Spinal Vascular Neurosurgery Flashcards

(8 cards)

1
Q

The artery of Adamkiewicz is best described as which one of the following?
a. Centripetal artery
b. Radiculomedullary artery
c. Radiculopial artery
d. Segmental artery
e. Sulcocommissural artery (centrifugal)

A

b. Radiculomedullary artery

The simplified algorithm for the vascular supply
at each segmental level is major arterial trunk
(vertebral artery, aorta)!spinal/segmental
artery!radicular branches which give off branches
to the paraspinous musculature, vertebral body,
and dura before forming:
1. Radiculopial arteries supply the nerve roots by
means of smaller branches and then run ventral to either the dorsal or ventral nerve root
to supply the pial network. Although they
anastomose with pial branches of the ASA,
they do not supply the ASA directly. There
are more dorsal than ventral radiculopial
arteries, and the dorsal radiculopial arteries
are the dominant supply to the PSA. Their
number varies from three to four in the cervical region, from six to nine in the thoracic
region, and from zero to three in the lumbosacral region.
2. Radiculomedullary arteries are the dominant
supply to the ASA. After giving off their
radicular branches to the nerve roots, they
run along the ventral surface of the nerve
root, occasionally give off pial collateral
branches, and continue to the ASA. On average, there are two to four radiculomedullary
arteries in the cervical region, two to three in
the thoracic region, and zero to four in the
lumbosacral region. The largest radiculomedullary artery of the thoracolumbar segment
is also known as the artery ofAdamkiewicz. In
75% of patients, the AKA arises between T9
and T12, more commonly on the left.When
its origin is above T8 or below L2, another
major contributor to the ASA can be found
either cranially or caudally. In 30-50% of
cases, it also contributes significantly to the
PSA. Generally, a pair of arteries arises in
the cervical region from the intradural segment of each vertebral artery that fuse to
one “Y”-shaped ASA running in the subpial
space in the ventral sulcus of the spinal cord
(dorsal to the anterior spinal vein) to the terminal film. The typical hairpin anastomosis the ASA is found angiographically at the
lower thoracic and lumbar levels.

How well did you know this?
1
Not at all
2
3
4
5
Perfectly
2
Q

.Which one of the following best describes
Foix-Alajouanine syndrome?
a. Involves descending sensory loss
b. Involves hemorrhage from multiple spinal AVMs
c. Involves normal cerebrospinal fluid protein level
d. Involves progressive paraparesis due to congestive myelopathy
e. Involves spinal venous thrombosis on pathological examination

A

d. Involves progressive paraparesis due to congestive myelopathy

The exact etiology of the process which resulted
in the progressive and fatal neurological deterioration the two patients described by Foix and Alajouanine in 1926 is still a cause for debate, leading to confusion about it’s actual definition. Both patients presented with a progressive lower limb weakness, incontinence and sensory level; pathological examination in both cases revealed myelitis and spinal cord necrosis, with extensive hypertrophy of intradural vessels (veins on cord surface, extramedullary veins, intramedullary veins and to a lesser extent some arteries); histological analysis showed vessels endo-meso-vasculitis with
necrotizing tendencies with widely patent vessel
lumens. Despite the authors specifically excluding
thrombosis on pathological examination, the
Foix-Alajouanine syndrome was initially associated with spinal artery thrombosis leading to myelopathy. However, some patients diagnosed with Foix-Alajouanine syndrome improved, making
thrombosis of the spinal artery an unlikely cause.
Afterward, in 1989 Criscuolo et al. also pointed
against its association with thrombosis and
explained that the symptoms of this syndrome
could be explained by congestive myelopathy,
which is a reversible process. As such, nowadays
it may also refer to spinal AVM (usually intradural
AVF) patients with clinically subacute to chronic
progressive neurological symptoms due to congestive myelopathy without hemorrhage

How well did you know this?
1
Not at all
2
3
4
5
Perfectly
3
Q

In the literature, Type II spinal Arteriovenous malformations (AVMs) generally refer to which one of the following?
a. Conus medullaris AVM
b. Dural arteriovenous fistula (AVF)
c. Intradural perimedullary AVF
d. Intramedullary glomus AVM
e. Juvenile or mixed AVM

