Neuro Flashcards

(23 cards)

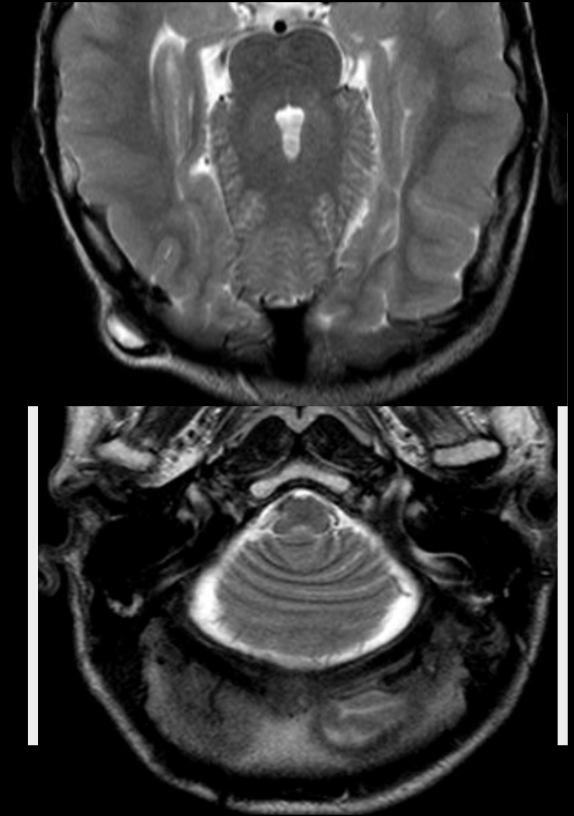
1
Q

What is rhombencephalosynapsis.
Name 2 imaging features and 1 association

A

Definition: congenital/developmental agenesis/hypogenesis of the cerebellar vermis, and dorsal fusion of the cerebellar hemispheres, dentate nuclei and cerebellar peduncles

Imaging features:
- as above
- diamond/keyhole shaped 4th ventricle on axial imaging
- horizontal cerebellar folia
- may have hydrocephalus (secondary to aqueductal stenosis)

Associations:
- VACTERL

How well did you know this?
1
Not at all
2
3
4
5
Perfectly
2
Q

Broadly describe cerebellar hypoplasia and vermian dysgenesis types/distribution, and name 2 associations

A

Reduction in volume in the cerebellum (may be global or focal), with normal shape, and stable over time. Can be primarily vermian, global, unilateral, ± brainstem involvement.

Morphology
- Vermian hypoplasia/aplasia
- Dandy-Walker
- Rhombencephalosynapsis
- Global cerebellar hypoplasia
- Genetic abnormalities and syndromes
- CMV infection, prenatal drug exposure, prematurity
- Cerebellar and brainstem involvement
- Pontocerebellar hypoplasia (PCH), Joubert syndrome
- Unilateral hypoplasia

How well did you know this?
1
Not at all
2
3
4
5
Perfectly
3
Q

What are the types of schizencephaly and list 2 associated abnormalities

A

“Transmantle” (aka ext from cortical surface of brain to the ventricles - ie pia to ependyma) cleft lined by grey-matter (GM)

  1. Open lip - cleft has clear CSF space separating 2 sides
  2. Closed lip - no clear CSF space, cleft walls closely opposed (better prognosis)

Associations:
* Associated abnormalities
* GM heterotopia adjacent to cleft
* Contralateral polymicrogyria
* Absent septum pellucidum (esp if bilateral clefts)
* Septo-optic dysplasia

How well did you know this?
1
Not at all
2
3
4
5
Perfectly
4
Q

Reactions of Neurons to Injury

A

Morphology

ACUTE Neuronal Injury (“Red Neurons”)
- Spectrum of changes that accompany acute CNS hypoxia/ischemia or
other acute insults.
- Earliest morphological marker of neuronal cell death (12-24 hrs post irreversible insult).
The morphologic features consist of:
- shrinkage of the cell body
- pyknosis of the nucleus
- disappearance of the
nucleolus
- Loss of Nissl substance, with intense eosinophilia of the cytoplasm.

