Shoulder Dislocation Flashcards

(52 cards)

1
Q

What is the percentage of shoulder dislocations that are anterior?

A

95%

Anterior dislocations are the most common type of shoulder dislocation.

How well did you know this?
1
Not at all
2
3
4
5
Perfectly
2
Q

What are common causes of shoulder dislocation?

A

Direct trauma to the arm when extended and externally rotated

This is often seen in contact sports, motor vehicle accidents, or falls.

How well did you know this?
1
Not at all
2
3
4
5
Perfectly
3
Q

List three predisposing factors for shoulder dislocation.

A
  • Ligamentous laxity
  • Previous shoulder dislocation
  • Participation in high-risk activities
How well did you know this?
1
Not at all
2
3
4
5
Perfectly
4
Q

What condition is particularly associated with posterior shoulder dislocation?

A

Electrocution injuries

Posterior dislocations are less common but can occur due to specific trauma.

How well did you know this?
1
Not at all
2
3
4
5
Perfectly
5
Q

What are the common signs and symptoms of a dislocated shoulder?

A
  • Severe shoulder pain
  • Limited range of motion
  • Visible joint deformity
  • Swelling and bruising
  • Arm held in external rotation and abduction (anterior dislocation)
  • Arm held in internal rotation and adduction (posterior dislocation)
How well did you know this?
1
Not at all
2
3
4
5
Perfectly
6
Q

What mnemonic can help remember the position of the arm in a posterior shoulder dislocation?

A

POINTeD

This stands for Posterior, Internal Rotation, ADduction.

How well did you know this?
1
Not at all
2
3
4
5
Perfectly
7
Q

What is a common differential diagnosis for shoulder dislocation that involves pain without joint deformity?

A

Shoulder sprain or strain

Patients may experience pain and limited range of motion without visible deformity.

How well did you know this?
1
Not at all
2
3
4
5
Perfectly
8
Q

What imaging modality is primarily used for diagnosing shoulder dislocation?

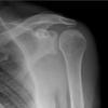
A

Plain radiograph

This will reveal the displacement of the humeral head.

How well did you know this?
1
Not at all
2
3
4
5
Perfectly
9
Q

What is a Bankart lesion and when might it be observed?

A

It may be seen in an anterior shoulder dislocation

A Bankart lesion is a specific type of injury to the shoulder.

How well did you know this?
1
Not at all
2
3
4
5
Perfectly
10
Q

What initial treatment is recommended for a shoulder dislocation?

A
  • Pain management
  • Reduction of the dislocation
How well did you know this?
1
Not at all
2
3
4
5
Perfectly
11
Q

How long should the shoulder be immobilized after reduction?

A

1-3 weeks

How well did you know this?
1
Not at all
2
3
4
5
Perfectly
12
Q

What is the purpose of rehabilitation exercises after shoulder immobilization?

A

To restore range of motion, strength, and function

How well did you know this?
1
Not at all
2
3
4
5
Perfectly
13
Q

What imaging might be used to assess associated injuries after a shoulder dislocation?

A
  • Computed tomography (CT)
  • Magnetic resonance imaging (MRI)
How well did you know this?
1
Not at all
2
3
4
5
Perfectly
14
Q

True or False: A rotator cuff tear presents with visible joint deformity.

A

False

A rotator cuff tear presents with severe pain and weakness but usually lacks the visible deformity typical of dislocations.

How well did you know this?
1
Not at all
2
3
4
5
Perfectly
15
Q

What is the typical position of the arm in an anterior shoulder dislocation?

A

External rotation and abduction

How well did you know this?
1
Not at all
2
3
4
5
Perfectly
16
Q

What type of joint injury is characterized by pain at the top of the shoulder?

A

Acromioclavicular joint injury

How well did you know this?
1
Not at all
2
3
4
5
Perfectly
17
Q

Fill in the blank: The majority of shoulder dislocations occur due to _______.

A

[direct trauma to the arm when it is in an extended and externally rotated position]

How well did you know this?
1
Not at all
2
3
4
5
Perfectly
18
Q

What is the cause of posterior shoulder dislocation?

A

Seizures due to violent, uncoordinated muscle contractions.

The humeral head becomes internally rotated, resulting in the classic “light bulb sign” on AP X-ray, where the humeral head appears rounded and symmetric.

How well did you know this?
1
Not at all
2
3
4
5
Perfectly
19
Q

What are common presentations of a clavicle fracture?

A

Pain and tenderness over the clavicle, swelling and bruising, decreased range of motion in the affected arm, a visible deformity or bump over the fracture site, an audible crack or grinding sound with arm movement

These symptoms help in diagnosing clavicle fractures.

