Diagnosis?
What is this condition?
Associated abnormalities?

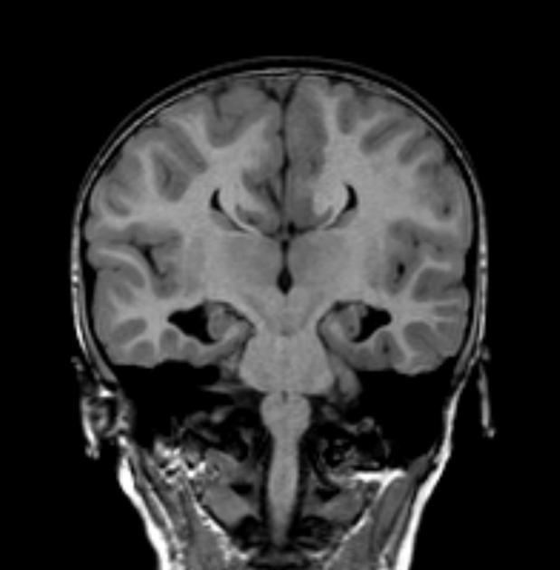
Chiari 1. Caudal extension of the cerebellar tonsils 5 mm below the foramen magnum. Syringomyelia seen in 50%.
Associated with: shortening of the clivus, basilar invagination, C1 assimilation, and fused cervical vertebrae (Klipper-Feil syndrome).
What is a Chiari II malformation?
Congenital malformation of the spine and posterior fossa characterised by lumbosacral spina bifida aperta / myelomeningocoele (90%) and a small posterior fossa with descent of the brain stem. Numerous associated abnormalities are also frequently encountered
Skull: lacunar skull, concave clivus, low-riding torcula, wide foramen magnum and upper cervical canal.
Dura: fenestrated falx causing interdigitating sulci, heart-shaped incisura, hypoplastic cerebellar tentorium.
Posterior fossa: towering cerebellum, downward vermian displacement, slitlike 4th ventricle, tectal beaking, wrapping of cerebellum around brainstem, medullary kink.
Also: Dysgenesis of the corpus callosum (85%), hydrocephalus (75%), syringomyelia (50%), aqueductal stenosis (50%), holoprosencephaly, tethered cord.
Difference between Chiari II and III?
II- myelomeningocele
III- encephalocele
What is the Dandy-Walker continuum?
How is it different than mega cisterna magna?
And arachnoid cyst?
Hish insertion of the tentorium and cystic dilation of the 4th ventricle (fills nearly entire posterior fossa), enlarged posterior fossa, varying degrees of cerebellar vermis agenesis or hypogenesis.
Mega cisterna magna- enlargement of the cisterna magna and posterior fossa without abnormality in the 4th ventricle or vermis.
Arachnoid cyst- 4th ventricle and vermis are normal but displaced by the cyst.
What is cerebellar hypoplasia?
Hypogenesis of the cerebellar vermis and cystic dilation of the 4th ventricle without posterior fossa enlargement… formerly known as Dandy-Walker variant.
Abnormalities associated with Dandy-Walker?
Agenesis of the corpus callosum, migration anomalies, cephalocele (outward herniation of CNS through cranial defect), holoprosencephaly (result of incomplete separation of the two hemispheres), hydrocephalus, porencephaly.
(Dandy-Walker- cystic dilation 4th ventricle, enlarged posterior fossa, high position of the tentorium, cerebellar agenesis/hypogenesis).
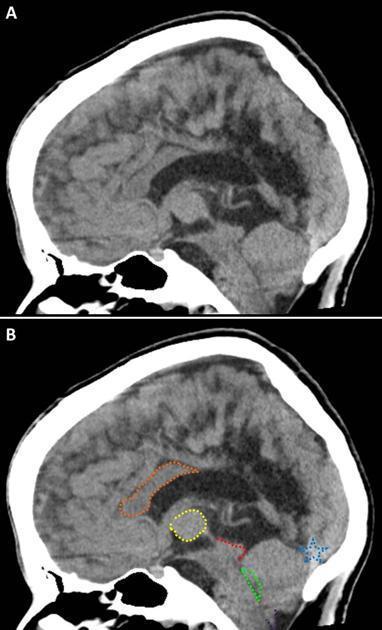
Diagnosis?
Imaging findings?

Dysgenesis of the corpus callosum- partial or complete absence of the corpus callosum.
High-riding 3rd ventricle, Bundles of Probst (tracks of white matter that run parallel to the ventricle as an alternative to the CC- thats why the lateral ventricles are farther apart), “bullhorn” appearance of the frontal horns, absent cingulate sulcus, absence of the septum pellucidum or severe widening of the cavum septum pellucidum, enlarged occipital horns (colpocephaly).
Associated with otehr CNS anomalies.
Diagnosis?
Imaging findings on CT and MR?

Canavan disease.
CT: diffuse low attenuation in cerebral and cerebellar white matter.
MRI: High T2 and low T1 in the white matter. Predominantly affects the sub-cortical U fibers, worst in the occipital lobes, then frontal/parietal. Thalami and basal ganglia affected in severe cases. Relative sparing of the internal capsule. MRS: may have increased NAA peak.
Population affected by Canavan disease?
Cause?
Symptoms?
Autosomal-recessive condition, most common in Ashkenazi Jews.
Deficiency of aspartoacylase.
Hypotonia, macrocephaly, and seizures as a newborn. Progresses to spasticity, optic atrophy, and intellectual failure. Death by 2.
Canavan disease vs Krabbe disease and metachromatic leukodystrophy?
Canavan disease- affects peripheral white matter first.
Krabbe/metachromatic leukodystrophy- involve deep white matter early, peripheral white matter as the disease progresses.
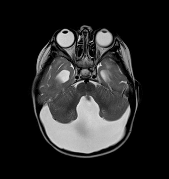
Diagnosis?

