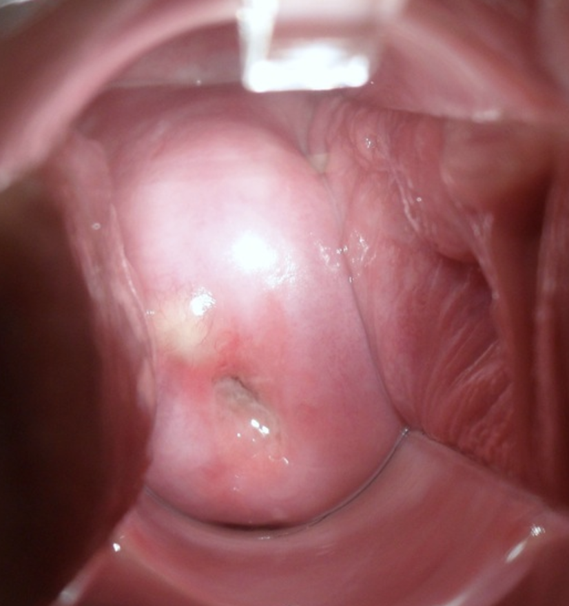
nabothian cyst
benign lesion on cervix at transformation zone
can be seen during cervisitis inflammation, or during metaplasia occuring at SCJ

pagets
how to differentiate pagets from melanoma?
PAS+, keratin +, S100-
molluscum contagiosum

condyloma lata vs acuminata
LATA= flat topped vessicles that grow in skin folds assoc with secondary syphyllis
ACUMiNATA= HPV6/11, warty
how does cervical carcinoma spread through nodes?
parametrium and paracervical lymphatics
how do you treat bartholin gland cysts/abcess?
Asymptomatic= NOTHING
symptomatic/ abbcess= I/D, marsupilization
**usually polymicrobial or aerobic (e coli)
can stress cause HSV breakout? Is it painful?
YES, exquisitley painful, acute.
differentiate lichen sclerosus from lichen simplex chronicus
SCLEROSIS= thin, parchement skin
SIMPLEX CHRONICUS= leathery skin, will have thick epithelium on histlogy
lichen planus

“itch that scrathces, scratch that itches”
lichen simplex chronicus –> acanthotic, hyperkeratosis
there is weight gain… is it menopause or thyroid?
if it is rapid weight gain you can think thyroid
how should you treat anovulatory cycles?
cyclic progesterone
premenopausal woman on steroids should be on what to protect bones?
calcitonin probably
**doesn’t need est/prog is she has periods, bisphosphonates are for postmenopausal
decidual endometrium/ proliferative endometrium are code for? secretory endometrium code for?
decidual/ prolif= ESTROGEN
secretory= PROG
when is it safe to do an amniotomy?
second stage of labor and when you can feel the HEAD as presenting part, otherwise you can risk a cord prolapse
fetal heart tracing in maternal fever
tachy and loss of variability

sinusoidal heart tracing
fetal anemia, autonomic nervous system dysfunction. OMINOUS SIGN.

whast the weight of a normal uterus?
90g
tachysystole
>6 contractions in 10 minute period

Clear cell vaginal carcinoma, think someone whos mom was given DES while in utero
“inflammatroy atypia” on pap
think of chronic cervicitis

HPV showing cervical squamous metaplasia with vacuolized cells (koilocytic change)