PRAKTYK Krew Flashcards

(7 cards)

1
Q
A

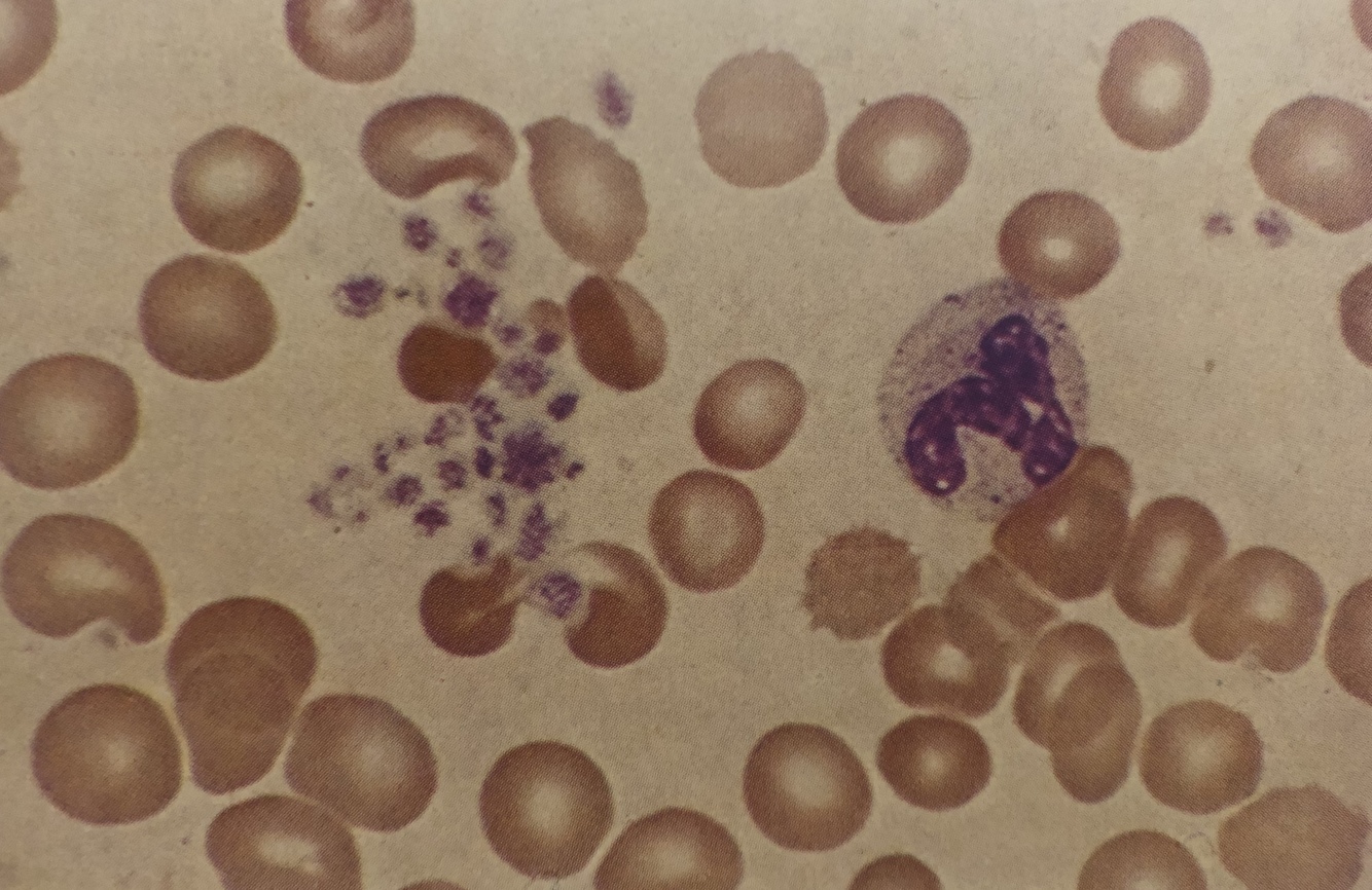
Rozmaz krwi ludzkiej,

Metoda May-Grunwald-Giemza

  • Bezjądrzaste erytrocyty – ludzka,
  • Limfocyt (największe jądro, bardzo mało cytoplazmy, jądro zajmuje
  • prawie całą prsestrzeń,),
  • Monocyt (nerkowate jądro, duże),
  • Neutrofile (wyraźnie segmentowate jądro, najczęściej trójdzielne),
  • Eozynofile (czerwona cytoplazma (jak erytrocyty) i 2-3 dzielne jądro),
  • Płytki krwi (małe komórki obecne pomiędzy innymi),
How well did you know this?
1
Not at all
2
3
4
5
Perfectly
2
Q
A
  • trzy różne typy komórek leukocytów
  • duża kom. pełna drobnych ziarnistości to granulocyt zasadochłonny
  • obok granulocyt obojętnochłonny
  • na dole limfocyt - wielkość porównywalna do erytrocytów, stosunek wielkości jądra do cytoplazmy
How well did you know this?
1
Not at all
2
3
4
5
Perfectly
3
Q
A
  • między erytrocytami widać płytki krwi - trombocyty, nie widać w nich żadnych struktur
  • granulocyt obojętnochłonny - ma drobne ziarna zawierające różnorodne substancje biorące udział w procesach obronnych
