SESATS General Thoracic Flashcards

(133 cards)

1
Q

What is a pulmonary arteriovenous malformation (PAVM)?

A

anomalous communication between PA and PV causing R-to-L shunt of blood through the lung -> dyspnea, clubbing, cyanosis, hemoptysis, hemothorax, stroke, cerebral abscess, TIAs

How well did you know this?
1
Not at all
2
3
4
5
Perfectly
2
Q

What is the treatment for PAVMs?

A

embolization is preferred; all of them

How well did you know this?
1
Not at all
2
3
4
5
Perfectly
3
Q

What is the most common cause of PAVMs?

A

hereditary hemorrhagic telangiectasia

How well did you know this?
1
Not at all
2
3
4
5
Perfectly
4
Q

Manage healthy clinic pt here for redo fundoplication. She has weight loss and dysphagia. Endoscopy shows tight wrap and mesh erosion into the stomach esophagus. What is the management?

A

Erosion is extensive.

Resect the GE jct and mesh. Reconstruct in roux-en-y fashion to control reflux (though expect more weight loss).

How well did you know this?
1
Not at all
2
3
4
5
Perfectly
5
Q

When should chest wall stabilization for traumatic chest wall injuries be considered?

A

3 or more displaced rib fxs
Flail segment
Failure of optimal med mgmt
Thoracic surgery for another reason

Early plating 24-72 hrs shows reduced inflammation, hemothorax, empyema, and early callous. If ventilated, may reduce vent days, ICU days, and hospital cost.

> 65 yo have reduced M&M from rib fx, improved mechanics, and earlier return to fct.

How well did you know this?
1
Not at all
2
3
4
5
Perfectly
6
Q

Most common congenital chest wall abnormality?

A

Pectus excavatum

How well did you know this?
1
Not at all
2
3
4
5
Perfectly
7
Q

How is the Haller index for pectus excavatum obtained?

What is usually the cutoff?

A

Distance from the inner surfaces of lateral ribs.
Distance from the posterior sternal table to anterior vertebral body at point of maximal depression.
Index = transverse measurement/AP measurement.

3.25 usually accepted cutoff for surgeons/insurance.

How well did you know this?
1
Not at all
2
3
4
5
Perfectly
8
Q

What is the mechanism of dyspnea in pectus excavatum?

A

Decreased RV filling.

PFTs don’t usually improve.

How well did you know this?
1
Not at all
2
3
4
5
Perfectly
9
Q

For Nuss technique for pectus excavatum, when should strut be removed?

A

after 3 yrs

How well did you know this?
1
Not at all
2
3
4
5
Perfectly
10
Q

A pt w/ penetrating lung injury has a through and through injury with active bleeding. What can provide best exposure for control of vascular/airway injuries?

A

tractotomy

How well did you know this?
1
Not at all
2
3
4
5
Perfectly
11
Q

Pleural well-marginated nodule growing gets wedge showing spindle cell neoplasm.
What is dx?
What is tx?
Predictor of metastatic potential?

A

Solitary fibrous tumor of the pleura - malignant potential and will continually grow.
Needs resection w/ simple negative margin.
Yearly CT surveillance.
Systemic therapy if systemic disease.
Metastatic potential: >4 mitoses/10 hpf.

How well did you know this?
1
Not at all
2
3
4
5
Perfectly
12
Q

Pure GGO on CT scan of chest. When should wedge resection be done?

A

Grow over time (usually slow), and reach at least 8-10 mm.

Almost zero risk of regional or distant mets - no urgency to resect. So monitor until those thresholds.

How well did you know this?
1
Not at all
2
3
4
5
Perfectly
13
Q

Lung adeno w/ invasive component <5mm (ie 5mm solid component on CT) are termed what?
What kind of risk do they have?

A

Minimally invasive adenocarcinoma if <5mm solid.
Low risk of nodal mets and high cure chance w/ surgery.
Many would recommend segmentectomy.
*Know solid component size in lung adeno.
*If >5mm, risk increases to those of traditional “solid” cancer.

How well did you know this?
1
Not at all
2
3
4
5
Perfectly
14
Q

A patient w/ effusion has high protein, low glucose, and high ADA. No organisms. What’s next?

A

Could be tuberculosis. Should confirm with VATS pleural biopsy - 80% yield on histopathology.
Usually don’t require chest tube drainage.
Pleural drainage is only to relieve sx.

How well did you know this?
1
Not at all
2
3
4
5
Perfectly
15
Q

NSCLC involving main PA. What can be done?

A

Pneumonectomy can be avoided w/ lobectomy and PA resection and reconstruction.

How well did you know this?
1
Not at all
2
3
4
5
Perfectly
16
Q

A patient with superior sulcus NSCLC tumor has invasion of the subclavian artery. What is the management?

A

Induction chemoradiation, lobectomy with en bloc resection of the subclavian with reconstruction.

How well did you know this?
1
Not at all
2
3
4
5
Perfectly
17
Q

A patient w/ severe emphysema is undergoing BL lung volume reduction surgery. She has no cardiac problems. She is induced, and ventilation is started. Blood pressure falls. EKG shows NSR. There is no tracheal deviation. Breath sounds are faint bilaterally. What happened?
How do you manage?

A

Emphysema -> compliant lungs -> positive pressure causes filling to capacity -> air trapping/auto-PEEP -> restricted venous return -> hypotension -> PEA.

Allow lungs to deflate: disconnect the ventilator.
Vent strategy: reduced pressures and long expiratory time.

How well did you know this?
1
Not at all
2
3
4
5
Perfectly
18
Q

Criteria for lung transplant for COPD?

