MSS microstructure and function Flashcards

(55 cards)

1
Q

State the 5 main tissue types

A

The 5 Tissue Types
Epithelium (sheets of cells)
Connective tissue (support and strength)
Blood
Muscle tissues
Neural tissues (CNS & nerves)

How well did you know this?
1
Not at all
2
3
4
5
Perfectly
2
Q

State the definition for and describe muscles

A

Muscles are defined as contractile tissues
They can be subdivided into many parts:
Striated which includes:
skeletal: rapid contraction, subject to fatigue, voluntary
cardiac: rapid, continual contractions, resists fatigue, involuntary
Non-striated which includes:
smooth: slower contraction, v powerful, energy efficient,
little fatigue, involuntary

Myoepithelium (in glands, iris of eye)
Myofibroblasts (in healing wounds)

How well did you know this?
1
Not at all
2
3
4
5
Perfectly
3
Q

Which structures in human skeletal muscle can be seen by eye?

A

Epimysium: protective outer layer, made of collagen, is a connective tissue

fascicles: small bundles of muscle fibers
perimysium: connective tissue located around fascicles

How well did you know this?
1
Not at all
2
3
4
5
Perfectly
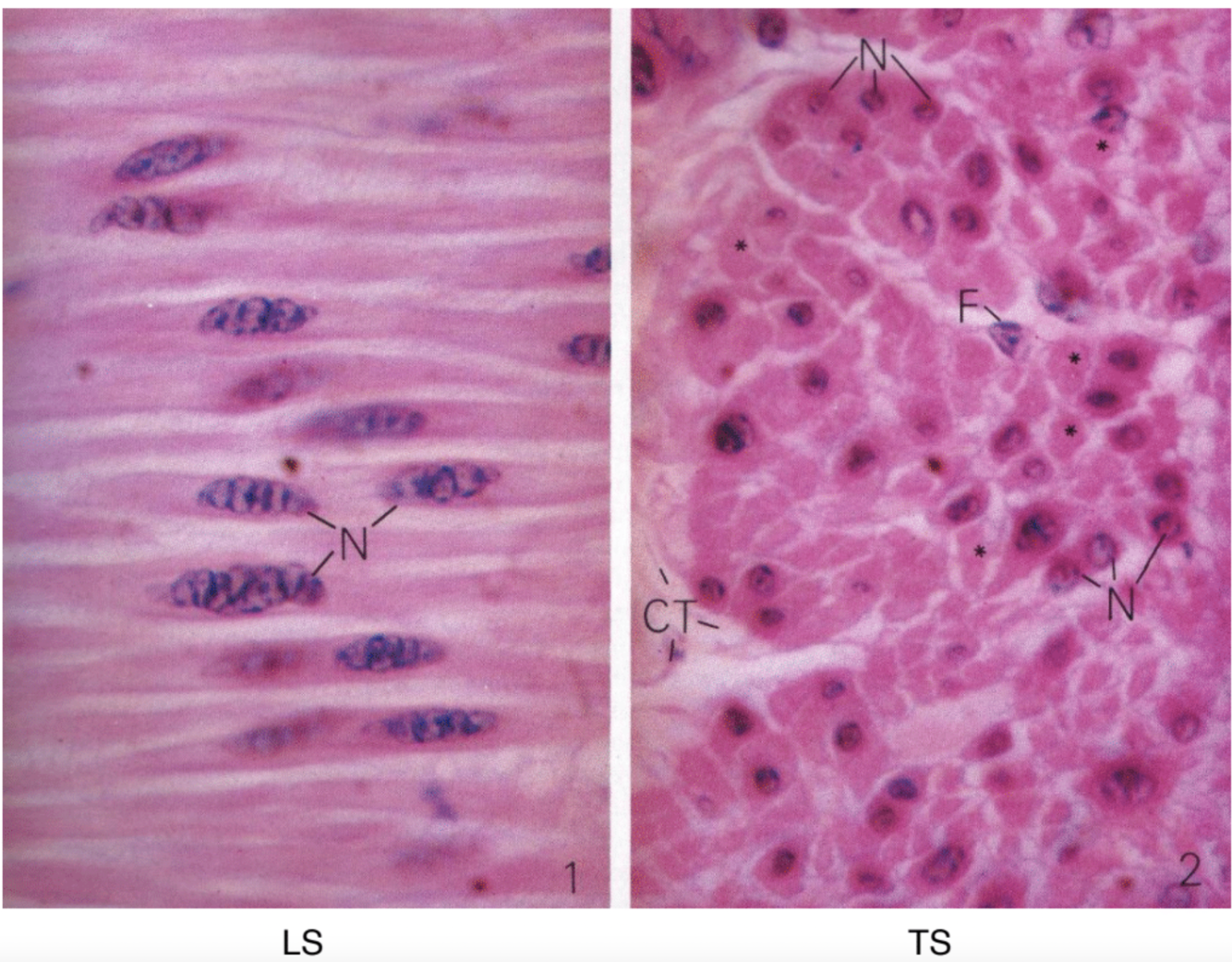
4
Q

