PQS 2022 Flashcards

(55 cards)

1
Q

What medication is contraindicated for a large colon impaction?
􀶷 Butylscolpalamine
􀶷 lidocaine
􀶷 metronidazole
􀶷 neostigmine

A

neostigmine ( can cause rupture of colon)

How well did you know this?
1
Not at all
2
3
4
5
Perfectly
2
Q

What drug do we administer in congestive heart failure?
􀶷 Digoxin
􀶷 Quinidine
􀶷 Enalapril
􀶷 Procainamide

A

Digoxin

How well did you know this?
1
Not at all
2
3
4
5
Perfectly
3
Q

Most common cause of death during GA:
􀶷 Cardiac arrest
􀶷 Fracture during recovery
􀶷 Aspiration pneumonia
􀶷 Diffuse myopathy

A

Cardiac arrest

How well did you know this?
1
Not at all
2
3
4
5
Perfectly
4
Q

Usage of metformin?

A

Increase insulin sensitivity

How well did you know this?
1
Not at all
2
3
4
5
Perfectly
5
Q

Admission route of DMSO:

A

IV

How well did you know this?
1
Not at all
2
3
4
5
Perfectly
6
Q

What causes this type of lesion?
Insect bite
dermatophilosis
foliacecus pemphigus

A

Lichenification

Sweet itch (insect bite hypersensitivity)

How well did you know this?
1
Not at all
2
3
4
5
Perfectly
7
Q

Cause of purpurarea haemo.?

A

Immune complex

How well did you know this?
1
Not at all
2
3
4
5
Perfectly
8
Q

Picture of papilloma?

A

Viral infection

How well did you know this?
1
Not at all
2
3
4
5
Perfectly
9
Q

Picture of inguinal region
Sarcoid
melanoma
carcinoma

A

Sarcoid

How well did you know this?
1
Not at all
2
3
4
5
Perfectly
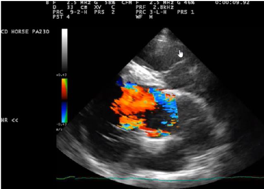
10
Q

What is seen?
Ventricular defect
Aortic valve insufficiency

A

Aortic valve insufficiency

How well did you know this?
1
Not at all
2
3
4
5
Perfectly
11
Q

seminal plasma
􀶷 (I can’t remember choices)
􀶷 lowers pregnancy rate?
􀶷 lowers plasma macrophages, phagocystosis, PMN
􀶷 heightens plasma macrophages, phagocystosis, PMN

A

lowers plasma macrophages, phagocystosis, PMN

How well did you know this?
1
Not at all
2
3
4
5
Perfectly
12
Q

X Rays cause the depletion of?
􀶷 Germinal testicular cells
􀶷 Sertoli cells
􀶷 Leydig cells

A

􀶷 Germinal testicular cells

How well did you know this?
1
Not at all
2
3
4
5
Perfectly
13
Q

What is the difference between a cow and an equine c- section?
􀶷 The uterus is closed in 1 layer
􀶷 The uterus is closed in 2 layers (Lecture notes state 3 layers)
􀶷 Lembert and Cushing - interlocking suture around entire surgery wound, wound closure in 3 layers (reefing + Cushing)

A

􀶷 Lembert and Cushing - interlocking suture around entire surgery wound, wound closure in 3 layers (reefing + Cushing)

How well did you know this?
1
Not at all
2
3
4
5
Perfectly
14
Q

Where does the embryo develop after fixation in the mare?
􀶷 At the tip of the uterine horn on the cranio-dorsal side
􀶷 At the tip of the uterine horn on the cranio-ventral side
􀶷 At the bifurcation on the cranio-dorsal side
􀶷 At the bifurcation on the cranio-ventral side

A

􀶷 At the bifurcation on the cranio-ventral side

How well did you know this?
1
Not at all
2
3
4
5
Perfectly
15
Q

Tidal volume of a horse

A

5

How well did you know this?
1
Not at all
2
3
4
5
Perfectly
16
Q

Oxygen consumption of horse
2-3
5
10

A

At rest a horse absorbs 3 milliliters of oxygen per kilogram of body weight per minute