SUBACUTE ANF CHRONIC neuronal injury (“degeneration”):
- Due to progressive disease (neurodegenerative diseases (Alzheimer’s/Amyotrophic lateral Sclerosis).
- Histology:
*Cell loss, often selectively involving functionally related
groups of neurons
*Reactive gliosis.
At an early stage, the
cell loss is difficult to detect; the associated reactive glial
changes are often the best indicator of neuronal injury. For
many of these diseases, there is evidence that cell loss occurs
via apoptotic death.

AXONAL REACTION
- Change in cell body during axon regeneration
- Best seen in anterior horn cells when cut
- Increased protein synthesisassociated
with axonal sprouting. This is reflected in enlargement and
rounding up of the cell body, peripheral displacement of the
nucleus, enlargement of the nucleolus, and dispersion of Nissl
substance from the center to the periphery of the cell (central
chromatolysis).

**Neuronal damage may be associated with a wide range of
subcellular alterations in the neuronal organelles and cytoskel-
eton.
- Neuronal inclusions may occur as a manifestation of
aging, when there are intracytoplasmic accumulations of complex lipids (lipofuscin), proteins, or carbohydrates.
- Abnormal cytoplasmic deposition of complex lipids and other substances also occurs in genetically determined disorders of metabolism in which substrates or intermediates accumulate

Viral infection can lead to abnormal intranuclear inclusions, as
seen in herpetic infection (Cowdry body), cytoplasmic inclu-
sions, as seen in rabies (Negri body), or both nucleus and
cytoplasm as in cytomegalovirus infection.
Some degenerative diseases of the CNS are associated with
neuronal intracytoplasmic inclusions, such as neurofibrillary
tangles of Alzheimer disease and Lewy bodies of Parkinson
disease; others cause abnormal vacuolization of the perikaryon
and neuronal cell processes in the neuropil (Creutzfeldt-Jakob
disease

How well did you know this?
1
Not at all
2
3
4
5
Perfectly
5
Q

Key Concept - Cellular Pathology of the CNS

A

Cellular Pathology of the Central Nervous System
■ Each cellular component of the nervous system has a
distinct set of patterns of response to injury.
■ Neuronal injury commonly results in cell death, either by
apoptosis or necrosis. Loss of neurons that is difficult to
detect without formal quantification may still contribute to
dysfunction.
■ Astrocytes show morphologic changes including hypertrophy of the cytoplasm, accumulation of intermediate filament protein (GFAP), and hyperplasia.
■ Microglia, the resident monocyte-lineage population of the
CNS, proliferate and accumulate in response to injury.

How well did you know this?
1
Not at all
2
3
4
5
Perfectly
6
Q

Cerebral Oedema

A

Cerebral edema (more precisely, brain parenchymal
edema) is the result of increased fluid leakage from blood
vessels or injury to various cells of the CNS.

Vasogenic
* Caused by ↑ Vascular permeability or disruption of the blood-brain barrier
* Fluid shifts from vascular space  Interstitial space of the brain
* Causes
Localised: Inflammatory focus (infection/abscess), Haemorrhage or tumour

Cytotoxic
* Blood brain barrier remains intact
* Due to injury of neuronal, glial or endothelial cells
Causes
* Generalised Hypoxia/ischemia
* Metabolic derangement which alters normal membrane ion gradient
* Can also get Interstitial oedema around Lateral ventricles due to Hydocephalus

How well did you know this?
1
Not at all
2
3
4
5
Perfectly
7
Q

Hydrocephalus

A

Accumulation of excessive CSF in the Ventricular System

Causes
- Impaired flow/resportption
- Excessive production (RARE) - accompanies tumours of the choroid plexus

Consequences:
- Infants: Expansion of head (Increased HC)
- Expansion of Ventricles + Raised ICP