Describe how fascicles appear under a microscope

A

Below shows fascicles under a trichrome strain, showing that hay mas clear subdivisions.
LS=longitudinal section and TS= transverse section
Each fascicle has many muscle fibers (these are muscle cells)
Fine connective tissue around each fiber is called endomysium
Each cell is further split into myofibrils, these are contractile threads found in muscle cells

How well did you know this?
1
Not at all
2
3
4
5
Perfectly
5
Q

How are multinucleated skeletal muscles formed?

A

Skeletal muscle fibers are formed by 1000s of
precursor cells in the embryo (myoblasts) fusing juntos.
This is why they have many nuclei
Hay visible striations

How well did you know this?
1
Not at all
2
3
4
5
Perfectly
6
Q

What would you see when looking at muscle striations with LIGHT microscopy?

A

different stripes are visible under a light microscope with a haematoxylin stain:
A band: the section covered by the darkest line
I band: the section between two dark lines (I for invisible)
Z line: the dark section in between the I band

How well did you know this?
1
Not at all
2
3
4
5
Perfectly
7
Q

What would you see when looking at muscle striations with transmission electron microscopy?

A

The striations are much clearer and shows 2 other bands inside the A band: M and H bands

H zone: the overall light stripe seen under a TEM
M line: the dark line seen inside the H zone

it also shows the existence of thin and thick actin and myosin filaments arranged in bundles, called myofibrils

How well did you know this?
1
Not at all
2
3
4
5
Perfectly
8
Q

What would you see when looking at a transverse section of a myofibril?

A

the thin and thick filaments contain molecules
of the proteins actin and myosin
Transverse sections show the myosin is in a
hexagonal array, w mas actin filaments than myosin

How well did you know this?
1
Not at all
2
3
4
5
Perfectly
9
Q

Draw a longitudinal section of relaxed muscle

A

In longitudinal section the actin and myosin filaments line up as shown. A sarcomere is from Z line to Z line. The thick A band is the myosin

How well did you know this?
1
Not at all
2
3
4
5
Perfectly
10
Q

Draw a longitudinal section of a muscle contracting

A

As contraction occurs, the I bands get smaller and the Z lines get closer to the A band. Overlap between thick and thin filaments increase, thin filaments slide over the thick filaments This is the sliding filament model of contraction

How well did you know this?
1
Not at all
2
3
4
5
Perfectly
11
Q

How does a skeletal muscle know when to contract?

A

Action potentials are first received by muscles from nerves through motor end plates

Special intracellular membrane systems called T tubules carry the signal to all parts of this very large cell. This is bc diffusion is not fast enough

They convey stimulus rapidly inside the fibre, and initiate contraction
T tubules are excitable membranes, and ion channels transmit the signal

The T tubules carry this signal to the sarcoplasmic reticulum which then releases Ca2+ ions required for contraction.