A

FEV1 <20% predicted
DLCO <20% predicted or homogenous emphysema
BODE score >7
Hospitalization for hypercapnia w/ pCO2 >50
Pulm HTN

How well did you know this?
1
Not at all
2
3
4
5
Perfectly
19
Q

A pt s/p pneumonectomy presents w/ cough, fever, and CT scan that shows fluid loss/dec air fluid levels from previous. What is dx and tx?

A

Late BPF.
Protect remaining lung (ie avoid aspiration) - urgent tube drainage and elevation of functional lung.
Bronchoscopy will give dx after this.
May eventually require OR repair.

How well did you know this?
1
Not at all
2
3
4
5
Perfectly
20
Q

Standard first-line of care for metastatic NSCLC w/ PD-L1 expression >50% according to KEYNOTE 024 study?

A

systemic therapy w/ pembrolizumab

How well did you know this?
1
Not at all
2
3
4
5
Perfectly
21
Q

Manage a patient w/ effort thrombosis (painting then psx w/ swollen arm found to have SCV thrombus).

A

Initial anticoagulation and thrombolysis.
Then early first rib resection - includes debridement of the subclavius tendon at the costoclavicular joint and vigorous venolysis w/ resection of the fibrotic tissue around the vein.

How well did you know this?
1
Not at all
2
3
4
5
Perfectly
22
Q

In stage IV lung cancer pts w/ EGFR-mutant tumors, what is the initial recommended therapy?

A

TKI treatment WITHOUT chemo.

In patients who get resection, save TKI treatment in the event of later mets (as opposed to using them as adjuvant), and use standard adjuvant measures even if EGFR mutation is present.

How well did you know this?
1
Not at all
2
3
4
5
Perfectly
23
Q

A blunt trauma pt gets a chest tube and now has a continuous air leak w/ some compromise of ventilation. What next?

A

Flexible bronch identifies injury and can place ETT to mainstem the other side. Then get scan. Then OR for repair of bronchial tree disruption.
Don’t go to CT scanner immediately.
Don’t place more chest tubes.

How well did you know this?
1
Not at all
2
3
4
5
Perfectly
24
Q

For NSCLC in pt w/ pre-resection FEV and DLCO of 40% and nodule size of 1-2 cm, what is the preferred resection?

A

Data shows segmentectomy has better survival compared to wedge.

