Other Imaging Modalities Flashcards

(29 cards)

1
Q

Why do we need to image salivary glands?

A

Obstruction
- Via mucous plugs
- Via salivary stones (sialoliths)
- Via neoplasia

Dry Mouth to exclude sjogrens syndrome

Swelling

How well did you know this?
1
Not at all
2
3
4
5
Perfectly
2
Q

Why is ultrasound good for salivary sound imaging?

A
  • Glands are superficially positioned (apart from deep lobe of parotid which is hidden deep in ramus)
  • Can assess parenchymal pattern, vascularity, ductal dilation or neoplastic masses
  • Can give a sialagogue to aid salivary flow to allow better visualisation of structures
How well did you know this?
1
Not at all
2
3
4
5
Perfectly
3
Q

What is Ultrasound?

A
  • No ionising radiation to create images
  • High frequency sound waves (not heard audibly)
  • Sound waves have short wave length which not transmittable through air (require coupling agent to create imaging)
How well did you know this?
1
Not at all
2
3
4
5
Perfectly
4
Q

What is the imaging protocol for salivary gland obsruction?

A
  • Ultrasound
  • Plain film (true mandibular occlusal)
  • Sialography
How well did you know this?
1
Not at all
2
3
4
5
Perfectly
5
Q

What symptoms will pts complain of if there is obstructive disease present?

A
  • Meal time symptoms
  • Prandial swelling and pain
  • Rush of saliva into mouth
  • Bad taste
  • Thick saliva
  • Dry mouth
How well did you know this?
1
Not at all
2
3
4
5
Perfectly
6
Q

What is the aetiology of obstructive disease?

A
  • Unusually a sialolith or mucous plug
  • 80% sialoliths ass with submandibular gland
  • 80% submandibular stones radiopaque
How well did you know this?
1
Not at all
2
3
4
5
Perfectly
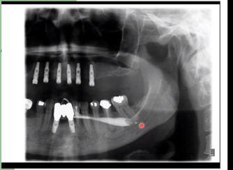
7
Q

Describe what you see in this radiograph

A
  • Presence of two large submandibular sialolith extending from duct orifice to mandibular molars
How well did you know this?
1
Not at all
2
3
4
5
Perfectly
8
Q

What is Sialography?

A
  • Very small vol of Injection of iodinated radiographic contrast into salivary duct to look for obstruction
  • Done with either Panoramic, skull views of fluroscopic approach
How well did you know this?
1
Not at all
2
3
4
5
Perfectly
9
Q

What are the indications of sialography?

A
  • Looking for obstruction or stricture(narrowing) of salivary duct which could be leading meal time symptoms
  • Planning for access for interventional procedures (basket retrieval of stones or endoscopy)
How well did you know this?
1
Not at all
2
3
4
5
Perfectly
10
Q

What are some risks of Sialography>

A
  • Discomfort
  • Swelling
  • Infection
  • Allergy to contract (very rare) can use MRI as alternative
How well did you know this?
1
Not at all
2
3
4
5
Perfectly
11
Q

What is the procedure of Sialography?

A
  • Locate duct orifice
  • Dilate duct
  • Cannula placed into duct
  • Inject contrast and take radiographs
  • Remove canula and allow for excretion of injection
  • Take 2 images - contact phase and emptying phase
How well did you know this?
1
Not at all
2
3
4
5
Perfectly
12
Q

What are normal findings of sialograph?

A
  • Parotid gland ‘tree in winter’
  • Submandibular ‘bush in winter’ (more rounded)
  • If acinar changes ‘snow storm appearance’
How well did you know this?
1
Not at all
2
3
4
5
Perfectly
13
Q

Describe this contrast image finding

A
  • Sialography procedure or right submandibular gland
  • See the contrast thoughout the duct and see a blockage about 80% of way through
  • The salivary stone is being passed through the duct causing temp obstruction
How well did you know this?
1
Not at all
2
3
4
5
Perfectly
14
Q

Describe what this sialography procedure contrast radiograph is showing

A
  • Right submandibular gland
  • Slight subtle obstructions where red pointer is likely to be mucous plugs
  • Stricture of duct towards end
  • Duct dilatation towards genome
  • Filling defect shows in duct
How well did you know this?
1
Not at all
2
3
4
5
Perfectly
15
Q

Describe what is happening in this sialography radiograph

A
  • Narrowing of duct in left submandibular gland
  • Showing complete stricture and closure of duct due to salivary stone
  • No gland being contrasted due to stricture closure
How well did you know this?
1
Not at all
2
3
4
5
Perfectly
16
Q

What are some technical considerations for sialography?

A
  • Contrast into oral cavity
  • Air bubbles in the tubing
  • Over filling ‘blushing’
17
Q

What are the treatment options of salivary stones? - Not routinely done in Scotland

A
  • Surgical removal of stone via incision of EO removal salivary gland
  • Dilate strictures via stent
18
Q

What selection criteria for stone removal?

A
  • Stone must be mobile
  • Stone should be located within lumen on main duct duct distal to posterior border of mylohyoid
  • Stone should be distal to hilum or at anterior border of gland (parotid)
  • Duct should be patent and wide to allow passage of stone
19
Q

Pt has dry mouth and you suspect sjogrens disease what other investigations can be used to diagnose?

A
  • Blood tests (autoantibodies)
  • Schirmer test
  • Sialometry
  • Labial gland biopsy
20
Q

When suspected sjogrens what ultrasound findings are we looking for?

A
  • Atrophy
  • Heterogenous parenchymal pattern (leopard print)
  • Hypoechoic (darker)
  • Fatty inflitration
21
Q

What is a Scintiscan?

A
  • Injection of radioactive Technetium 99m
  • Assesses how well the glands are working via uptake
22
Q

What are the ultrasound findings of benign tumour?

A
  • Well defined
  • Encapsulated
  • Peripheral vascularity
  • No lymphadenopathy
23
Q

What are the ultrasound findings of malignant tumours?

A
  • Irregular margins
  • Poorly defined
  • Increased / tortuous internal vascularity
  • Lymphadenopathy
24
Q

When is MRI useful in obstructive disease?

A
  • Pre surgical assessment and deep margiins of lesions that can’t be seen on ultrasound
  • Do before a biopsy
25
When would you do extra tests for minor salivary glands?
- Image if enlarged or pathological - Ultrasound if superficial - MRI if deeper or poss bony inolvement
26
Do minor or major salivary glands have higher chance of malignancy?
- Minor salivary glands have higher chance if pathological
27
Why is MRI used for TMJ imaging?
- Can see the disc using MRI - Determine if with or without reduction and which direction the disc moves in relation to the condyle
28
Compare the use of CT vs MRI
- MRI no radiation dose to pt - MRI scan takes longer - More contraindications for MRI including pacemakers, cochlear implants and claustrophobic - MRI better for assessing perineural spread, bone invasion via bone marrow change, soft tissue characterists of lesion
29