Radiology Flashcards

NBDHE (107 cards)

1
Q

what are the steps of x-ray production?

A
  • push exposure button
  • electrons are produced at the CATHode
  • accelerated across to the ANode
  • strike the ANode = heat + xray energy
  • x-rays exit via window through aluminum disks that remove long wavelength x-rays
  • size is restricted by lead collimator
  • travels down the PID
How well did you know this?
1
Not at all
2
3
4
5
Perfectly
2
Q

overall darkness or blackness of a film

A

density

How well did you know this?
1
Not at all
2
3
4
5
Perfectly
3
Q

how sharply dark and light areas are separated

A

contrast

How well did you know this?
1
Not at all
2
3
4
5
Perfectly
4
Q

describe a short scale of contrast

A
  • mostly black and whites (high contrast)
  • lower kVp
  • good for detecting decay
How well did you know this?
1
Not at all
2
3
4
5
Perfectly
5
Q

describe a long scale of contrast

A
  • many shades of gray (low visual contrast)
  • higher kVp
  • good for determining bone density
How well did you know this?
1
Not at all
2
3
4
5
Perfectly
6
Q

variation in the true size/shape of the object being radiographed

A

distortion

How well did you know this?
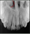
1
Not at all
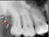
2
3
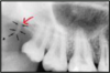
4
5
Perfectly
7
Q

what factors result in an elongated image?

A
  • teeth appear longer
  • not enough vertical angulation (too flat)
How well did you know this?
1
Not at all
2
3
4
5
Perfectly
8
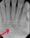
Q

what factors result in a foreshortened image?

A
  • teeth appear shorter
  • too much vertical angulation (too steep)
How well did you know this?
1
Not at all
2
3
4
5
Perfectly
9
Q

image appears larger than the actual size of the object it represents

A

magnification

How well did you know this?
1
Not at all
2
3
4
5
Perfectly
10
Q

how can a clinician decrease image magnification

A
  • decrease object-film distance
  • increase target-film distance
How well did you know this?
1
Not at all
2
3
4
5
Perfectly
11
Q

how does a ghost image appear on a panoramic x-ray?

A
  • radiopaque artifact seen
  • produced when a radiodense object is penetrated 2x by the x-ray beam
How well did you know this?
1
Not at all
2
3
4
5
Perfectly
12
Q

what happens if the tongue is not against the palate in a panoramic x-ray?

A

a dark shadow obscures the apices of the maxillary teeth

How well did you know this?
1
Not at all
2
3
4
5
Perfectly
13
Q

what happens if the Frankfort plane is positioned to high or low on a panoramic radiograph?

A
  • too high: the chin is positioned too high and there is a reverse smile line with the maxillary incisors blurred
  • too low: the chin is positioned too low and there is an exaggerated smile with mandibular incisors blurred - condyles may not be visible
How well did you know this?
1
Not at all
2
3
4
5
Perfectly
14
Q

how does a panoramic x-ray appear when the teeth are positioned too far anterior or posterior?

A
  • anterior: anterior teeth appear skinny and out of focus
  • posterior: anterior teeth appear fat and out of focus
How well did you know this?
1
Not at all
2
3
4
5
Perfectly
15
Q

what happens in a panoramic x-ray when the midsagittal plane is not centered?

A

the teeth are unequally magnified - if the patient is turned to the right, the left teeth are magnified

How well did you know this?
1
Not at all
2
3
4
5
Perfectly
16
Q

dense outer layer of bone that appears radiopaque

A

cortical (compact) bone

How well did you know this?
1
Not at all
2
3
4
5
Perfectly
17
Q

sponge-like appearance to the inner bone that is composed of trabeculae that form a lattice-like network of intercommunicating spaces filled with bone marrow

A

cancellous bone

How well did you know this?
1
Not at all
2
3
4
5
Perfectly
18
Q

will prominences (processes, ridges, spines, tubercles, or tuberosities) appear radiolucent or radiopaque?

A

radiopaque

How well did you know this?
1
Not at all
2
3
4
5
Perfectly
19
Q

will depressions (canals, foramina, fossa, or sinuses) appear radiolucent or radiopaque?

A

radiolucent

How well did you know this?
1
Not at all
2
3
4
5
Perfectly
20
Q

small, ovoid/round radiolucent area between roots of maxillary centrals

A

incisive (nasopalatine) foramen

How well did you know this?
1
Not at all
2
3
4
5
Perfectly
21
Q

thin radiolucent line between maxillary central incisors

A

median palatal suture

How well did you know this?
1
Not at all
2
3
4
5
Perfectly
22
Q

the radiolucent area between maxillary canine and lateral incisors

A

canine (lateral) fossa

How well did you know this?
1
Not at all
2
3
4
5
Perfectly
23
Q

large radiolucent area above the maxillary incisors

A

nasal cavity (fossa)

