In Peralta S, et al. Radiographic evaluation of the classification of the extent of tooth resorption in dogs, AJVR 71(7) 2010: 794-798, which of the following is TRUE?
In Peralta S, et al. Radiographic evaluation of the classification of the extent of tooth resorption in dogs, AJVR 71(7) 2010: 794-798, which of the following is TRUE?
Which of the following is a cause of pain associated with orthodontic movement of teeth?
Which of the following is a cause of pain associated with orthodontic movement of teeth?
The histopathology for this case reported “highly fragmented trabeculae of lytic bone surrounded by a loosely arranged, edematous and moderately inflamed fibrous stroma. Neutrophils are the predominant inflammatory cell type with an accompanying population of lymphocytes and plasma cells.” The appropriate treatment would be:

The histopathology for this case reported “highly fragmented trabeculae of lytic bone surrounded by a loosely arranged, edematous and moderately inflamed fibrous stroma. Neutrophils are the predominant inflammatory cell type with an accompanying population of lymphocytes and plasma cells.” The appropriate treatment would be:
Approximately what percentage of bone must be demineralized before bone loss is visible radiographically?
Approximately what percentage of bone must be demineralized before bone loss is visible radiographically?
Kuntsi-Vaattovaara, et.al. Results of root canal treatment in dogs: 127 cases (1995-2000). J Am Vet Med Assoc 2002; 220(6):775-80, which of the following is TRUE?
Kuntsi-Vaattovaara, et.al. Results of root canal treatment in dogs: 127 cases (1995-2000). J Am Vet Med Assoc 2002; 220(6):775-80, which of the following is TRUE?
In Pacoe PJ. The effects of lidocaine or a lidocaine-bupivacaine mixture administered into the infraorbital canal in dogs. Am J Vet Res 2016; 77(7):682-687, which of the following is TRUE?
In Pacoe PJ. The effects of lidocaine or a lidocaine-bupivacaine mixture administered into the infraorbital canal in dogs. Am J Vet Res 2016; 77(7):682-687, which of the following is TRUE?
. Which of the following best describes an oral tumor with a TNM designation of T2bN1bM?
. Which of the following best describes an oral tumor with a TNM designation of T2bN1bM?
In Farcas N, et. al. Dental radiographic findings in cats with chronic gingivostomatitis (2002-2012). J Am Vet Med Assoc 2014; 244 (3):339-345, which of these radiographic findings was NOT more common in cats with gingivostomatitis?
In Farcas N, et. al. Dental radiographic findings in cats with chronic gingivostomatitis (2002-2012). J Am Vet Med Assoc 2014; 244 (3):339-345, which of these radiographic findings was NOT more common in cats with gingivostomatitis?
Radiologically absent teeth
. In Jennings, MW et al. Effect of tooth extraction on stomatitis in cats: 95 cases (2000-2013), J Am Vet Med Assoc. 2015;246(6):654-60, which of the following is TRUE?
. In Jennings, MW et al. Effect of tooth extraction on stomatitis in cats: 95 cases (2000-2013), J Am Vet Med Assoc. 2015;246(6):654-60, which of the following is TRUE?
In Kukanich B. Outpatient oral analgesics in dogs and cats beyond nonsteroidal antiinflammatory drugs: an evidence-based approach. Vet Clin Small Anim 2015; 43:1109-1125, which of the following drugs was significantly better than placebo in controlling pain in dogs in a controlled study?
In Kukanich B. Outpatient oral analgesics in dogs and cats beyond nonsteroidal antiinflammatory drugs: an evidence-based approach. Vet Clin Small Anim 2015; 43:1109-1125, which of the following drugs was significantly better than placebo in controlling pain in dogs in a controlled study?
The interdental wiring technique shown on this osteological specimen is:

