Define PE.
A consequence of thrombus formation within a deep vein of the body, embolising to pulmonary vasculature.
What is Virchow’s triad?
Describe the epidemiology of PE.
Approximately 51% of DVTs will embolise to the pulmonary vasculature, resulting in a PE.
UK ~50,000 a year
1-1.5/1000 population per year
What are the risk factors for PE, relative to Virchow’s triad?
Vessel wall damage - cell damage –> thrombus formation at venous valves. Examples:
Venous stasis - poor flow/stasis cause thrombi and result in valvular damage, further promoting thrombus formation. Stasis increased in:
Hypercoagulability - inherited + acquired conditions:
Name 5 types of inherited thrombophilia –> hypercoagulability.
Describe the consequences of pulmonary embolism on the heart.
Rarely de novo. Usually DVT –> emboli. Obstruction increases pulmonary vascular resistance (PVR) increasing the WORK or RIGHT ventricle –> increased HR (Frank-Starling). Eventually PVR is so high that there is
What are the differences between the thrombi formed in arteries and deep veins?
DVT = fibrin and entrapped erythrocytes (red clots). Platelet aggregation is not seen at the site of thombus attachment.

What percentage of pulmonary vasculature needs to be occluded to cause hypotension and shock?
In healthy individuals it can be as little as 50%
Symptoms of pulmonary embolism.
What are the signs of pulmonary embolism on physical examination?
What initial and later investigations would you do for a PE?
History and examination, followed by 2 level Wells score to estimate clinical probability of PE.
Wells >4 then PE likely so:
Wells 4 or less PE unlikely:
Other tests to consider:
What are the Wells and Geneva scoring systems?


Describe the results of these scans in PE:
CTPA
V/Q scan
Bloods:
CTPA - direct visualisation of a thrombus in pulmonary artery (partial or incomplete)
V/Q scan - an area of ventilation will not be perfused in V/Q scan
Bloods:
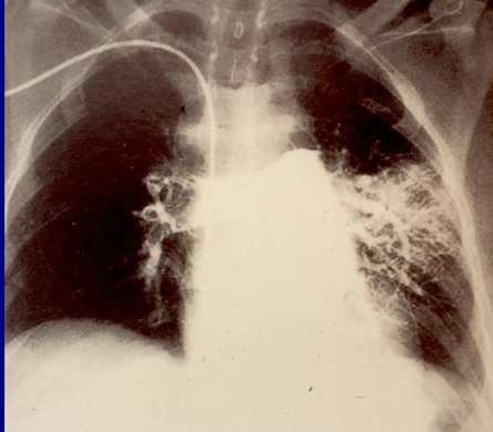
What might you see in CX of pulmonary embolism? What is sometimes seen on ECG?
CXR:
ECG: “S1Q3T3” pattern of acute cor pulmonale is classic; this is termed the McGinn-White Sign. A large S wave in lead I, a Q wave in lead III and an inverted T wave in lead III together indicate acute right heart strain.
Why do you give IV fluids to someone with massive PE?
Given if systolic BP is <90mmHg
How do you manage a PE?
Emergency:
Conservative:
Medical:
Surgical:
Why do you give these treatments in massive PE w/ shock/hypotension?
Vasopressors
IV fluids
IV fluids - if systolic BP is <90mmHg but aggressive volume expansion is of no benefit and may worse RV function.
Vasoactive agents (noradrenaline/dobutamine/adrenaline) - if systolic BP is less than 90mmHg then these vasopressors may be given to improve RV function and RV coronary perfusion but should be limited to hypotensive patients.
Which anticoagulants and thrombolytic therapy would you use in PE?
Offer:
1st line - apixaban or rivaroxaban
If these are not suitable: LMWH for at least 5 days followed by dabigatran or edoxaban.
Length of treatment depends on whether it is provoked or unprovoked.
What are the complications of PE and its management?
Complications:
What is the prognosis in PE?
How can you manage cardiac arrest due to PE?
Usual CPR, adrenaline +/- defibrillation if VF/VT
Can administer thrombolysis if patient is not responding to ALS
What is the diagnosis?
Saddle PE - causing a PE on both the left and right sides.