How well did you know this?
1
Not at all
2
3
4
5
Perfectly
24
Q

the vertical radiopaque partition that divides the nasal cavity

A

nasal septum

How well did you know this?
1
Not at all
2
3
4
5
Perfectly
25
dense radiopaque band of bone above maxillary incisors
floor of the nasal cavity
26
v-shaped radiopaque area located at the intersection of the floor of the nasal cavity and the nasal septum
anterior nasal spine
27
diffuse radiopaque projection within the nasal cavity
inferior nasal conchae
28
the radiolucent area above the apices of the maxillary premolars/molars OR septa within the maxillary sinus
maxillary sinus and floor of the maxillary sinus
29
intersection of maxillary sinus and nasal cavity
inverted "Y"
30
radiopaque bulge distal to the 3rd molar region
maxillary tuberosity
31
radiopaque hook-like projection posterior to the maxillary tuberosity
hamulus (hamular process)
32
J or U shaped radiopacity superior to the maxillary 1st molar region
zygomatic process of maxilla
33
diffuse, radiopaque band extending posterior from the zygomatic process of the maxilla
zygoma
34
ring-shaped radiopacity below the mandibular anteriors
genial tubercles
35
vertical radiolucent lines
nutrient canals
36
thick radiopaque band that extends from premolar to incisor region
mental ridge
37
radiolucent area above the mental ridge
mental fossa
38
small ovoid or round radiolucency located in the apical premolar region
mental foramen
39
dense, radiopaque band extending down and forward of the molar region
mylohyoid ridge
40
radiolucent band surrounded by radiopaque border inferior in molar teeth
mandibular canal
41
radiopaque band extending down and forward from the ramus
internal oblique ridge (line)
42
radiopaque band extending down and forward from the ramus superior to the internal oblique ridge
external oblique ridge
43
radiolucent area in the molar region below the mylohyoid ridge
submandibular fossa
44
triangular radiopacity superimposed or inferior to the maxillary tuberosity
coronoid process
45
radiopacity posterior and inferior to the TMJ area
mastoid process (of temporal bone)
46
radiopaque spine anterior to the mastoid process
styloid process
47
opening in the temporal bone superior and anterior the the mastoid
external auditory meatus
48
radiopacity superior to the mandibular condyle
glenoid (mandibular) fossa
49
rounded radiopaque bone anterior to the glenoid fossa
articular eminence (tubercle)
50
radiopaque, bony projection distal to maxillary tuberosity region
lateral pterygoid plate
51
radiolucent area between the lateral pterygoid plate and maxilla
pterygomaxillary fissure
52
radiopaque bulge distal to the third molar
maxillary tuberosity
53
radiolucency inferior to the orbit
infraorbital foramen
54
radiolucent compartment with radiopaque borders superior to the maxillary sinuses
orbit
55
radiolucency between the root of the maxillary central incisors
incisive canal and foramen
56
v-shaped radiopacity at the intersection of the nasal floor and nasal septum
anterior nasal spine
57
radiolucent area above the maxillary incisors
nasal cavity
58
vertical radiopaque partition that divides the nasal cavity
nasal septum
59
horizontal radiopaque band superior to the apices of the maxillary teeth
hard palate
60
paired radiolucencies above the maxillary premolars and molars
maxillary sinus
61
J or U-shaped radiopacity superior to the maxillary 1st molar region
zygomatic process of the maxilla
62
radiopaque band extending posteriorly from the zygomatic process
zygoma
63
radiopaque hook-like projection posterior to the maxillary tuberosity area
hamulus
64
rounded radiopaque projection extending from the posterior border of the ramus
mandibular condyle
65
radiopaque concavity distal to the coronoid process
coronoid notch
66
triangular radiopacity posterior to the maxillary tuberosity
coronoid process
67
round or ovoid radiolucency centered within the ramus
mandibular foramen
68
radiopacity anterior to the mandibular foramen
lingula
69
radiolucent band outlined by the radiopaque lines
mandibular canal
70
ovoid or round radiolucency apical to the premolar region
mental foramen
71
horseshoe-shaped bone in the neck
hyoid bone
72
radiopaque band from the premolar to the incisor regions
mental ridge
73
radiolucent area above the mental ridge
mental fossa
74
ring-shaped radiopacity anterior ro the mandible
genial tubercles
75
the radiopaque band that outlines the lower border of the mandible
inferior border of the mandible
76
radiopaque band that extends down and forward from the molar region
mylohyoid ridge
77
radiopaque band that extends down and forward from the ramus
internal oblique ridge
78
superior to internal oblique ridge
external oblique ridge
79
radiopaque bony structure where ramus joins the body of the mandible
angle of the mandible
80
radiolucent band above the apices of the maxillary teeth
palatoglossal air space
81
radiolucency superior to the radiopaque shadow of the soft palate and the uvula
nasopharyngeal air space
82
vertical radiolucent band that is superimposed over the ramus
glossopharyngeal air space
83
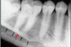
identify the anatomical structure below.
incisive (nasopalatine) foramen
84
identify the anatomical structure below.
median palatal suture
85
identify the anatomical structure below.
canine (lateral) fossa
86
identify the anatomical structure below.
nasal cavity (fossa)
87
identify the anatomical structure below.
nasal septum
88
identify the anatomical structure below.
floor of the nasal cavity
89
identify the anatomical structure below.
anterior nasal spine
90
identify the anatomical structure below.
inferior nasal conchae
91
identify the anatomical structure below.
maxillary sinus and floor of the maxillary sinus
92
identify the anatomical structure below.
inverted "Y" - zygomatic process
93
identify the anatomical structure below.
maxillary tuberosity
94
identify the anatomical structure below.
hamulus (hamular process)
95
identify the anatomical structure below.
zygomatic process of the maxilla
96
identify the anatomical structure below.
zygoma
97
identify the anatomical structure below.
genial tubercles
98
identify the anatomical structure below.
nutrient canals
99
identify the anatomical structure below.
mental ridge
100
identify the anatomical structure below.
mental fossa
101
identify the anatomical structure below.
mental foramen
102
identify the anatomical structure below.
mylohyoid ridge
103
identify the anatomical structure below.
mandibular canal
104
identify the anatomical structure below.
internal oblique ridge (line)
105
identify the anatomical structure below.
external oblique ridge (line)
106
identify the anatomical structure below.
submandibular fossa
107
identify the anatomical structure below.
coronoid process