How well did you know this?
1
Not at all
2
3
4
5
Perfectly
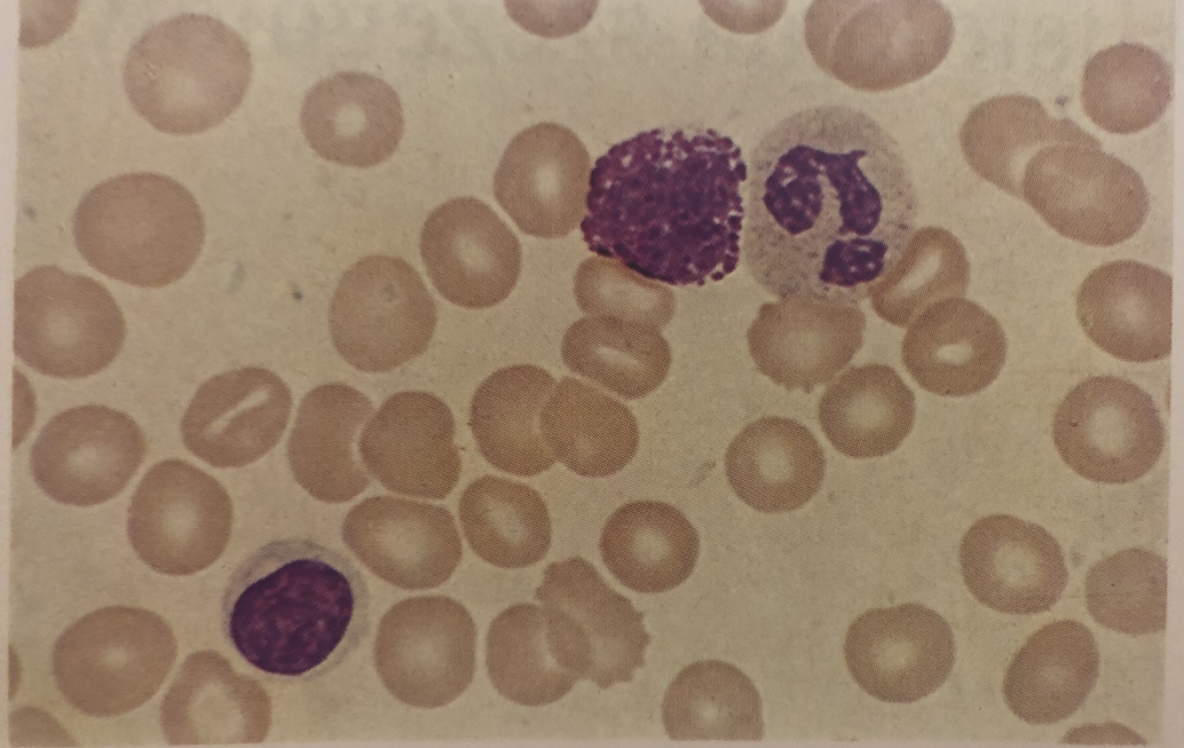
4
Q
A
  • po lewej granulocyt kwasochłonny, zwykle jego jądro ma dwa segmenty, wyraźne ziarna; ziarna wyraźnie większe niż ziarna neutrofili; zawierają mediatory, enzymy
  • po prawej neutrofil,
How well did you know this?
1
Not at all
2
3
4
5
Perfectly
5
Q
A
  • granulocyt obojętnochłonny
  • ma silnie segmentowane jądro
  • rakietkowata wypustka na górnym biegunie jądra - pałeczka dobosza; wystepuje u płci żeńskiej i odpowiada ciałku Barra
How well did you know this?
1
Not at all
2
3
4
5
Perfectly
6
Q
A
  • limfocyty
  • wyróżnia je wyraźny stosunek wielkości jądra do reszty cytoplazmy
  • delikatne ziarnistości azurochłonne, niewidoczne zwykle w zwykłym barwieniu
  • nie da się w zwykłym rozmazie odróżnić limfocytów B od T
How well did you know this?
1
Not at all
2
3
4
5
Perfectly
7
Q
A
  • monocyt
  • ma zawsze duże i wgłębione jądro, nigdy okrągłe jak w limfocytach
  • często mozna zaobserwować delikatne azurochłonne ziarnistości
How well did you know this?
1
Not at all
2
3
4
5
Perfectly