How well did you know this?
1
Not at all
2
3
4
5
Perfectly
25
If needing to do wedge for NSCLC, what is the resection goal?
2cm or the diameter of the tumor, whichever is greater.
26
How many segments are there total for both lungs? | How many segments does the RML have?
19. | 2.
27
A pt w/ Barrett (w/o dysplasia) undergoes fundoplication. What POSTOP finding is best associated w/ regression of Barrett?
Low esophageal acid exposure. Regression LESS likely in following: postop endoscopy w/ esophagitis suggesting ongoing reflux, recurrent hiatal hernia, long-segment Barrett (>3cm).
28
What is the most accurate way to identify the GEJ in pt undergoing fundoplication for hiatal hernia?
Rugal folds are a reliable landmark for the GEJ. Identify it endoscopically, and mark it laparoscopically. Fat pad is NOT reliable.
29
Manage an infected pleural catheter originally placed for malignant pleural effusion in non-septic and stable pt.
Over 90% can be managed by continued drainage and culture appropriate abx. Duration 3 wks. Majority did not have recurrence. Do NOT remove the catheter, place a big tube, or try to decorticate the cancer laden space.
30
Describe a pulmonary hamartoma on chest CT.
Lobulated nodule with popcorn calcification and a region of fat density. This is benign and can be followed.
31
A patient with a 3 cm pulmonary mass has FNA biopsy showing neuroendocrine markers on immunohistochemistry and cytology. What is the differential?
Carcinoid, atypical carcinoid, SCLC, and large cell NET. It is particularly difficult to distinguish typical/atypical carcinoid and SCLC. Clinical history is important - heavy smokers are more likely to have SCLC.
32
Risk of nodal disease of T1b esophageal cancer?
21-24%. EMR can be offered if low risk - adenocarcinoma that is well-diffx, no lymphovascular invasion, <3cm. If this comes back w/ positive margin, move to esophagectomy.
33
In an empyema pt who is a poor surgical candidate, what can be added to chest tube drainage and abx to improve success?
DNase AND t-PA reduced need for surgery from 16 to 4%. DNase alone increased surgical referral from 16 to 39%. Streptokinase alone did not make a difference.
34
Most common neurogenic tumor in mediastinum?
Schwannoma
35
What is the treatment for mediastinal neurogenic tumors?
Complete surgical excision. Get MRI first to check for extension into the neural foramina. They are benign, so rarely recur. Adjuvant therapy rarely indicated. Radx not effective.
36
Asymptomatic esophageal submucosal lesion differential? | How do you manage?
Usually leiomyoma, but can also be GIST. Asymptomatic w/o concerning findings - observe*. Symptomatic - enucleation. Large symptomatic lesions difficult to resect - FNA. *used to resect all of these, but review by Codipilly showed little change over long observation periods
37
Young African American female presents w/ hilar LAD and BL reticular pulmonary opacities. What is the suspicion, and how do you confirm?
Sarcoidosis. | EBUS and bx.
38
Second most common primary tracheal malignancy?
Adenoid cystic carcinoma (salivary gland type). | Insidious submucosal growth, perineural and lymphatic spread.
39
Best way to manage R1 disease after resection of tracheal ACC?
Radiotherapy. Best treats microscopic submucosal disease. The ideal chemotherapy has not been determined, and there aren't standard guidelines. This is reserved for metastatic and progressive disease.
40
Most common cause of malignancy deaths post-transplant? | Second most?
Non-melanoma skin cancer. | PTLD.
41
What is PTLD associated with? What transplant pts are higher risk? How do you ppx?
EBV. EBV-seroNEGATIVE recipients pre-transplant who get EBV-positive donation. Ganciclovir should be given to above pts.
42
How do you treat PTLD?
Initial tx for early lesions (polyclonal B cells proliferation w/ malignant transformation) - decrease immunosuppression and allow cytotoxic T-cell recovery. Improvement in 3-5 wks if pt can tolerate. Pt cannot tolerate immunosuppx reduction or CD20+ PTLD - riuximab. Refractory pts or those w/ EBV-/CD20- - chemo w/ cyclophosphamide, doxorubicin, vincristine, prednisone. Involvement of central nervous system and localized - radiation. A subset can get surgery.
43
In patients with septic lung disease (ie CF), do you offer a single or double lung transplant?
Double - concern that a single lung allograft will be infected d/t spillage from the contralateral.
44
A CF w/ low FEV is diagnosed w/ Burkholderia cepacia complex. What is the significance?
This is a virulent organism that may preclude from transplant candidacy. Associated w/ decreased graft fct and increased post-transplant mortality. It is unlikely to resolve w/ treatment, and the airways are likely to never be cleared.
45
In reference to neurogenic tumors of the posterior mediastinum, what are dumbbell tumors?
Extension through the foramen into the spinal canal. Surgical resection is treatment. Need neurosurgery for single-stage hemi-laminectomy and thoracotomy. * Indolent w/ local progress w/o dissemination. * Chemo and radx aren't effective.
46
What is used as the primary treatment modality for chest wall sarcomas to achieve optimal local control and long-term oncologic survival?
Chemo with or without radiation. Tumor grade is a surrogate of cancer biology and is a worse predictor for outcomes than a positive surgical margin. If resecting, aim for 2-4 cm margin. Be at a center of excellence.
47
CT chest shows 10cm fluid filled mediastinal mass in R chest adjacent to esophagus. Endoscopy shows normal esophageal mucosa w/ extrinsic compression. What is dx? Tx?
Esophageal duplication cyst. Consider for resection, especially if symptoms. EUS drainage -> infection. Marsupialization -> recurrence.
48
In a patient with a known peripheral lung cancer without PET findings of distant spread, what additional symptoms may require further workup?
Localized musculoskeletal pain. Especially unilateral chest wall or back pain - 90% sensitive for chest wall involvement in peripheral tumors. MRI may be required.
49
Best method to determine if the amount of trachea involved by a tumor can be resected?
Bronchoscopy. Rigid can determine length and assess airway quality. * CT can help determine extra-luminal extent. * PET can determine nodal/distant spread. * MRI can determine if vascular involvement.
