Fall 1, Björn Lundberg, 38 år
Del 1
Björn Lundberg, 38 år, är tidigare väsentligen frisk. Han inkommer nu i ambulans till
akutmottagningen efter att i samband med vistelse i city ha svimmat och förmodligen
förlorat medvetandet under en kortare tid. Inga kramper observerades. Björn, som på
akutmottagningen åter är i habitualtillstånd, berättar att han under ett par veckors tid har
besvärats av korta episoder av yrsel och hjärtklappning. Besvären kommer utan relation till
kroppsläge.
Status
AT: Opåverkad. Inga kardiella inkompensationstecken.
Hjärta: Oregelbunden rytm, ca 75/min. Inga biljud.
Lungor: Normala andningsljud bilateralt. Ingen dämpning.
BT: 120/70 mmHg
EKG
Del 2
Björn transporteras till HIA. Telemetri på avdelningen visar frekventa VES samt längre och korta VT med olika fokus. I samband med episoder av längre VT har Björn yrsel. Biokemiskt noteras mindre läckage av Troponin T utan dynamik. Akut ekokardiografi visar lätt nedsatt vänsterkammarfunktion samt hypo-/akinesi inferiort.
Vilka diagnoser överväger du? Vilken undersökning tycker du att man bör göra härnäst?

Jämför bilderna. Vilka avvikelser ser du?

Vänster bild:
Höger bild för karakteristik av myocardvävnad:
Björn Lundberg, 38 år med yrsel, hjärtklappning och ibland svimning. Telemetri på avdelningen visar frekventa VES samt längre och korta VT med olika fokus. I samband med episoder av längre VT har Björn yrsel. Biokemiskt noteras mindre läckage av Troponin T utan dynamik. Akut ekokardiografi visar lätt nedsatt vänsterkammarfunktion samt hypo-/akinesi inferiort. MR visar kontrastuträde subepikardiellt i inferiora delar hjärtat.
Beslut fattas att lägga ICD pga. oro för framtida malign arytmi (VT/VF). Pat har inga klagomål utöver yrsel. Framkommer dock rethosta sedan drygt 6 månader
Vilka diagnoser överväger du? Vad gör du nu?
Inflammatorisk lungsjukdom?
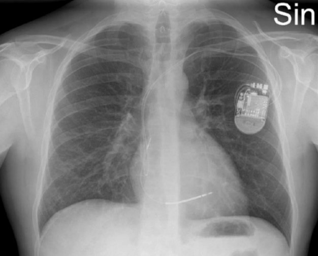
Tolka bilden

ICD (över vänster lungfält) (intern defibrillator)

Björn Lundberg, 38 år med yrsel, hjärtklappning och ibland svimning. Telemetri på avdelningen visar frekventa VES samt längre och korta VT med olika fokus. I samband med episoder av längre VT har Björn yrsel. Biokemiskt noteras mindre läckage av Troponin T utan dynamik. Akut ekokardiografi visar lätt nedsatt vänsterkammarfunktion samt hypo-/akinesi inferiort. MR visar kontrastuträde subepikardiellt i inferiora delar hjärtat.
Beslut fattas att lägga ICD pga. oro för framtida malign arytmi (VT/VF). Pat har inga klagomål utöver yrsel. Framkommer dock rethosta sedan drygt 6 månader
Patienten har flera gånger blivit uppmanad av hustrun att söka för hostan
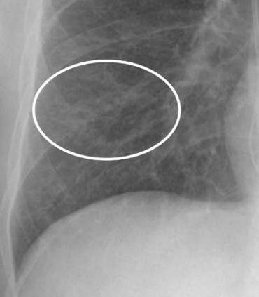
Lungröntgen visar
Små nodulära förändringar, kring pleuran, men också runt kärl liksom mellan lober, mellan bronker – Vilka diagnoser överväger du nu? Vad blir nästa steg?
Sarkoidos, även amyloidos som differentialdiagnos, liksom tuberkulos.
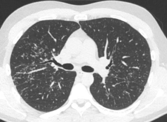
DT lunga
Vad visar bilden?

