RBC Morphology Quick Recall Flashcards

(15 cards)

1
Q
A

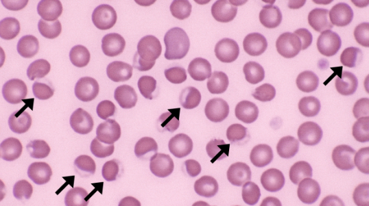
polychromatophils
indicative of regenerative response

How well did you know this?
1
Not at all
2
3
4
5
Perfectly
2
Q
A

acanthocytes

indicative of change in lipid composition in the cell membrane OR fragmentation injury

How well did you know this?
1
Not at all
2
3
4
5
Perfectly
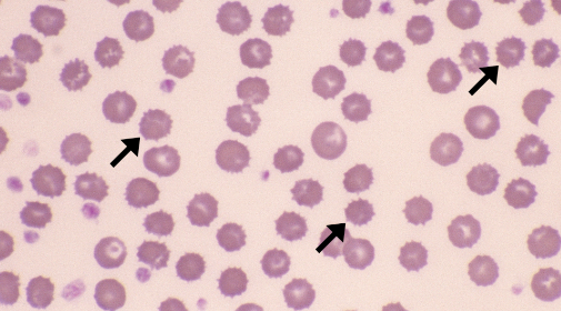
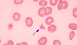
3
Q
A

keratocyte

indiciative of mechanical injury/fragmentation injury/shearing of RBCs, often accompanied by schizocytes

How well did you know this?
1
Not at all
2
3
4
5
Perfectly
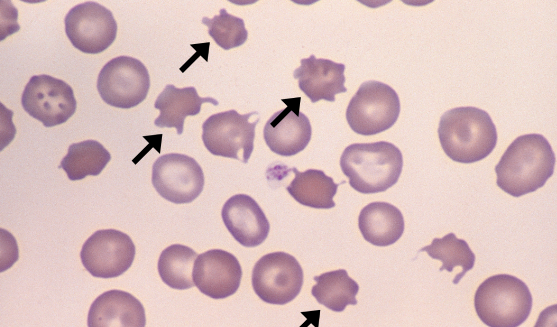
4
Q
A

schizocyte

indicative of mechanical red cell injury/fragmentation/shearing

How well did you know this?
1
Not at all
2
3
4
5
Perfectly
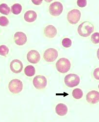
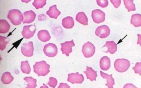
5
Q
A

spherocyte

indicative of IMHA

How well did you know this?
1
Not at all
2
3
4
5
Perfectly
6
Q
A

echinocytes

usually an artifact of drying, usually no clinical relevance

How well did you know this?
1
Not at all
2
3
4
5
Perfectly
7
Q
A

eccentrocytes

indicative of oxidative damage

How well did you know this?
1
Not at all
2
3
4
5
Perfectly
8
Q
A

heinz body

indicative of oxidative damage

How well did you know this?
1
Not at all
2
3
4
5
Perfectly
9
Q
A

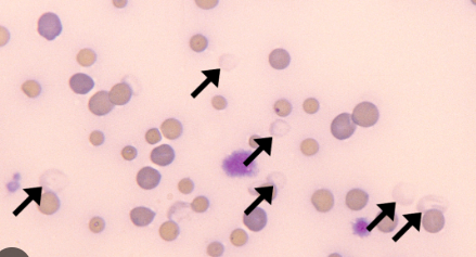
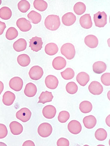
howell-jolly bodies

remanant of the RBC nucelus, may be indicative of a regenerative response

How well did you know this?
1
Not at all
2
3
4
5
Perfectly
10
Q
A

basophilic stippling

aggregation of RNA, indicative of a regernative response or lead poisoning

How well did you know this?
1
Not at all
2
3
4
5
Perfectly
11
Q
A

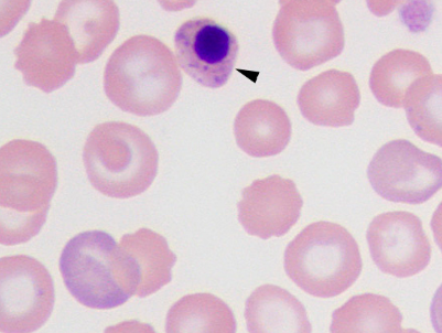
metarubricyte

nucelated RBC, indicative of regernative response

How well did you know this?
1
Not at all
2
3
4
5
Perfectly
12
Q
A

hypochromasia

indicative of an iron deficiency anemia, copper deficiency, inherited condition, lack of hemoglobin production

How well did you know this?
1
Not at all
2
3
4
5
Perfectly
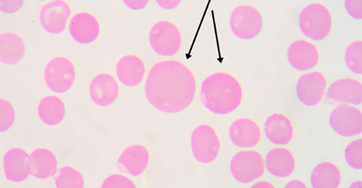
13
Q
A

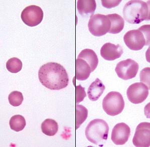
macrocyte

indicative of regeneration

How well did you know this?
1
Not at all
2
3
4
5
Perfectly
14
Q
A

agglutination, indicative of IMHA

How well did you know this?
1
Not at all
2
3
4
5
Perfectly
15
Q
A

ghost cells
indicative of intravascular hemolysis

How well did you know this?
1
Not at all
2
3
4
5
Perfectly