50
A chest wall resection and reconstruction patient presents w/ delayed PTFE patch infection under a viable lat flap. Manage this. What to do with lat flap? Any more recon material needed?
IV abx and drainage of infected fluid. Drainage is for sx relief and micro ID. It will not resolve this on its own. Surgically remove the patch and cover it with the previous lat flap. Additional recon material usually isn't required, as there is a fibrotic rind. Additional recon may be needed if chest wall instability. Bio material may be useful in early infection requiring resection of the PTFE.
51
Diagnose and treat eosinophilic esophagitis.
Endoscopic biopsy shows >40 eosinophils per HPF. Ringing and furrowing on endoscopy are also typical. Tx w/ PPI and topical steroids (steroid inhalers discharged into mouth then swallowed). Wash out mouth to limit oral candidiasis.
52
How do you manage post-thymectomy metastases localized to one area (pleural implants)?
Resect. 5 yr survival of 43%. | If can't tolerate reop thoracic surgery, give stereotactic ablative therapy.
53
Manage a mycetoma.
Definitive treatment for aspergilloma is surgical resection. Active infection w/ TB must be ruled out first (sputum AFB, culture, TB PCR). This is a complication of TB. Aspergillomas grow in the cavities TB creates. RIPE is standard tx for TB.
54
What is Doege-Potter syndrome?
A pt w/ a pleural based mass (solitary fibrous tumor) and neurologic symptoms d/t hypoglycemia.
55
What is the mechanism for Doege-Potter syndrome?
Solitary fibrous tumors of the pleura -> secrete insulin-like growth factor 2 -> hypoglycemia -> neurologic symptoms of hypoglycemia
56
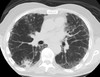
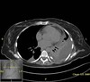
Old man psx w/ confusion and glucose 03 mg/dL. He's a smoker. CT shown. Diagnose and manage.
Solitary fibrous tumor of the pleura w/ Doege-Potter paraneoplastic syndrome. Resect. Usually attached by narrow stalk despite large size. * Arise from mesenchymal cells adjacent to the mesothelium-lined pleura. * Can cause paraneoplastic syndrome w/ release of insulin-like GF2 -> hypoglycemia and neuro sx (Doege-Potter).
57
Describe ideal pt for diaphragmatic pacing.
Upper motor neuron injury and preservation of phrenic nerve (ie lower motor neuron preservation documented proof). Ex. pt w/ spinal cord injury above C3, vent dependent >3 mo.
58
What are the options for approaches for diaphragmatic pacing?
Cervical - place just below scalene fat pad bilaterally. Can do both at once, but risk brachial plexus stim -> upper ext jerking Thoracic - VATS staged procedure. Isolated at midportion. Diaphragmatic - laparoscopic.
59
Most common complication of pneumonia.
Empyema.
60
Empyema pt has CT scan shown after removal of a pigtail catheter that only drained 30cc after 7 days. Plan?
High degree of pleural thickening, loculation, and long length of symptoms. Chest tube won't work. Intrapleural fibrinolytics won't work for complicated effusions/empyemas. Can be used to temporize. VATS decort is first-line, and there is benefit over open thoracotomy - better pain control, less blood loss, less resp compromise, shorter hospitalization, fewer postop complications, less 30-day mortality.
61
Older male psx w/ occasional diplopia. BL ptosis on noted. | Diagnosis and next step?
Myasthenia gravis. Get CT chest - look for thymoma. * Can also have bulbar manifestations - dysphagia, dysarthria, limb weakness, weakened respiratory muscles. * Ab against ACh receptors disrupting neuromuscular transmission. * Lab dx: serologic test for auto-ab (AChR-Abz), or receptor-associated protein, muscle-specific tyrosine kinase (MuSK-Ab) can be dx. * If labs neg, electrodiagnostics (repeated nerve stim and single-fiber electromyography) can help dx.
62
Describe a left thoraco-abdominal incision/exposure for aneurysm repair.
Right lateral decubitus. Incise from 2cm below tip of L scapula to a point in the middle of the abdomen b/w the xiphoid and umbilicus. Can spare lat. Divide serratus anterior. Enter chest at 7th or 8th intercostal space. Take down IPL, and retract lung. Make a circumferential incision on the diaphragm w/ cautery 1-2 cm from attachment to the chest wall - widest exposure, doesn't injure phrenic. Can remove a portion of costochondral cartilage to prevent costochondritis.
63
Where are the phrenic nerve and its neurovascular bundles on the diaphragm? How does this affect planned incisions on the diaphragm?
L phrenic enters just anterior to central tendon. Splits into 4 major divisions: Anterior and posterior trunks. Anterior splits into sternal and anterolateral. Posterior splits into a crural and posterolateral branch. Bundles circle around edges of the central tendon, except at posterolateral edge of tendon. Circumferential incisions at periphery of diaphragm (5 cm from edge of central tendon) result in little loss of function. This provides best exposure. Transverse radial from posterolateral portion of tendon is safe, but not great for exposure, and has higher chance of injury.
64
What is functional heartburn? | How do you diagnose and manage?
Heartburn-like sx w/o objective evidence of abnormal acid exposure (normal DeMeester), physiologic reflux, or motility disorder. Diagnosis of exclusion: EGD, pH test, impedance test, imaging w/o hernia, normal manometry. There will be lack of response to BID PPI. Tx is to alter pain perception - TCAs, SSRIs, trazodone; CBT
65
Pt w/ BMI >40 and proven severe GERD desires surgery. What do you offer?
Weight loss regimen, and schedule for Roux-en-Y bypass if BMI remains >40.
66
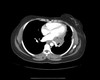
Pt w/ mediastinal non-seminomatous GCT has marked response to therapy and undetectable AFP and HCG. CT is below. What next?
Resect the persistent mass - could be nonseminomatous GCT or teratoma w/ potential malignant transformation. * Elevated tumor markers don't preclude surgery * 1st line after initial dx: systemic chemo w/ bleomycin, etoposide, cisplatin vs etoposide, ifosfamide, and cisplatin. Most will have a residual mass after tx. * No need for repeat bx. Radiation and salvage have limited roles.
67
