Maladies digestives en post-sevrage - E. Coli STEC et ETEC Flashcards

(38 cards)

1
Q

Par quel pathogène est causée la maladie de l’oedeme

A

E. Coli STEC souvent souche hémolytique

How well did you know this?
1
Not at all
2
3
4
5
Perfectly
2
Q

Nommez la toxine crée par STEC ***IMPORTANT

A

Stx2e -> Shiga-Like toxine/Verotoxine

How well did you know this?
1
Not at all
2
3
4
5
Perfectly
3
Q

Complétez: E coli STEC a un anti-gène d’attachement, le F___ ***IMPORTANT

A

18

How well did you know this?
1
Not at all
2
3
4
5
Perfectly
4
Q

Quelle est la pathoégnie de E coli STEC (6)

A

Ingestion du E.Coli hémolytique F18 -> prolifération et colonisation du petit-intestin par les récepteurs F18 -> production de la toxine (Shiga-like / verotoxine) suite a la lyse de la bactérie ->Toxine entre dans les entérocytes et rejoint la circulation sanguine -> Dommages vasculaire et formation d’oedeme -> Angiopathie dégénérative des artérioles (TGI, SNC, peau)

How well did you know this?
1
Not at all
2
3
4
5
Perfectly
5
Q

Quels sont les signes cliniques de la maladie de l’oedeme (5)

A

Mort subite
Oedme palpébral et a/n du front
Signes nerveux (oedeme cerebral + lésions vasculaires)
Constipation / diarrhée
Dyspnée

How well did you know this?
1
Not at all
2
3
4
5
Perfectly
6
Q

Quels seront les signes nerveux observés (4)

A

incoordination
paralysie
tremblements
pédalage

How well did you know this?
1
Not at all
2
3
4
5
Perfectly
7
Q

Quels sont les porcs qui sont atteints par la maladie de l’oedeme

A

dans les 2 semaines suivant le sevrage et atteint les beaux porcelets

How well did you know this?
1
Not at all
2
3
4
5
Perfectly
8
Q

Pourquoi est-ce qu’on observe moins la maladie avant 3 semaine d’âge

A

car il n’y a pas de recepteurs F18 sur les entérocytes

How well did you know this?
1
Not at all
2
3
4
5
Perfectly
9
Q

Complétez: Lors de la maladie de l’oedeme, la morbidité est ______ à ____ et la mortalité est _____ à ______.

A

faible à modérée
modérée à élevée

How well did you know this?
1
Not at all
2
3
4
5
Perfectly
10
Q

Combien de temps dure généralement la maladie/épisodes cliniques dans le troupeau

A

2 semaines

How well did you know this?
1
Not at all
2
3
4
5
Perfectly
11
Q

Quelles sont les lésions macroscopiques lors de la maladie de l’oedeme (4)

A

Oedeme à différentes localisations:
- Sous-muqueuse stomacale
- Mésocolon
- Sous-cutané (paupière, front)
- +- oedeme pulmonaire/hydrothorax/ascite

How well did you know this?
1
Not at all
2
3
4
5
Perfectly
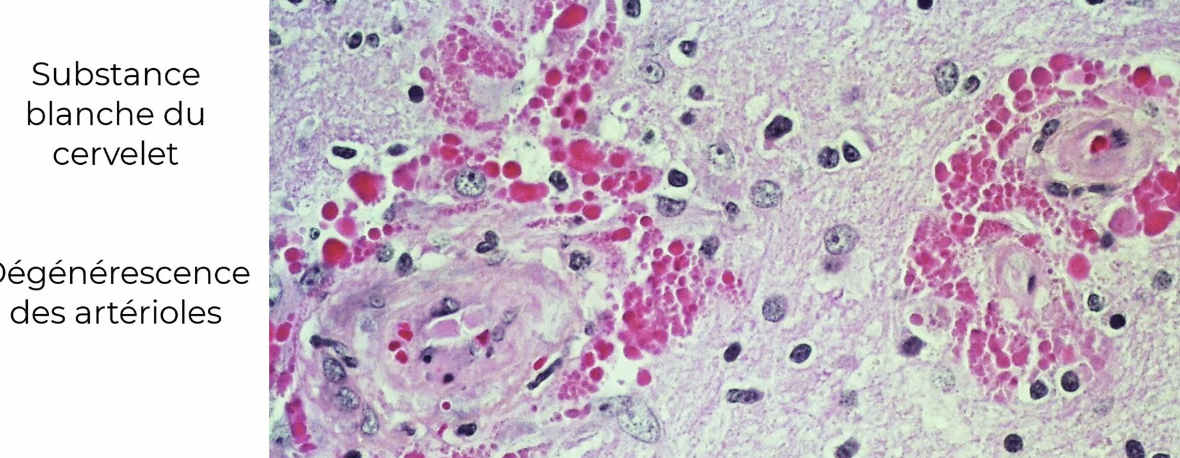
12
Q

Quelles sont les lésions microscopiques lors de la maladie de l’oedeme

A

Dégénérescence des artérioles dans la Sous-muqueuse TGI, SNC, derme.