How well did you know this?
1
Not at all
2
3
4
5
Perfectly
12
Q

Give an example of skeletal muscle pathology

A

An example is Duchenne Muscle Dystrophy
it results in smaller muscle fibers. there is more connective tissue, and death and repair occuring

How well did you know this?
1
Not at all
2
3
4
5
Perfectly
13
Q

Describe cardiac muscle

A

Cardiac muscle fibers are much smaller, striated, involuntary (controlled by ANS) and organised into sarcomeres which are joined end to end. The cardiomyocyte cells only have 1 or 2 nuclei in the centre.

Cardiomyocytes have T tubules, sarcoplasmic reticulum and sarcomeres, but also connect to adj cardiomyocytes using intercalated discs.

Intercalated discs prevent cardiomyocytes from pulling apart from one another during contraction.

How well did you know this?
1
Not at all
2
3
4
5
Perfectly
14
Q

What does this image show?

A

This is a thin section of the heart muscle fibers via a light microscope and toluidine blue stain
•single cells are joined in branching patterns by the faint lines called intercalated disks (D)
•many capillaries (C), so the heart has a v rich blood supply
•striations of actin and myosin are visible at higher magnification

How well did you know this?
1
Not at all
2
3
4
5
Perfectly
15
Q

Describe what you would see in the transverse section of a cardiac muscle light micrograph

A

The transverse section shows many other structures. The central nuclei are visible (N).
Hay partial divisions into myofibrils (M), and many capillaries (C)

How well did you know this?
1
Not at all
2
3
4
5
Perfectly
16
Q

Describe cardiac muscle fibres under a low power electron microscope and label the image

A

A low power e- micrograph shows features in much more detail
Hay the same striation as skeletal muscles
Intercalated disks (D) are end to end junctions entre fibers which separate the cells (eg C1, C2, C3). These replace Z lines locally and the actin filaments attach to this.
Hay many large mitochondria visible

How well did you know this?
1
Not at all
2
3
4
5
Perfectly
17
Q

Hay diff types of junction in the intercalated disks. What are they?

A

•fascia adherens (FA) are anchoring sites for actin, and connect to the closest sarcomere.

•desmosomes (D) stop separation during contraction by binding intermediate filaments, joining the cells
juntos. Desmosomes are aka macula adherens

•gap junctions (GJ) allow action potentials to spread entre cardiac cells by permitting the passage of ions
between cells, producing depolarization of the heart muscle

How well did you know this?
1
Not at all
2
3
4
5
Perfectly
18
Q

What does this image show?

A

This shows the diff types of junctions on the intercelated disks.

How well did you know this?
1
Not at all
2
3
4
5
Perfectly
19
Q

How does the structure of cardiac muscle relate to its function?

A

Branching fibres provide extra strength + resistance to splitting from high-Pa blood.

Smaller diameter fibres than skeletal muscle allow rich blood supply and additional connective tissue for strength.

Many mitochondria allow continuous energy supply - resistance to fatigue.

Actin filaments attach to intercalated disks which give v strong attachments between fibres. The disks also allow ionic communication entre fibres.

How well did you know this?
1
Not at all
2
3
4
5
Perfectly
20
Q

How is contraction initiated in cardiac muscle?

A

Hay a “myogenic stimulus”
Action potential starts from pacemaker region in R. atrium.
It carries a wave of contraction across the heart, assisted by ion diffusion thru the gap junctions in the intercalated disks
Larger Purkinje (modified muscle) fibres carry stimulus rapidly to ventricle

How well did you know this?
1
Not at all
2
3
4
5
Perfectly
21
Q

Describe smooth muscle

A

Involuntary (controlled by ANS), unstriated smooth muscles are spindle shaped (wide in the middle, tapered at both ends), w 1 central spindle shaped nucleus. They’re wrapped dentro the endomysium.

Usually found in walls of hollow organs + blood vessels.

Smooth muscle contractions are triggered by hormones, nerve stimulation and local factors, like the stretching of the muscle wall.

Contraction is slower and weaker than in skeletal, but energy-efficient, well adapted to functions in organs. Can have spontaneous contractions (myogenic). Excitable cells - produce a.potentials like skeletal & cardiac muscle

How well did you know this?
1
Not at all
2
3
4
5
Perfectly
22
Q

what does this image show?