Små nodulära förändringar, kring pleuran, men också runt kärl liksom mellan lober, mellan bronker typiskt vid sarkoidos, även amyloidos som differentialdiagnos, liksom tuberkulos.
Björn Lundberg, 38 år med yrsel, hjärtklappning och ibland svimning. Telemetri på avdelningen visar frekventa VES samt längre och korta VT med olika fokus. I samband med episoder av längre VT har Björn yrsel. Biokemiskt noteras mindre läckage av Troponin T utan dynamik. Akut ekokardiografi visar lätt nedsatt vänsterkammarfunktion samt hypo-/akinesi inferiort. MR visar kontrastuträde subepikardiellt i inferiora delar hjärtat.
Beslut fattas att lägga ICD pga. oro för framtida malign arytmi (VT/VF). Pat har inga klagomål utöver yrsel. Framkommer dock rethosta sedan drygt 6 månader
Patienten har flera gånger blivit uppmanad av hustrun att söka för hostan
Lungröntgen visar
Spirometri visar inga avvikelser
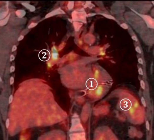
För närmare kartläggning av inflammationens utbredning utförs PET-DT
Tolka bilderna. Vilka anatomiska strukturer ”lyser” (inflammation/ämnesomsättning)?


Björn Lundberg, 38 år med yrsel, hjärtklappning och ibland svimning. Telemetri på avdelningen visar frekventa VES samt längre och korta VT med olika fokus. I samband med episoder av längre VT har Björn yrsel. Biokemiskt noteras mindre läckage av Troponin T utan dynamik. Akut ekokardiografi visar lätt nedsatt vänsterkammarfunktion samt hypo-/akinesi inferiort. MR visar kontrastuträde subepikardiellt i inferiora delar hjärtat.
Beslut fattas att lägga ICD pga. oro för framtida malign arytmi (VT/VF). Pat har inga klagomål utöver yrsel. Framkommer dock rethosta sedan drygt 6 månader
Patienten har flera gånger blivit uppmanad av hustrun att söka för hostan
Lungröntgen visar
Spirometri visar inga avvikelser
För närmare kartläggning av inflammationens utbredning utförs PET-DT
Vilka diagnoser överväger du? Vad blir nästa steg?
Vilken typ av granulomatös sjukdom är sarkoidos?
Behöver någon diagnos särskilt uteslutas innan behandlingsstart av sarkoidos med flerogansengagemang (som mjälte och hjärta)?
Vilken behandling startas?
Viktigt med skillnaden mellan icke-nekrotiserande och nekrotiserande granulomatös inflammation, då den senare pekar mot tuberkulos (vilket kräver snar handläggning av infektionsläkare).
Behandling - kortison. Det organengagemang som bedöms som allvarligast, i detta fall förstås hjärtat (där inflammationen kan vara akut livshotande utan en ICD), kommer att styra behandling och nedtrappning av kortison. Hjärtsarkoidos blir allvarlig för den drabbade patienten främst av två anledningar, den ena är risken för livshotande arytmier, den andra är risken för kronisk hjärtsvikt pga. Strukturella förändringar av myokardiet (om inflammationen lämnas obehandlad eller blir suboptimalt behandlad).
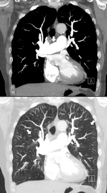
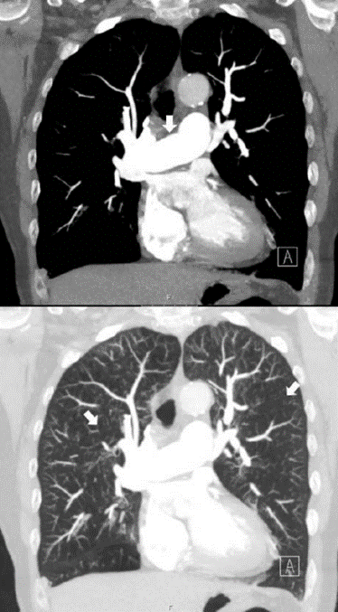
Vad ser du på bilden?

DT thorax utförd med intravenös kontrast på lungembolifrågeställning. Två koronara snitt i höjd med truncus pulmonalis; den övre bilden i mediastinumfönster och den nedre i lungfönster.
Notera hur breddökad truncus pulmonalis (indikerad med pil på den övre bilden) är i förhållande till arcus aortae, vilket är ett tydligt tecken på högt tryck i lungkretsloppet. Notera också generellt fläckvis varierande attenuering (kärlen syns inte, svart bild liksom, kan innebära luft som fastnar i experium) i lungparenkymet (indikerat med pilar i nedre bilden), ett mönster som kallas mosaik pattern. Ett litet infiltrat ses lateralt-basalt i höger lunga.
Vad säger oss fyndet av ”mosaik pattern i inspiration” och ”air-trapping” på DT?

CTEPH kan ge denna bilden med pulmonell hypertension
Vad kan man använda i bedömningen för att se om det rör sig om en akut exacerbation vid KOL?
Vad är CTEPH (Kronisk tromboembolisk pulmonell hypertension)?
Lämplig utredningsgång vid kronisk lungembolisering/CTEPH?
Lämplig behandling för kronisk lungembolisering/inoperabel CTEPH?