How well did you know this?
1
Not at all
2
3
4
5
Perfectly
13
Q

V ou F: Lors de cas très aigus (mort subite), il est possible de ne pas avoir de lésions

A

vrai

How well did you know this?
1
Not at all
2
3
4
5
Perfectly
14
Q

Comment se fait le dx de la maladie de l’oedeme (3)

A

histopathologie
bactériologie de l’iléon
PCR de la shigatoxine

How well did you know this?
1
Not at all
2
3
4
5
Perfectly
15
Q

Quelles sont les 2 formes de diarrhée colibacillaire en post-sevrage

A
  1. Diarrhée colibacillaire sans choc
  2. Diarrhée colibacillaire compliquée d’un syndrome endotoxique (choc)
How well did you know this?
1
Not at all
2
3
4
5
Perfectly
16
Q

La diarrhée colibacillaire est causée par quelle bactérie

A

E coli ETEC souvent hemolytique

17
Q

Complétez: E coli ETEC a un anti-gène d’attachement, le F___ et parfois le F___.

18
Q

Quelles sont les entérotoxines sécrétées par ETEC

A

STa, STb, LT, EAST-1

(+/- adhésine AIDA)

19
Q

V ou F: Le E Coli responsable de la maladie de l’oedeme est du même sérogroupe que pour la diarrhée colibacillaire

20
Q

quelle est la pathogénie de la diarrhée colibacillaire (5)

A

prolifération et colonisation du petit intestin -> production d’entérotoxines -> diarrhée non spécifique (absente si cas suraigus) -> choc associé à l’abs des endotoxines -> mort subite

21
Q

quels sont les signes cliniques de la diarrhée colibacillaire (4)

A
  • Diarrhée non spécifique (liquide, jaunatre)
  • Deshydratation
  • Région péri-anale souillée/irritée
  • Retard de croissance
22
Q

Complétez: La diarrhée colibacillaire apparait souvent dans les ___ premières semaines post-sevrage

23
Q

V ou F: la morbidité de diarrhée colibacillaire est assez élevée, soit de 40 à 80%

24
Q

comment se fait la diarrhée colibacillaire avec choc (pathogénie) (6)

A

-> Souvent due aux ETEC F4

Relâche rapide d’une grande quantité de LPS par ETEC ->Stimulation des médiateurs de l’inflammation (TNF-a, IL-1, IL-6) -> Neutrophiles activés par médiateurs causent des dommages à l’endothélium vasculaire -> perte de fluide -> choc hypovolémique

25
V ou F: Lors de diarrhée colibacillaire avec choc, il est possible d'avoir comme seul signe clinique la mort subite
vrai
26
Quels sont les autres signes cliniques de la diarrhée colibacillaire avec choc
Diarrhée très liquide sanglante -> aspect soupe aux tomates
27
Complétez: Lors de diarrhée colibacillaire avec choc, la mortalité est ____.
très élevée
28
quelles sont les lésions macroscopiques lors de diarrhée colibacillaire avec choc (4)
- Contenu du colon est liquide et abondant - Hyperhémie transmurale variable du petit intestin - Contenu +/- hémorragique - Parfois aussi hyperhémie de l'estomac/colon
29
Comment se fait le dx des infections à E.Coli en post-sevrage (maladie de l'oedeme/Diarrhée colibacillaire +/- choc) (3)
- aspect clinique évocateur -> maladie de l'oedeme/diarrhée colibacillaire avec choc - histopathologie - bactériologie sur PI pour identifier la souche (une bactério negative n'est pas une raison d'exclure!)
30
V ou F: pour les traitements de E. coli en post-sevrage, il est nécessaire de faire un antibiogramme
vrai!! bcp de résistance
31
Nommez des ddx de mort subite en pouponnière (post-sevrage) (4)
Maladie de l'oedeme Diarrhée colibacillaire avec choc Agents de septicémie Cardiomyopathie mûriforme
32
Comment se fait la transmission de E coli dans la chambre de mise-bas? Dans la pouponnière?
- Dans la chambre de mise bas: par la truie, environnement contaminé - Dans la pouponnière: porcelets porteurs, environnement contaminé
33
V ou F: E coli apprécie les environnements chauds et secs
faux: froids et humides
34
comment se fait le tx des E coli (4)
- hydratation -> eau + electrolytes - ATB + antibiogramme: Apramycine, gentamycine, néomycine, spectinomycine, TMS, Ceftiofur (dernier recours) - Tx en injectable aux animaux malades - tx dans l'eau pour les autres (ex: apramycine dans l'eau -> 28 jrs de retrait)
35
Nommez des maladies concomitantes qui peuvent altérer les mécanismes physiologiques et peuvent favoriser la colonisation par E. coli (2)
rotavirus SRRP
36
Comment prévenir les infections à E coli
vaccination
37
Comment se fait la vaccination à E coli
vaccin oral (Coliprotec) -> vaccin vivant F4, F18 ou F4/F18 à donner avant la période à risque
38
Complétez: Le vaccin oral contre E coli donne une immunité mucosale spécifique à Ig___
A