How well did you know this?
1
Not at all
2
3
4
5
Perfectly
17
Q

Where does the distal accessory ligament of the DDF run in an ultrasound?
􀶷 Between the DDF and SDF
􀶷 Between DDF and the Suspensory ligament
􀶷 Between the DDF to the 3rd metacarpal bone
􀶷 Between suspensory ligament and 3rd metacarpal bone

A

Between the DDF to the 3rd metacarpal bone

How well did you know this?
1
Not at all
2
3
4
5
Perfectly
18
Q

Pituitary Pars Intermedia Dysfunction (PPID) symptoms?
􀶷 Hirsutism
􀶷 Weightloss
􀶷 PU/PD
􀶷 Immunosuppresion

A

Hirsutism

How well did you know this?
1
Not at all
2
3
4
5
Perfectly
19
Q

Anaesthesia in horse:

A

Alwasy closed

How well did you know this?
1
Not at all
2
3
4
5
Perfectly
20
Q

Which drug to prevent ileus:
AB
Lacative
Prokinetics
Probiotics

A

Prokinetics

How well did you know this?
1
Not at all
2
3
4
5
Perfectly
21
Q

8 year old horse brought in with fever, ataxia, tremors, dysphagia
􀶷 Botulism
􀶷 West nile
􀶷 Guttural pouch mycosis

A

WN virus

How well did you know this?
1
Not at all
2
3
4
5
Perfectly
22
Q

What bacteria can you find in the uterus swap of a mare?
􀶷 T. equigenitalis
􀶷 S. equi ssp zooepidemicus
􀶷 P. multicoccidia
􀶷 K. pneumoniae

A

S. equi ssp zooepidemicus (40-60% prevalence)

How well did you know this?
1
Not at all
2
3
4
5
Perfectly
23
Q

Needle size of DIP nerve block?

24
Q

Which nerve anaeshtesia in case of low-4 point block?

