Unit 8 - Upper Extremity Blocks Flashcards

(196 cards)

1
Q

where do cords of brachial plexus transition into terminal branches

A

axilla

beyond lateral border of pec minor

How well did you know this?
1
Not at all
2
3
4
5
Perfectly
2
Q

where do roots of brachial plexus convert to trunks

A

at lateral border of scalene muscles

How well did you know this?
1
Not at all
2
3
4
5
Perfectly
3
Q

where do brachial plexus trunks change to divisions

A

under clavicle & over 1st rib

How well did you know this?
1
Not at all
2
3
4
5
Perfectly
4
Q

where do brachial plexus divisions converge into cords

A

as they course under pec minor

How well did you know this?
1
Not at all
2
3
4
5
Perfectly
5
Q

which regions of the brachial plexus are primary targets of supraclavicular approach

A

trunks
divisions

How well did you know this?
1
Not at all
2
3
4
5
Perfectly
6
Q

which region(s) of the brachial plexus are primary targets of the interscalene approach

A

roots

How well did you know this?
1
Not at all
2
3
4
5
Perfectly
7
Q

the infraclavicular approach to brachial plexus block targets:

A

cords

How well did you know this?
1
Not at all
2
3
4
5
Perfectly
8
Q

the axillary approach to brachial plexus block targets:

A

terminal branches

How well did you know this?
1
Not at all
2
3
4
5
Perfectly
9
Q

blockade of which nerve may enhance an awake patient’s tolerance of an upper arm tourniquet

A

field block of intercostobrachial nerve

How well did you know this?
1
Not at all
2
3
4
5
Perfectly
10
Q

5 components of brachial plexus from medial to lateral

(beginning at spinal cord and working outwards)

