Upper GI disorders
Case 1
When examining him, he is pretty much okay

Slightly raised white count at 13.4, otherwise nothing much of concern

Causes of upper abdo pain?
Surgical and non-surgical: GMCDD
MIs can manifest as abdominal pain

Had bloods, so what is the next investigation? This is the most common if someone comes to a and e presenting with abdominal pain

Do an erect chest X-ray, specifically to check for any chest problems which could cross over to cause abdominal pain, and more specifically look to see if they have any sub diaphragmatic air which may be consistent with a perforation.
Do an abdominal X-ray too


Been taking double doses of NSAIDs
Pyrexic, tachycardic and BP has come down a little bit, most importantly his abdomen is now rigid in all 4 quadrants.

Abdominal and chest x ray are first when coming to a and e, as can point out obvious problems.
White cell count increased, CRP has gone up, amylase is okay.


Diagnosis from these scans?

-His amylase was okay so not pancreatitis
=perforated viscus
A perforated viscus, also known as intestinal or bowel perforation, is a full-thickness disruption of the intestinal wall, with subsequent leakage of enteric contents into the peritoneal cavity, resulting in a systemic inflammatory response, peritonitis, and possibly sepsis
Note: when people do get perforations, their amylase does also go up so they actually can get misdiagnosed as having pancreatitis.
Bottom-shows erect chest X-ray, remember air goes upwards. Can see a lot of air under diaphragm (sub-diaphragmatic air), big gap between right diaphragm and liver, which is normally snuggly adjacent to the liver.
This is why we did an erect chest x-ray.
Abdomenal X-ray: On top left image, on left you can see faeces in large bowel, and on top right of image everything seems to be a lot clearer. Looking at image on right we can see small bowel and we can see both sides of the wall very clearly. This means there is air on the inside and air on the outside, and that’s known as Rigler’s sign which is free intraperitoneal air. It’s quite subtle but it’s an important sign to remember and that’s exactly why you’re doing plain abdominal X-rays.
The Rigler sign, also known as the double-wall sign, is a sign of pneumoperitoneum seen on an abdominal radiograph when gas is outlining both sides of the bowel wall, i.e. gas within the bowel’s lumen and gas within the peritoneal cavity.

With that guys history what organ do you think is perforated?
Could be any of these. History:taking NSAIDs, pain worse when having alcohol, smokes, epigastric (ie upper) pain, so this all points to an upper GI cause.
So thinking stomach or duodenum

=perforated duodenum (this is the commonest)
Can tell he is unwell because:
1) Quite unwell as he can’t lie down flat on his back, he has to lie on right side so is probably in pain
2) He can’t lift left arm up above head. In CT they ask you to lift up your arms and he obviously can’t do this so obviously in great pain
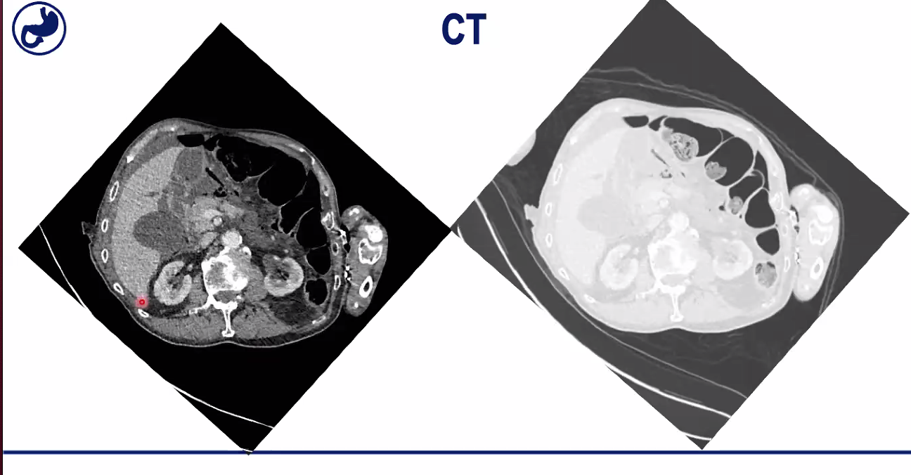
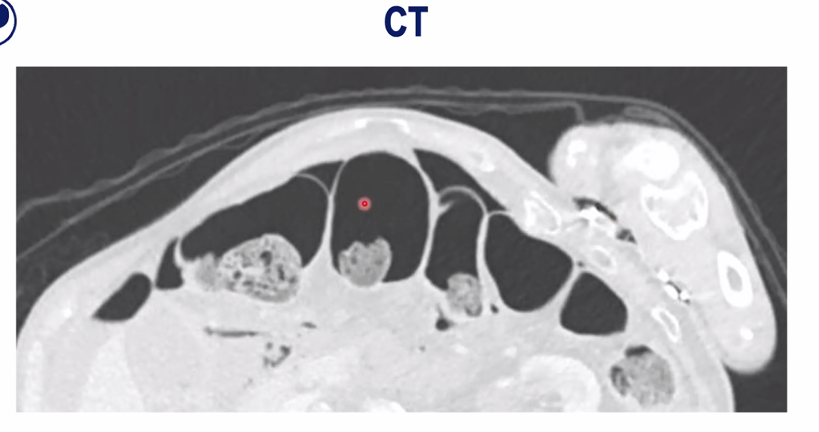
On right of image on left can see large bowel in black. Notice he has fluid around liver, which shouldnt be there. Can also see the pylorus, part of his stomach, coming down to his duodenum, and you’ll see there’s a defect here. So he’s had a pretty unusual duodenal perforation, and it’s been posterior.
The CT on the right has been adjusted so we can see where the air is.

