Pleuropulmonar Semio COPY Flashcards

(26 cards)

1
Q

Amplexión

A
How well did you know this?
1
Not at all
2
3
4
5
Perfectly
2
Q

Amplexación

A
How well did you know this?
1
Not at all
2
3
4
5
Perfectly
3
Q

Comparación de sonidos (4):

Dependiendo del nivel

A
  • Traqueal: muy fuerte
  • Bronquial: fuerte
  • Bronquio vesicular: intermedio
  • Murmullo vesicular: suave
How well did you know this?
1
Not at all
2
3
4
5
Perfectly
4
Q

Percusión normal:

A

Resonante

Claro pulmonar

How well did you know this?
1
Not at all
2
3
4
5
Perfectly
5
Q

Percusión hiperresonante puede indicar:

A

Enfisema pulmonar

How well did you know this?
1
Not at all
2
3
4
5
Perfectly
6
Q

Sx de condensación etiología:

A

Alveolos con exudado o fibrina

How well did you know this?
1
Not at all
2
3
4
5
Perfectly
7
Q

Signos del sx de condensación:

A
  • Ampliación disminuida, retracción torácica
  • Percusión mate
  • Vibraciones aumentadas
  • Estertores crepitantes (auscultación)
  • Piel caliente y sudoración
  • Dolor a la compresión
  • Taquipnea superficial y cianosis
How well did you know this?
1
Not at all
2
3
4
5
Perfectly
8
Q

Complicación postquirúrgica más común

A

Atelectasia
Colapso pulmonar segmentario, lobar o completo

How well did you know this?
1
Not at all
2
3
4
5
Perfectly
9
Q

Etiologías de la atelectasia:

A
  • Hospitalizaciones
  • Objetos que obstruyen (común en niños)
  • Anestesia
  • Enfermedades pulmonares prexistentes
How well did you know this?
1
Not at all
2
3
4
5
Perfectly
10
Q

Signos de atelectasia:

A
  • Sin vibraciones vocales
  • Disminución de ampliación de hemitórax afectado
  • Ausencia de murmullo vesicular
  • Percusión mate
  • Desviación de la tráquea a lado afectado
How well did you know this?
1
Not at all
2
3
4
5
Perfectly
11
Q

Tipos de derrame pleural

A
  • Exudativo
  • Trasudativo
How well did you know this?
1
Not at all
2
3
4
5
Perfectly
12
Q

Etiologías más frecuentes de derrame pleural trasudativo

A
  • Insuficiencia cardíaca
  • Cirrosis
How well did you know this?
1
Not at all
2
3
4
5
Perfectly
13
Q

Etiologías de derrame pleural exudativo:

A

Vasos sanguíneos o linfáticos bloqueados, inflamación o tumores

How well did you know this?
1
Not at all
2
3
4
5
Perfectly
14
Q

Signos de derrame pleural:

A
  • Disminución de amplexión y amplexación
  • Ruidos respiratorios ausentes
  • Mate, submate
How well did you know this?
1
Not at all
2
3
4
5
Perfectly
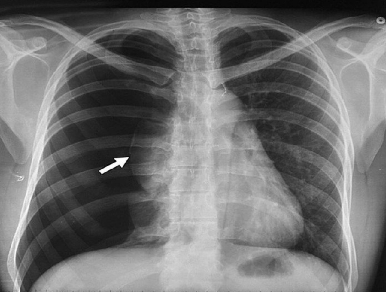
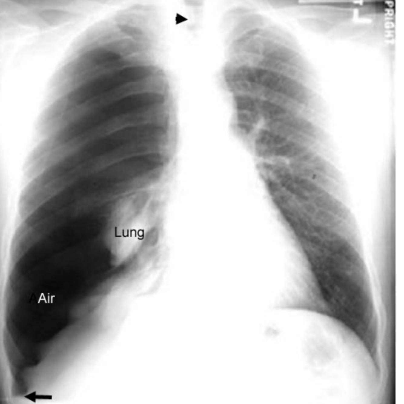
15
Q

Etiologías del neumotórax

A
  • Trauma
  • Espontáneo
  • A tensión: aire entra de forma progresiva y provoca colapso pulmonar
How well did you know this?
1
Not at all
2
3
4
5
Perfectly
16
Q

Signos de neumotórax

A
  • Ruidos respiratorios ausentes
  • Percusión resonante
  • Vibraciones vocales disminuidas
  • Ampliación disminuida
17
Q

Enfisema pulmonar =

A

Dilatación de alveolos por atrofia = más aire pero sin intercambio

18
Q

Etiología frecuente de enfisema pulmonar:

19
Q

Signos de enfisema pulmonar:

A
  • Vibraciones vocales ausentes o disminuidas
  • FR aumentada
  • Disminución de amplitud
  • Diámetro con predominio anteroposterior
  • Percusión hiperresonante
20
Q
A

enfisema pulmonar

21
Q
22
Q
23
Q
A

sx de condensacion

24
Q
A

sx de condensacion

25
derrame pleural
26
derrame pleural