A

Roots
Trunks
Divisions
Cords
Branches

How well did you know this?
1
Not at all
2
3
4
5
Perfectly
11
Q

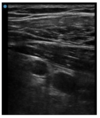
where does brachial plexus originate

A

ventral rami of cervical nerve roots C5-T1

occasionally contributions from C4 and T2

How well did you know this?
1
Not at all
2
3
4
5
Perfectly
12
Q

5 terminal branches of brachial plexus

A

Musculocutaneous
Axillary
Median
Radial
Ulnar

Muscular Athletes Make Rare Underdogs

How well did you know this?
1
Not at all
2
3
4
5
Perfectly
13
Q

5 terminal branches of brachial plexus

A

Musculocutaneous
Axillary
Median
Radial
Ulnar

Muscular Athletes Make Rare Underdogs

How well did you know this?
1
Not at all
2
3
4
5
Perfectly
14
Q
A

Axillary nerve

C5-C6

How well did you know this?
1
Not at all
2
3
4
5
Perfectly
15
Q
A

median nerve

C5-T1

How well did you know this?
1
Not at all
2
3
4
5
Perfectly
16
Q
A

musculocutaneous n

C5-C7

How well did you know this?
1
Not at all
2
3
4
5
Perfectly
17
Q
A

radial nerve

C5-T1

How well did you know this?
1
Not at all
2
3
4
5
Perfectly
18
Q
A

ulnar nerve

C8-T1

How well did you know this?
1
Not at all
2
3
4
5
Perfectly
19
Q

musculocutaneous n. corresponding nerve roots

A

C5-C7

How well did you know this?
1
Not at all
2
3
4
5
Perfectly
20
Q

axillary n. corresponding nerve roots

A

C5-C6

How well did you know this?
1
Not at all
2
3
4
5
Perfectly
21
Q

median n. corresponding nerve roots

A

C5-T1

How well did you know this?
1
Not at all
2
3
4
5
Perfectly
22
Q

radial n. corresponding nerve roots

A

C5-T1

How well did you know this?
1
Not at all
2
3
4
5
Perfectly
23
Q

ulnar n. corresponding nerve roots

A

C8-T1

How well did you know this?
1
Not at all
2
3
4
5
Perfectly
24
Q

musculocutaneous n. - corresponding cord

A

lateral

How well did you know this?
1
Not at all
2
3
4
5
Perfectly
25
axillary n. - corresponding cord
posterior
26
median n. - corresponding cord
lateral & medial cords
27
radial n. - corresponding cord
posterior cord
28
ulnar n. - corresponding cord
medial cord
29
roots that converge to form superior trunk
C5-C6
30
forms middle trunk
C7
31
roots that converge to form inferior trunk
C8-T1
32
how many divisions are in the brachial plexus
6
33
how many roots make up the brachial plexus
5
34
how many trunks make up the brachial plexus
3
35
how many cords make up the brachial plexus
3
36
divisions that form lateral cord
anterior divisions of superior and middle trunks
37
forms posterior cord
all 3 posterior divisions
38
forms medial cord
anterior division of inferior trunk
39
how are cords named
in relationship to the axillary artery
40
cord that gives rise to axillary and radial nerves
posterior cord
41
cord that gives rise to musculocutaneous nerve
lateral cord
42
cord that gives rise to ulnar nerve
medial cord
43
cords that give rise to median nerve
lateral and medial cords
44
45
where do roots converge into trunks
just beyond lateral border of scalene muscles
46
where do trunks diverge into divisions
Each trunk diverges into an anterior and posterior division under the clavicle and over the 1st rib
47
what do the anterior divisions of the brachial plexus innervate
anterior (flexor) parts of arm
48
what do the posterior divisions of the brachial plexus innervate
posterior (extensor) parts of arm
49
where do cords converge into branches
in the axilla
50
dorsal scapular n. spinal cord root
C5
51
supraclavicular nerve spinal cord roots
C3-C4
52
intercostobrachial nerve spinal cord roots
T2
53
function of Dorsal scapular n. (C5)
Innervates levator scapula & rhomboid muscles
54
function of suprascapular n (C5-C6)
Innervates supraspinatus & infraspinatus, posterior glenohumeral joint, subacromial bursa, & acromioclavicular joint
55
function of long thoracic n. (C5-C7)
Innervates serratus anterior muscle
56
function of lacteral pectoral n. (C5-C7)
Innervates the pectoralis major & acromioclavicular joint
57
function of medial pectoral n (C8-T1)
Innervates pectoralis minor and lower region of pectoralis major muscles
58
supraclavicular non-terminal branches of brachial plexus
dorsal scapular n. (C5) suprascapular n. (C5-C6) long thoracic n. (C5-C7)
59
infraclavicular non-terminal branches of brachial plexus
lateral pectoral n. (C5-C7) medial pectoral n. (C8-T1)
60
origin of phrenic n.
anterior rami of C3-C5
61
where does supraclavicular n. arise
C3-C4 from cervical plexus
62
Provides sensory innervation to the “cape of the shoulder”
supraclavicular n.
63
what is the "cape of the shoulder"
encompasses the midline to deltoid along with 2nd rib anteriorly to the superior aspect of the scapula posteriorly
64
innervates the clavicle
supraclavicular n (C3-C4
65
how is the supraclavicular n. (C3-C4) best anesthetized
superficial cervical plexus block
66
use of superficial cervical plexus block
clavicular fracture CEA
67
where does intercostobrachial n. (T2) arise
2nd intercostal nerve
68
function of Intercostobrachial n. (T2)
sensory innervation to the medial aspect of the upper arm
69
how is the intercostobrachial n. blocked
field block not covered by brachial plexus block
70
block that can make upper arm tourniquet tolerable in an awake patient
Intercostobrachial n. (T2) field block
71
C4 dermatome
Superior aspect of shoulder
72
C6 dermatome
lateral shoulder ## Footnote and 1st digit?
