumörer dödar snabbare)

How well did you know this?
1
Not at all
2
3
4
5
Perfectly
9
Q

Metoder för att utreda resektabilitet vid levermetastaser?

A

o CT thorax och buk (billigt, snabbt, tillgängligt)
o MR lever (sensitivt och specifikt), se alla tumörer, avgöra vilken tumörtyp det
o CEUS (kontrastförsärkt ultraljud)
o PET-CT (ENBART för x-tra hepatisk sjukdom), det mesta lyser rött i lever redan från början. Men stort värde för att se ökad metabolism på andra platser i kroppen (ex körtlar)

How well did you know this?
1
Not at all
2
3
4
5
Perfectly
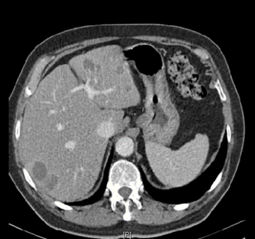
10
Q

Vad ses på bilden?

A
  • Oxaliplatin (blue)
    o Sinusoidal obstruktion orsakar ökad operativ blödning men inte ökad perioperativ mortalitet
  • Irinotekan (yellow)
    o Orsakar steatohepatit med ökad 90 dagars perioperativ mortalitet
How well did you know this?
1
Not at all
2
3
4
5
Perfectly
11
Q

Anatomi

  • V. cava i mitten
    o Levervener tömmer sig här
  • V. porta är som Y längre fram
  • Segmentering bygger på portagrenar (kraniella och kaudala segment) och levervener
    o Kraniella – II, IVa, VII och VIII
    o Kaudala – III, IVb, V och VI
    o Levervener delar upp i sektorer, höger leverven ger posterior sektor (VI och VII) och anterior sektor (V och VIII)
    o Mellersta leverven ger höger och vänster lob
    o II och III utgör lateral sektor, IVa och IVb medial sektor (vänster leverven delar upp detta)

Vad utgör ovan för språk?

A

Används vid beskrivning av lokalisation av tumör, olika möjligheter att dra strecken vid röntgen. Vi kan avgöra hur mkt volym som blir kvar vid ev resektion. Grund för hur vi beskriver levertumörer

How well did you know this?
1
Not at all
2
3
4
5
Perfectly
12
Q

Behandling KRLM (kolorektala levermetastaser)?

A
  • BSC (best supportive care)
  • Palliativ cellgiftsbehandling
  • Ablation (bränna)
  • Resektion (med eller utan chemo)
    o Neoadjuvant (för att behandla hela kroppen)
    o Downsizing (för att minska tumörer)
How well did you know this?
1
Not at all
2
3
4
5
Perfectly
13
Q

Skillnad på neoadjuvant behandling och downsizing?

A

o Neoadjuvant (för att behandla hela kroppen)
o Downsizing (för att minska tumörer)

How well did you know this?
1
Not at all
2
3
4
5
Perfectly
14
Q

Val av behandling KRLM

  • BSC (best supportive care)
  • Palliativ cellgiftsbehandling
  • Ablation (bränna)
  • Resektion (med eller utan chemo)
    o Neoadjuvant (för att behandla hela kroppen)
    o Downsizing (för att minska tumörer)
  • Transplantation (inte i nuläget)
    Hur ser trappan ut gällande ovan?
A

Kirurgi

  • Laparaskopiskt eller inte
    o Rör återhämtning
  • Om nej –> cellgiftbehandling för downsizing
    o Om nej utvärdera, eventuellt byta cellgift men blir svårt
    o Men om den blir resektabel behövs ibland åtgärd för att öka leverns volym (förkortningar) inför operation
How well did you know this?
1
Not at all
2
3
4
5
Perfectly
15
Q

Efter op av levermetastaser

  • Äta och dricka dagen efter, hem efter en vecka
    Komplikationer (1/3 får detta) efter op?
A

o Infektion
o Galläckage
o Pleuravätska
o Leversvikt
o Blödning
o Tromboemboli

16
Q

Uppföljning kolorektal cancer

  • 4:e månad första två åren
  • 6:e månad två år
  • Följt av 4 respektive 5 år
  • Kurvan planar ut mkt efter hand
A

Re-resektion nästan lika bra prognos som vid första op