Chiari III.
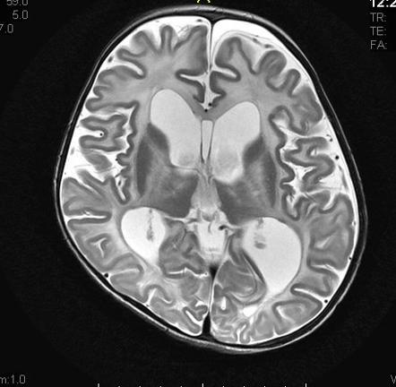
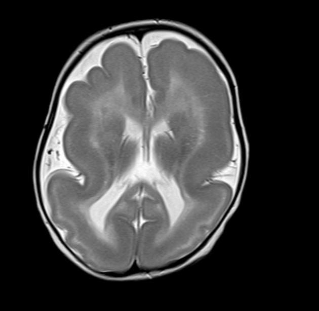
Diagnosis?

Chiari II.
Findings on antenatal ultrasound: banana cerebellum sign, lemon sign.
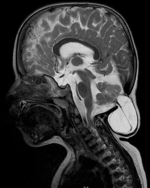
Diagnosis?

Dandy-Walker.
Brain MRI- differential diagnosis for high T1 lesions?
Hemorrhage (early subacute, late subacute), lesions with a high protein content, melanin, lipids (fat/lipoma), minerals (manganesium), slow flow.
Intracranial lipoma - imaging characteristics?
Locations?
Associated lesions?
Signal like fat, saturate out with fat sat. No contrast enhancement. Can calcify. Frequently associated with abnormal development of adjacent structures.
Locations- intrahemispheric (aka pericallosal, most common, 50% associated with disgenesis of corpus callosum), suprasellar, quadrigeminal cistern, CPA.
Pericallosal lesions divided into tubulonodular (bulky) and curvilinear (ribbon-like).
Lipomas are also associated with cephaloceles.
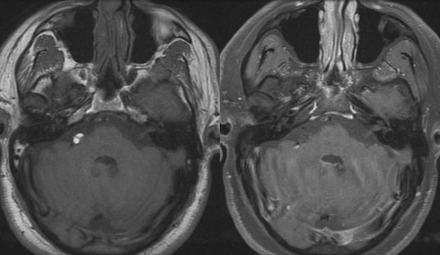
Diagnosis?

Cerebellopontine angle lipoma. The facial and vestibulocochlear nerve often course through lipomas in this location.
Other locations: pericallosal, suprasellar, quadrigeminal plate.
Diagnosis?

Lissencephaly type 1.
Lissencephaly type 1 (classic):
Imaging features?
Presentation?
Syndrome association?
Imaging- brain has few shallow sulci and shallow Sylvian fissures, “hour glass” appearance. Smooth, thickened cortex (4 layers, normal is 6), may have subcortical band heterotopia.
Presentation- Marked hypotonia and paucity of movements, difficulty feeding. Develop microcephaly (normal at birth). Seizures.
May be isolated or part of a syndrome, most commonly Miller-Dieker syndrome.
How long can the cortex of the brain appear smooth in normal fetuses?
Until 26 weeks.
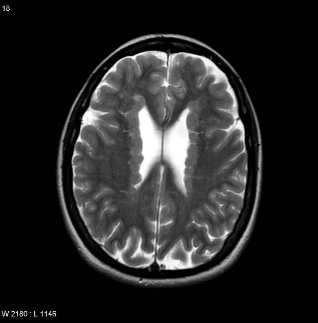
Diagnosis?

Supependymal (periventricular) grey matter heterotopia.
What are the three types of grey matter heterotopia?
1) Subependymal. Along the ventricles. Normal development.
2) Focal subcortical. Causes motor and intellectual distrubance.
3) Band (laminar). Considered a mild form of classic lissencephaly, between cortex and lat ventricles, separated from both by layer of white matter. Variable developmental delay, more common in females.
All associated with seizures. Due to arrest of the radial migration of neurons. Masses that are isointense to grey matter on all sequences.
Imaging features of subcortical grey matter heterotopia?
Continuous with the overlying cortex or underlying ventricle.
Are associated with severe abnormalities of the involved hemisphere: diffuse reduction in size of the hemisphere, distorted ventricles, diminished and abnormal white matter, thinned overlying cortex with shallow sulci, distorted basal ganglia.
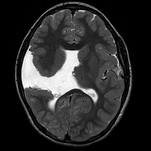
What is schizencephaly? What are the types?
An anomaly of neuronal migration in which a CSF-filled cleft is lined by gray matter. It extends from the ventricular surface to the periphery (pial surface) of the brain.
Type 1- Closed lip schizencephaly. Cleft walls in apposition, with a ventricular dimple.
Type 2- open lip schizencephaly. Cleft walls separated (more common).
Diagnosis?

Open-lip (type 2) schizencephaly. This is the more common type.