A young patient w/ severe ILD is set to undergo BL lung txp, but has deterioration requiring intubation. He cannot be weaned. What may be the best next step in terms of outcomes?
VV ECMO via R IJ dual-lumen cannula can allow extubation and participation in physical therapy to improve outcomes.
68
The strongest risk factors for the development of EAC?
``` Advanced age. Male sex (6x more than women). ``` * GERD and Barrett's only progress in a small percentage. * BMI >30 is 2x more likely than BMI <25.
69
Endoscopic surveillance of Barrett's esophagus?
Depends on dysplasia... No dysplasia: 3-5 yrs. Low grade: 6-12 mo. High grade w/o treatment: 3 mo.
70
Describe TNM staging for thymoma.
T is determined by degree of invasion (not size): T1: no invasion. T2: pericardium. T3: other resectable local structures (SVC, phrenic, lung). * Resection status (R1 vs R0 vs R2) is not a component of the staging system but can be a part of the T staging. Ie positive margins on the innominate = T3. * WHO classification is a histological classification based on the proportion of lymphocytic cells and epithelial neoplastic cells.
71
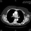
Young male presents w/ CT shown below. What should be done as workup?
AFP and HCG ordered. If positive, no biopsy needed - NSGCT. If negative, do mediastinTOMY vs Chamberlain. *MediastinoSCOPY is not helpful as you are in the pretracheal plane in the middle mediastinum.
72
What is a major treatment difference in treating NS-GCT vs seminoma?
Seminoma can receive EBRT if not candidate for chemo.
73
Old male has progressive dysphagia over years w/ weight loss. EGD shows "multiple white exophytic lesions over a long length of distal esophagus," and biopsies show "acanthosis, hyperkeratosis, inflammation, scant fungal elements." Antifungal agents have failed to treat. CT scan is negative. EUS did not show any mass. Diagnosis and tx?
Verrucous carcinoma of the esophagus. Rare. Tx is esophagectomy if localized. If the disease advances, chemo and radiation can be useful.
74
Treat SCJ infection. MRI below. Risk factors: DM, trauma, IVDU.
Surgical resection of necrotic/infected tissue AND the underlying joint (part of manubrium and clavicle) and IV abx. Keep wound open or w/ NPWT. Pec muscle can be used when the wound is clean.
75
Esophageal cancer most likely genetic mutation associations?
EAC: ERBB2, KRAS, EGFR, SMAD4 VEGFA. ESCC: PTEN, RB1, FGFR1, NOTCH1 These mutation differences highlight the risk factor, geographical, and anatomic differences. The breadth of types of mutations highlights the chronicity with which they develop.
76
Most common cause of descending necrotizing mediastinitis? Dx study? Mgmt?
Odontogenic infection (particularly abscesses of 2nd or 3rd molar). Can also be assd w/ peritonsillar abscess, parotid or thyroid infection, IVDU, cervical lymphadenitis, trauma. CT w/ IV contrast is diagnostic. Add gastrograffin study if perf suspected. Tx is aggressive operative drainage in addition to IV abx. Can get a large amount via cervical approach but may need transthoracic if below carina.
77
For diagnosis of esophageal perforation, what are the strengths and weaknesses of fluoroscopic swallow study vs CT swallow study?
CT - very sensitive and can rule out, adds information about additional structures nearby. Good if differential is broad. Fluoro - may actually be less sensitive but gives better localization for operative planning.
78
Pt presents w/ progressive dyspnea and fatigue with minimal risk factors. CT shown below - mixed attenuation densities throughout the mediastinum w/ associated calcification and extrinsic compression of main pulm vessels. What is this? How do you treat?
Fibrosing or sclerosing mediastinitis. Rare. Progressive inflammatory process. Assd w/ prior Histoplasma capsulatum (fungal dz in Ohio/Miss river valley) infection. IgG4 is in biopsies. Steroids can help, but the tx is often palliative. Stents are the treatment of choice if surgery is needed.
79
Finishing a bilateral lung txp, and the patient develops ST elevations in lead II w/ non-sustained v-tach. There is hypokinesis of the inferior wall. What happened? What do you do?
Residual air in the left atrium embolized to R coronary. Should have deaired better w/ pt in Trendelenburg. Continue to support the patient w/ Trendelenburg and pressors. No need for heart cath.
80
Intraop, a pt is found to have ipsilateral parietal pleural mets from lung cancer. What do you do?
No resection. VATS pleurodesis. Treat actionable mutations.
81
A stage IV lung cancer pt has EGFR mutation, what can be used?
Osimertinib. First line for stage IV EGFR cancer pts (FLAURA trial).
82
Lung cancer pt is medically inoperable, so SABR (stereotactic ablative radiotherapy) is chosen. What is the strongest contraindication/ strongest predictor of adverse events?
Pulmonary fibrosis/interstitial lung disease (CT). 30-50% radiation pneumonitis. 6% w/ fatal complications. * Can be used for SCC or Adeno. High SUV is a poor prognostic sign but may be independent of SABR. * Can be used in node neg tumors up to 5cm.
83
Dominant histological subtype of lung adenocarcinoma most at risk for lymph node mets or local recurrence following sublobar resection? Treatment implication for small (<2 cm) lesions?
Micropapillary and solid subtypes = bad. Should probably do a proper lobectomy rather than sublobar even if otherwise a candidate. *Lepidic are often non or minimally invasive and are rarely associated w/ lymph node spread. Acinar and papillary also have better prognosis than micropapillary and solid.
84
Manage a T1N0M0 SMALL CELL carcinoma.
Surgical resection is treatment of choice.
85
Wedge resection of 2 cm pulmonary mass shows negative lymph nodes and adenocarcinoma. Path: predominantly non-invasive lepidic pattern w/ <5mm focus of invasion and 2cm margins. Interpret these findings and manage.
Pathological staging is based upon invasive component, not size on CT scan (that's the clinical stage). Predominantly non-invasive w/ <5mm of invasive component = minimally invasive adenocarcinoma. Unlikely to spread. Survival approaches 100% when completely excised. No further management or workup needed. Pt should enter surveillance.
86