73
C7 dermatome
3rd digit
74
C8 dermatome
5th digit
75
T1 dermatome
medial aspect of arm
76
T2 dermatome
axilla
77
78
sensory region of axillary n.
Lateral upper arm at shoulder
79
sensory region of Intercostobrachial & Medial brachial cutaneous n.
Medial upper arm to elbow
80
sensory innervation of medial antebrachial cutaneous n.
Anterior upper arm Anterior & medial forearm to wrist
81
sensory region of musculocutaneous n.
Lateral forearm to wrist
82
sensory region of radial n.
Lateral upper arm Posterior arm below shoulder Posterior forearm Dorsum of hand lateral to axial line of 4th digit Radial side of thumb
83
sensory region of median n.
Palmer side of 1st, 2nd, & 3rd digits (palmer side + tips on dorsal side) Radial side of 4th digit (palmer side + tip on dorsal side)
84
sensory region of ulnar n
Hypothenar eminence Ulnar side of 4th digit and entire 5th digit
85
what is a myotome
muscles innervated by the ventral (motor) spinal nerve root(s)
86
motor function of axillary n.
Shoulder ABduction (deltoid contraction)
87
motor function of musculocutaneous n.
Elbow flexion (biceps contraction) Forearm supination (palm faces upwards) Lateral antebrachial cutaneous is an extension of musculocutaneous below elbow w/o motor function
88
motor function of radial n.
Elbow extension (triceps contraction) Wrist extension Finger extension Thumb ABduction
89
motor function of median n.
Forearm pronation (palm faces downwards) Finger flexion (first 3 ½ digits) Thumb opposition (brings thumb to contact a finger)
90
motor function of ulnar n.
Wrist flexion Ulnar deviation 5th digit opposition (brings 5th digit to contact thumb) Finger flexion (4th & 5th digits) Thumb ADDuction (adductor pollicis contraction)
91
what are osteotomes
bones and joints innervated by the dorsal (sensory) spinal nerve root(s)
92
what explains why interscalene block may not provide complete anesthesia for distal clavicle fracture
The subclavius n. arises from brachial plexus (C5-C6), but supraclavicular n. arises from cervical plexus
93
4 P’s for Assessment of Brachial Plexus Block
1. Push’eR: elbow extension against resistance (triceps contraction) = radial n. 2. Pull’eM: elbow flexion against resistance (biceps contraction) = musculocutaneous n. 3. Pinch Me: pinch index finger (2nd digit) = median n. 4. Pinch U: pinch pinky finger (5th digit) = ulnar n.
94
target of interscalene block
C5-C7 roots (upper and middle trunks) of brachial plexus
95
indications for interscalene block
surgical procedures of shoulder, upper arm, and clavicle
96
these areas are covered by which block
interscalene
97
US transducer orientation for interscalene block
transverse on neck ~3-4 cm above clavicle (supraclavicular fossa)
98
patient position for interscalene block
supine or lateral with head slightly elevated, facing non-operative side
99
what is seen on US view when performing an interscalene block
* Trunks/divisions of brachial plexus appear as a series of **hypoechoic circles** lateral to pulsating subclavian artery & superior to hyperechoic 1st rib * slide the transducer cephalad until you identify the **hypoechoic roots** of the plexus between anterior & middle scalene muscles (the “stoplight”)
100
LA volume for interscalene block
US guided: 7-15 mL nerve stim: 25-30 mL
101
why cant interscalene block be used for forearm or hand procedures
lower trunk (C8-T1) often spared
102
objective of interscalene block
deposit LA around C5-C7 brachial plexus roots between anterior and middle scalenes
103
brachial plexus block that targets roots
interscalene
104
landmarks for interscalene block nerve stimulation technique
cricoid cartilage clavicle lateral border of clavicular head of SCM
105
what is Chassaignac’s tubercle
transverse process of C6 | may feel in landmark technique for interscalene block
106
what is Chassaignac’s tubercle
transverse process of C6 | may feel in landmark technique for interscalene block
107
acceptable responses of nerve stim. for interscalene block
Deltoid (shoulder abduction) Pec major (arm internal rotation) Biceps (elbow flexion) Triceps (elbow extension) Any twitch of hand or forearm
108
unacceptable nerve stimulation responses for interscalene block placement
Trapezius (cervical plexus stimulation) Diaphragm (phrenic n. = hiccups)
109
use of continuous interscalene block
great for shouulder surgery
110
catheter placement for continuous interscalene block
near trunks of brachial plexus between scalene muscles 3-5 cm beyond block needle
111
LA dosing for Continuous Interscalene Block
After initial LA bolus, infuse LA at 5 mL/hr
112
complications assoc with interscalene block
* phrenic n paralysis * horners syndrome * hypotensive bradycardic episode * nerve injury * vascular puncture * total spinal * RLN injury * PTX
113
complication of interscalene block that occurs nearly 100% of the time
ipsilateral hemiparesis of diaphragm
114
patients who shouldn't receive interscalene block
pts with respiratory disease (ex COPD) ## Footnote phrenic nerve paralysis may result in severe dyspnea, hypercapnia, and hypoxemia
115
patients who shouldn't receive interscalene block
pts with respiratory disease (ex COPD) ## Footnote phrenic nerve paralysis may result in severe dyspnea, hypercapnia, and hypoxemia
116
why does an interscalene block cause Horners syndrome