A

Smooth muscles through a light microscope through H & E staining
Transverse and longitudinal sections show low spindly cells w 1 nucleus in each of them. No stripes

How well did you know this?
1
Not at all
2
3
4
5
Perfectly
23
Q

What does this image show?

A

Shows smooth muscles through a trichrome stain
It shows collagen (blue-green color). The collagen surrounds individual smooth muscle fibers
The fibers are attached to this collagen

24
Q

How would smooth muscle appear under an electron microscope?

A

No myofibrils, striation or complex membrane systems are seen
Plasma membrane shows presence of caveolae, which are full of receptors and may function like T tubules
Hay nearby ER which may act as the SR of smooth muscle fibers
J stands for junctions

25
What are dense bodies?
Dense bodies in smooth muscle function like Z lines. Contain α-actinin, and actin attaches to them.
26
What does the transverse section of the electron micrograph of smooth muscle show?
The transverse electron micrograph of a smooth muscle shows actin and thick myosin filaments Hay relatively less myosin, and hay no hexagonal array
27
How does a sarcomere look in 3D?
In 3D, the sarcomere appears differently; multiple thin filaments (6) surround 1 thick filament. These are packed as myofibrils into the muscle fibre They're surrounded by sarcoplasm and the sarcoplasmic reticulum
28
How do actin and myosin arrange themselves in smooth muscle?
Myosin and actin filaments are disorganised
29
Describe and explain actin
Actin is a globular protein, y hay 2 types: G actin: individual monomer units of actin. Globular protein which binds ATP. It contains ATPase activity which releases energy when ATP is hydrolysed. This energy is then used to form chains of F actin. F actin: polymer of many G actin molecules to make a stable, double helical filament. The filaments have active actin binding sites which allow interactions with myosin Only striated muscle contains Tropomyosin. This covers active actin binding sites at rest to prevent myosin interactions In striated muscle, actin also has the Troponin system TnI, TnC, TnT. This modulates actin-myosin interactions
30
Describe and explain myosin II
Myosin II is 2 intertwined heavy chains that forms the head domains. These head domains is where myosin binds to actin. They can bind to ATP, actibe actin binding sites and tienen ATPase activity. Also hay 4 light chains- 2 per head. They modulate myosin-actin interactions especially in smooth muscle
31
Describe calcium ion concentrations inside muscle cells
In muscle cells, the sarcoplasm has v low Ca2+ conc (100nM) bc the cells store Ca2+ in the SR. The extracellular Ca2+ conc is high (1-2mM) So hay high conc of extracellular Ca2+ and high Ca2+ conc in the SR inside the cell, but v low Ca2+ conc in the cytoplasm. Therefore to increase intracellular cytosolic Ca2+ you can either release Ca2+ from the SR, or bring Ca into the cell from the outside. Ca2+ rise removes tropomyosin from active actin binding sites allowing myosin heads to interact with actin and cause contraction Decrease in [Ca2+] initiates muscle relaxation
32
How do actin and myosin interact to produce muscle contraction following rise in Ca2+?
Ca2+ attaches to the troponin molecule, exposing myosin binding sites on the actin filaments. When ATP is bound to myosin, myosin doesn't bind well to actin and has low affinity. ATPase in the myosin head hydrolyses ATP, causing an energised state of myosin heads. This state of ADP/Pi + myosin head has v high affinity for actin so easily bind to it. The myosin head binds to actin in cross bridges and forms a 90° cocked motion between actin and myosin. ADP is released which releases further energy. This causes a 45° cocking of the myosin and a.b.site. The sarcomere shortens. ATP binds to the myosin head, detaching it from the actin. ATPase on the myosin head hydrolyses ATP to ADP and Pi. This reverts the myosin head to OG shape, ready for the next power stoke. The myosin is constantly rowing along the actin.
33
Give consequences of sliding filament hypothesis
Myosin heads need to be ‘primed’ with ATP, ready for muscle contraction and movement Hence, we have lots of sources of ATP: Aerobic respiration – glycolysis and oxidative phosphorylation Anaerobic respiration – production of lactate into ATP Phosphocreatine – source of ATP