Pt w/ hx of chronic reflux is s/p neoadj for T3N1 esophageal adenocarcinoma is undergoing trans hiatal esophagectomy. During mediastinal dissection, there is loss of ETCO2 w/ difficulty ventilating, though oxygenation is stable at the moment. What happened? How do you manage?
Adhesions can form in the mediastinum from nodal disease or chronic reflux -> adherence to posterior membranous trachea. Chemotherapy and radiation compound this issue w/ cytoreduction of nodes, leaving dense fibrous tissue -> tracheal injury during mediastinal dissection. Determine severity: If small and tidal volumes along w/ ventilation and oxygenation are maintained, can continue. Stomach may be able to buttress injury. If loss of ventilation, bronch to locate injury (typically at carina), then L mainstem ETT (carina is managed via R thoracotomy), then thoracotomy, and attempt primary repair. If cannot primarily repair, do pericardial patch.
87
Define esophageal achalasia according to the Chicago Classification of Esophageal Motility Disorders.
1. Impaired relaxation of the LES (HRM bottom lines shows pressure throughout) 2. Absence of effective peristalsis (3 types seen on HRM): - [A] absent peristalsis and negligible pressurization within the esophagus (classic) - [B] absent peristalsis and pan-esophageal pressurization - [C] rapidly propagating or spastic simultaneous contractions within distal esophagus for 20% of swallows
88
A patient EARLY s/p esophagectomy w/ cervical anastomosis psx w/ neck drainage and foul breath. Barium swallow shows small leak at anastomosis. Pt is NOT sick. Manage?
Urgent: Open the wound at bedside, pack it, drain it. Tube feeds. Abx only if systemic signs. Have the patient drink water to evaluate the leak at bedside.
89
A patient EARLY s/p esophagectomy w/ cervical anastomosis psx w/ neck drainage and foul breath. Barium swallow shows small leak at anastomosis. Pt is NOT sick. The wound is opened at bedside, and the patient is instructed to drink water to evaluate the wound. There is a MASSIVE leak. Next?
Endoscopy to determine extent of necrosis. If >2/3, go to OR: take down anastomosis, create cervical esophagostomy and preserve the gastric conduit. Preserve ALL viable esophageal tissue. Primary repair is unlikely d/t loss of the tip of the stomach. *same mgmt as septic pt
90
A patient EARLY s/p esophagectomy w/ cervical anastomosis psx w/ neck drainage and foul breath. Barium swallow shows small leak at anastomosis. Pt is SEPTIC. Manage.
IV abx. Go to OR: take down anastomosis, create cervical esophagostomy and preserve the gastric conduit. Preserve ALL viable esophageal tissue.
91
A patient EARLY s/p esophagectomy w/ cervical anastomosis psx w/ neck drainage and foul breath. Barium swallow shows small leak at anastomosis. Pt is NOT sick. The wound is opened at bedside, and the patient is instructed to drink water to evaluate the wound. There is a MASSIVE leak. The pt is taken to the OR for takedown of the anastomosis and cervical esophagostomy (the gastric conduit and viable esophagus have been preserved as much as possible). How do you manage the cervical esophagostomy?
Don't let it stricture down: Early endoscopic monitoring. Early and frequent finger dilations. Early PO.
92
A pt is undergoing definitive chemoradiation for locally advanced esophageal cancer in upper 1/3 of esophagus. He develops coughing with all meals, but can tolerate secretions. There is no dysphagia. What is your suspicion? How do you diagnose?
Trachea-esophageal fistula. | Esophagoscopy.
93
A pt is undergoing definitive chemoradiation for locally advanced esophageal cancer in upper 1/3 of esophagus and develops a trachea-esophageal fistula. How do you manage?
Protect the airway. Goals of care. Esophageal stent. They have become shorter, some are "single flare." Position below cricopharyngeus. May need cervical esophagostomy w/ feeding access after extensive discussion. * There is no palliative esophagectomy. * Prefer esophageal over tracheal stent. Do NOT use double stents. * Relatively uncommon, but lethal/terminal.
94
Describe a patient who may benefit from salvage esophagectomy? What are studies showing trends of?
Initially deemed inoperable (any reason). Treated w/ definitive chemoradiation. Locoregional control (not completely eliminated, eg residual T1 on EUS) Develop significant local complications (eg radiation induced stricture). Evaluation shows no disease spread. *Increased M&M, but increased survival and local control
95
What have European trials shown regarding pylorus management in esophageal resection trials?
Best outcomes: no treatment of the pylorus. | Worst outcomes: Botulinum toxin.
96
What does early gastric outlet obstruction do to the stomach in pts s/p esophagectomy and reconstruction? How do you manage?
Results in long-term dilated, poorly functioning stomach. Psx w/ chronic early satiety, regurgitation, weight loss. Endoscope: determine if pylorus is problem by advancing through. If it is difficult, dilate w/ balloon or serial dilators. Usually good long-term outcomes. * No routine use of Botox injection. * Conduit revision may be needed in future.
97
Can salvage esophagectomy be done for pts with metastatic disease (eg liver mets) that has shown improvement?
No.
98
In a pt w/ inoperable distal esophageal cancer causing obstruction, discuss distal feeding options.
If patient can tolerate their own secretions, then a wire should be able to traverse the lesion. Dilate the obstruction, get distal feeding access, and place a stent. G tube is preferred over J tube: less cost, fewer complications, better tolerated, no pump needed.
99
Is a sleeve resection feasible for central pulmonary carcinoid tumor? Even if margins will be close?
Yes. Negative margins are all that's needed. * Atypical tend to be more biologically aggressive, but there is no treatment difference. * Systemic therapy is reserved for advanced or unresectable.
100
What is often the treatment of choice for recurrent malignant effusions with an expandable lung?
Talc pleurodesis.
101
What is often the treatment of choice for recurrent, thin malignant effusions with a NON-expandable lung? Ie a "dry tap" was performed, but the lung did not expand.
Indwelling, tunneled pleural catheter.
102