The interdental wiring technique shown on this osteological specimen is:
Risdon wiring.
The abnormality found at midline of the tongue shown in this photograph is most likely:
The abnormality found at midline of the tongue shown in this photograph is most likely:
The hand instrument technique considered superior to other techniques for root canal shaping and filing is:
The hand instrument technique considered superior to other techniques for root canal shaping and filing is:
In the study described in Peralta S, et al. Radiographic evaluation of the types of tooth resorption in dogs. Am J Vet Res 2010; 71(7):784-793, which of the following categories of tooth resorption was NOT found in dogs?
In the study described in Peralta S, et al. Radiographic evaluation of the types of tooth resorption in dogs. Am J Vet Res 2010; 71(7):784-793, which of the following categories of tooth resorption was NOT found in dogs?
In Luotonen N, et al. Vital pulp therapy in dogs: 190 cases(2001-2011). J Am Vet Med Assoc 2013; 244(4):449-459, which of the following variables affected the success of the treatment in a statistically significant manner when evaluated in a combined multivariate model?
In Luotonen N, et al. Vital pulp therapy in dogs: 190 cases(2001-2011). J Am Vet Med Assoc 2013; 244(4):449-459, which of the following variables affected the success of the treatment in a statistically significant manner when evaluated in a combined multivariate model?
Presence of distinct intraoperative hemorrhage.
In Mele et al. Dental implants and incisor bridge placement in a dog. J Vet Dent 2016; 33(4):249-258, the authors used a two-stage surgery because:
In Mele et al. Dental implants and incisor bridge placement in a dog. J Vet Dent 2016; 33(4):249-258, the authors used a two-stage surgery because:
In Culp WTN, et al. Results of surgical excision and evaluation of factors associated with survival time in dogs with lingual neoplasia: 97 cases (1995-2008). J Am Vet Med Assoc 2013;242(10):1392-1397, which of the following is TRUE?
In Culp WTN, et al. Results of surgical excision and evaluation of factors associated with survival time in dogs with lingual neoplasia: 97 cases (1995-2008). J Am Vet Med Assoc 2013;242(10):1392-1397, which of the following is TRUE?
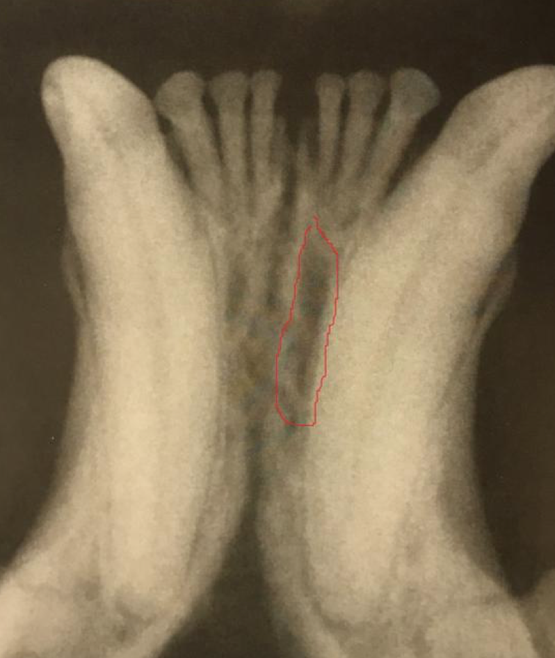
The lucency outlined in red is:

The lucency outlined in red is:
In Volker MK, et al. Management of mesioverted maxillary canine teeth and linguoverted mandibular canine teeth. J Vet Dent 2016; 33(3):170-184, which of the following is TRUE?
In Volker MK, et al. Management of mesioverted maxillary canine teeth and linguoverted mandibular canine teeth. J Vet Dent 2016; 33(3):170-184, which of the following is TRUE?
Niimura del Barrio MC, et al. Breakage of two silicone endotracheal tubes during extubation. J Small Anim Pract 2015; 56(8):530-2, which of the following is TRUE?
Niimura del Barrio MC, et al. Breakage of two silicone endotracheal tubes during extubation. J Small Anim Pract 2015; 56(8):530-2, which of the following is TRUE?
In Harvey CE, et al. Validation of use of subsets of teeth when applying the total mouth periodontal score (TMPS) system in dogs. J Vet Dent 2012; 29(4):222-6, which of the following is FALSE?
In Harvey CE, et al. Validation of use of subsets of teeth when applying the total mouth periodontal score (TMPS) system in dogs. J Vet Dent 2012; 29(4):222-6, which of the following is FALSE?
According to Soukup JW, et.al. Classification and epidemiology of traumatic dentoalveolar injuries in dogs and cats: 959 injuries in 660 patient visits (2004-2012). J Vet Dent 2015;32(1):6-14, which statement is FALSE?
According to Soukup JW, et.al. Classification and epidemiology of traumatic dentoalveolar injuries in dogs and cats: 959 injuries in 660 patient visits (2004-2012). J Vet Dent 2015;32(1):6-14, which statement is FALSE?