Pituitary Structure/Function/Pathology Flashcards

(24 cards)

1
Q

what is the pituitary gland

A

gland attached to the hypothalamus via infundibulum

How well did you know this?
1
Not at all
2
3
4
5
Perfectly
2
Q

location of the pituitary gland

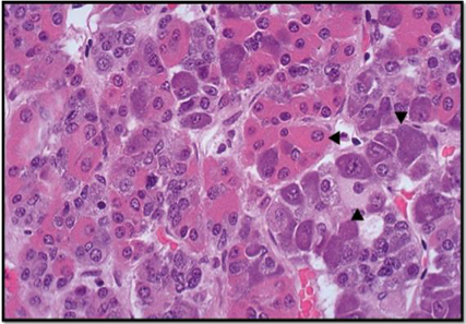
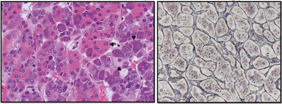
A

sella turcica of the sphenoid near sensitive structures (optic nerve, internal carotid arteries, cavernous sinuses)

How well did you know this?
1
Not at all
2
3
4
5
Perfectly
3
Q

parts of pituitary gland

A

anterior pituitary: adenohypophysis

posterior pituitary: neurohypophysis

How well did you know this?
1
Not at all
2
3
4
5
Perfectly
4
Q

embryologic origins of pituitary gland

A

Rathke pouch –> anterior pituitary

diencephalon –> posterior pituitary

How well did you know this?
1
Not at all
2
3
4
5
Perfectly
5
Q

parts of anterior pituitary

A

pars distalis, pars tuberalis, pars intermedia

How well did you know this?
1
Not at all
2
3
4
5
Perfectly
6
Q

parts of posterior pituitary

A

infundibulum, pars nervosa

How well did you know this?
1
Not at all
2
3
4
5
Perfectly
7
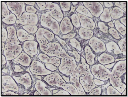
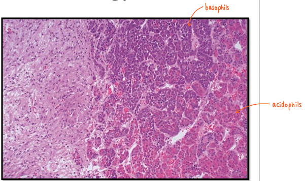
Q

histology of anterior pituitary

A
  • chromophils (secretory cells with basophils and acidophils)
  • chromophobes (poorly stained cytoplasm)
How well did you know this?
1
Not at all
2
3
4
5
Perfectly
8
Q

histology of posterior pituitary

A
  • infundibulum: nonmyelinated axons
  • pars nervosa: axon terminals, pituicytes (supporting glial cells)
How well did you know this?
1
Not at all
2
3
4
5
Perfectly
9
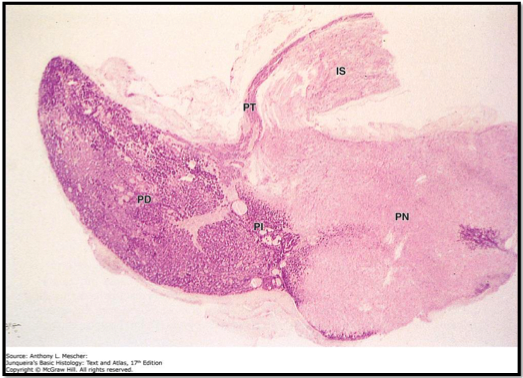
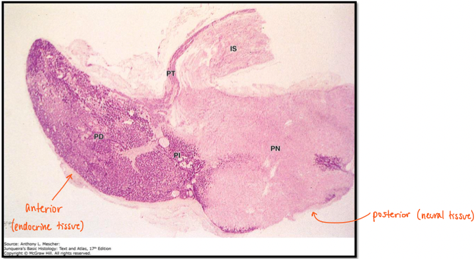
Q

identify anterior and posterior pituitary tissue

A
How well did you know this?
1
Not at all
2
3
4
5
Perfectly
10
Q

identify anterior and posterior pituitary tissue

A
How well did you know this?
1
Not at all
2
3
4
5
Perfectly
11
Q

types of anterior pituitary cells

A

lactotrophs, corticotrophs, thyrotrophs, gonadotrophs, somatotrophs

How well did you know this?
1
Not at all
2
3
4
5
Perfectly
12
Q

hormones secreted by anterior pituitary

A
  • GH (somatotroph)
  • ACTH (corticotroph)
  • TSH (thyrotroph)
  • FSH, LH (gonadotroph)
  • prolactin (lactotroph/mammotroph)
How well did you know this?
1
Not at all
2
3
4
5
Perfectly
13
Q

two hormones that acidophils secrete

A

GH, prolactin

How well did you know this?
1
Not at all
2
3
4
5
Perfectly
14
Q

four hormones that basophils secrete

A

FSH, LH, ACTH, TSH

How well did you know this?
1
Not at all
2
3
4
5
Perfectly
15
Q

hormones secreted by posterior pituitary

A
  • ADH
  • oxytocin
How well did you know this?
1
Not at all
2
3
4
5
Perfectly
16
Q

identify two of the three categories of anterior pituitary cells

17
Q

identify the three categories of anterior pituitary cells

18
Q

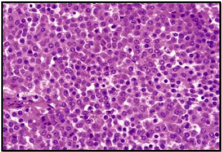
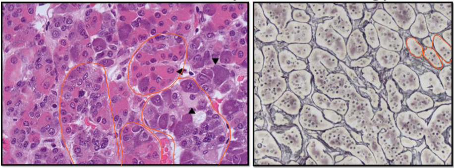
histology features of pituitary gland

A
  • pink acidophils
  • purple basophils
  • chromophobes
  • acinar architecture
19
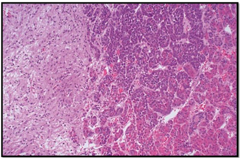
Q

most common cause of anterior hyperpituitarism

20
Q

identify tissue

A

normal pituitary

21
Q

identify tissue

A

pituitary adenoma

22
Q

identify tissue

A

normal pituitary

23
Q

identify tissue

A

pituitary adenoma

24
Q

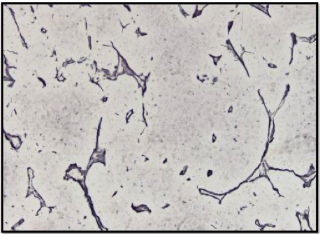
histology features of pituitary adenoma

A
  • monomorphism of cells
  • absence of normal acinar architecture