34
Relate the sliding filament theory to rigor mortis
You need ATP-myosin head interaction to enable detachment of myosin-actin Death causes rise in Ca2+ and therefore removal of tropomyosin from actin-myosin binding sites. No ATP production prevents detachment of action-myosin filaments. Muscles stiffen. Rigor mortis starts 2-4 hrs after death, takes full effect at 6 and passes 36-48 hrs after death due to decomposition of myosin/actin proteins.
35
What is the troponin system?
The troponin system is the essential link between rise in [Ca2+] and striated muscle contraction Consists of three subunits: TnT: binds to tropomyosin TnI: binds to active actin sites to prevent myosin-actin interactions TnC: binds Ca2+
36
What happens to the troponin system when Ca2+ levels rise?
Ca2+ binds to Trop-C. This changes the conformation of the TnT-TnI-tropomyosin complex, exposing actin active sites. This allows myosin heads to bind, initiating the sliding filament hypothesis
37
What is the neuromuscular junction?
Activation of nicotinic ligand-gated receptors by acetylcholine (Ach) mediate communication between motor nerve and skeletal muscle at neuromuscular junction (NMJ) The NMJ is the interactive synapse site entre motor nerves and skeletal muscle.
38
Explain the first steps involved in skeletal muscle contraction
Hay conduction of an a.potential down the motor nerve. A.potential stimulates the motor nerve presynaptic terminal. This stimulation activates voltage gated Ca2+ channels (vgcc) in the presynaptic terminal, bringing Ca2+ into the cell. This is important bc increase in Ca2+ is needed to release Ach from presynaptic vesicles. The vesicles bind to the synaptic membrane and release ACh contents into the synaptic cell. ACh binds to its nicotinic receptor, activating it. This brings Na+ into the cell causing depolarisation. This depolarisation is an excitory junction potential, and activates an action potential which eventually leads to contraction of skeletal muscle.
39
How does Ach-mediated EJP produce action potentials?
Ach binds to Ligand-gated receptor Channel opens, Na enters Production of excitatory junction potential (EJP)
40
Where does the action potential connect to in skeletal muscles and how does this initiate contraction?
Action potential is conducted to t-tubule which activates VGCCs This activation causes direct coupling entre activated VGCCs and Ryanodine receptor on SR's surface. RyR opens, releasing Ca. Ca binds to troponin C, allowing actin–myosin interactions Myosin heads perform power stroke, actin filaments move toward centre of sarcomere in contraction
41
How is contraction generated in cardiac muscle?
The SAN in the right atrium generates APs that are always firing (nonstop). These APs are pacemaker potentials SAN can generate its own APs without any nervous stimulation. Firing rate of AP relates to heart rate The plateau on the SAN a.potential is caused by opening of vgcc. Ryanodine receptors get activated by Ca2+ on the SR. Greater influx of Ca2+ increases activation of ligand gated Ca2+ channel receptors on the SR. Ca2+ moves out of SR and activates the troponin system
42
What is increased cardiac muscle contraction due to and why is this significant?
Increased cardiac muscle contraction is due to: Activation of G-protein-coupled b-1-adrenoceptors by noradrenaline released from sympathetic nerves. Or circulating adrenaline released from adrenal medulla This response increases cardiac output/blood flow during exercise, used to maintain blood flow in haemorrhage, septic shock Clinical significance: drugs used to regulate heart act at b-1-adrenoceptors and associated signal transduction pathway
43
How does stimulation of B-1-adrenoceptors increase contraction of cardiac muscle?
B-1-adrenoceptor is a G protein coupled receptor. This means it binds to the G**α**S subunit which stimulates AC which converts ATP into cAMP. This activates PKA which phosphorylates vgcc and ryanodine receptors. This opens the vgcc more, increasing Ca influx and thus stimulation of the Ryanodine receptor. Overall hay increased influx, stimulation ad opening of the ryannodine receptor. Therefore hay increased Ca induced Ca released, and thus more contraction.