A

d. Intramedullary glomus AVM

How well did you know this?
1
Not at all
2
3
4
5
Perfectly
4
Q

A 55-year-old male presents with progressive gait disturbance and impotence. Coronal Magnetic resonance angiogram and angiograms are shown in the lumbar spine. There is no evidence of hemorrhage. VHL screen is negative. Which one of the following diagnoses is most likely?
a. Aneurysm of artery of Adamkiewicz
b. Cavernoma
c. Hemangioblastoma
d. Type I Dural AVF
e. Type II intramedullary glomus AVM

A

d. Type I Dural AVF

Dural arteriovenous fistulas comprise 80-85% of
spinal AVMs. These lesions show a male predominance (80-90%) and generally present in late adulthood, ages 40-60. Presentation is generally with radiculomyelopathy, followed by slow but progressive neurological deterioration. Site of pathology in these lesions is within the dural root sleeve, where a direct arteriovenous fistula
develops, generally with a single dural artery
feeder vessel. Venous drainage of the AV fistula
is by a high pressure, low-flow arterialized vein
intradurally. Chronic venous hypertension yields
chronic spinal cord ischemia, cell loss, and cord
atrophy. Impaired autoregulation yields direct
transmission of changes in systemic arterial
pressure to the spinal cord without the normal
dampening effect of the venous plexus. Goal of
treatment is isolation and obliteration of the fistula
and draining veins, which normalizes venous
pressure and corrects venous hypertension.

How well did you know this?
1
Not at all
2
3
4
5
Perfectly
5
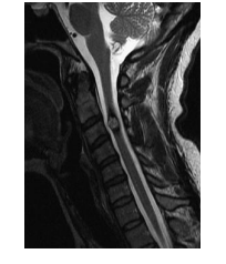
Q

A 15-year-old boy presents with neck pain and bilateral upper limb weakness. MRI is shown below.Which one of the following is most likely?
a. Astrocytoma
b. Ependymoma
c. Transverse myelitis
d. Type I Dural (dorsal intradural) AVF
e. Type III juvenile (extradural-intradural) AVM

A

e. Type III juvenile (extradural-intradural) AVM

Juvenile spinal AVMs are extremely rare lesions.
These lesions are again true AVMs, with an intramedullary niduswhichmay occupy the entire spinal canal at the involved level. Cord tissue is present within the AVM interspaces. Extramedullary and even extraspinal extension of the lesion is possible.
Juvenile AVMs are large and complex lesions, with
multiple arterial feeding vessels often arising from
different cord levels. Hemodynamically, this lesion
manifests both high flow and high pressure, often
yielding an auscultatable spinal bruit over involved
levels. They occur most commonly in adolescents
and young adults. Presentation and treatment are
similar to Type II AVMs; however, prognosis for
these lesions, considering their size and vascular
complexity,is understandably very poor.MRimaging typically demonstrates prominent flow voids
suggestive of underlying vascular malformation.
Edema or gliosis can also be seen on MR imaging

How well did you know this?
1
Not at all
2
3
4
5
Perfectly
6
Q

A 35-year-old with Osler-Weber-Rendu syndrome presents with gait disturbance. T2W MRI is shown below. Which one of the following is most likely?
a. Hemangioblastoma
b. Neurenteric cyst
c. Spinal artery aneurysm
d. Type III juvenile (extradural-intradural) AVF
e. Type IV-C perimedullary (ventral intradural) AVF

