Throat Flashcards

(17 cards)

1
Q

GENERAL management of the ‘dodgy’ sore throat:

A

ENT/Anos. Consider prophylactic airway EARLY, and ideally in OT.
—> Awake fibreoptic
—> Tube size down
…But set up for emergency tube/cric in ED.

Don’t instrument. Position of comfort.

Nebulised adrenaline 5ml 1:1000
Dexamethasone 0.6mgkg IV (10mg)
Antibiotics
–> Augmentin for quinsy, retroP. PLUS Metro for Ludwig. Ceftriaxone for epiglottitis.

CT head/neck with contrast
May need tube to tolerate

How well did you know this?
1
Not at all
2
3
4
5
Perfectly
2
Q

Red Flags in sore throat:

A

Tripodding
Torticollis
Trismus
Drooling
Stridor
Dysphonia
Dyspnoea

How well did you know this?
1
Not at all
2
3
4
5
Perfectly
3
Q

What are the DANGEROUS causes of sore throat:

A

Quinsy (peritonsillar abscess)
Retropharyngeal abscess
Ludwig angina
Bacterial tracheitis
Epiglottitis
Diptheria
Foreign body
Lemierre

How well did you know this?
1
Not at all
2
3
4
5
Perfectly
4
Q

What are the dangerous COMPLICATIONS of sore throat:

A

Deep space:
- Peritonsillar/ retropharyngeal
- Ludwig
Erosive spread
- Carotids
- Cervical spine
Mediastinitis
Cavernous sinus thrombosis
Lemierre (septic thrombophleb IV)

Airway compromise
Sepsis

How well did you know this?
1
Not at all
2
3
4
5
Perfectly
5
Q

Compare and contrast important causes of sore throat:

A
How well did you know this?
1
Not at all
2
3
4
5
Perfectly
6
Q

How to test for Strep A tonsillopharyngitis:

A

Rapid antigen test from throat swab

Result within minutes.

Or, swab and PCR.

How well did you know this?
1
Not at all
2
3
4
5
Perfectly
7
Q

What is the role of antibiotics in simple tonsillopharyngitis?

A

Majority of tonsillitis/ pharyngitis will get better in 3-4 days regardless, even if it is Strep A.

Phenoxy is given to prevent suppurative and non-suppurative GAS sequelae. But this is only necessary in at-risk patients.
- Age 2 - 25 in community with high incidence rheumatic fever (ATSI)
- Known rheumatic heart disease
- Scarlet fever

Phenoxy may also reduce duration of illness…… by half a day, for 1 in 9 patients. (Outweighed by GI upset, rash already)

________________

SUPP SEQUELAE
- Toxic shock
- Scarlet fever
- Local: nec fasc, OM, septic arthritis, bacteraemia etc.

NONSUPP SEQUELAE
- Rheumatic fever
- Strep A glomerulonephritis

How well did you know this?
1
Not at all
2
3
4
5
Perfectly
8
Q

What antibiotics are given (when indicated) for tonsillitis:

A

Mild: PHENOXYMETHYLPENICILLIN 15mg/kg (500mg) BD for 10 days

Worse: BENPEN

How well did you know this?
1
Not at all
2
3
4
5
Perfectly
9
Q

Xray findings in epiglottitis:

A

“Thumb sign”

How well did you know this?
1
Not at all
2
3
4
5
Perfectly
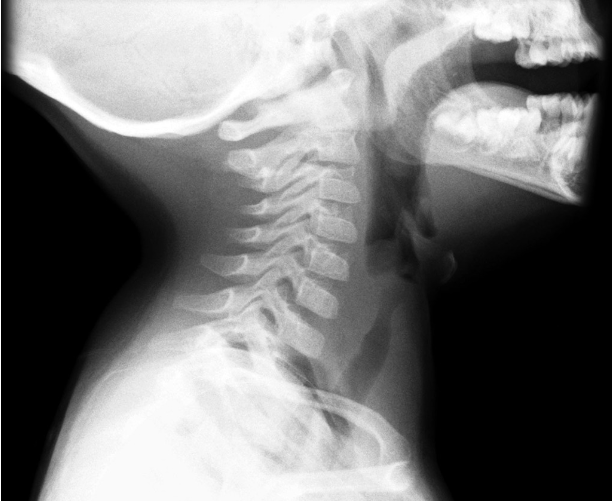
10
Q
A

“Steeple sign”
–> Tapering of upper trachea (subglottic)

  • Croup
  • Tracheitis
How well did you know this?
1
Not at all
2
3
4
5
Perfectly
11
Q

Ludwig’s Angina:

A

Purulent cellulitis of SUBLINGUAL and SUBMANDIBULAR spaces
–> Airway risk
–> Mediastinitis
–> Sepsis

70% odontogenic, but any oral/oropharynx source

OE
- Swollen neck
- Trismus
- Elevated/protruding tongue
- ‘Hot potato voice’
- UAO/ resp distress

Mx
- Sit up
- Awake fibreoptic/ tracheostomy
- Dexamethasone IV
- BenPen + Metro
- Needle aspiration or I&D of space (frank pus)

8% mortality even with proper Tx!

How well did you know this?
1
Not at all
2
3
4
5
Perfectly
12
Q

What is Lemierre Syndrome?

A

Complication of oropharyngeal infections (fusobacterium)

Septic thrombophlebitis of IJVs

Propagate up into cav sinus/ brain, down into subclavian.

How well did you know this?
1
Not at all
2
3
4
5
Perfectly
13
Q

When does post-tonsillectomy bleed occur?

A

Primary: day 1

Secondary: 5-10 days post-op
(clot begins to lift)*

How well did you know this?
1
Not at all
2
3
4
5
Perfectly
14
Q

Management of post-tonsillectomy bleed:

A

Set up for a difficult airway, but try not to intubate- will be difficult +++

  • Sit up, lean forward
  • Optimise view by suctioning clot out, then cophenylcaine spray
  • Direct lateral pressure
    –> TXA/ adrenaline/lignocaine soaked gauze packs in McGills forceps
    –> Ketamine to tolerate (0.5-1)
  • ANTIEMETICS (vomit will interrupt haemostasis)
How well did you know this?
1
Not at all
2
3
4
5
Perfectly
15
Q

Intubation approach in post-tonsillectomy bleed:

A
  • Anaesthetics back up!
  • 2x large bore suction
  • Direct laryngoscopy (optimise with bougie/BURP)
  • AWAKE ideal. Low dose induction in haemorrhaging patient:
    –> Ketamine or fentanyl
  • NGT immediately after (decompress blood)
  • Concurrent haemostatic resus
How well did you know this?
1
Not at all
2
3
4
5
Perfectly
16
Q

List 5 causes of stomatitis:

A

‘Stomatitis”: covers angular, glossitis, mouth ulcers, gingivitis

Iron deficiency, Vitamin C deficiency
Kawasaki
Inflammatory down disease

SJS/TEN
Chemo, Methotrexate

Herpes
Candida

17
Q

INDIRECT LARYNGOSCOPY

A

Option for foreign body.
Cophenylcaine
Dental mirror rests on uvula