Es el mejor estudio de imagen para ver pulmones:
Tomografía
¿Qué es un patrón pulmonar?
¿Cuáles son los principales patrones pulmonares?
Es el aumento de la atenuación pulmonar, por ocupación del espacio aéreo alveolar por sangre, pus, agua o exudado:
Consolidación/alveolar
¿Cómo se ve la consolidación en Rx?
Radioopacidad irregular y mal definida

¿Cómo se ve la consolidación en TC?
Hipodensidad irregular y mal definida

Es la principal causa de consolidación:
Neumonía
¿Cuál es un dato clave en la consolidación?
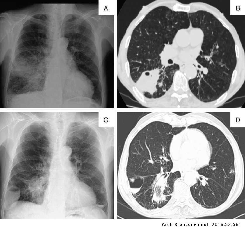
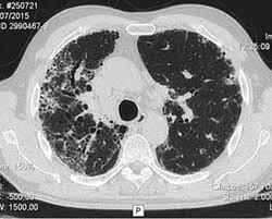
Es una opacidad lineal o en red que ocurre por ocupación de agua, colágeno o enfermedad del intersticio en la barrea alveólo-capilar:
Patrón intersticial o reticular
¿Cómo se ve el patrón intersticial o reticular en rx y TC?
Líneas finas o gruesas en los extremos del pulmón

Son las causas más frecuentes del patrón intersticial o reticular:
Tipo de patrón frecuente en enfermedades granulomatosas:
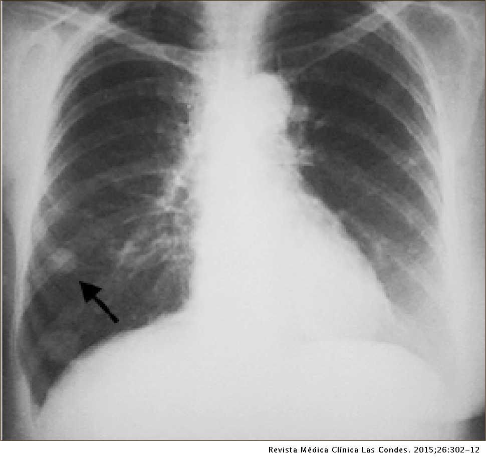
Nodular

Si mide menos de 3 cm es un ___ y si mide más de 3 cm es ___.
Nódulo, masa.
Un nódulo solitario es frecuente por enfermedad:
Granulomatosa por tuberculosis
Muchos nódulos indican:
Metástasis
Es el colapso del tejido pulmonar con pérdida de volumen:
Atelectasia
¿Cuáles son las causas más frecuentes de atelectasia?
¿Qué hallazgos son importantes de buscar en atelectasia?

Es una lesión ovoide con pérdida del parénquima, limitado por una pared gruesa e irregular y con contenido aéreo o líquido:
Cavitación

A la cavitación también se le conoce como:
Bulla enfisematosa
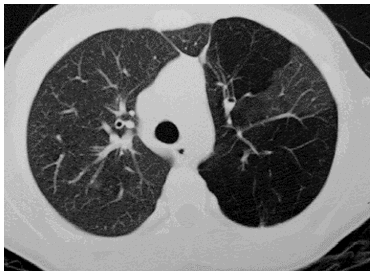
Es una lesión redondeada, de pared fina y bien definida, por lesión en el parénquima y que tiene contenido aéreo o líquido:
Quiste

Si se rompe el neumatocele puede ocasionar:
Neumotórax
¿Cuáles son dos presentaciones que pueden tener los quistes?
Es la disminución de la densidad (mayor radiolucidez):
Hiperclaridad
