Tracheobronchial Tree and Lungs Flashcards

(19 cards)

1
Q

What are the 3 main functions of the tracheobronchial tree?

A

The main functions of the tracheobronchial tree include air conduction, humidification and filtration.

How well did you know this?
1
Not at all
2
3
4
5
Perfectly
2
Q

What type of epithelium lines the respiratory tract?

Clinical Significance?

A
How well did you know this?
1
Not at all
2
3
4
5
Perfectly
3
Q

What is the size of the trachea? Where does it run to and from?

  • Where does the trachea bifurcate?
  • Which bronchus is more likely to have a foreign object lodged?
  • What do the main bronchi divide into?
A
  • In adults, the trachea is approximately 2.5 x 10cm tubular structure extending from the larynx to the carina.
  • Trachea bifurcates into the left and right main bronchi at the level of T4.
  • Right bronchus is wider and more vertical, therefore more likely to lodge foreign bodies.
  • Main bronchi divide into lobar bronchi.
  • Lobar bronchi divide into tertiary/ segmental bronchi, which divide further until the terminal bronchi.
  • Gaseous exchange takes place in the respiratory portion of the lungs.
How well did you know this?
1
Not at all
2
3
4
5
Perfectly
4
Q

What are the histological changes along the tracheobronchial tree?

A

Epithelium gets thinner

How well did you know this?
1
Not at all
2
3
4
5
Perfectly
5
Q

What is the structure of the trachea?

What are the histological layers of the trachea?

A

Trachea

  • C-shaped hyaline cartilages anteriorly.
  • Fibroelastic tissues posteriorly.
  • Lined by respiratory epithelium.
  • Layers:
    1. Adventitia.
    2. Cartilage.
    3. Submucosa.
    4. Mucosa.
How well did you know this?
1
Not at all
2
3
4
5
Perfectly
6
Q

What is the structure of the bronchi & Bronchioles?

  • 5 histological layers?
  • What 2 things are not present in the bronchioles?
  • What epithelium lines the terminal bronchioles?
  • Clinical Significance?
A

Bronchi and bronchioles

  • Bronchi are made up of cartilage and circular plates of smooth muscles.
  • 5 layers: -
    1. Adventitia
    2. Cartilage
    3. Submucosa
    4. Muscularis
    5. Mucosa
  • There are no cartilages or glands in bronchioles.
  • Terminal bronchioles are lined by simple cuboidal epithelia.
  • Clinical significance:
    • Bronchoconstriction e.g. asthma.
    • Blockage due to cystic fibrosis.
How well did you know this?
1
Not at all
2
3
4
5
Perfectly
7
Q

What is a Tracheostomy?

What is a Thyroidectomy?

A
How well did you know this?
1
Not at all
2
3
4
5
Perfectly
8
Q

Where do foreign bodies tend to lodge in the airways and why?

A
How well did you know this?
1
Not at all
2
3
4
5
Perfectly
9
Q
A
How well did you know this?
1
Not at all
2
3
4
5
Perfectly
10
Q

What are the 3 surfaces of the lungs?

A

Mediastinal, costal & diaphragmatic surfaces.

How well did you know this?
1
Not at all
2
3
4
5
Perfectly
11
Q

What are the features of the right lung?

What are the surface markings for the oblique and horizontal fissures?

A

Right lung

  • Superior, middle & inferior lobes.
  • Surface markings:
    • Oblique fissure: spinous process of T4 to 6th rib anteriorly.
    • Horizontal fissure: horizontal line from 4th intercostal space to 5th rib.
How well did you know this?
1
Not at all
2
3
4
5
Perfectly
12
Q

What are the impressions on the right lungs?

Fissures?

Hilum contents? (5)

A
How well did you know this?
1
Not at all
2
3
4
5
Perfectly
12
Q

What are the impressions on the right lungs?

Fissures?

Hilum contents? (5)

A
How well did you know this?
1
Not at all
2
3
4
5
Perfectly
13
Q

Left lung surface markings of oblique fissure?

A

Surface markings Left Lung

  • Oblique fissure: spinous process of T4 to 6th rib anteriorly.
How well did you know this?
1
Not at all
2
3
4
5
Perfectly
14
Q

Impressions on the left lungs?

A
How well did you know this?
1
Not at all
2
3
4
5
Perfectly
15
Q

Structures found at the lung hilum? (5)

A

Structures found at the hilum:

  1. Bronchi.
  2. Pulmonary artery.
  3. Two pulmonary veins.
  4. Lymphatics.
  5. Pulmonary plexus.
16
Q

Where does gas exchange take place in the lungs?

  • 2 Cell types? Which one secretes surfactant?
  • Where is the blood-air barrier found?
A

Lung alveoli

Gaseous exchange takes place in the alveoli.

Alveolar cells:

  • Type I pneumocytes.
  • Type II pneumocytes secrete surfactant.

Blood-air barrier is found at the alveolar septum.

Alveolar macrophages remove particulate matter/ organisms.

17
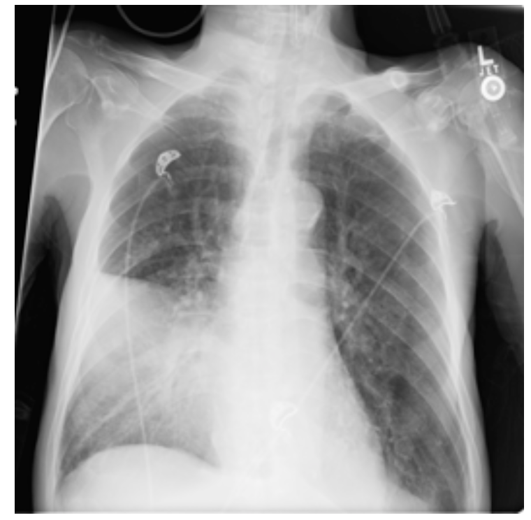
Q

Where is the problem?

A
  • Consolidation in the right middle lobe.
  • Lobar pneumonia.
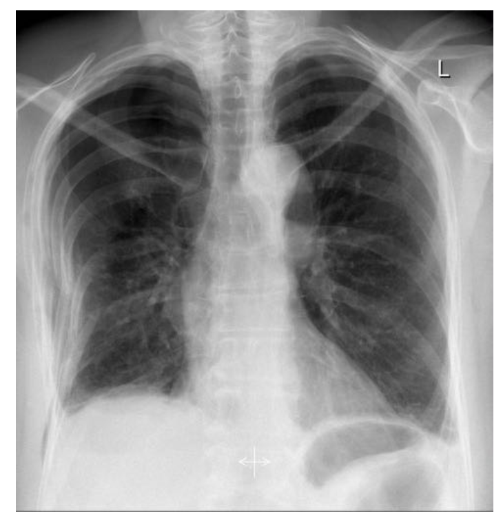
18
Q

Where is the pathology?

A
  • Multiple right-sided rib fractures.
  • Pneumothorax.