Practicals Flashcards

Review to prepare for the Gram-Positive, Gram-Negative and Clinical Practicals (11 cards)

1
Q

Gram Positive Organisms

White, Hemolytic

A

Staphylococcus aureus

Key Tests for Presumptive Identification
1. Catalase positive
2. Coagulase or Staphaurex postive

Gram positive cocci in clusters

Very common pathogen seen in all sites, especially wound and skin infections.

How well did you know this?
1
Not at all
2
3
4
5
Perfectly
2
Q

Gram Positive Organisms

White, Nonhemolytic

A

Staphylococcus epidermidis
Key Tests for Minimal Morhological Identification (MMI)
1. Catalase positive
2. Coagulase/Staphaurex negative
MMI= Coagulase negative staphylococcus

Gram positive cocci in clusters

Definitive ID achieved by MALDI-TOF
Associate w/ skin, common blood culture contaminant and foriegn device infections

How well did you know this?
1
Not at all
2
3
4
5
Perfectly
3
Q

Gram Positive Organisms

Bright White, Nonheme

A

Staphylococcus saprophyticus
Key Tests for Presumptive Identification
1. Catalase positive
2. Coagulase or Staphaurex postive
3. Novobiocin resistant

Gram positive cocci in clusters

Associate w/ UTIs in young females

How well did you know this?
1
Not at all
2
3
4
5
Perfectly
4
Q

Gram Positive Organisms

Yellow

A

Micrococcus species
Key Tests for Presumptive Identification
1. Catalase positive
2. Coagulase or Staphaurex negative
3. Bacitracin susceptible

Gram positive cocci in tetrads

Associate with skin & environmental contamination

How well did you know this?
1
Not at all
2
3
4
5
Perfectly
5
Q

Gram positive organisms

Alpha

A

Enterococcus faecium
Key Tests for Minimal Morhological Identification (MMI)
1. Catalase negative
2. PYR positive
MMI= Enterococcus species

Gram positive cocci in pairs & short chains

Definitive ID by MALDI-TOF or additional biochemicals
Associate E. faecium w/ VRE (vanA or vanB gene)

How well did you know this?
1
Not at all
2
3
4
5
Perfectly
6
Q

Gram Positive Organisms

Gamma

A

Enterococcus faecalis
Key Tests for Minimal Morhological Identification (MMI)
1. Catalase negative
2. PYR positive
MMI= Enterococcus species

Gram positive cocci in pairs & short chains

Definitive ID by MALDI-TOF or additional biochemicals
Associate E. faecalis w/ VSE

How well did you know this?
1
Not at all
2
3
4
5
Perfectly
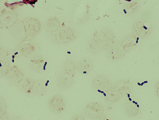
7
Q

Gram positive organisms

2 variations

Alpha, dimpled (on left) Alpha, mucoid (on right)
A

Streptococcus pneumoniae
Key Tests for Presumptive Identification
1. Catalase negative
2. Optochin disk susceptible
3. Bile solubility positive

Gram positive cocci in pairs (lancet shaped)

Most frequently associated w/ respiratory infections

How well did you know this?
1
Not at all
2
3
4
5
Perfectly
8
Q

Gamma

A

Streptococcus bovis group (Group D Streptococci)
Key Tests for Presumptive Identification
1. Catalase negative
2. PYR negative
3. Bile esculin positive

Gram positive cocci in pairs & chains

Colonizes the GI tract. Associate w/ bacteremia & endocarditis

How well did you know this?
1
Not at all
2
3
4
5
Perfectly
9
Q

Pinpoint alpha or pinpoint beta

A

S. anginosus group
Key Tests for Presumptive Identification
1. Catalase negative
2. VP positive
3. Arginine positive
4. Butterscotch smell

GPCPCH

Associate w/ deep tissue abscess

How well did you know this?
1
Not at all
2
3
4
5
Perfectly
10
Q

Beta

A

Streptococcus pyogenes
Key Tests for Presumptive Identification
1. Catalase negative
2. Bacitracin disk susceptible
3. PYR positive

GPCPCH

Associate w/ strep throat & soft tissue infections (including necrotizing fascitiis)

How well did you know this?
1
Not at all
2
3
4
5
Perfectly
11
Q
A
How well did you know this?
1
Not at all
2
3
4
5
Perfectly