stellate ganglion block at C7 ## Footnote Can be concerning to patient and family but is clinically benign
117
s/s horners syndrome
* Eyelid drooping (ptosis) * pinpoint pupils (miosis) * inability to sweat (anhidrosis)
118
what causes hypotensive bradycardic episode after interscalene block
Combined effects of an unloaded ventricle, SNS stimulation, epi uptake (from block) results in profoundly underfilled ventricle that slows its rate to ↑ diastolic filling
119
decreased risk of hypotensive bradycardic episode for interscalene block with epi and sitting shoulder
Pre-op beta blockade decreases the risk in this context
120
what indicates intraneural injection
crampy sensation
121
particularly vulnerable for intraneural injection with interscalene block
C6
122
increases risk of injury to dorsal scapular and long thoracic nerves with interscalene block placement
Lateral to medial needle approach through middle scalene
123
vascular puncture risks with interscalene block
* vertebral artery injection = seizure * external jugular vein = bleeding, hematoma
124
minimize risk of total spinal with interscalene block
pull needle back if you obtain a motor response at current intensity < 0.2 mA
125
how can interscalene block cause RLN injury
Injection of large LA volumes (> 30 mL) can cause RLN paralysis | (hoarseness)
126
how can PTX result from interscalene block
if needle is directed too far caudal using landmark technique d/t proximity of pleura
127
pts at increased risk PTX with interscalene block
tall patients
128
when should PTX be considered after interscalene block
pt c/o cough, chest pain, or dyspnea after the block
129
brachial plexus block that targets trunks/divisions
supraclavicular block
130
supraclavicular block indications
surgical procedures of upper arm, elbow, wrist, and hand
131
why cant supraclavicular block be used for shoulder surgery
suprascapular n. arising from C5-C6 may be missed
132
why is supraclavicular block often US-guided rather than nerve stimulator/landmark technique
Close proximity to subclavian artery & pleura
133
what is the "stoplight" or "snowman" seen on US when placing an interscalene block
The stacked hypochoic roots of the plexus between the anterior and middle scalene muscles
134
complications of interscalene block that can cause seizures
accidental injection into vertebral artery or subarachnoid space
135
List 3 conditions that set the stage for a hypotensive bradycardic episode.
1. Interscalene block 2. Sitting position 3. Epinephrine used in the block
136
subclavian artery
137
positioning for US guided supraclavicular block
semi-sitting position with head turned to non-operative side
138
where is US transducer placed for supraclavicular block
transverse in supraclavicular fossa in slightly posterior direction
139
Landmarks needed for supraclavicular block - nerve stimulation technique
* Clavicle * Clavicular attachment of the sternocleidomastoid muscle (SCM)
140
which brachial plexus block covers these areas
supraclavicular
141
which brachial plexus block is being performed
supraclavicular
142
which brachial plexus block is being performed
interscalene
143
What is the objective of a supraclavicular block?
To deposit local anesthetic around the **trunks/divisions** of the brachial plexus (posterior and superficial to the subclavian artery).
144
What landmarks are used for a supraclavicular block using a nerve stimulation technique?
1. Clavicle 2. Clavicular attachment of the sternocleidomastoid muscle
145
What are the indications for a supraclavicular block?
Procedures involving upper arm, elbow, forearm, wrist and hand
146
What is the "corner pocket?"
The inferior portion of the plexus where the first rib meets the subclavian artery.
147
why is a pre-procedure scan invaluable when performing a supraclavicular block
* Ensure no portions of plexus course superior to medial to subclavian artery (failure to appreciate this will result in incomplete block) * Color Doppler to identify aberrant vessels that course through needle path
148
acceptable responses for nerve stim. when placing supraclavicular block
Finger twitch (flexion or extension)
149
Greatest risk of supraclavicular approach
PTX
150
method to decrease risk PTX with supraclavicular block
Tilt transducer slightly caudal to place 1st rib between brachial plexus & pleura ## Footnote Greater risk in taller patients
151
Which artery is MOST likely to be injected with local anesthetic during supraclavicular block placement?
subclavian a.
152
Which artery is most likely to be injected with local anesthetic during interscalene block placement?
vertebral a.
153
Which artery is most likely to be injected with local anesthetic during infraclavicular block placement?
subclavian a. or axillary a. (depends on block level)
154
Which artery is most likely to be injected with local anesthetic during axillary block placement?
axillary a.
155
incidence of phrenic n. paralysis with supraclavicular block
~50%
156
target of infraclavicular block
cords of brachial plexus below clavicle
157
indications of infraclavicular block
surgical procedures of upper arm, elbow, wrist, hand
158
Good alternative to supraclavicular block in patients with respiratory insufficiency
infraclavicular block
159
Good alternative to axillary block in patients with limited upper extremity mobility