Types
- Non-communicating (obstructive):
Obstructed drainage of ventricle. entricles expand proximal to obstruction
- Communicating: Ventricles communicate with Subarachnoid space - Entire ventricular system enlarges
- Hydrocephalus ex vacuo: COmpensatory expansion of ventricular volume secondary to loss of brain parenchyma

How well did you know this?
1
Not at all
2
3
4
5
Perfectly
8
Q

Raised ICP

A

Causes
- Increased volume of intracranial contents
- Haemorrhage
- Tumour
- Hydrocephalus
- Cerebral Oedema

How well did you know this?
1
Not at all
2
3
4
5
Perfectly
9
Q

Types of Herniation

A
  • Subfalcine (cingulate)
    CIngulate gyrus displaced under Falx to contralateral side
    COmpresses ACA and its branches
  • Transtentorial/Uncal:
    Medial aspect of temporal lobe herniates under the ternorum cerebelli
    Can compress CN III or PCA
  • Tonsillar:
    Cerebellar tonsils herniates through Foramen Magnum.
    Causes brainstem compression
How well did you know this?
1
Not at all
2
3
4
5
Perfectly
10
Q

Cerebral Malformations and Developmental Disorders

A

■ Malformations may be associated with single gene muta-
tions, larger scale genetic alterations, or exogenous
factors.
■ Overall, the earlier in development a malformation
occurs, the more severe the morphologic and functional
phenotype.
■ Neural tube defects are associated with failure to close or
inappropriate reopening of the developing neural tube; these
range from incidental findings to severe manifestations.
■ Cortical development depends on proper orchestration of
progenitor cell proliferation in the germinal matrix and
migration of progenitors upwards into the developing
cortex. Disruption of these processes can alter the size,
shape, and organization of the brain.
■ Malformations involving the posterior fossa are typically
distinct from those which affect the cerebral
hemispheres

How well did you know this?
1
Not at all
2
3
4
5
Perfectly
11
Q

Patterns of Vascular Injury in CNS trauma

A
How well did you know this?
1
Not at all
2
3
4
5
Perfectly
12
Q

Diffuse axonal Injury Morphology

A
  • Diffuse axonal injury is characterized by widespread, often
  • asymmetric axonal swellings that appear within hours of the
  • injury and may persist for much longer. The swelling is best
  • demonstrated with silver impregnation techniques or with
  • immunoperoxidase stains for axonally transported proteins,
  • such as amyloid precursor protein and α-synuclein. Later,
  • increased numbers of microglia areas are seen in damaged
  • areas of the cerebral cortex, and subsequently there is degen-
  • eration of the involved fiber tracts
How well did you know this?
1
Not at all
2
3
4
5
Perfectly
13
Q

Acute Subdural Haematoma morphology

A

Grossly, acute subdural hematomas appear as a collection
of freshly clotted blood along the brain surface, without exten-
sion into the depths of sulci (Fig. 28-12). The underlying brain
is flattened and the subarachnoid space is often clear. Usually,
venous bleeding is self-limited and the resulting hematoma is
broken down and organized over time.

This most often occurs
in the following sequence:
* Lysis of the clot (about 1 week)
* Growth of fibroblasts from the dural surface into the hema-
toma (2 weeks)
Early development of hyalinized connective tissue (1 to 3
months)

Typically, the organized hematoma is firmly attached by
ingrowing fibrous tissue to the inner surface of the dura and is
free of the underlying arachnoid, which does not contribute to
healing. The lesion can eventually retract as the granulation
tissue matures until only a thin layer of reactive connective
tissue remains (“subdural membranes”). In other cases,
however, multiple recurrent episodes of bleeding occur (chronic
subdural hematomas), presumably from the thin-walled
vessels of the granulation tissue. The risk of repeat bleeding is
greatest in the first few months after the initial hemorrhage.