Black is air inside large bowel and can see faeces inside it, and then can also see free air, that is outside the large bowel and that explains the Rigler’s sign. When got air on both sides, can see the walls very clearly.
Black is air. So can see slits of black which represent air in the abdomen near where the perforation is, so this gives you a clue where it is going on. So this is certainly a perforation and you can be pretty much 99% sure it’s coming from his duodenum.

Obviously put a nasogatric tube down because you want all the fluid that’s there to come out into a bag rather than into his abdomen.
Obviously nil by mouth because everything that goes in will come out into his abdomen.
You ressussitate aggressively because they get very dehydrated, need fluid as like having a burn in abdomen
Give them antibiotics straight away
Operative-this is a surgical emergency as anything that’s perforated, you need to get them into theatre ASAP.
-need to find where hole is and sort it out and need to lavage, ie wash out bacteria, enzymes etc.
Conservative is only if people had ulcer but it has sealed itself off so not leaking into whole of abdomen. Nowadays hardly ever see radical surgery.

Commonest site is duodenal ulcers. Unusual to see stomach ulcers because stomach has lots of protective mechanisms but the duodenum hasn’t, so anything that goes wrong it’s the duodenum that suffers.
If there is stomach ulcer, it is usually due to gastric cancer so have to take biopsy if see during operation.
Posterior ulcers tend to bleed, as posterior ulcers drill into the posterior part of the abdomen and there it starts hitting blood vessles, so that’s where tou get bleeding ulcers from.
Anterior ulcers tend to perforate

Image shows perforation in the duodenum. Simplest way to mend it is to put a stitch through one side of the defect and then bring it out on the other wall. Put 3 of those there, then you take a bit of omentum, which is essentially fat. The simplest way is just to lay it over and just use it as a plug, so you lay it over and just tie it and that sorts out the ulcer.
Some people, if it’s not such a big hole, you can actually stitch it, but you always have to put an omental patch on.
This is between conservative and radical.

Lots of levage to wash out bad stuff.

All of these are possibilities
Note pulmonary oedema would affect BOTH sides of lungs! Whereas pneumonia would only affect one side. Pulmonary embolism is a possibility, leak is very unlikely.
=pneumonia, because any surgery on upper part of abdomen or upper GI tract, or anywhere where the incision is just above the diaphragm will hurt and so have to give patient pain killers. But when ask them about pain, they can often neglect to tell you it hurts when they breath deeply so need to give enough painkillers for patients to not only be comfrotable at rest, but also be able to take a deep breath following surgery otherwise get pneumonia. If don’t breathe in deeply, they are not expanding their lungs full of air, their lungs fill with fluid, and then that becomes infected and hence your pneumonia.
Any pyrexia or rise in white cell count, first thing you think of, is has this patient got pneumonia.

