The Vertebral Column Flashcards

(39 cards)

1
Q

The Vertebral Column

A

24 mobile segments (vertebrae)
^separated by flexible cartilaginous discs (intervertebral discs)

Immobile base made up of 9 fused vertebrae: sacrum and coccyx

Functions: protects spinal cord and nerves // supports trunk as a rigid yet flexible axis for the body // important for posture and locomotion // muscle attachment

How well did you know this?
1
Not at all
2
3
4
5
Perfectly
2
Q

Primary and Secondary Curvatures

A

Primary: Develop during fetal period
Newborn spine = kyphotic (anteriorly concave)

  • *Secondary:** Result from development of spine in first few years of life
  • *Lordotic** curves = concave posteriorly
  • *Cervical lordosis:** develops when infants begin to hold their head up
  • *Lumbar lordosis:** develops when toddlers begin standing and walking
How well did you know this?
1
Not at all
2
3
4
5
Perfectly
3
Q

Abnormal Spinal Curvatures

A

Excessive Thoracic Kyphosis
aka hunchback
common in elderly
caused by degeneration and years of bad posture

Excessive Lumbar Lordosis
sway // hollow back
often temporary, common in pregnant women
due to additional weight in abdomen

Scoliosis
abnormal lateral curvature of the spine
spine will twist/curve off the midline of the body

How well did you know this?
1
Not at all
2
3
4
5
Perfectly
4
Q

Scoliosis

A

Abnormal lateral curvature of the spine

Spine curves to one side and vertebra try to compensate by rotating INTO the cavity of the curvature

Common in females aged 12-15

How well did you know this?
1
Not at all
2
3
4
5
Perfectly
5
Q

Functions of Column

A

Anterior Portion (body):
supports weight of body and absorbs shock

Central Portion (opening):
protects spinal cord

Posterior Portion (processes):
muscle attachment and movement of column

How well did you know this?
1
Not at all
2
3
4
5
Perfectly
6
Q

Important Vertebral Features

A
How well did you know this?
1
Not at all
2
3
4
5
Perfectly
7
Q

General Vertebral Anatomy: T6 and L2

A
How well did you know this?
1
Not at all
2
3
4
5
Perfectly
8
Q

Vertebral Foramen and Vertebral Canal

A
  • *Vertebral Foramen**
    singular: through which spinal cord passes

Vertebral Canal
consecutive vertebral foramina, through which spinal cord passes

How well did you know this?
1
Not at all
2
3
4
5
Perfectly
9
Q

General Vertebral Anatomy - Lateral Lumbar View

A
How well did you know this?
1
Not at all
2
3
4
5
Perfectly
10
Q

Cervical Vertebrae

A

Seven vertebral segments (C1-C7)

Lordotic curvature

Regional Anatomy:
large vertebral foramen and small body
bifid spinous process
transverse process has transverse foramen (houses vertebral artery)

How well did you know this?
1
Not at all
2
3
4
5
Perfectly
11
Q

Cervical Vertebrae Regional Anatomy Contd.

A

Bifid spinous process
C7 → non bifid and longest cervical spinous process
aka vertebra prominens

Transverse process has transverse foramen (houses vertebral artery)

Superior and inferior articular processes stack up on each other to form lateral “columns”

How well did you know this?
1
Not at all
2
3
4
5
Perfectly
12
Q

Specialized Cervical Vertebra: C1

A

Atlas (C1)
no body (anterior tubercle)
facet for joint
no SP (posterior tubercle)
widest

How well did you know this?
1
Not at all
2
3
4
5
Perfectly
13
Q

Specialized Cervical Vertebra: C2

A

Axis (C2)
dens (facet for joint)
axis of rotation

How well did you know this?
1
Not at all
2
3
4
5
Perfectly
14
Q

Images of Cervical Vertebrae

A

Vertebral Bodies C3 to C7
Find rib #1 and count bodies superiorly
Vertebral discs appear radiolucent between bodies
Transverse processes stick out laterally
Pedicles (eyes of the bird face)
Spinous Process (beak of bird face)%

How well did you know this?
1
Not at all
2
3
4
5
Perfectly
15
Q

Imaging of Cervical Vertebrae

A
How well did you know this?
1
Not at all
2
3
4
5
Perfectly
16
Q

Thoracic Vertebrae

A

12 vertebral segments (T1-T12)
^each associated w/ a pair of ribs

Kyphotic curvature

Regional Anatomy:
heart shaped body
long, inferiorly angled spinous process
costal facets on body and transverse processes for rib attachment

17
Q

Imaging of Thoracic Vertebrae

A

Look for 1st rib
Count vertebral bodies inferiorly from it
Examine disc spaces
Pedicles
Spinous processes
Look for abnormal curvatures
Look at rib attachments (ribs w/ transverse processes)