How well did you know this?
1
Not at all
2
3
4
5
Perfectly
14
Q

Spinal Cord Injury

A

The histologic features of traumatic injury of the spinal cord are
similar to those found at other sites in the CNS. At the level of
injury the acute phase consists of hemorrhage, necrosis, and
axonal swelling in the surrounding white matter. The lesion
tapers above and below the level of injury. In time central
areas of neuronal destruction becomes cystic and gliotic;
cord sections above and below the lesion show secondary
ascending and descending wallerian degeneration, respec-
tively, involving the long white-matter tracts affected at the site
of trauma.

How well did you know this?
1
Not at all
2
3
4
5
Perfectly
15
Q

Cerebrovascular Disease - Key Concepts

A

■ Stroke is the clinical term for acute-onset neurologic defi-
cits resulting from hemorrhagic or obstructive vascular
lesions.
■ Cerebral infarction follows loss of blood supply and can
be widespread or focal, or affect regions with the least
robust vascular supply (boundary zones).
■ Focal cerebral infarcts are most commonly embolic; with
subsequent dissolution of an embolism and reperfusion, a
nonhemorrhagic infarct can become hemorrhagic.
■ Primary intraparenchymal hemorrhages typically are due
to either hypertension (most commonly in white matter,
deep gray matter, or posterior fossa contents) or cerebral
amyloid angiopathy.
■ Spontaneous subarachnoid hemorrhage usually is caused
by a structural vascular abnormality, such as an aneurysm
or arteriovenous malformation.

How well did you know this?
1
Not at all
2
3
4
5
Perfectly
16
Q

CNS Infections - Key Concepts

A

Pathogens from viruses through parasites can infect the
brain. Different pathogens use distinct routes to reach the
brain and cause different patterns of disease.
■ Routes of access of organisms to the brain include: hema-
togenous spread (e.g., abscess formation in the setting of
endocarditis), direct extension (following trauma or with
extension from the sinuses with Mucor) and retrograde
transport along nerves (as with rabies).
■ Bacterial infections may cause meningitis, cerebral
abscesses, or a chronic meningoencephalitis. The distribu-
tion of pathogens is influenced by various host factors,
such as age and level of immune function.
■ Viral infections can cause meningitis or meningoen-
cephalitis. Some viruses have characteristic patterns of infection (HSV-1 in the temporal lobes, polio in anterior
horn).
■ HIV can directly cause meningoencephalitis, or indirectly
affect the brain by increasing the risk of opportunistic
infections (toxoplasmosis, CMV) or EBV-positive CNS
lymphoma.

17
Q

Prion Disease

A

Prion diseases may be sporadic, familial or transmissible
(infectious). The disease is driven by the conversion of a
normal cellular protein (PrP c ) into an abnormal conforma-
tion (PrP sc ), with the acquisition of distinct characteristics
including relative resistance to protease digestion, self-
propagation, and the ability to spread..
■ Familial forms of these diseases are linked to mutations in
the gene encoding PrP c (PRNP). A polymorphic locus in
PRNP (codon 129 may be either Met or Val) determines
disease phenotype, with homozygosity at this site increas-
ing risk of sporadic disease.
■ Disease phenotypes include Creutzfeldt-Jakob disease
(rapidly progressive dementia), Gerstmann-Sträussler-
Scheinker syndrome (progressive cerebellar ataxia) and
fatal familial insomnia

18
Q

Saccular Aneurysms

19
Q

Demyelinating Diseases - Key Concepts

A

■ Because of the critical role of myelin in nerve conduction,
diseases of myelin can lead to widespread and severe
neurologic deficits.
■ Demyelinating diseases show evidence of breakdown and
destruction of previously normal myelin, often by inflam-
matory processes. Secondary injury to axons typically
emerges over time as well.
■ Multiple sclerosis, an autoimmune demyelinating disease,
is the most common disorder of myelin, affecting young
adults. It often pursues a relapsing-remitting course, with
eventual progressive accumulation of neurologic deficits.
■ Other, less common forms of immune-mediated demye-
lination often follow infections and are more acute
illnesses.

