
A) Deltoid muscle
B) Pectoralis major - clavicular head
C) Pectoralis major - sternal head
D) Serratus anterior

A) Deltopectoral triangle
B) Cephalic vein

Pectoralis minor

A) Upper trapezius
B) Middle trapezius
C) Lower trapezius

A) Deltoid
B) Teres major
C) Latissimus dorsi

A) Rhomboid
B) Infraspinatus
C) Teres major
D) Latissimus dorsi
E) Medial border of scapula

A) Levator scapula
B) Rhomboid minor
C) Rhomboid major

A) Infraspinatus
B) Teres minor
C) Teres major
D) Subscapularis

A) Upper triangle
B) Quad space
C) Lower triangle

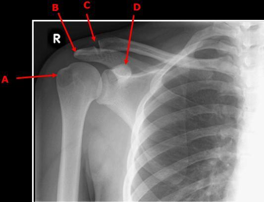
A) Greater tubercle of humerus
B) Acromion of scapula
C) AC joint
D) Coracoid process of scapula

Axillary artery

A) Biceps brachii
B) Long head of biceps
C) Short head of biceps
D) Coracobrachialis
E) Brachialis
F) Musculocutaneous nerve (pierces through corachobrachialis)

A) Biceps brachii
B) Long head of biceps
C) Short head of biceps
D) Pectoralis major
E) Deltoid
F) Brachialis

A) Biceps brachii
B) Brachialis
C) Coracobrachialis

A) Long head of triceps
B) Lateral head of triceps
C) Medial head of triceps
D) Anconeous

A) Lateral head of triceps
B) Brachialis
C) Biceps brachii
D) Long head of triceps

A) Median nerve (look for “M” structure and follow middle downward)
B) Ulnar nerve (medial)

A) Radial nerve (exits lateral to brachialis)
B) Brachialis muscle

A) Musculocutaneous nerve
B) Median nerve (middle portion of “M” shape)

A) Musculocutaneous nerve
B) Axillary artery
C) Median nerve
D) Ulnar nerve

A) Glenoid fossa
B) Glenoid labrum
C) Long head of triceps
D) Coracoacromial ligament
E) Acromion

Transverse humeral ligament

A) Biceps brachii
B) Cephalic vein
C) Brachialis
D) Lateral head of triceps
E) Long head of triceps
F) Medial head of triceps

A) Musculocutaneous nerve
B) Radial nerve
C) Median nerve
D) Ulnar nerve