A

Palmer digital and metacarpal

25
What is the PCV for chronic anemia? PCV <15% PCV <12%
Acute: PCV <15% Chronic: PCV <12% consider transfusion!
26
Where to take sample in case of bacterial meningitis:
CSF
27
Herpes virus 1, myeloencephalitis, how to diagnose:
PCR
28
Role of copper in wound Healing: Collagen synthesis Epithelization Both None
29
Which breed is predisposed to atopic dermatitis: Arabian Appaloosa Standarbreed Pony/shetland
Arabian
30
How can you avoid blood clot/thrombosis?
􀶷 Acetylsalicylic acid (*Irreversibly thins the blood!!)
31
Treatment of colitis: Feed hay AB Give MG with NG tube ??
Feed hay noo idea! AB is not always used
32
When are the first elastic fibres formed in a wound? 􀶷 48 hrs 􀶷 5-7 days 􀶷 4 weeks 􀶷 20-28 days
4 weeks 48 hr = fibroblasts 5-7 = collagen
33
What EHV causes skin disorders? 􀶷 EHV- 2 􀶷 EHV-3 􀶷 EHV-4
􀶷 EHV-3 (Coital Exanthema) 􀶷 EHV- 2 (foal resp) [EHV-1: Resp + CNS] 􀶷 EHV-3 (Coital Exanthema) 􀶷 EHV-4 (Rhinitis)
34
How do we examine stress fractures in the pelvis? 􀶷 Scintigraphy 􀶷 CT 􀶷 MRI
Scintigraphy
35
What can we gain from blood samples using a Na citrate tube? 􀶷 WBC count 􀶷 Coagulation, aPTT, prothrombin & fibrinogen 􀶷 Glucose and lactate 􀶷 total protein
Total protein?? 􀶷 WBC count = EDTA - Purple 􀶷 Coagulation, aPTT, prothrombin & fibrinogen = blue 􀶷 Glucose and lactate = Na-flurade - grey
36
When giving a tarsometatarsal nerve block, what other area can also be blocked? 􀶷 Tarsocrural 􀶷 Distal intertarsal joint 􀶷 Proximal intertarsal joint
􀶷 Tarsocrural
37
Which suture is this? - Horizontal (U) Mattress suture - Vertical (U) Mattress suture - Simple Interrupted - Subcutis
- Vertical (U) Mattress suture
38
There was an xray photo 􀍴 we want to see the dorsal medial aspect of the fetlock joint, what view? 􀶷 LM 􀶷 Dorsal-palmar 􀶷 dorsal medial-palmar lateral oblique 􀶷 Lateral palmer dorsal medial oblique
􀶷 dorsal medial-palmar lateral oblique ?? 􀶷 Lateral palmer dorsal medial oblique - The view tells where the beam is coming from and the view we want to see os the one closest to the cassette
39
What parenchymal organ can you palpate rectally in a healthy horse? 􀶷 Urinary bladder 􀶷 Liver 􀶷 Spleen 􀶷 Stomach
Spleen ??
40
If a descemetocele is stained by fluorescein: 􀶷 The Descemet's membrane remains permanently stained 􀶷 The stroma has stain uptake, but the Descemet's membrane hasn't 􀶷 Superficial epithelial loss can be detected 􀶷 The stroma hasn`t stain uptake, but the Descemet's membrane has
􀶷 The stroma has stain uptake, but the Descemet's membrane hasn't
41
To give a subconjunctival injection in an alert horse? 􀶷 Maximum 3ml (cc) can be injected 􀶷 Infraorbital nerve block should be used 􀶷 Retrobulbar anaesthesia should be used 􀶷 Topical anaesthesia should be used
􀶷 Topical anaesthesia should be used
42
Which one of the following drugs is suitable for the treatment of equine metabolic syndrome? 􀶷 Bromocryptine 􀶷 Metformin 􀶷 Cyproheptadine 􀶷 Pergolide
􀶷 Metformin
43
Which one of the following conditions is related to Vitamin E deficiency? 􀶷 Hyperkalemic periodic paralysis 􀶷 Recurrent rhabdomyolysis 􀶷 Tying up syndrome 􀶷 Equine motor neuron disease
􀶷 Equine motor neuron disease
44
On an ultrasound of the abdomen what is an abnormal finding? 􀶷 horizontal taenia on right-hand side 􀶷 epiploic foramen 􀶷 Hilus of the spleen and stomach are together 􀶷 intussusception of the small colon or intestines or something
􀶷 intussusception of the small colon or intestines or something
45
Are antibiotics indicated in all cases of colitis? - salmonella can be ruled out - Laxatives can be used (no main sign of colitis is diarrhoea) - Antibiotics are NOT always used
- Antibiotics are NOT always used
46
How can you treat an anterior (corneal?) abscess?
ERU Pars Plana Vitrectomy
47
What kind of surgical procedure can be used to treat a deep stromal corneal abscess in a horse? - Grid keratotomy - Enucleation - Pars plana vitrectomy - Penetrating or lamellar keratoplasty
- Penetrating or lamellar keratoplasty
48
What kind of surgical procedure can be used to treat an indolent chronic superficial corneal ulcer in a horse? a) Trans palpebral enucleation b) Subscleral cyclosporine implantation c) Third eyelid flap d) Superficial keratectomy or keratotomy
d) Superficial keratectomy or keratotomy
49
What kind of narcotic system is appropriate for equine anaesthesia?
- Closed circle
50
Which is a specific indicator of hepatic diseases? - Indirect bilirubin - Urine bilirubin - Albumin - LDH-3
- Urine bilirubin
51
What kind of diagnostic procedure should be performed in case of a deep melting ulcer? - cytology from cornea - Microbiological sampling from the cornea - Fluoresceine staining - All listed above
- All listed above
52
Which is immune mediated?
-purpura haemorrhagica
53
Clinical signs of EHV-1 myeloencephalopathy
- urinary incontinence
54
At what % do you need a transfusion after acute blood loss
<12%
55
At what % do you need a transfusion after acute blood loss
<12%