infraclavicular block
160
how does the US view for infraclavicular block differ from interscalene & supraclavicular blocks
nerves at infraclavicular level appear hyperechoic rather than hypoechoic
161
US transducer placement for infraclavicular block
parasagittal position just distal to coracoid process
162
Why is pneumothorax the most significant complication of a supraclavicular block?
The pleura is immediately inferior to the first rib
163
What are two bedside tests you can use to diagnose a pneumothorax?
1. Chest X-ray 2. Point of care ultrasound to assess for lung sliding
164
what type of block is being performed
infraclavicular
165
This ultrasound image should be obtained when performing which ultrasound-guided regional technique?
infraclavicular
166
landmarks for infraclavicular block nerve stimulation technique
clavicle coracoid process
167
position of cords around artery in US view of infraclavicular block
lateral cord = 9 o'clock medial cord = 3 o'clock posterior cord = 6 o'clock
168
response to nerve stimulation of median n.
Flexion of first 3½ digits Thumb opposition
169
response to nerve stim. of musculocutaneous n.
elbow flexion
170
is elbow flexion an adequate indication of lateral cord coverage in infraclavicular block?
nope - although musculocutaneous n. is part of lateral cord, problem is that it sometimes leaves lateral cord early in its course Musculocutaneous n. stim. is likely not a reliable indicator of lateral cord stimulation
171
response to posterior cord nerve stim
(radial n.) Extension of wrist and digits ABduction of thumb
172
response to median n. stimulation
Flexion of first 3½ digits Thumb opposition
173
ulnar n. response to nerve stimulation
Flexion of 4th and 5th digits ADDuction of thumb
174
ideal 1st response obtained to nerve stim. placing an infraclavicular block
distal motor response - ideally finger flexion or extension
175
method to improve US image for infraclavicular block in large patients
abducting the arm displaces the clavicle & allows provider to insert needle more cephalad to transducer
176
what is the "heel up" maneuver for US infraclavicular block placement
rocking transducer towards patient’s head while compressing tissue caudally makes it easier to see the needle angle during insertion
177
why might nerve stimulation + US be used for infraclavicular block
Due to high variability of cords location, using nerve stimulation with US guidance can help better localize
178
how can a reliable infraclavicular block be achieved if cords can't be identified
by depositing LA in a U-shaped fashion around axillary artery
179
Most painful brachial plexus block
infraclavicular | multiple muscle layers traversed
180
Most painful brachial plexus block
infraclavicular | multiple muscle layers traversed
181
3 most common errors that increase risk PTX in infraclavicular block
* needle insertion too medial * directing needle medially * needle insertion depth > 6 cm | otherwise risk low compared to supraclavicular & interscalene
182
3 most common errors that increase risk PTX in infraclavicular block
* needle insertion too medial * directing needle medially * needle insertion depth > 6 cm | otherwise risk low compared to supraclavicular & interscalene
183
which has a higher risk of intravascular injection - infraclavicular or supraclavicular
infraclavicular
184
brachial plexus block with highest incidence of chylothorax
infraclavicular | especially left side ## Footnote thoracic duct drains into subclavian vein
185
brachial plexus block with highest incidence of chylothorax
infraclavicular | especially left side ## Footnote thoracic duct drains into subclavian vein
186
most distal approach to brachial plexus block
axillary block
187
targets of axillary block
4 of 5 terminal branches: median, radial, ulnar, & musculocutaneous | NOT axillary
188
axillary block indications
surgical procedures of forearm & hand
189
why is inadvertent vascular puncture a higher risk with infraclavicular block
**steep needle angle** required (15-30 deg) - inability to identify needle tip may result in subclavian artery or vein puncture
190
method to decrease risk of PTX with infraclavicualr block
Inserting the needle caudal to the clavicle at the coracoid process in a slightly lateral direction reduces the risk of pneumothorax.
191
objective of axillary block
Deposit local anesthetic around four of the terminal branches of the brachial plexus
192
transducer position for US-guided axillary block
Short-axis of the arm distal to the insertion of the pectoralis major muscle
193
nerves relative to axillary artery (pt in anatomical position, moving clockwise)
* Median = anterior and medial * Ulnar = posterior and medial * Radial = posterior and lateral * Musculocutaneous = anterior and lateral (resides outside neurovascular bundle)
194
Landmarks needed for nerve stimulation and transarterial techniques for axillary block
* Axillary artery * Coracobrachialis muscle * Pectoralis major muscle * Biceps muscle * Triceps muscle
195
branches that are easy to block together in axillary block
primary terminal branches: medial, radial, ulnar | reside in neurovascular bundle
196
how can interscalene block cause RLN injury
Injection of large LA volumes (> 30 mL) can cause RLN paralysis | (hoarseness)