What is often the treatment of choice for recurrent malignant effusions with a NON-expandable lung and presence of loculations? Ie a "dry tap" was performed, but the lung did not expand, and there were residual loculated collections on CT.
Thoracoscopy. Break up loculations. Recheck if lung is truly trapped. If NOT trapped, do chemical pleurodesis. If trapped, place indwelling tunneled catheter. *Loculations need to be mechanically treated, then you can approach via normal algorithm for recurrent malignant effusion
103
Manage a lower esophageal stricture in a patient with known GERD.
GERD accounts for 70-80% of benign strictures. But still need biopsy to rule out malignancy. High-dose PPI to control acid. Biopsy and dilation (balloon or bougie). * Don't stent. * Fundoplication if recurrence after initial stricture management despite acid control.
104
Best way to rule out diaphragm injury after trauma?
Surgical exploration. Can be done open or laparoscopic (if stable). Can be done through abdomen (usually) or chest.
105
For type III achalasia (rapidly propagating or spastic simultaneous contractions or early contractions within distal esophagus for 20% of swallows), what treatment option should be avoided? What should be considered more when compared to other types of achalasia?
Balloon dilation has worst success for type III - 40% vs 86% if lap Heller is done. POEM may have an advantage d/t ability to extend proximally (use HRM to tailor myotomy) - 98% success vs 85% if LHM done. *Type II (absent peristalsis and pan-pressurization) has best response to treatment.
106
A pt w/ Raynaud's has heartburn responsive to PPIs and dysphagia. HRM shows absent peristalsis and low-normal integrated relaxation pressures. Esophagram shows slow but complete emptying. What is suspicion? How do you confirm?
Suspicion for scleroderma. Confirm true GERD w/ 24-hr pH probe. *POEM and Heller do not work - not true achalasia (absent peristalsis AND inability to relax LES)
107
An older pt presents w/ recurrent pneumonias and a barium esophagram shown below. What is this? What do you do?
Epiphrenic diverticulum. Need to know cause of intra-esophageal pressure. Get HRM, EGD, and CT. * Pulsion diverticulum usually within the last 10 cm of esophagus. * Pathophys 2/2 increased intra-esophageal pressure at EGJ (eg achalasia, cancer, stenosis).
108
What are the NCCN lung cancer screening guideline recommendations?
High risk: >50 yrs and >20 pack-years -> discuss risks/benefits -> LDCT
109
What is end-stage esophageal achalasia signs/definition? | Workup? Management?
Dilated, megaesophagus, sigmoid. Persistent dysphagia after multiple treatments (dilations), complications from prolonged GERD, presence of cancer. Signs of weight loss, malnutrition, and respiratory infection. Esophagram can help decide approach. Treatment is esophagectomy if unsalvageable... However, myotomy can relieve dysphagia even when esophagus is dilated larger than 6 cm (ie megaesophagus) and sigmoidal. Botox can be used as well. Many would attempt myotomy before esophagectomy if esophagus is only dilated.
110
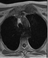
A pt with confusion is seen in ED. Head CT is normal. Chest CT shows this. Ca is 14. What is next step? What is the cause of the lab abnormality?
Treat the hypercalcemia. IV NS at 200-300 ml/hr (adjusted clinically and for UOP 100-150 ml/hr), calcitonin 4 iu/kg IM or SQ, zoledronic acid (bisphosphonate) 4mg. Then workup the lung mass. If no bone mets, hypercalcemia may be a paraneoplastic syndrome from a pulmonary SCC. *Loop diuretics are usually not recommended outside of heart or kidney failure, or fluid overload.
111
An older NSCLC gets preop PET. There is BL hilar and mediastinal PET-avid nodes as well as inguinal lymphadenopathy. The inguinal node bx shows non-necrotizing granulomatous lymphadenitis. What could this mean, and what do you do?
The PET is concerning for diffuse metastatic disease. The inguinal biopsy, however, is benign. Metastasis has NOT been proven, so workup should continue with mediastinal staging (EBUS, IR, mediastinoscopy).
112
For NSCLC mediastinal staging, EBUS is often used. What is the sensitivity? What should it show to be satisfactory? What if it doesn't?
EBUS has 90% sensitivity. Biopsies should demonstrate lymphocytes. If not, mediastinoscopy biopsies are warranted to define treatment plan.
113
A pt meets criteria for hiatal hernia repair and reflux surgery. But wait... she's had a lap hiatal hernia repair before... then an open repair. She's also got COPD and has had multiple pna hospitalizations d/t reflux and aspiration at night. She's also morbidly obese. What should you offer her?
Roux-en-Y GJ reconstruction would allow for definitive reflux control as well as a procedure for her obesity. A redo Nissen will likely fail again, even with mesh and a gastropexy to abdominal wall (e.g., g-tube). Magnetic sphincter augmentation has NOT been proven in redo situations. Belsey Mark IV is another approach, but she has COPD and hx of PNA, so it is not ideal.
114
How can you check for esophageal injury during hiatal surgery? What do you do if it's found?
If any question, do EGD w/ insufflation leak test by putting the esophagus in a pool looking for bubbles. Assess size and location. Most should be able to be repaired primarily in 2 layers and reinforced with either the planned fundoplication, or other tissue (omentum).
115
Older women has progressively worsening dyspnea, rhinorrhea, and mild hemoptysis. CT shows multiple diffuse bilateral lung nodules. Anti-neutrophil cytoplasmic antibody is elevated. What is the diagnosis?
Granulomatosis with polyangiitis (Wegener's granulomatosis). Extrapulm: upper resp symptoms (sinusitis), renal involvement. * Polymyositis - MSK sx and high CK, aldolase * Lymphangioleiomyomatosis - cystic lung disease and PTX * Hypersensitivity pneumonitis - serologic evidence for sensitization to environmental antigens; difficult to dx
116
Newborn infant is asx. Prenatal US found 8 cm thin-walled cyst of lung. What is this? What is workup?