20
Q

Neurodegenerative Diseases

A

Neurodegenerative diseases are characterized by progres-
sive neuronal loss involving specific neuronal circuits and
brain regions. Most of these diseases are associated with
accumulation of abnormal protein aggregates, typically in
the form of cellular inclusions. The clinical phenotype
reflects the patterns of brain involvement more than the
type of inclusions.
■ These diseases can be grouped by clinical presentation
into: dementias, hypokinetic movement disorders (includ-
ing forms of parkinsonism), hyperkinetic movement disor-
ders, cerebellar ataxias, and motor neuron diseases.
■ Among dementias, AD (with plaques of Aβ and tangles of
tau) is the most common; other predominantly dementing
diseases include the various forms of FTLDs (both forms
with tau-containing lesions and with other types of inclu-
sions) and dementia with Lewy bodies (with α-synuclein
containing lesions).
■ Among the hypokinetic movement disorders, Parkinson
disease is the most common, again with α-synuclein con-
taining inclusions); others diseases which include parkin-
sonism as part of the symptoms, include PSP and CBD
(both forms of tauopathy).
■ Amyotrophic lateral sclerosis (ALS) is the most common
form of motor neuron disease, with diverse genetic causes
as well as sporadic forms

21
Q

Genetic Metabolic Diseases - Key Concepts

A

■ Mutations that disrupt metabolic or synthetic pathways
can affect the nervous system. These pathways can involve
general cellular processes or those that are relatively spe-
cific to the nervous system.
■ Diseases with earlier onset are typically more severe in the
degree of damage and pace of illness.
■ Neuronal storage diseases are commonly autosomal
recessive disorders. The characteristic finding is usually
accumulation of material within neurons, along with evi-
dence of neuronal death. Seizures are common compo-
nents of the clinical presentation, along with loss of
cognitive function.
■ Leukodystrophies are also typically autosomal recessive,
with disruption of the synthesis or turnover of myelin com-
ponents. Motor dysfunction, including spasticity, hyperto-
nia or hypotonia and ataxia are common aspects of the
clinical presentation.
■ Mitochondrial encephalomyopathies are a pleiotropic set
of disorders that involves neurons as well as tissues
outside of the nervous system. These can be associated
with mutations in the nuclear as well as the mitochondrial
genome.

22
Q

Toxic and Acquird Metabolic Diseases

A

Certain vitamin deficiency states result in neurologic
disease as well as systemic disorders, with thiamine and
vitamin B 12 being the two most common.
■ The metabolic demand of the CNS makes it highly suscep-
tible to injury from hypoglycemia and loss of oxygen-
carrying capacity of hemoglobin with carbon monoxide
toxicity.
■ Chronic alcohol exposure may result in injury to the cer-
ebellum, particularly to the anterior vermis.
■ Metabolic disarray may disrupt brain function, often
without detectable morphologic changes.

23
Q

Tumours - Key COncepts

A

Tumors of the CNS may arise from the cells of the cover-
ings (meningiomas), the brain (gliomas, neuronal tumors,
choroid plexus tumors), or other CNS cell populations
(primary CNS lymphoma, germ cell tumors), or they may
originate elsewhere in the body (metastases).
■ Even low-grade or benign tumors can have poor clinical
outcomes, depending on where they occur in the brain.
■ Distinct types of tumors affect specific brain regions (e.g.,
cerebellum for medulloblastoma, an intraventricular loca-
tion for central neurocytoma) and specific age populations
(medulloblastoma and pilocytic astrocytomas in pediatric
age groups, and glioblastoma and lymphoma in older
patients).
■ Glial tumors are broadly classified into astrocytomas, oli-
godendrogliomas, and ependymomas. Increasing tumor
malignancy is associated with more cytologic anaplasia,
increased cell density, necrosis, and mitotic activity. There
are distinct associations between combinations of genetic
alterations in tumors and morphologic appearance; some
of these also carry prognostic significance.
■ Metastatic spread of brain tumors to other regions of the
body is rare, but the brain is not comparably protected
against spread of distant tumors. Carcinomas are the
dominant type of systemic tumors that metastasize to the
nervous system.