Again pyrexia and tachycardic

=could be persistent pneumonia or intra-abdominal collection, as may not have washed out abdomen correctly. Big collection in lesser sac. Know this isn’t a leak as if there was a leak or ulcer was still here, anything you put in stomach will come out of drain. Leak from repair site is unusual as anything after 5 days has pretty much healed.
There is fluid collection from an incorrectly carried out lavage. The fluid is collected in the most difficult place, it is in the lesser sac behind the stomach. A bit of fluid accumulates there and becomes infected.
This is very easy to sort out and this patient just had a percutaneous drain put in

He has percutaneous drainage, everything came out. Now if it was a leak from the repair site, once you put that drain in, then all his gastric contents would start pouring out of the tube. That didn’t happen in this case, as long as fluid comes out, patient gets better.

Pyrexial, tachycardic, tenderness and guarding in epigastrium

Hb fine, platelets fine, LFTs: Bilirubin is up a bit and alk phos is up as well.
CRP and amylase is raised

=gallstone pancreatitis (as raised amylase)
Liver function tests are mildly elevated, but has very high amylase.
Note: raised amylase isn’t always pancreatitis! Can get raised amylase from perforated viscous and abdominal aortic aneurysm, if that starts tearing can affect pancreas and you get a raised amylase.

Acute pancreatitis:
CRP is a nice easy way of working it out, because in the modified glasgow criteria, it asks if you’ve had symptoms within 48 hours and this is hard to be sure of/know.
Best to examine

Management for acute pancreatitis
Remember management is conservative for anyone with acute pancreatitis
Like having burn in abdomen, need to replace lots of fluid
Lots of people start giving antibiotics as see white cell count is up but this is due to gross inflammatory response.

What would be your first investigation?

=USS abdomen
as have slightly raised bilirubin and a raised alkaline phosphatase, that means that something might be obstructing
1) as made diagnosis of gallstone pancreatitis, so first need to do is scan to see if they have actually got gall stones, if do then probs right
2) This also gives you a chance to see there is nothing in the bile duct itself. Might see obstruction of bile duct which would be inkeeping with poor liver function tests
If did a CT test straight away, often it takes a while to report it and it is a waste of time as would just say changes consistent with pancreatitis, which we know already. Only do CT scan if we think something else is going on.
This is gall bladder and can see gall stones inside as can see acoustic shadow below stones as ultrasonic waves are blocked by gall stone.

First thing that should start happening is liver function tests decreasing, here they remain abnormal.

=MRCP as want proof there are stones in common bile duct
ERCP is dangerous and risk of perforation and so want to prove their are stons before doing this.

What happens most of the time in gall stone pancreatitis is a stone gets into the common bile duct causes the pancreatitis, but then it passes through by itself. So you see LFTs rise and then they decrease and normalise, so you know the stone has passed. Here they have not normalised, so you really think there’s are stones here.
Now confirmed there are stones what would you do?

=ERCP as stones in CBD which may cause problem again so need to get rid of them.
Stones in CBD. You are passing a scope down through the stomach, finding the ampulla, you’re putting a wire in then a balloon, and often you can just blow the balloon up proximal to where the stones are and pull them out, then the patient will get better and then hopefully as ampulla is a bit bigger, any more stones will just fall out by themselves.
Usually have to put a little cut in ampulla to get stones out

Something has obviously changed, so what investigation would you do now?

=CT abdo/pelvis, as a week down line so now might get complications of pancreatitis. Can see pancreatic juice muching at fat and causing inflammation so pancreas looks fuzzy. Nasty inflammatory mess, nothing you can drain. Just done a CT scan to exclude another problem.

Need to take gall bladder out so same thing won’t happen again

Murphys sign ruq below subcostal line and ask to breath in and if get sharp pain then it’s positive
Now see bilirubin is fine, LFT is fine, amylase is fine.

Now most likely diagnosis?

=Cholecystitis
Can see gall bladder where liver is but its slightly white around edge, opacification, consistent with inflammed gall bladder. (blood supply is enhancing)
Not pancreatitis as amylase is fine
Big difference between Cholecystitis and biliary colic. Biliary colic is crampy pain of stone trying to get out with no inflammation. Cholecystitis is usually a stone that has blocked the cystic duct, and you get pain from that as it gets infected and this is a very different pain which is constant pain which is tender.


=Cystic duct and cystic artery

This is gall bladder with big cystic duct, probs stone here.
Common hepatic artery and then cystic artery comes off it

When people have gall bladders out, often not straightforward due to hilum variations in 25% of population.
