Tutorial 2 Flashcards

(24 cards)

1
Q

what are the 4 main tissue types within the body

A
  1. epithelial
  2. connective
  3. neural
  4. muscular
How well did you know this?
1
Not at all
2
3
4
5
Perfectly
2
Q

what are the functions epithelial tissue

5

A
  1. protection
  2. secretion
  3. absorbtion
  4. thermal regulation
  5. sensory
How well did you know this?
1
Not at all
2
3
4
5
Perfectly
3
Q

what are the functions of connective tissue

A

supporting organs and cells, transporting nutrients and wastes, defending against pathogens, storing fat, and repairing damaged tissues.

How well did you know this?
1
Not at all
2
3
4
5
Perfectly
4
Q

what can connective tissue be categorized as + its subcategory

A

Connective tissue proper (loose)
* (areolar, adipose, reticular)

Connective tissue proper (dense)
* (elastic, dens regular, dense irregular)

supporting connective
* cartilage (hyaline, elatic, fibro cartilage
* bone

Special/fluid connective tissue
* Blood
* lymph

How well did you know this?
1
Not at all
2
3
4
5
Perfectly
5
Q

what are the types of epithelia histology

A
  • simple/stratified
  • squamous
  • columnar
  • keritinized
  • ciliated
How well did you know this?
1
Not at all
2
3
4
5
Perfectly
6
Q
A

simple squamous

How well did you know this?
1
Not at all
2
3
4
5
Perfectly
7
Q
A

stratified squamous (non-keratinized)

How well did you know this?
1
Not at all
2
3
4
5
Perfectly
8
Q
A

stratified squamous (keratinized)

How well did you know this?
1
Not at all
2
3
4
5
Perfectly
9
Q
A

simple columnar

How well did you know this?
1
Not at all
2
3
4
5
Perfectly
10
Q
A

simple cuboidal

How well did you know this?
1
Not at all
2
3
4
5
Perfectly
11
Q
A

pesudostratified (ciliated)

How well did you know this?
1
Not at all
2
3
4
5
Perfectly
12
Q
A

stratified cuboidal

How well did you know this?
1
Not at all
2
3
4
5
Perfectly
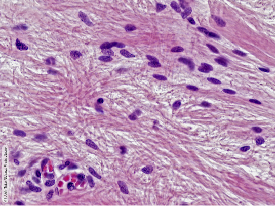
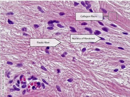
13
Q

what tissue is this? locate:
- collagen fiber
- elatic fiber
- nucleus of fibroblast

A

Loose connective tissue
- areolar tissue

How well did you know this?
1
Not at all
2
3
4
5
Perfectly
14
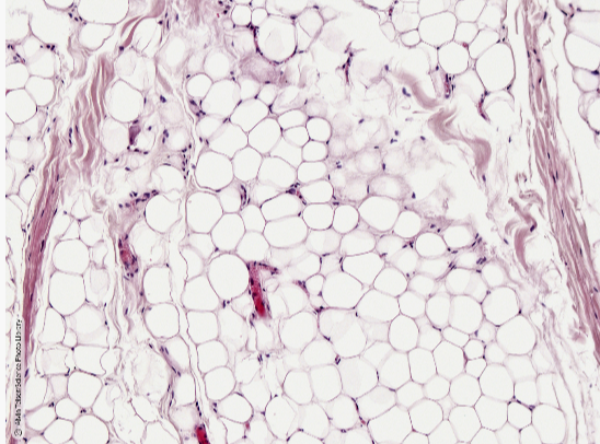
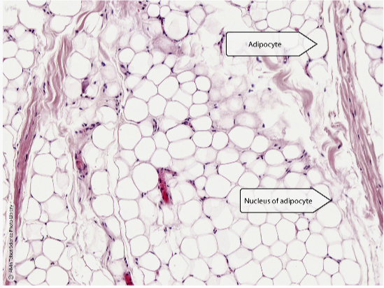
Q

what tissue is this? locate:
- adipocyte
- neucleus of adipocyte

A

loose connective tissue
- adipose tissue

How well did you know this?
1
Not at all
2
3
4
5
Perfectly
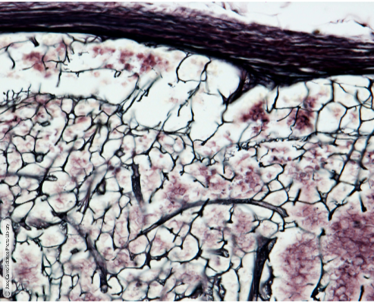
15
Q

what tissue is this? locate:
* the fiber
* capsule of lymph node

A

loose connective tissue
- reticular tissue (lymph node)

How well did you know this?
1
Not at all
2
3
4
5
Perfectly
16
Q

what tissue is this? locate
* collagen fibers
* nucleus of fibroblast

A

dense connective tissue
- dense regular

17
Q

what tissue is this? locate
* collagen fibers
* nucleus of fibroblast

A

dense connective tissue
- dense irregular

18
Q

how to tell hyaline and elastic cartilage in histology

A

elastic cartilage will have elastic fibers in its matrix (also only in the ears and epiglottis)

19
Q

what are the 2 + 1 cutaneous membrane layers.

20
Q

what are the layers of the epidermal strata (and its neumonic )

A

come (let’s) grab some beer

  1. stratum corneum
  2. stratum lucidum (only in thick skin)
  3. stratum granulosum
  4. stratum spinosum
  5. stratum basal
21
Q

What are the special cells in in the epidermis (3)

A
  1. melanocytes
  2. langerhans cells
  3. merkel cells
22
Q

what are the 2 dermis layers

A
  1. papillary region
  2. reticular region
23
Q

what are the accessory structures (5)

A
  1. hair follicle
  2. arrector pilae
  3. sebaceous glands
  4. sweat gland
  5. meissner corpuscles
24
Q

how are skin classified as thick vs thin

A

based on composition and thickness of epidermis and dermis
- thick skin is hairless