How well did you know this?
1
Not at all
2
3
4
5
Perfectly
20
Q

How are non-displaced or minimally displaced clavicle fractures typically managed?

A

Conservatively with a figure-eight bandage or sling for arm support, combined with pain management and physical therapy for range of motion and strength recovery

This approach focuses on non-invasive treatment methods.

How well did you know this?
1
Not at all
2
3
4
5
Perfectly
21
Q

What is the common surgical intervention for displaced or complex clavicle fractures?

A

Open reduction and internal fixation (ORIF) using plates and screws

This method is used to stabilize the fracture for proper healing.

22
Q

What is the purpose of regular follow-up visits after a clavicle fracture?

A

To monitor healing and manage potential complications, such as non-union, malunion, or hardware irritation

Regular assessments are crucial for ensuring proper recovery.

23
Q

Fill in the blank: Patients with a clavicle fracture may experience _______.

A

Pain and tenderness over the clavicle

This is one of the primary symptoms leading to diagnosis.

24
Q

Fill in the blank: Displaced or complex clavicle fractures often require _______.

A

Surgical intervention

This is necessary to ensure proper alignment and healing of the bone.

25
True or False: Non-displaced clavicle fractures require surgical management.
False ## Footnote Non-displaced fractures are usually managed conservatively.
26
What are the potential complications of clavicle fractures that need to be monitored?
* Non-union * Malunion * Hardware irritation ## Footnote These complications can affect the healing process and overall recovery.
27
What are common presentations of a clavicle fracture?
Pain and tenderness over the clavicle, swelling and bruising, decreased range of motion in the affected arm, a visible deformity or bump over the fracture site, an audible crack or grinding sound with arm movement ## Footnote These symptoms help in diagnosing clavicle fractures.
28
How are non-displaced or minimally displaced clavicle fractures typically managed?
Conservatively with a figure-eight bandage or sling for arm support, combined with pain management and physical therapy for range of motion and strength recovery ## Footnote This approach focuses on non-invasive treatment methods.
29
What is the common surgical intervention for displaced or complex clavicle fractures?
Open reduction and internal fixation (ORIF) using plates and screws ## Footnote This method is used to stabilize the fracture for proper healing.
30
What is the purpose of regular follow-up visits after a clavicle fracture?
To monitor healing and manage potential complications, such as non-union, malunion, or hardware irritation ## Footnote Regular assessments are crucial for ensuring proper recovery.
31
Fill in the blank: Patients with a clavicle fracture may experience _______.
Pain and tenderness over the clavicle ## Footnote This is one of the primary symptoms leading to diagnosis.
32
Fill in the blank: Displaced or complex clavicle fractures often require _______.
Surgical intervention ## Footnote This is necessary to ensure proper alignment and healing of the bone.
33
True or False: Non-displaced clavicle fractures require surgical management.
False ## Footnote Non-displaced fractures are usually managed conservatively.
34
What are the potential complications of clavicle fractures that need to be monitored?
* Non-union * Malunion * Hardware irritation ## Footnote These complications can affect the healing process and overall recovery.
35
When is figure of eight brace used?
Immobilising clavicle fracture
36
When is a broa arm sling used?
For shoulder dislocations that does not require surgical intervention
37
What is a shoulder spica cast used for?
cast applied around the neck and trunk of the body usually after major surgery on the neck or shoulder such as complete rupture of the rotator cuff
38
What is a collar and cuff sling used for?
Humerus fracture immobilisation
39
Which shoulder dislocation is most common?
Anterior shoulder dislocation
40
What is a cause of posterior dislocation?
Seizures and electoruction
41
What type of shoulder dislocation will have slight abduction & external rotation ?
Anterior
42
What type of shoulder dislocation will have slight adduciton & internal rotation ?
Posterior
43
44
What causes arm held in fixed abduction at 125 degrees?
Inferior shoulder dislocation
45
Which nerve is commonly injured in Arteria shoulder dislocation?
Axillary nerve casing numbness to lateral deltoid and weak shoulder abduction
46
Which defect may occur in shoulder dislocation?
Hills-Sach defect- dent or indentation on the back of the humerus head (the ball part of the upper arm bone) that results from an anterior shoulder dislocation
47
Which X ray views to do for shoulder dislocation?
AP view + Y or axilliary view BOTH before & after reduction
48
What is a key sign for posterior shoulder dislocation?
Lightbulb sign
49
What bony injury may occur with anterior shoulder dislocation?
Hills-Sachs defect, a compression fracture dent
50
What is an inferior shoulder dislocation presentation?
Inferior shoulder dislocations present with arm held in fixed abduction >125 degrees
51
How does posterior dislocation present?
adduction & internal rotation
52
How does anterior dislocation present?
Abduction and external rotation