A

e. Type IV-C perimedullary (ventral intradural) AVF

Perimedullary (ventralintradural)AVFs have a fistulous connection which is intradural but
extramedullary,with feeding vessel(s) from the anterior spinal artery. Venous drainage is via an enlarged
coronal venous plexus. These lesions may present in
young adults, but presentation in the third to sixth
decade is more likely. SAH is possible with subsequent acute neurologic deterioration, but a gradual
progressive neurologic deterioration is common.
Three subcategories of intradural spinal AV fistulas
have been recognized, with different treatment
options appropriate for each.
* Type IVa has a single feeding vessel, often
the artery of Adamkiewicz, with low flow
through the arteriovenous shunt and moderate venous enlargement. Endovascular
techniques are difficult with these lesions
due to the small size of feeding vessels
hence surgical excision is often mandated.
* Type IVb AV fistulas are medium-sized, often
with multiple feeding vessels, and more
marked venous enlargement. Embolization in
these lesions is easier, due to the increased size
of feeding vessels. In cases of incomplete shunt
obliteration with an endovascular approach,
direct surgical excision may be necessary.
* Type IVc are giant, multipediculated, highflow fistulas with large, tortuous draining
veins. Spinal ischemia may develop in these
lesions secondary to vascular steal. Due to
the size of these lesions, surgery is technically difficult and may jeopardize
the spinal cord. Treatment is hence
through combination of endovascular ablation, followed by surgical excision of
retained elements.

How well did you know this?
1
Not at all
2
3
4
5
Perfectly
7
Q

Which one of the following is most likely from
the images below?
a. Cavernous angioma
b. Hemangioblastoma
c. Hemangioma
d. Type I dural (dorsal intradural) AVF
e. Type II intramedullary (Glomus) AVM

A

e. Type II intramedullary (Glomus) AVM

Type II intramedullary (glomus) AVMs are characterized by a compact intramedullary nidus, with feeding vessels arising from the anterior or posterior spinal arteries, or both, and drainage into an arterialized coronal venous plexus. Unlike spinal AV fistulas they are high pressure, low-flow lesions (rapid filling on angiogram and early venous drainage).
Affect men and women equally, and mean age of
presentation in 20s. The clinical course of these
lesions is marked by progressive and fluctuating
myelopathy, often overlaid by periods of acute neurologic deterioration secondary to hemorrhage
within the AVM. Sudden apoplectic presentation,
often with profound neurologic impairment and
possible transverse myelopathy is common. SAH
often occurs in these lesions, occurring in 50% of
cases.TrueintramedullaryAVMs occur throughout
the cord hence presentation with upper extremity
symptoms is possible. Imaging demonstrates intramedullary AVM at C3-C4 levels with associated
hematoma and flow voids from arterialized coronal venous plexus of the spinal cord, while angiogram
demonstrates feeders arising from the left vertebral artery. Treatment involves initial embolization of feeding vessels using particulate matter. Immediate clinical improvement is often noted after embolization, through reduction in arterial steal and improved cord perfusion; however, recanalization may occur over time, with continued risk of hemorrhage. Hence, surgical resection of residual nidu after embolization is generally reasonable.

How well did you know this?
1
Not at all
2
3
4
5
Perfectly
8
Q

A 33-year-old presents with sudden onset neck pain. MRI is shown below. Which one of the following is most likely?
a. Cavernous angioma
b. Multiple sclerosis
c. Syringomyelia
d. Type I dural AVF
e. Type II intramedullary glomus AVM

A

a. Cavernous angioma

Central nervous system (CNS) cavernomas are
rare vascular malformations consisting of closely
packed large sinusoid-like vascular channels with
little or no intervening nervous tissue. They can
occur anywhere in the CNS but favor the cerebral
hemisphere. Spinal cord cavernomas are uncommon, accounting for 3-5% of all cavernous malformations. Most commonly seen in the thoracic region (50%), they are uncommonly identified in the conus (10%); the cervical cord accounts for 40% of such lesions. Sudden onset paraplegia in a young adult. MR is the imaging modality of choice. The typical imaging features are of a well-defined lesion causing focal expansion of
the cord with mixed signal intensity on T1WI
and T2WI. These lesions are typically surrounded
by a complete hypointense rim owing to hemosiderin deposition. Typically, no or only sparse edema is associated with this lesion. Enhancement following contrast administration is variable.

How well did you know this?
1
Not at all
2
3
4
5
Perfectly