What is being demonstrated on this T1W image?

The image demonstrates high signal within the supraspinatus tendon.
If on the T2 image the signal becomes brighter then this represents tendinitis (aka tendinosis) or a partial tear.
if on the T2 image the signal does not increase in intensity then this is normal may just represent myxoid degeneration
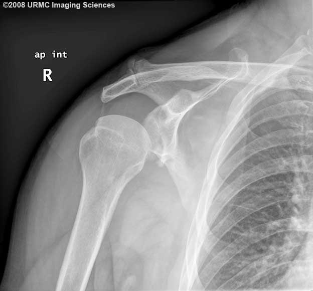
What 2 abnormalities are demonstrated on this radiograph?

AP internal rotation view of the shoulder shows a low-lying humerus suspicious for joint laxity and instability or pseudo-subluxation. Cortical depression of the posterolateral humerus is consistent with a Hill-Sachs deformity. Deformity of the inferior glenoid with a bony fragment is also present and suggests a glenoid fracture (bony Bankart injury).
What does this FS PD MRI demonstrate?

High signal is seen extending into the superior labrum, and tracking into the labrum (and sometimes into the biceps tendon).
This is in keeping with a tear within the superior labrum, known as a superior labral anterior posterior tears (or SLAP tears).
The tear involves the labrum superiorly, where the long head of biceps tendon inserts.
Unlike Bankart lesions and ALPSA lesions, they are not associated with shoulder instability.