Que tipo de lesão pode ser avaliada através do Rx simples?
lesões ósseas de crânio e coluna, como fraturas e tumores.
O que pode ser bem visualizado no Rx AP/PA?
Região frontal e órbitas. Se o Rx for bem feito pode-se visualizar estruturas do ouvido interno dentro das órbitas.
Sutura Sagital, Sutura Occipital, Órbitas, Septo Nasal, Cavidades Nasais

O que pode ser bem visualizado no Rx P?
Região frontal e Parietal.
Hipófise, Sutura Occipital, Sulco da Artéria Meníngea Média.

Como avaliamos se uma Rx P foi bem feita?
Os ângulos mandibulares devem estar bem sobrepostos, alinhados.

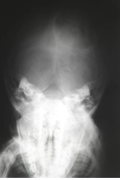
O que pode ser bem visualizado em uma Rx Bretton?
Região occipital, côndilo mandibular.
Forame magno e arco de C1 (aparece dentro do forame magno).

Quais são os 3 tipos de fraturas cranianas?
Linear
Complexa
Com afundamento
Como diferenciar uma fratura linear de marcas anatômicas normais e quais são elas?
Sulcos vasculares e suturas.
A fratura linear tem traço radiotransparente de bordos retos. A região que recebeu maior energia fica com as bordas mais afastadas com afunilamento em direção às extremidades.
Sulcos vasculares tem trajeto tortuoso e apresentam ramificações.
Suturas tem bordas serrilhadas.

Qual o sinal radiológico de uma fratura craniana com afundamento? Quando ele é visível?
Radiopacidade da linha do afundamento, devido a sobreposição óssea.
Visível na incidência paralela ao plano da fratura.

Quais os achados radiológicos de metástase óssea?
lesão lítica
reação periosteal em raios de sol
bordas mal definidas

Quais os achados radiológicos da histiocitose de células de Langerhans?
Múltiplas lesões líticas geográficas.

Quais os achados radiológicos da Doença de Paget?
Lesão osteoblástica (maior volume e densidade)
Vértebra com aumento dimensional AP, colapso súpero-inferior, radiopacidade aumentada

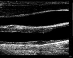
USG é utilizado para avaliar o quê?
Circulação e morte encefálica.
Quais os achados do doppler de carótida normal?
fluxo laminar com maior velocidade no centro (maior atrito na periferia) sem pontos de picos de velocidade.

Como diferenciar a carótida do vaso adjacente no USG? Que vaso é esse?
A jugular interna colaba quando se aplica pressão com o transdutor. A carótida não colaba.
O que fica branco, preto e cinza no USG de carótida?
branco = paredes dos vasos
preto = sangue
cinza = placa aterosclerótica

Qual o melhor lugar para fazer uma USG transfontanelar? Por quê?
Fontanela anterior, pois é a maior.

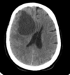
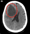
Qual a densidade do sangue fresco na TC?
hiperdenso
(imagem = TC de área hiperdensa com efeito de massa - hematoma frontal e recente)

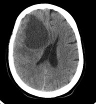
Quais as indicações de TC?
É mais sensível em casos agudos, como TCE agudo, AVC agudo, cefaléia aguda grave, coma agudo.
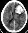
Quais os achados radiológicos?
Qual a principal hipótese diagnóstica?

herniação subfalcina, lesão hipodensa em lobo frontal e parietal direitos, efeito de massa sobre o ventrículo direito com desvio da linha média à esquerda

Quais as características da água em T1 e T2?
T1 = hipointensa (sinal fraco, preto)
T2 = hiperintensa (sinal forte, branco)
Quais as características da gordura em T1 e T2?
T1 = hiperintensa (sinal forte, branco)
T2 = hipointensa (sinal fraco, preto)
Que estruturas tem ausência de T1 e T2? Por quê?
Estruturas pobres em hidrogênio.
Cortical óssea, tendões e ligamentos, calcificações, ar, meniscos.