Test 5 Review Flashcards

(52 cards)

1
Q

What type of neuron is this?

A

Bipolar neuron

How well did you know this?
1
Not at all
2
3
4
5
Perfectly
2
Q

What type of neuron is this?

A

Unipolar neuron

How well did you know this?
1
Not at all
2
3
4
5
Perfectly
3
Q

What type of neuron is this?

A

Multipolar neuron

How well did you know this?
1
Not at all
2
3
4
5
Perfectly
4
Q

The CNS consists of what structures?

A

Brain
Brainstem
Spinal Cord

How well did you know this?
1
Not at all
2
3
4
5
Perfectly
5
Q

The PNS consists of what structures?

A

Cranial Nerves
Spinal Nerves

How well did you know this?
1
Not at all
2
3
4
5
Perfectly
6
Q

What is the job of the central nervous system?

A

Information consolidation and processing

How well did you know this?
1
Not at all
2
3
4
5
Perfectly
7
Q

What is the job of the peripheral nervous system?

A

To carry information to and from the central nervous system

How well did you know this?
1
Not at all
2
3
4
5
Perfectly
8
Q

What is the somatic sensory ?

A

Touch
Pain
Pressure
Vibration
Temperature
proprioception from the skin, body wall, and limbs

How well did you know this?
1
Not at all
2
3
4
5
Perfectly
9
Q

What is the visceral sensory?

A

Stretch
Pain
Temperature
Chemical Changes
Irritation in viscera
Nausea
Hunger

How well did you know this?
1
Not at all
2
3
4
5
Perfectly
10
Q

What is the somatic motor?

A

Motor innervation to skeletal muscles

How well did you know this?
1
Not at all
2
3
4
5
Perfectly
11
Q

What is the Visceral motor?

A

Motor innervation to smooth muscle, cardiac muscle, and glands

How well did you know this?
1
Not at all
2
3
4
5
Perfectly
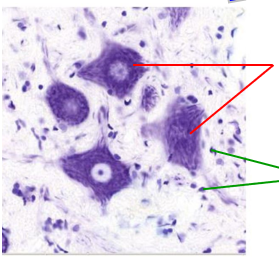
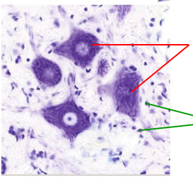
12
Q

The red arrow point to what?

A

Neurons

How well did you know this?
1
Not at all
2
3
4
5
Perfectly
13
Q

The green arrows point to what?

A

Glial Cells

How well did you know this?
1
Not at all
2
3
4
5
Perfectly
14
Q

What is the function of neurons?

A

Generate and carry electrical signals

How well did you know this?
1
Not at all
2
3
4
5
Perfectly
15
Q

What is the function of glial cells?

A

They perform various supportive fxns:
Protect neurons
Regulate ionic balance in tissue
immune functions

How well did you know this?
1
Not at all
2
3
4
5
Perfectly
16
Q

What is the “receiving end” of the neuron called?

A

Dendrites

How well did you know this?
1
Not at all
2
3
4
5
Perfectly
17
Q

What is the function of the dendrites?

A

To make connections with and receive signals from other neurons and from receptors

How well did you know this?
1
Not at all
2
3
4
5
Perfectly
18
Q

What is the function of the axon?

A

Passes signal on to other cells by releasing chemical messengers called neurotransmitters

How well did you know this?
1
Not at all
2
3
4
5
Perfectly
19
Q

What type of neurons are found within the blue circle?

A

Sensory Neurons

How well did you know this?
1
Not at all
2
3
4
5
Perfectly
20
Q

what type of neuron is found within the blue circle?

A

Motor neurons

How well did you know this?
1
Not at all
2
3
4
5
Perfectly
21
Q

What type of neurons are found within the circle?

22
Q

What type of cell is this?

23
Q

What type of cell is this?

A

Microglial cell

24
Q

What type of cell is this?

A

Ependymal cells

25
What type of cell is this?
oligodendrocyte
26
What type of cell is this?
Neurolemmocytes
27
Why is myelin around axons?
It acts as electrical insulation so that signals can travel faster and reduces interference from nearby axons
28
What is this GREEN lobe called?
Insula
29
Which lobe is responsible for primary motor cortex
Frontal lobe
30
Which lobe is responsible for primary somatosensory cortex?
Parietal lobe
31
Which lobe is responsible for primary auditory and olfactory cortex?
Temporal lobe
32
Which lobe is responsible for primary visual cortex?
Occipital lobe
33
Which lobe is responsible for primary gustatory cortex?
Insula Lobe
34
The stripe shaped circle represents what area of the brain?
Wernicke's area
35
The small colored in circle represents what area of the brain?
Broca's area
36
What is the fxn of wenicke's area?
Language processing: Understanding spoken and written words, understanding math
37
What is the fxn of Broca's area?
Produce spoken and written language
38
Name this space
Caudate Nucleus
39
Name this space
Putamen
40
Name this space
Globus Pallidus
41
Name this space
Amygdaloid Body
42
What is the fxn of the Hippocampus?
Responsible for long-term memory formation
43
Name the tract
Association tracts
44
Name the GREEN tract
Projection tracts
45
Name the BLUE tract
Commissural tracts
46
Midbrain functions
Controls involuntary eye movement Reflexes related to visual and audio information
47
Pons Functions
Regulate breathing Relays message from the cortex to the cerebellum facial sensitivity Plays a MAJOR role in REM sleep where dreams occur
48
Medulla oblongata functions
Regulates breathing, heart rate, digestion, and sleeping Responsible of initiating reflexes such as vomiting, swallowing, gagging
49
The space between the eyelids is called?
Palpebral Fissure
50
Another name for "pink eye"
Conjunctivitis
51
What layer attached to choroid; absorbs light that passes through retina
Pigmented layer
52
What layer houses photoreceptors and associated with neurons which convert energy into nerve impulses
Neural layer