18
Q

Imaging of Thoracic Vertebrae Contd

19
Q

Lumbar Vertebrae

A

5 Vertebral Segments (L1-L5)

Lordotic Curvature

Regional Anatomy
LARGE vertebral bodies, which bear the most weight
Large vertebral foramen to accommodate lumbar enlargement of spinal cord
Spinous process = thick and short
Transverse process = thin and small

20
Q

Lumbar Vertebrae

21
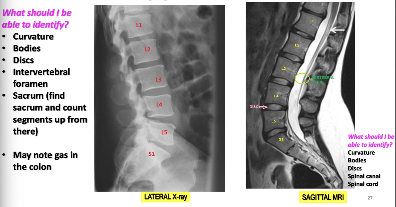
Q

Imaging of Lumbar Vertebrae

22
Q

The Sacrum

A

Large wedge-shaped vertebra at the inferior end of the spine

Supports weight of the upper body

Superiorly articulates w/ body of L5, inferiorly articulates w/ coccyx

Laterally articulates w/ hip bones to form pelvic girdle

Forms from 5 individual vertebrae that start to fuse during late adolescence and = fully fused by the age of 30

23
Q

The Sacrum Contd.

A
  • *S1-S5 = sacral body**
  • *S1 - Sacral promontory**

Ala of Sacrum
TBPs of S1 vertebrae

Sacral foramina (anterior and posterior)
Formed from intervertebral foramen

Transverse ridges
Remnants of intervertebral discs between sacral vertebrae

24
Q

The Sacrum Contd.

A

Sacral Canal
continuation of vertebral canal

Median Crest
fusion of SPs

Sacral Foramina
intervertebral foramina

Sacral Hiatus
lamina of S5 vertebrae (non-fused)
exit for last spinal nerve (coccygeal nerve #1)

25
Imaging of Sacrum X
26
The Coccyx
Tail Bone End of Spine Kyphotic Curvature Coccygeal vertebrae = highly variable and can range from 3-5 segments (4 is most common)
27
Intervertebral Discs
**Functions:** Strong attachment between vertebrae for Support and protection Weight bearing / shock absorption Make up approximately 25% of column height * *Composed of:** * *annulus fibrosus →** concentric rings of fibrocartilage that connect adjacent vertebral bodies * *nucleus pulposus →** semi-gelatinous mass that acts as a shock absorber **NOTE: discs are named after the vertebral segments they connect** **NO DISCS BETWEEN** atlanto-occipial joint, atlanto-axial joint, sacral segments, and coccygeal segments
28
Joints of the Spinal Column
Vertebral bodies = stacked on each other in the column and form 2 types of joints as they articulate w/ each other
29
Movement of the Vertebral Column
30
Specialized Facet Joints
Vertebral bodies = stacked on each other in the column and form 2 types of joints as they articulate w/ each other
31
C1/C2 Dislocation
``` **Abnormal x-ray** huge distance (black line) between the dens and anterior arch of C1 (blue arrow) ``` white line show the continuation of lamina → C1 is displaced anteriorly (red arrow)
32
Organization of the Spinal Column
**Vertebral Canal** aka spinal canal protects spinal cord **Intervertebral Foramen** protects spinal nerves as they exit from the cord
33
Organization of Spinal Nerves
**31 pairs** of spinal nerves exiting off spinal cord and enter periphery by passing through intervertebral foramen Spinal nerves = mixed in their function (sensory and motor signals) **motor signals** = **efferent/outgoing** (brain → body) **sensory signals** = **afferent/incoming** (body → brain)
34
Anatomical placement of Spinal Nerves
35
Herniation/Protrusion of Intervertebral Discs
**Unilateral herniation** when nucleus pulposus protrudes through the annulus fibrosis Typically occurs **postero-lateral direction** leads to compression of the ipsilateral spinal nerves exiting the IV foramen Most common in C and L regions (L4/L5 L5/S1) **s&sx:** pt presents w/ numbness/tingling **ipsilaterally** (typicality after minor injury/strain to area)
36
Imaging of IV Disc Herniations
37
Spinal Stenosis
Narrowing of spinal canal, compressing the spinal cord or nerves of caudal equina Caused after long term degeneration of intervertebral joints **s&sx** pt presents w/ numbness and tingling in both sides compression of spinal nerves bilaterally (L and R) **\*\*\*NOTE: stenosis = general term for NARROWING of a lumen**
38
Laminectomy
**tx for spinal stenosis** involves surgical removal of vertebral lamina to relieve pressure on vertebral canal
39
Regional Characteristics