What parasite causes American trypanosomiasis? What is it’s vector?
The image below represents keratin debris located superficially in the conjunctiva. What is this called? What condition is it associated with?

The image below depicts retinal phakomas (astrocytic retinal hamartomas) which are present in the minority of patients with this condition:

Tuberous sclerosis
*These usually don’t require treatment because they don’t affect vision
**There are three types of retinal phakomas; one type is referred to as the “mulberry lesion”
List the four disorders that fall under the spectrum of keratosis pilaris atrophicans.
*Image: cheek of a boy with atrophoderma vermiculatum (“wormlike atrophy of the skin”)

What is the eponymous syndrome that refers to the chronic granulomatous conjunctivitis and pre-auricular adenopathy that occurs with cat scratch disease of the eye?
Oculoglandular syndrome of Parinaud
What is the name of the skin test for cat scratch disease?
Hanger and Rose test
*Note this is rarely used because the diagnosis of cat scratch disease is usually made clinically.
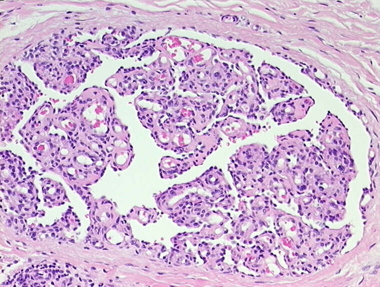
Glomeruloid hemangioma can be seen in healthy patients, but is also known to be associated with several conditions. List four disease associations.
*Image: dilated capillaries within a lumen, simulating the appearance of a renal glomerulus.

What type of gammopathy is erythema elevatum diutinum associated with?
IgA gammopathy
*Note: recurrent strep infections can also flare the disease
List seven diseases that erythema elevatum diutinum has been associated with.
What is the name for an acquired unilateral nevus of Ota?
Sun’s nevus
What organism causes tinea nigra?
Hortaea werneckii
This disease is characterized by small white to pinkish papules that occur diffusely in the oral cavity. It occurs most commonly in Native Americans, in Greenland, and in Turkey and HPV-13, 24, and 32 have been associated.
Heck’s disease
*Note: the lesions may spontaneously resolve.
**Note: treatment options include cryosurgery, CO2 laser, electrosurgery, and topical (β), intralesional, and systemic IFN.
Erythema palmare is usually most marked on the hypothenar areas, and is associated with elevated levels of estrogen. What are the three most common causes of elevated estrogen in this condition?
How often does erythema multiforme minor involve the mucosa?
About 25% of the time, and generally only the oral mucosa
How long do the episodes of erythema multiforme minor typically last?
1-4 weeks
Other than HSV, what infection is commonly associated with erythema multiforme minor and SJS?
Mycoplasma infections
What percentage of cases of erythema gyratum repens is associated with internal malignancy? What is the most commonly implicated malignancy?
By what time period dose erythema gyratum repens usually preceed the associated malignancy (if there is one)?
By about 9 months! All patients with erythema gyratum repense should be extensively investigated for malignancy
What HPV type is associated with giant condylomas of Buschke and Lowenstein?

HPV6
*Giant condylomas of Buschke and Lowenstein are virally induced verrucous carcinomas. Not all verrucous carcinomas are virally induced.
What is the name of the sign where a pilomatricoma is stretched, revealing many facets and angles?
Tent sign
List four diseases that are associated with mulitple pilomatricomas.
*Note: rarely multiple pilomatricomas will be inherited in an autosomal dominant fashion with no disease associations.
What disease is associated with epidermoid cysts that show pilomatrical differentiation?
Gardner syndrome
What word describes “split ends” (i.e. splitting of hairs at the ends)?
Trichoptilosis
What type of monoclonal gammopathy has been associated with pyoderma gangrenosum?
IgA gammopathy (10% of patients)