CPAM. CXR in neonatal period (even if appears to resolve on US). CT w/ contrast or MRI by 6 mo to confirm dx and further eval. Tx: high-risk (large size, BL or multifocal, fam hx of PPB, ptx) gets early surgical resection. Low-risk discuss surgery vs observation. If psx w/ resp distress or sx, need contrast CT or MRI - further define lesion and distinguish from other anomalies for preop. Tx: surgical resection and examine for malignancy.
117
NSCLC pt gets PET. Mediastinal node and distant site light up. Which should be biopsied first?
Distal site. Adrenal, bone, brain. This has the most effect on treatment plan. *PET-CT is more sensitive than bone scan. No need to do bone scan if PET already done.
118
Difference b/w Bochdalek and Morgagni hernias?
Bochdalek - posterolateral d/t septum transversum and pleuroperitoneal fold do not fuse correctly, usually seen in infants. Morgagni - d/t failure of fusion of the anterior costal portion of diaphragm w/ sternal portion.
119
Adult has progressive shortness of breath. It is exacerbated by bending over at the waist. CXR shows pockets of air to the right of midline. PFTs normal. Cardiac workup normal. Workup? Diagnosis?
Chest CT to diagnose congenital diaphragmatic hernia. | This will require surgical repair.
120
What does a sniff test diagnose?
Diaphragmatic paralysis (e.g., if phrenics are injured and diaphragm is high on XR).
121
Trauma pt has transmediastinal GSW. He's stable. E-FAST neg. CXR shows small L effusion. Ctb w/ 100 bloody output that stops. No air leak. What should next test be?
CT angio of chest. Would add PO gastrograffin for on-table swallow. If suspicion for airway and still stable -> move to bronch +/- DL If question of esophageal injury and still stable -> move to EGD
122
How do you treat sarcoidosis?
Steroids (prednisone) is usually first line. Biopsies will show non-caseating granulomas in relatively young African American w/ hilar lymphadenopathy. *TB is caseating granulomas
123
CT finds an enhancing middle mediastinal mass in pt w/ severe HTN on multiple meds and mild tachycardia. What is your suspicion, workup, and management?
Paraganglioma (extra-adrenal pheochromocytoma). Plasma and urine catecholamines and metanephrines will confirm. MIBG scan can help diagnose and locate if unclear from scans/labs. Pre-treat w/ alpha blockade, then beta block before surgical resection. Need anesthesia that knows endocrine - be ready with nitro while dissecting, then be ready with fluid and pressors when resected.
124
A pt w/ achalasia undergoes POEM w/ successful tx of dysphagia. He then develops severe reflux w/ high DeMeester score. Swallow shows narrowing at GEJ treated with balloon dilation. What happened, and what is your management?
He developed a stricture after the POEM and GERD. The POEM seems to have worked in terms of the achalasia, so that is managed. The stricture is treated with balloon dilation, so that is managed. The patient still has reflux, which should be treated with MIS partial fundoplication.
125
What will a manometry tell you when working up a patient for magnetic sphincter augmentation?
These patients need good motility. Manometry showing <70% normal peristalsis should NOT get LINX. Do a lap partial fundo instead.
126
You are doing lobectomy and injury the left main bronchus. What do you do?
Deflate balloon and retract DL-ETT. Primary repair w/ simple interrupted absorbable monofilament. Buttress w/ tissue.
127
A couple hours s/p BL lung txp, pt has frothy secretions from ETT. Vent FiO2 is maxed, but pt is hypoxic. CXR shows pulm edema on one side w/ consolidations. Bronch only shows frothy secretions from that one side. PCWP is high. EKG normal. What is happening, and what do you do?
Pulmonary vein anastomosis stenosis. This is less likely w/ atrio-atrial anastomosis, but still possible (ie more likely w/ single lung txp). Do TEE - look for torsion, stenosis, stitch in backwall, thrombosis. Once confirmed, go to OR. Check anastomosis for thrombus that might have occurred. If cuff mismatch, then use donor pericardium to enlarge w/ patch. No role for nitric. If delayed, the lung will infarct in 4-6 hrs and will need to be resected.
128
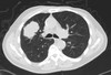
Old pt presents w/ dyspnea and cough. CT is obtained as shown. What do you expect PFTs to look like? Approach to bronch?
Critical airway obstruction. PFTs: flattened inspiratory and expiratory limbs of flow volume loop. Bronch: Induce w/ inhalation or total IV w/o paralysis (maintain spontaneous breathing while reducing coughing - sevoflurane is least irritating). Rigid bronch to traverse lesion, then can paralyze.
129
What is the management of suspected diaphragmatic paralysis?
Dx of exclusion: r/o trauma (surgery), malignancy, neuro causes, rheumatology causes. - CXR shows hemidiaphragm elevation. - PFTs show restrictive pattern w/ dec FEV1 and FVC. FVC can decrease 20% or more when supine. - Sniff test (diaphragm fluoroscopy) shows paradoxical motion. Tx: Wait 6 moths. - Then MIS plication (L side has a laparoscopy option d/t liver being out of the way). *would not do diaphragmatic pacing or pulm rehab for unilateral elevation
130
Ewing's sarcoma recurs in lung (biopsy proven) after >2 yrs s/p neoadj chemoradx and radical resection. She undergoes 1st and 2nd line systemic therapy w/o benefit to these nodules. Next step?
Relapse after disease free interval >2 yrs w/ completely resectable disease should be considered for surgery. * Radiation has lower survival. * Ewing's is rare, but aggressive. Recurrence is 30-40%.
131
A pt w/ advanced metastatic mixed GCT has incomplete response (tx of primary, chemo for mets w/ normalization of AFP hCG, but persistent masses) undergoes multiple wedge resections. All wedges returned mature teratoma or necrosis... except one that showed yolk sac. What's next?
Residual masses after chemo should be excised as in this case. In specimen, if any embryonal, yolk sac, choriocarcinoma, or seminoma elements remain, give two more cycles of chemo (usually platinum based). *Radiation is not usually used for this.
132
Workup Zenker.
Contrast esophagram. | If diagnosed, divide the cricopharyngeus (endo staple or open).
133
What is the treatment for mediastinal neurogenic tumors?
Complete surgical excision. Get MRI first to check for extension into the neural foramina. They are benign, so rarely recur. Adjuvant therapy rarely indicated. Radx not effective.