44
How is [Ca2+] reduced to produce striated muscle relaxation?
Ca ATPase on the SR and plasma membrane pumps Ca2+ against its conc gradient, either out of the cell or into its stores. Na-Ca exchanger: exchanges 1 Ca2+ for 3Na+
45
Transmitters released from post-ganglionic autonomic nerves onto smooth muscle cells are…
Transmitters released from post-ganglionic autonomic nerves onto smooth muscle cells are: Acetylcholine (Ach) – parasympathetic nerves Noradrenaline (NA) – sympathetic nerves Nitric oxide (NO) - released from NANC (non-NA-non-Ach) nerves Adrenaline - from adrenal medulla
46
What are the 2 main ways in which smooth muscle contracts?
Like striated muscle, smooth muscle contraction is initiated by increasing cytosolic Ca2+ concentration. Increase in Ca2+ occurs via: 1) Increase in Ca2+influx from the extracellular medium 2) Release of Ca2+ from internal Ca2+ stores in the SR Smooth muscle uses **Ca2+-Calmodulin-Myosin light chain kinase system** produce contraction, NOT the tropomyosin-troponin system
47
How does increase in Ca2+ influx from the extracellular medium initiate smooth muscle contraction?
Hay stimulation of a **Gq** protein coupled receptor. Gq activates phospholipid C which causes a breakdown of PIP to into IP3 and DAG. These messengers act on ion channels to produce depolarisation. This depolarisation is junctional depolarising potential and it reaches a threshold of -40mV to activate vgcc which bring Ca2+ into the cell
48
How does release of Ca2+ from internal Ca2+ stores in the SR initiate smooth muscle contraction?
Hay activation of Gq protein coupled receptor which generate IP3. IP3 goes thru the cell and binds to ligand gated IP3 receptors in the SR. These receptors open and cause the release of Ca2+ from its stores, leading to contraction Remember: Smooth muscle contraction uses **IP3** receptors- not ryanodine receptors in like cardiac/skeletal muscle contraction)
49
Smooth muscle uses Ca2+-Calmodulin-Myosin light chain kinase system produce contraction. Outline this system
.
50
Describe what happens in a rise vs a decrease of Ca-M in smooth muscle
Rise in Ca-M drives the MLCK reaction which phosphorylates myosin light chain, leading to actin-myosin interactions and therefore contraction. Decrease in Ca-M drives the MLCP reaction which dephosphorylates myosin light chain, leading to relaxation.
51
How is Ca2+ reduced to produce relaxation in **smooth** muscle?
Ca ATPase on the SR and plasma membrane pumps Ca2+ against its conc gradient, either out of the cell or into its stores. Na-Ca exchanger: exchanges 1 Ca2+ for 3Na+ Opening K+ channels: K+ move out the cell down its conc gradient. The cell gets more negative/hyperpolarised, which goes further from the activation threshold for vgccs. Therefore vgccs switch off, hay less Ca2+ coming in, so no contraction
52
describe excitatory neurotransmission in smooth muscle cells.
Release of excitatory transmitter (Ach, NA) binds to receptor. This creates a junctional depolarising potential, and this reaches the threshold for VGCCs. VGCCs open and cause upstroke of action potential. Hay Ca2+ influx, leading to muscle contraction K+ channels open (3 on graph), causing repolarisation and closing VGCCs. Ca2+ influx decreases, muscles relax Contraction is slightly delayed after the a.potential
53
describe inhibitory neurotransmission to smooth-muscle.
Inhibitory mediator such as nitric oxide hyperpolarises smooth muscle by opening K+ channels This closes VGCCs, Ca2+ decreases, muscles relax.
54
How is Ca2+ reduced to produce relaxation in **smooth** muscle?
Ca ATPase on the SR and plasma membrane pumps Ca2+ against its conc gradient, either out of the cell or into its stores. Na-Ca exchanger: exchanges 1 Ca2+ for 3Na+ Opening K+ channels: K+ move out the cell down its conc gradient. The cell gets more negative/hyperpolarised, which goes further from the activation threshold for vgccs. Therefore vgccs switch off, hay less Ca2+ coming in, so no contraction
55
Give an example of skeletal muscle pathology
An example is Duchenne Muscle Dystrophy it results in smaller muscle fibers. Hay mas connective tissue, and death and repair occuring